相关产品推荐更多 >
万千商家帮你免费找货
0 人在求购买到急需产品
- 详细信息
- 文献和实验
- 技术资料
- 供应商:
上海康朗生物科技有限公司
- 库存:
大量
- 目录编号:
kl-3770R
- 克隆性:
多克隆
- 抗原来源:
Rabbit
- 保质期:
12个月
- 抗体英文名:
Histone H3 (Di Methyl K4) antibody
- 抗体名:
二甲基化组蛋白H3K4抗体
- 宿主:
Rabbit
- 适应物种:
Human, Mouse, Rat, Pig, Cow, Rabbit, Fruit Fly,
- 免疫原:
KLH conjugated synthesised metylpeptide derived from human Histone H3 around the metylation site of Lys4:RT(Di Methyl-K)QT
- 亚型:
IgG
- 形态:
冻干粉或液体
- 应用范围:
WB=1:500-2000 ELISA=1:500-1000 IHC-P=1:400-800 IHC-F=1:400-800 Flow-Cyt=0.2μg /Test ICC=1:100-500 IF=1:100-500
- 浓度:
1mg/ml
- 保存条件:
-20 °C
- 规格:
100ul
| 中文名称 | 二甲基化组蛋白H3K4抗体 |
| 别 名 | Histone H3(Di Methyl Lys4); Di methyl Histone H3(Lys4); Di methyl Histone H3(K4); H3 histone family member E pseudogene; H3F3; HIST3H3; Histone H3 3 pseudogene; H31_TETTH; Histone H3; H3S; Histone H3-I/H3-II; Major histone H3; H3F; Histone H3/a; Histone H3/b; Histone H3/c; Histone H3/d; Histone H3/f; Histone H3/h; Histone H3/i; Histone H3/j; Histone H3/k; Histone H3/l. |
| 规格价格 | 100ul/1580元 购买 大包装/询价 |
| 说 明 书 | 100ul |
| 产品类型 | 甲基化抗体 |
| 研究领域 | 肿瘤 细胞生物 免疫学 染色质和核信号 转录调节因子 表观遗传学 |
| 抗体来源 | Rabbit |
| 克隆类型 | Polyclonal |
| 交叉反应 | Human, Mouse, Rat, Pig, Cow, Rabbit, Fruit Fly, |
| 产品应用 | WB=1:500-2000 ELISA=1:500-1000 IHC-P=1:400-800 IHC-F=1:400-800 Flow-Cyt=0.2μg /Test ICC=1:100-500 IF=1:100-500 (石蜡切片需做抗原修复) not yet tested in other applications. optimal dilutions/concentrations should be determined by the end user. |
| 分 子 量 | 15kDa |
| 细胞定位 | 细胞核 |
| 性 状 | Lyophilized or Liquid |
| 浓 度 | 1mg/ml |
| 免 疫 原 | KLH conjugated synthesised metylpeptide derived from human Histone H3 around the metylation site of Lys4:RT(Di Methyl-K)QT |
| 亚 型 | IgG |
| 纯化方法 | affinity purified by Protein A |
| 储 存 液 | 0.01M TBS(pH7.4) with 1% BSA, 0.03% Proclin300 and 50% Glycerol. |
| 保存条件 | Store at -20 °C for one year. Avoid repeated freeze/thaw cycles. The lyophilized antibody is stable at room temperature for at least one month and for greater than a year when kept at -20°C. When reconstituted in sterile pH 7.4 0.01M PBS or diluent of antibody the antibody is stable for at least two weeks at 2-4 °C. |
| PubMed | PubMed |
| 产品介绍 | background: Modulation of the chromatin structure plays an important role in the regulation of transcription in eukaryotes. The nucleosome, made up of four core histone proteins (H2A, H2B, H3 and H4), is the primary building block of chromatin. The N-terminal tail of core histones undergoes different posttranslational modifications including acetylation, phosphorylation and methylation. These modifications occur in response to cell signal stimuli and have a direct effect on gene expression. In most species, the histone H2B is primarily acetylated at lysines 5, 12, 15 and 20. Histone H3 is primarily acetylated at lysines 9, 14, 18 and 23. Acetylation at lysine 9 appears to have a dominant role in histone deposition and chromatin assembly in some organisms. Phosphorylation at Ser10 of histone H3 is tightly correlated with chromosome condensation during both mitosis and meiosis. Function: Core component of nucleosome. Nucleosomes wrap and compact DNA into chromatin, limiting DNA accessibility to the cellular machineries which require DNA as a template. Histones thereby play a central role in transcription regulation, DNA repair, DNA replication and chromosomal stability. DNA accessibility is regulated via a complex set of post-translational modifications of histones, also called histone code, and nucleosome remodeling. H3 is deposited into chromatin exclusively through a DNA replication-coupled pathway that can be associated with either DNA duplication or DNA repair synthesis during meiotic homologous recombination. Subunit: The nucleosome is a histone octamer containing two molecules each of H2A, H2B, H3 and H4 assembled in one H3-H4 heterotetramer and two H2A-H2B heterodimers. The octamer wraps approximately 147 bp of DNA. Interacts with GCN5, whereby H3S10ph increases histone-protein interactions. Interacts with PDD1 and PDD3. Subcellular Location: Nucleus. Chromosome. Note=Localizes to both the large, transcriptionally active, somatic macronucleus (MAC) and the small, transcriptionally inert, germ line micronucleus (MIC). Post-translational modifications: Phosphorylated to form H3S10ph. H3S10ph promotes subsequent H3K14ac formation by GCN5. H3S10ph is only found in the mitotically dividing MIC, but not in the amitotically dividing MAC. H3S10ph is correlated with chromosome condensation during mitotic or meiotic micronuclear divisions. Acetylation of histone H3 leads to transcriptional activation. H3K14ac formation by GCN5 is promoted by H3S10ph. H3K9acK14ac is the preferred acetylated form of newly synthesized H3. Acetylation occurs almost exclusively in the MAC. Methylated to form H3K4me. H3K4me is only found in the transcriptionally active MAC. Methylated to form H3K9me in developing MACs during conjugation, when genome-wide DNA elimination occurs. At this stage, H3K9me specifically occurs on DNA sequences being eliminated (IES), probably targeted by small scan RNAs (scnRNAs) bound to IES, and is required for efficient IES elimination. H3K9me is required for the interaction with the chromodomains of PDD1 and PDD3. The full-length protein H3S (slow migrating) is converted to H3F (fast migrating) by proteolytic removal of the first 6 residues. H3F is unique to MIC, and processing seems to occur regularly each generation at a specific point in the cell cycle. Similarity: Belongs to the histone H3 family. SWISS: P68431 Gene ID: 8290 Database links: Entrez Gene: 8290 Human Entrez Gene: 8350 Human Entrez Gene: 8351 Human Entrez Gene: 8352 Human Entrez Gene: 8353 Human Entrez Gene: 8354 Human Entrez Gene: 8355 Human Entrez Gene: 8356 Human Entrez Gene: 8357 Human Entrez Gene: 8358 Human Entrez Gene: 8968 Human Entrez Gene: 260423 Mouse Entrez Gene: 319148 Mouse Entrez Gene: 319149 Mouse Entrez Gene: 319150 Mouse Entrez Gene: 319151 Mouse Entrez Gene: 319152 Mouse Entrez Gene: 319153 Mouse Entrez Gene: 360198 Mouse Entrez Gene: 97908 Mouse Entrez Gene: 100364501 Rat Entrez Gene: 100365669 Rat Entrez Gene: 291159 Rat Entrez Gene: 314977 Rat Entrez Gene: 364716 Rat Entrez Gene: 679950 Rat Entrez Gene: 679994 Rat Entrez Gene: 680511 Rat Entrez Gene: 680599 Rat Entrez Gene: 682330 Rat Entrez Gene: 691496 Rat Omim: 601128 Human Omim: 602810 Human Omim: 602811 Human Omim: 602812 Human Omim: 602813 Human Omim: 602814 Human Omim: 602815 Human Omim: 602816 Human Omim: 602817 Human Omim: 602818 Human Omim: 602819 Human SwissProt: P68431 Human SwissProt: P84243 Human SwissProt: Q16695 Human SwissProt: Q6NXT2 Human SwissProt: Q71DI3 Human SwissProt: P68433 Mouse SwissProt: P84228 Mouse SwissProt: Q6LED0 Rat Unigene: 132854 Human Unigene: 247813 Human Unigene: 247814 Human Unigene: 248176 Human Unigene: 443021 Human Unigene: 484990 Human Unigene: 532144 Human Unigene: 533292 Human Unigene: 546315 Human Unigene: 586261 Human Unigene: 591778 Human Unigene: 221301 Mouse Unigene: 261657 Mouse Unigene: 377874 Mouse Unigene: 390558 Mouse Unigene: 397328 Mouse Unigene: 138090 Rat Important Note: This product as supplied is intended for research use only, not for use in human, therapeutic or diagnostic applications. |
| 产品图片 |
Sample:
NIH/3T3(Mouse) Cell Lysate at 40 ug Primary: Anti-Histone H3 (Di Methyl K4) (bs-3770R) at 1/300 dilution Secondary: IRDye800CW Goat Anti-Rabbit IgG at 1/20000 dilution Predicted band size: 15 kD Observed band size: 15 kD
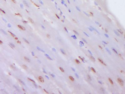
Paraformaldehyde-fixed, paraffin embedded (Rat heart); Antigen retrieval by boiling in sodium citrate buffer (pH6.0) for 15min; Block endogenous peroxidase by 3% hydrogen peroxide for 20 minutes; Blocking buffer (normal goat serum) at 37°C for 30min; Antibody incubation with (Histone H3 (Di Methyl K4)) Polyclonal Antibody, Unconjugated (bs-3770R) at 1:400 overnight at 4°C, followed by operating according to SP Kit(Rabbit) (sp-0023) instructionsand DAB staining.
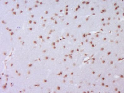
Paraformaldehyde-fixed, paraffin embedded (Mouse brain); Antigen retrieval by boiling in sodium citrate buffer (pH6.0) for 15min; Block endogenous peroxidase by 3% hydrogen peroxide for 20 minutes; Blocking buffer (normal goat serum) at 37°C for 30min; Antibody incubation with (Histone H3 (Di Methyl K4)) Polyclonal Antibody, Unconjugated (bs-3770R) at 1:400 overnight at 4°C, followed by operating according to SP Kit(Rabbit) (sp-0023) instructionsand DAB staining.
Blank control (blue line): Hela (fixed with 70% ethanol (Overnight at 4℃) and then permeabilized with 90% ice-cold methanol for 30 min on ice).
Primary Antibody (green line): Rabbit Anti-Histone H3 (Di Methyl K4) antibody (bs-3770R),Dilution: 0.2μg /10^6 cells; Isotype Control Antibody (orange line): Rabbit IgG . Secondary Antibody (white blue line): Goat anti-rabbit IgG-FITC, Dilution: 1μg /test. |
风险提示:丁香通仅作为第三方平台,为商家信息发布提供平台空间。用户咨询产品时请注意保护个人信息及财产安全,合理判断,谨慎选购商品,商家和用户对交易行为负责。对于医疗器械类产品,请先查证核实企业经营资质和医疗器械产品注册证情况。
文献和实验Affi nity Purifi cation of MLL3/MLL4 Histone H3K4 Methyltransferase Complex
Methylation on histone H3 lysine 4 (H3K4) correlates with actively transcribed genes. In mammalian cells, there exist multiple Set1-like histone H3K4 methyltransferase complexes, which have overlapping but distinct subunit compositions
Detection of Histone H3 Phosphorylation in Cultured Cells and Tissue Sections by Immunostaining
. The protocol described here allows the detection of phosphorylated histones in tissue-cultured cells and tissue sections by fluorescent or bright-field immunostaining analysis. Here we used a serine 10 specific P-histone H3 antibody to determine
FACS-Based Detection of Phosphorylated Histone H3 for the Quantitation of Mitotic Cells
scanner (FACS) is described, based on the presence of an intranuclear antigen present only in mitotic cells, detected using a specific, commercially available antibody. Cell staining and FACS analysis can be done in a single day, making this a rapid
技术资料暂无技术资料 索取技术资料














