相关产品推荐更多 >
万千商家帮你免费找货
0 人在求购买到急需产品
- 详细信息
- 文献和实验
- 技术资料
- 供应商:
上海康朗生物科技有限公司
- 库存:
大量
- 目录编号:
kl-6040R
- 克隆性:
多克隆
- 抗原来源:
Rabbit
- 保质期:
12个月
- 抗体英文名:
Protective protein/Cathepsin A antibody
- 抗体名:
组织蛋白酶A抗体
- 宿主:
Rabbit
- 适应物种:
Human, Mouse, Rat, Dog, Pig, Cow, Horse,
- 免疫原:
KLH conjugated synthetic peptide derived from human Protective protein:401-480/480
- 亚型:
IgG
- 形态:
冻干粉或液体
- 应用范围:
WB=1:500-2000 ELISA=1:500-1000 IHC-P=1:400-800 IHC-F=1:400-800 IF=1:100-500
- 浓度:
1mg/ml
- 保存条件:
-20 °C
- 规格:
100ul 200ul
| 中文名称 | 组织蛋白酶A抗体 |
| 别 名 | Cathepsin A; CTSA; BETA GALACTOSIDASE PROTECTIVE PROTEIN; Carboxypeptidase C; Glactosialidosis; GLB2; Goldberg Syndrome; GSL; Lysosomal protective protein; NEURAMINIDASE BETA GALACTOSIDASE EXPRESSION; NGBE; NGBE; PPCA; PPGB; Protective protein for beta galactosidase; PPGB_HUMAN. |
| 规格价格 | 100ul/1380元 购买 200ul/2200元 购买 大包装/询价 |
| 说 明 书 | 100ul 200ul |
| 研究领域 | 细胞生物 免疫学 |
| 抗体来源 | Rabbit |
| 克隆类型 | Polyclonal |
| 交叉反应 | Human, Mouse, Rat, Dog, Pig, Cow, Horse, |
| 产品应用 | WB=1:500-2000 ELISA=1:500-1000 IHC-P=1:400-800 IHC-F=1:400-800 IF=1:100-500 (石蜡切片需做抗原修复) not yet tested in other applications. optimal dilutions/concentrations should be determined by the end user. |
| 分 子 量 | 51kDa |
| 细胞定位 | 细胞浆 |
| 性 状 | Lyophilized or Liquid |
| 浓 度 | 1mg/ml |
| 免 疫 原 | KLH conjugated synthetic peptide derived from human Protective protein:401-480/480 |
| 亚 型 | IgG |
| 纯化方法 | affinity purified by Protein A |
| 储 存 液 | 0.01M TBS(pH7.4) with 1% BSA, 0.03% Proclin300 and 50% Glycerol. |
| 保存条件 | Store at -20 °C for one year. Avoid repeated freeze/thaw cycles. The lyophilized antibody is stable at room temperature for at least one month and for greater than a year when kept at -20°C. When reconstituted in sterile pH 7.4 0.01M PBS or diluent of antibody the antibody is stable for at least two weeks at 2-4 °C. |
| PubMed | PubMed |
| 产品介绍 | background: Lysosomal protective protein/cathepsin A (PPCA) is a lysosomal serine carboxypeptidase that forms an intralysosomal enzyme complex with ?galactosidase and neuraminidase (NEU1). PPCA is synthesized as a 54 kDa precursor/zymogen, and proteolytically cleaved in the lysosome into a catalytically active 32 and 20 kDa two chain enzyme. The enzyme has cathepsin A activity at acidic pH but maintains also a deamidase/esterase activity at neutral pH. Furthermore, the human enzyme, purified from platelets and lymphocytes, has been shown to function on the inactivation of selected neuropeptides, like substance P, oxytocin, and endothelin I. The autosomal recessive genetic deficiency of PPCA causes galactosialidosis, a neurodegenerative lysosomal storage disorder, resulting in the secondary deficiencies of ?galactosidase and NEU1. Function: Protective protein appears to be essential for both the activity of beta-galactosidase and neuraminidase, it associates with these enzymes and exerts a protective function necessary for their stability and activity. This protein is also a carboxypeptidase and can deamidate tachykinins. Subunit: Heterodimer of a 32 kDa chain and a 20 kDa chain; disulfide-linked. Subcellular Location: Lysosome. DISEASE: Defects in CTSA are the cause of galactosialidosis (GSL) [MIM:256540]. A lysosomal storage disease associated with a combined deficiency of beta-galactosidase and neuraminidase, secondary to a defect in cathepsin A. All patients have clinical manifestations typical of a lysosomal disorder, such as coarse facies, cherry red spots, vertebral changes, foam cells in the bone marrow, and vacuolated lymphocytes. Three phenotypic subtypes are recognized. The early infantile form is associated with fetal hydrops, edema, ascites, visceromegaly, skeletal dysplasia, and early death. The late infantile type is characterized by hepatosplenomegaly, growth retardation, cardiac involvement, and a normal or mildly affected mental state. The juvenile/adult form is characterized by myoclonus, ataxia, angiokeratoma, mental retardation, neurologic deterioration, absence of visceromegaly, and long survival. Similarity: Belongs to the peptidase S10 family. SWISS: P10619 Gene ID: 5476 Database links: Entrez Gene: 5476 Human Entrez Gene: 19025 Mouse Omim: 613111 Human SwissProt: P10619 Human SwissProt: P16675 Mouse Unigene: 609336 Human Unigene: 359633 Mouse Unigene: 474586 Mouse Important Note: This product as supplied is intended for research use only, not for use in human, therapeutic or diagnostic applications. |
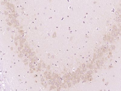
| 产品图片 | ![]() Sample: Spleen (Mouse) Lysate at 40 ug Primary: Anti-Protective protein (bs-6040R) at 1/300 dilution Secondary: IRDye800CW Goat Anti-Rabbit IgG at 1/20000 dilution Predicted band size: 51 kD Observed band size: 51 kD ![]() Sample: 293T Cell (Human) Lysate at 30 ug Primary: Anti-Protective protein (bs-6040R) at 1/300 dilution Secondary: IRDye800CW Goat Anti-Rabbit IgG at 1/20000 dilution Predicted band size: 51 kD Observed band size: 51 kD ![]() Paraformaldehyde-fixed, paraffin embedded (Rat brain); Antigen retrieval by boiling in sodium citrate buffer (pH6.0) for 15min; Block endogenous peroxidase by 3% hydrogen peroxide for 20 minutes; Blocking buffer (normal goat serum) at 37°C for 30min; Antibody incubation with (Protective protein,Cathepsin A) Polyclonal Antibody, Unconjugated (bs-6040R) at 1:400 overnight at 4°C, followed by operating according to SP Kit(Rabbit) (sp-0023) instructionsand DAB staining. |
风险提示:丁香通仅作为第三方平台,为商家信息发布提供平台空间。用户咨询产品时请注意保护个人信息及财产安全,合理判断,谨慎选购商品,商家和用户对交易行为负责。对于医疗器械类产品,请先查证核实企业经营资质和医疗器械产品注册证情况。
文献和实验of conjugated-Ig is added to the column. If 2mL of conjugated-Ig is added, discard first 1mL and keep the next 4mL. The antibody is always diluted by 2x after leaving the column. 5. When FITC coupling an antibody, you can determine the FITC to Protein ratio
step 5 min Antibody 15 min PBS Wash 6 x 2 min Protein A Gold 15 min PBS Wash 6 x 2 min Water Wash 5 x 1 min. Blocking Any "sticky" protein can be used to cover non-specific binding sites on the thawed sections
8.0) in clean 16x125mm polypropylene test tube. If needed, adjust pH to 8.0 using 0.5M carbonate buffer. 2. Prepare fresh, 1mg/mL of either NHS-FITC in DMSO or 1mg/mL NHS-LC-Biotin in DH2O. If FITC coupling, add 75uL of FITC/DMSO solution to Antibody
技术资料暂无技术资料 索取技术资料













