相关产品推荐更多 >
万千商家帮你免费找货
0 人在求购买到急需产品
- 详细信息
- 技术资料
- 供应商:
上海联迈生物工程有限公司
- 库存:
大量
- 目录编号:
LM-11779R
- 克隆性:
多克隆
- 抗原来源:
Rabbit
- 保质期:
1年
- 抗体英文名:
GBA
- 抗体名:
β-葡萄糖脑苷脂酶抗体
- 宿主:
Rabbit
- 适应物种:
Human, Mouse, Rat, Rabbit,
- 免疫原:
KLH conjugated synthetic peptide derived from human Glucosidase beta:141-240/536
- 亚型:
IgG
- 形态:
Lyophilized or Liquid
- 应用范围:
WB=1:500-2000 ELISA=1:500-1000 IHC-P=1:400-800 IHC-F=1:400-800 ICC=1:100-500 IF=1:100-500 (石蜡切片需做抗原修复)
- 浓度:
1mg/ml
- 保存条件:
Store at -20 °C
- 规格:
100ul 200ul
GBA β-葡萄糖脑苷脂酶抗体
| 英文名称 | GBA |
| 中文名称 | β-葡萄糖脑苷脂酶抗体 |
| 别 名 | Glucosidase beta; Acid beta glucosidase; Acid beta-glucosidase; Alglucerase; Beta glucocerebrosidase; BETA GLUCOSIDASE, ACID; Beta-glucocerebrosidase; betaGC; D glucosyl N acylsphingosine glucohydrolase; D-glucosyl-N-acylsphingosine glucohydrolase; EC 3.2.1.45 ; GBA; Gba protein; GBA1; GC antibody GCase; GCB; GLCM_HUMAN; GLUC; Glucocerebrosidase (alt.); Glucocerebrosidase; GLUCOCEREBROSIDASE PSEUDOGENE; Glucosidase beta; Glucosidase, beta, acid; Glucosidase, beta; acid (includes glucosylceramidase); Glucosylceramidase; Imiglucerase; Lysosomal glucocerebrosidase. |
| 规格价格 | 100ul/1380元 购买 200ul/2200元 购买 大包装/询价 |
| 说 明 书 | 100ul 200ul |
| 研究领域 | 肿瘤 细胞生物 神经生物学 信号转导 新陈代谢 |
| 抗体来源 | Rabbit |
| 克隆类型 | Polyclonal |
| 交叉反应 | Human, Mouse, Rat, Rabbit, |
| 产品应用 | WB=1:500-2000 ELISA=1:500-1000 IHC-P=1:400-800 IHC-F=1:400-800 ICC=1:100-500 IF=1:100-500 (石蜡切片需做抗原修复) not yet tested in other applications. optimal dilutions/concentrations should be determined by the end user. |
| 分 子 量 | 56kDa |
| 细胞定位 | 细胞浆 细胞膜 |
| 性 状 | Lyophilized or Liquid |
| 浓 度 | 1mg/ml |
| 免 疫 原 | KLH conjugated synthetic peptide derived from human Glucosidase beta:141-240/536 |
| 亚 型 | IgG |
| 纯化方法 | affinity purified by Protein A |
| 储 存 液 | 0.01M TBS(pH7.4) with 1% BSA, 0.03% Proclin300 and 50% Glycerol. |
| 保存条件 | Store at -20 °C for one year. Avoid repeated freeze/thaw cycles. The lyophilized antibody is stable at room temperature for at least one month and for greater than a year when kept at -20°C. When reconstituted in sterile pH 7.4 0.01M PBS or diluent of antibody the antibody is stable for at least two weeks at 2-4 °C. |
| PubMed | PubMed |
| 产品介绍 | background: This gene encodes a lysosomal membrane protein that cleaves the beta-glucosidic linkage of glycosylceramide, an intermediate in glycolipid metabolism. Mutations in this gene cause Gaucher disease, a lysosomal storage disease characterized by an accumulation of glucocerebrosides. A related pseudogene is approximately 12 kb downstream of this gene on chromosome 1. Alternative splicing results in multiple transcript variants. [provided by RefSeq, Jan 2010] Subunit: Interacts with saposin-C. Interacts with SCARB2. Subcellular Location: Lysosome membrane. Interaction with saposin-C promotes membrane association. DISEASE: Defects in GBA are the cause of Gaucher disease (GD) [MIM:230800]; also known as glucocerebrosidase deficiency. GD is the most prevalent lysosomal storage disease, characterized by accumulation of glucosylceramide in the reticulo-endothelial system. Different clinical forms are recognized depending on the presence (neuronopathic forms) or absence of central nervous system involvement, severity and age of onset. Defects in GBA are the cause of Gaucher disease type 1 (GD1) [MIM:230800]; also known as adult non-neuronopathic Gaucher disease. GD1 is characterized by hepatosplenomegaly with consequent anemia and thrombopenia, and bone involvement. The central nervous system is not involved. Defects in GBA are the cause of Gaucher disease type 2 (GD2) [MIM:230900]; also known as acute neuronopathic Gaucher disease. GD2 is the most severe form and is universally progressive and fatal. It manifests soon after birth, with death generally occurring before patients reach two years of age. Defects in GBA are the cause of Gaucher disease type 3 (GD3) [MIM:231000]; also known as subacute neuronopathic Gaucher disease. GD3 has central nervous manifestations. Defects in GBA are the cause of Gaucher disease type 3C (GD3C) [MIM:231005]; also known as pseudo-Gaucher disease or Gaucher-like disease. Defects in GBA are the cause of Gaucher disease perinatal lethal (GDPL) [MIM:608013]. It is a distinct form of Gaucher disease type 2, characterized by fetal onset. Hydrops fetalis, in utero fetal death and neonatal distress are prominent features. When hydrops is absent, neurologic involvement begins in the first week and leads to death within 3 months. Hepatosplenomegaly is a major sign, and is associated with ichthyosis, arthrogryposis, and facial dysmorphism. Note=Perinatal lethal Gaucher disease is associated with non-immune hydrops fetalis, a generalized edema of the fetus with fluid accumulation in the body cavities due to non-immune causes. Non-immune hydrops fetalis is not a diagnosis in itself but a symptom, a feature of many genetic disorders, and the end-stage of a wide variety of disorders. Defects in GBA contribute to susceptibility to Parkinson disease (PARK) [MIM:168600]. A complex neurodegenerative disorder characterized by bradykinesia, resting tremor, muscular rigidity and postural instability. Additional features are characteristic postural abnormalities, dysautonomia, dystonic cramps, and dementia. The pathology of Parkinson disease involves the loss of dopaminergic neurons in the substantia nigra and the presence of Lewy bodies (intraneuronal accumulations of aggregated proteins), in surviving neurons in various areas of the brain. The disease is progressive and usually manifests after the age of 50 years, although early-onset cases (before 50 years) are known. The majority of the cases are sporadic suggesting a multifactorial etiology based on environmental and genetic factors. However, some patients present with a positive family history for the disease. Familial forms of the disease usually begin at earlier ages and are associated with atypical clinical features. Similarity: Belongs to the glycosyl hydrolase 30 family. SWISS: P04062 Gene ID: 2629 Database links: Entrez Gene: 2629 Human Entrez Gene: 14466 Mouse Entrez Gene: 684536 Rat Omim: 606463 Human SwissProt: P04062 Human SwissProt: P17439 Mouse Unigene: 282997 Human Unigene: 719930 Human Unigene: 5031 Mouse Unigene: 162606 Rat Important Note: This product as supplied is intended for research use only, not for use in human, therapeutic or diagnostic applications. |
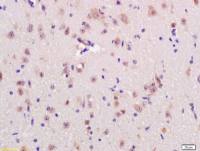
| 产品图片 | ![]() Sample: HepG2(Human) Cell Lysate at 40 ug Primary: Anti-GBA (bs-11779R) at 1/300 dilution Secondary: IRDye800CW Goat Anti-Rabbit IgG at 1/20000 dilution Predicted band size: 56 kD Observed band size: 56 kD ![]() Paraformaldehyde-fixed, paraffin embedded (Human brain glioma); Antigen retrieval by boiling in sodium citrate buffer (pH6.0) for 15min; Block endogenous peroxidase by 3% hydrogen peroxide for 20 minutes; Blocking buffer (normal goat serum) at 37°C for 30min; Antibody incubation with (GBA) Polyclonal Antibody, Unconjugated (bs-11779R) at 1:400 overnight at 4°C, followed by operating according to SP Kit(Rabbit) (sp-0023) instructionsand DAB staining. |
风险提示:丁香通仅作为第三方平台,为商家信息发布提供平台空间。用户咨询产品时请注意保护个人信息及财产安全,合理判断,谨慎选购商品,商家和用户对交易行为负责。对于医疗器械类产品,请先查证核实企业经营资质和医疗器械产品注册证情况。
技术资料暂无技术资料 索取技术资料
GBA β-葡萄糖脑苷脂酶抗体
¥1380 - 2200











