相关产品推荐更多 >
万千商家帮你免费找货
0 人在求购买到急需产品
- 详细信息
- 文献和实验
- 技术资料
- 供应商:
上海联迈生物工程有限公司
- 库存:
大量
- 目录编号:
LM-12125R
- 克隆性:
多克隆
- 抗原来源:
Rabbit
- 保质期:
1年
- 抗体英文名:
SLC38A2
- 抗体名:
氨基酸转运蛋白2抗体
- 宿主:
Rabbit
- 适应物种:
Human, Mouse, Rat, Dog, Pig, Cow, Horse, Sheep,
- 免疫原:
KLH conjugated synthetic peptide derived from human SLC38A2/SNAT2:21-150/506
- 亚型:
IgG
- 形态:
Lyophilized or Liquid
- 应用范围:
WB=1:500-2000 ELISA=1:500-1000 IHC-P=1:400-800 IHC-F=1:400-800 ICC=1:100-500 IF=1:100-500 (石蜡切片需做抗原修复)
- 浓度:
1mg/ml
- 保存条件:
Store at -20 °C
- 规格:
50ul 100ul 200ul
| 英文名称 | SLC38A2 |
| 中文名称 | 氨基酸转运蛋白2抗体 |
| 别 名 | Amino acid transporter 2; Amino acid transporter A2; ATA2; SNAT2; KIAA1382; PRO1068; Protein 40-9-1; S38A2_HUMAN; SAT2; Slc38a2; Sodium-coupled neutral amino acid transporter 2; Solute carrier family 38 member 2; System A amino acid transporter; System A amino acid transporter 2; System A transporter 1; System N amino acid transporter 2. |
| 规格价格 | 50ul/780元 购买 100ul/1380元 购买 200ul/2200元 购买 大包装/询价 |
| 说 明 书 | 50ul 100ul 200ul |
| 研究领域 | 神经生物学 通道蛋白 细胞膜受体 转运蛋白 |
| 抗体来源 | Rabbit |
| 克隆类型 | Polyclonal |
| 交叉反应 | Human, Mouse, Rat, Dog, Pig, Cow, Horse, Sheep, |
| 产品应用 | WB=1:500-2000 ELISA=1:500-1000 IHC-P=1:400-800 IHC-F=1:400-800 ICC=1:100-500 IF=1:100-500 (石蜡切片需做抗原修复) not yet tested in other applications. optimal dilutions/concentrations should be determined by the end user. |
| 分 子 量 | 56kDa |
| 细胞定位 | 细胞浆 细胞膜 |
| 性 状 | Lyophilized or Liquid |
| 浓 度 | 1mg/ml |
| 免 疫 原 | KLH conjugated synthetic peptide derived from human SLC38A2/SNAT2:21-150/506 |
| 亚 型 | IgG |
| 纯化方法 | affinity purified by Protein A |
| 储 存 液 | 0.01M TBS(pH7.4) with 1% BSA, 0.03% Proclin300 and 50% Glycerol. |
| 保存条件 | Store at -20 °C for one year. Avoid repeated freeze/thaw cycles. The lyophilized antibody is stable at room temperature for at least one month and for greater than a year when kept at -20°C. When reconstituted in sterile pH 7.4 0.01M PBS or diluent of antibody the antibody is stable for at least two weeks at 2-4 °C. |
| PubMed | PubMed |
| 产品介绍 | background: The sodium-coupled neutral amino acid transporters (SNAT) of the SLC38 gene family include System A subtypes SNAT1, SNAT2 and SNAT4 and System N subtypes SNAT3 and SNAT5. The SLC38 transporters are essential for the uptake of nutrients, energy production, metabolism, detoxification, and the cycling of neurotransmitters. SNAT2, also designated ATA2, PRO1068 and SAT2 is encoded by the human gene SLC38A2. The functional role of SNAT2 in the nervous system is unclear. Protein expression is notably enriched in the spinal cord and brain stem nuclei of the auditory system. System A transport proteins are also present in placental tissue. These SNAT proteins may play a significant role in fetal development and inhibition of the transport system has been associated with fetal growth retardation. Function: Functions as a sodium-dependent amino acid transporter. Mediates the saturable, pH-sensitive and electrogenic cotransport of neutral amino acids and sodium ions with a stoichiometry of 1:1. May function in the transport of amino acids at the blood-brain barrier and in the supply of maternal nutrients to the fetus through the placenta. Subcellular Location: Cell membrane. Insulin promotes recruitment to the plasma membrane from a pool localized in the trans-Golgi network or endosomes. Enriched in the somatodendritic compartment of neurons, it is also detected at the axonal shaft but excluded from the nerve terminal. Tissue Specificity: Ubiquitously expressed. Widely expressed in the central nervous system with higher concentrations in caudal regions. Expressed by glutamatergic and GABAergic neurons together with astrocytes and other non-neuronal cells in the cerebral cortex (at protein level). Post-translational modifications: Polyubiquitination by NEDD4L regulates the degradation and the activity of SLC38A2. Similarity: Belongs to the amino acid/polyamine transporter 2 family. SWISS: Q96QD8 Gene ID: 112483 Database links: Entrez Gene: 338044 Cow Entrez Gene: 54407 Human Entrez Gene: 67760 Mouse Entrez Gene: 29642 Rat Omim: 605180 Human SwissProt: Q96QD8 Human SwissProt: Q8CFE6 Mouse SwissProt: Q9JHE5 Rat Unigene: 221847 Human Unigene: 46754 Mouse Unigene: 16393 Rat Important Note: This product as supplied is intended for research use only, not for use in human, therapeutic or diagnostic applications. |
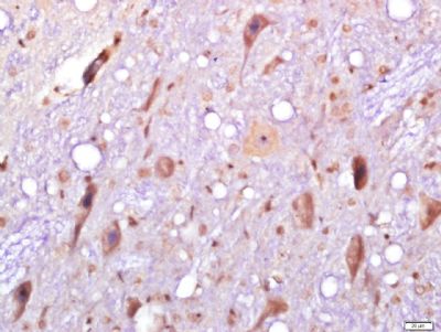
| 产品图片 | ![]() Sample: Intestine (Mouse) Lysate at 40 ug Primary: Anti-SLC38A2 (bs-12125R) at 1/300 dilution Secondary: IRDye800CW Goat Anti-Rabbit IgG at 1/20000 dilution Predicted band size: 56 kD Observed band size: 56 kD ![]() Sample: Heart (Mouse) Lysate at 40 ug Primary: Anti-SLC38A2 (bs-12125R) at 1/300 dilution Secondary: IRDye800CW Goat Anti-Rabbit IgG at 1/20000 dilution Predicted band size: 56 kD Observed band size: 56 kD ![]() Paraformaldehyde-fixed, paraffin embedded (rat brain); Antigen retrieval by boiling in sodium citrate buffer (pH6.0) for 15min; Block endogenous peroxidase by 3% hydrogen peroxide for 20 minutes; Blocking buffer (normal goat serum) at 37°C for 30min; Antibody incubation with (SLC38A2) Polyclonal Antibody, Unconjugated (bs-12125R) at 1:400 overnight at 4°C, followed by a conjugated secondary (sp-0023) for 20 minutes and DAB staining. |
风险提示:丁香通仅作为第三方平台,为商家信息发布提供平台空间。用户咨询产品时请注意保护个人信息及财产安全,合理判断,谨慎选购商品,商家和用户对交易行为负责。对于医疗器械类产品,请先查证核实企业经营资质和医疗器械产品注册证情况。
文献和实验三句话读懂一篇 CNS:长期玩手机,伤脑又折寿;运动、做家务和社交活动可降低痴呆风险
本周学术君继续带来 CNS 最新进展,助力大家勇攀科研高峰! 1. Science:揭示癌症相关驱动基因在大脑衰老过程中的超突变 体细胞突变在人体细胞中非常普遍。 2022 年 7 月 28 日, 美国梅奥诊所 Alexej Abyzov、耶鲁大学 Flora M. Vaccarino 等团队在 Science 杂志发表研究论文 Analysis of somatic mutations in 131 human brains reveals aging-associated
三句话读懂一篇 CNS:为啥有人怎么吃都不胖?背后的基因秘密找到了;拯救秃头星人的新方法
4. Nature:解码人类性腺发育路线图 性腺发育是一个复杂的过程,涉及到睾丸或卵巢的分化成熟。 2022 年 7 月 6 日,英国威康桑格研究所的 Roser Vento-Tormo 团队在 Nature 杂志上发表了研究论文 Single-cell roadmap of human gonadal development。 该研究利用单细胞多组学和空间方法,解开了在空间和时间上介导人类性腺发育的细胞和分子程序,发现了体细胞谱系中先前从未表征的、与发育过程中起源的性腺条件相关的细胞异质性,了解
内被降解成免疫原性多肽,并与MHC-Ⅱ类分子结合成稳定的复合物,从而保证了多肽不被进一步降解为氨基酸。80年代末还发现,内源性抗原在靶细胞中须与胞浆中的一种蛋白酶体(proteasome)结合才能进一步分解为免疫原性多肽片段,后者再在一种肽链转运蛋白的参与下被转运到内质网腔与新合成的MHC-Ⅰ分子结合。已证明蛋白酶体相关基因及肽链转运基因均位于MHC-Ⅱ类基因区内。 二、约束免疫细胞间相互作用 70年代中期Zinkernagel等发现,细胞毒性T细胞只杀伤具有同一MHC表型的病毒
技术资料暂无技术资料 索取技术资料












