相关产品推荐更多 >
万千商家帮你免费找货
0 人在求购买到急需产品
- 详细信息
- 文献和实验
- 技术资料
- 供应商:
上海联迈生物工程有限公司
- 库存:
大量
- 目录编号:
LM-12455R
- 克隆性:
多克隆
- 抗原来源:
Rabbit
- 保质期:
1年
- 抗体英文名:
PLEKHG5
- 抗体名:
凋亡诱导受体PLEKHG5抗体
- 宿主:
Rabbit
- 适应物种:
Human, Mouse, Rat, Dog, Pig, Cow, Horse, Rabbit,
- 免疫原:
KLH conjugated synthetic peptide derived from human PLEKHG5:951-1062/1062
- 亚型:
IgG
- 形态:
Lyophilized or Liquid
- 应用范围:
ELISA=1:500-1000 IHC-P=1:400-800 IHC-F=1:400-800 ICC=1:100-500 IF=1:100-500 (石蜡切片需做抗原修复)
- 浓度:
1mg/ml
- 保存条件:
Store at -20 °C
- 规格:
100ul 200ul
| 英文名称 | PLEKHG5 |
| 中文名称 | 凋亡诱导受体PLEKHG5抗体 |
| 别 名 | PKHG5_HUMAN; Pleckstrin homology domain-containing family G member 5; PH domain-containing family G member 5; Guanine nucleotide exchange factor 720; GEF720. |
| 规格价格 | 100ul/1380元 购买 200ul/2200元 购买 大包装/询价 |
| 说 明 书 | 100ul 200ul |
| 研究领域 | 染色质和核信号 信号转导 G蛋白偶联受体 G蛋白信号 |
| 抗体来源 | Rabbit |
| 克隆类型 | Polyclonal |
| 交叉反应 | Human, Mouse, Rat, Dog, Pig, Cow, Horse, Rabbit, |
| 产品应用 | ELISA=1:500-1000 IHC-P=1:400-800 IHC-F=1:400-800 ICC=1:100-500 IF=1:100-500 (石蜡切片需做抗原修复) not yet tested in other applications. optimal dilutions/concentrations should be determined by the end user. |
| 分 子 量 | 116kDa |
| 细胞定位 | 细胞浆 |
| 性 状 | Lyophilized or Liquid |
| 浓 度 | 1mg/ml |
| 免 疫 原 | KLH conjugated synthetic peptide derived from human PLEKHG5:951-1062/1062 |
| 亚 型 | IgG |
| 纯化方法 | affinity purified by Protein A |
| 储 存 液 | 0.01M TBS(pH7.4) with 1% BSA, 0.03% Proclin300 and 50% Glycerol. |
| 保存条件 | Store at -20 °C for one year. Avoid repeated freeze/thaw cycles. The lyophilized antibody is stable at room temperature for at least one month and for greater than a year when kept at -20°C. When reconstituted in sterile pH 7.4 0.01M PBS or diluent of antibody the antibody is stable for at least two weeks at 2-4 °C. |
| PubMed | PubMed |
| 产品介绍 | background: This gene encodes a protein that activates the nuclear factor kappa B (NFKB1) signaling pathway. Mutations in this gene are associated with autosomal recessive distal spinal muscular atrophy. Multiple transcript variants encoding different isoforms have been found for this gene. [provided by RefSeq, May 2012] Function: Guanine nucleotide exchange factor that activates RHOA and maybe the NF-kappa-B signaling pathway. Involved in the control of neuronal cell differentiation. Plays a role in angiogenesis through regulation of endothelial cells chemotaxis. Subunit: Interacts with GIPC1/synectin and RHOA. Subcellular Location: Cytoplasm. Cytoplasm, perinuclear region. Cell junction. Cell projection, lamellipodium. Note=Predominantly cytoplasmic, however when cells are stimulated found in perinuclear regions. Localized at cell-cell junctions in quiescent endothelial cells, it relocalizes to cytoplasmic vesicle and the leading edge of lamellipodia in migrating endothelial cells. Tissue Specificity: Predominantly expressed in the peripheral nervous system and brain. Highest expression is observed in heart, lung, kidney, testis and moderate expression is present in spleen, pancreas, skeletal muscle, ovary and liver. Weakly expressed in glioblastoma (GBM) cell lines. DISEASE: Distal spinal muscular atrophy, autosomal recessive, 4 (DSMA4) [MIM:611067]: A neuromuscular disorder. Distal spinal muscular atrophy, also known as distal hereditary motor neuronopathy, represents a heterogeneous group of neuromuscular disorders caused by selective degeneration of motor neurons in the anterior horn of the spinal cord, without sensory deficit in the posterior horn. The overall clinical picture consists of a classical distal muscular atrophy syndrome in the legs without clinical sensory loss. The disease starts with weakness and wasting of distal muscles of the anterior tibial and peroneal compartments of the legs. Later on, weakness and atrophy may expand to the proximal muscles of the lower limbs and/or to the distal upper limbs. DSMA4 is characterized by childhood onset, generalized muscle weakness and atrophy with denervation and normal sensation. Bulbar symptoms and pyramidal signs are absent. Note=The disease is caused by mutations affecting the gene represented in this entry. Charcot-Marie-Tooth disease, recessive, intermediate type, C (CMTRIC) [MIM:615376]: A form of Charcot-Marie-Tooth disease, a disorder of the peripheral nervous system, characterized by progressive weakness and atrophy, initially of the peroneal muscles and later of the distal muscles of the arms. Recessive intermediate forms of Charcot-Marie-Tooth disease are characterized by clinical and pathologic features intermediate between demyelinating and axonal peripheral neuropathies, and motor median nerve conduction velocities ranging from 25 to 45 m/sec. Note=The disease is caused by mutations affecting the gene represented in this entry. Similarity: Contains 1 DH (DBL-homology) domain. Contains 1 PH domain. SWISS: O94827 Gene ID: 57449 Database links: Entrez Gene: 57449 Human Entrez Gene: 269608 Mouse Entrez Gene: 310999 Rat Omim: 611101 Human SwissProt: O94827 Human SwissProt: Q66T02 Mouse SwissProt: Q6RFZ7 Rat Unigene: 284232 Human Unigene: 332102 Mouse Unigene: 486442 Mouse Unigene: 20730 Rat Important Note: This product as supplied is intended for research use only, not for use in human, therapeutic or diagnostic applications. |
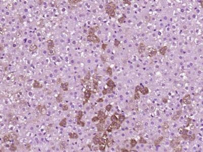
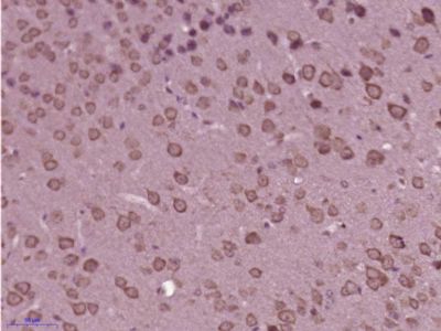
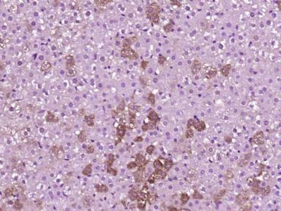
| 产品图片 | ![]() Paraformaldehyde-fixed, paraffin embedded (Mouse brain); Antigen retrieval by boiling in sodium citrate buffer (pH6.0) for 15min; Block endogenous peroxidase by 3% hydrogen peroxide for 20 minutes; Blocking buffer (normal goat serum) at 37°C for 30min; Antibody incubation with (PLEKHG5) Polyclonal Antibody, Unconjugated (bs-12455R) at 1:400 overnight at 4°C, followed by operating according to SP Kit(Rabbit) (sp-0023) instructionsand DAB staining. ![]() Paraformaldehyde-fixed, paraffin embedded (Rat liver); Antigen retrieval by boiling in sodium citrate buffer (pH6.0) for 15min; Block endogenous peroxidase by 3% hydrogen peroxide for 20 minutes; Blocking buffer (normal goat serum) at 37°C for 30min; Antibody incubation with (PLEKHG5) Polyclonal Antibody, Unconjugated (bs-12455R) at 1:400 overnight at 4°C, followed by operating according to SP Kit(Rabbit) (sp-0023) instructionsand DAB staining. |
风险提示:丁香通仅作为第三方平台,为商家信息发布提供平台空间。用户咨询产品时请注意保护个人信息及财产安全,合理判断,谨慎选购商品,商家和用户对交易行为负责。对于医疗器械类产品,请先查证核实企业经营资质和医疗器械产品注册证情况。
文献和实验单链抗体可变区基因片段五聚体作用于凋亡诱导配体受体-2来增强其对癌症的治疗作用
单链抗体可变区基因片段(scFvs) 已被看做是一类有前景的药物。然而,它们的低亲和力和快速的血浆清除率限制了其广泛的临床应用。在本研究中,我们旨在通过多聚scFv提高scFv的抗体表达,再通过与人软骨寡聚基质蛋白(COMP)48的螺旋结构域结合以抵抗死亡受体5(DR5,肿瘤坏死因子10B)。通过合成一种五聚体,我们称其为共同体,在体外和体内实验中,scFv的活性增加了10倍,并且共同体比它的单体配对物在抗肿瘤活性方面更有效。标准的抗体类药物正被成功地用于临床治疗癌症。然而,由于标准抗体的低产
MICB和ULBP1-4与NKG2D受体之间的相 互作用对癌细胞识别和γδT细胞介导的细胞毒性非常重要(图3)。 图3. γδT细胞与肿瘤细胞的相互作用 在活化的γδT细胞中,Fas配体 (FasL) 和TNF相关凋亡诱导配体 (TRAIL) 的表达上调。FasL与CD95 (也称为Fas或APO-1) 相互作用, FasL结合CD95后激活caspase级联反应,从而启动癌细胞凋亡。 TRAIL与五种受体 (TRAILRs) 相互作用:DR4、DR5、DcR
凋亡,是沟通死亡受体通路和线粒体通路的中介者。Bid存在于胞质中,可以被caspases-8和caspase-3等水解而活化。活化的Bid从胞质进入到线粒体,诱导细胞色素C的释放,启动凋亡的发生。Bid基因敲除的小鼠肝细胞对Fas和TNF诱导的凋亡产生耐受,但对线粒体凋亡诱导剂仍然敏感。说明凋亡的诱导可以通过细胞膜产生,也可以通过线粒体直接产生,两者既相互独立,又互有联系。Bad有磷酸化和去磷酸化两种形式。在缺乏生存信号(survival signal)时,Bad以去磷酸化的形式存在。Bad的BH3域
技术资料暂无技术资料 索取技术资料












