相关产品推荐更多 >
万千商家帮你免费找货
0 人在求购买到急需产品
- 详细信息
- 文献和实验
- 技术资料
- 供应商:
上海康朗生物科技有限公司
- 库存:
大量
- 目录编号:
kl-3737R
- 克隆性:
多克隆
- 抗原来源:
Rabbit
- 保质期:
12个月
- 抗体英文名:
Phospho-PPAR Gamma (Ser112) antibody
- 抗体名:
磷酸化过氧化酶活化增生受体γ抗体
- 宿主:
Rabbit
- 适应物种:
Human, Mouse, Rat, Dog, Pig, Rabbit, Guinea Pig,
- 免疫原:
KLH conjugated synthesised phosphopeptide derived from human PPAR Gamma around the phosphorylation site of ser112:PA(p-S)PP
- 亚型:
IgG
- 形态:
冻干粉或液体
- 应用范围:
WB=1:500-2000 ELISA=1:500-1000 IHC-P=1:400-800 IHC-F=1:400-800 Flow-Cyt=1μg /Test IF=1:100-500
- 浓度:
1mg/ml
- 保存条件:
-20 °C
- 规格:
100ul
| 中文名称 | 磷酸化过氧化酶活化增生受体γ抗体 |
| 别 名 | PPAR Gamma (Phospho Ser112); PPAR Gamma (Phospho S112); PPAR Gamma (Phospho-Ser112); CIMT1; HUMPPARG; NR1C3; Nuclear receptor subfamily 1 group C member 3; PAX8/PPARG Fusion Gene; Peroxisome Proliferator Activated Receptor gamma; PPAR gamma; PPARG; PPARG1; PPARG2; PPARG3l; PPARG_HUMAN. |
| 规格价格 | 100ul/1580元 购买 大包装/询价 |
| 说 明 书 | 100ul |
| 产品类型 | 磷酸化抗体 |
| 研究领域 | 肿瘤 免疫学 细胞凋亡 激酶和磷酸酶 |
| 抗体来源 | Rabbit |
| 克隆类型 | Polyclonal |
| 交叉反应 | Human, Mouse, Rat, Dog, Pig, Rabbit, Guinea Pig, |
| 产品应用 | WB=1:500-2000 ELISA=1:500-1000 IHC-P=1:400-800 IHC-F=1:400-800 Flow-Cyt=1μg /Test IF=1:100-500 (石蜡切片需做抗原修复) not yet tested in other applications. optimal dilutions/concentrations should be determined by the end user. |
| 分 子 量 | 57kDa |
| 细胞定位 | 细胞核 细胞浆 |
| 性 状 | Lyophilized or Liquid |
| 浓 度 | 1mg/ml |
| 免 疫 原 | KLH conjugated synthesised phosphopeptide derived from human PPAR Gamma around the phosphorylation site of ser112:PA(p-S)PP |
| 亚 型 | IgG |
| 纯化方法 | affinity purified by Protein A |
| 储 存 液 | 0.01M TBS(pH7.4) with 1% BSA, 0.03% Proclin300 and 50% Glycerol. |
| 保存条件 | Store at -20 °C for one year. Avoid repeated freeze/thaw cycles. The lyophilized antibody is stable at room temperature for at least one month and for greater than a year when kept at -20°C. When reconstituted in sterile pH 7.4 0.01M PBS or diluent of antibody the antibody is stable for at least two weeks at 2-4 °C. |
| PubMed | PubMed |
| 产品介绍 | background: This gene encodes a member of the peroxisome proliferator-activated receptor (PPAR) subfamily of nuclear receptors. PPARs form heterodimers with retinoid X receptors (RXRs) and these heterodimers regulate transcription of various genes. Three subtypes of PPARs are known: PPAR-alpha, PPAR-delta, and PPAR-gamma. The protein encoded by this gene is PPAR-gamma and is a regulator of adipocyte differentiation. Additionally, PPAR-gamma has been implicated in the pathology of numerous diseases including obesity, diabetes, atherosclerosis and cancer. Alternatively spliced transcript variants that encode different isoforms have been described. [provided by RefSeq, Jul 2008]. Function: Receptor that binds peroxisome proliferators such as hypolipidemic drugs and fatty acids. Once activated by a ligand, the receptor binds to a promoter element in the gene for acyl-CoA oxidase and activates its transcription. It therefore controls the peroxisomal beta-oxidation pathway of fatty acids. Key regulator of adipocyte differentiation and glucose homeostasis. Subunit: "Forms a heterodimer with the retinoic acid receptor RXRA called adipocyte-specific transcription factor ARF6. Interacts with NCOA6 coactivator, leading to a strong increase in transcription of target genes. Interacts with coactivator PPARBP, leading to a mild increase in transcription of target genes. Interacts with FAM120B. Interacts with PRDM16 (By similarity). Interacts with NOCA7 in a ligand-inducible manner. Interacts with NCOA1 LXXLL motifs. Interacts with DNTTIP2, MAP2K1/MEK1, PRMT2 and TGFB1I1. Interacts with PDPK1. Interacts with ASXL1 AND ASXL2. Subcellular Location: Nucleus. Cytoplasm. Tissue Specificity: Highest expression in adipose tissue. Lower in skeletal muscle, spleen, heart and liver. Also detectable in placenta, lung and ovary. DISEASE: Note=Defects in PPARG can lead to type 2 insulin-resistant diabetes and hyptertension. PPARG mutations may be associated with colon cancer. Defects in PPARG may be associated with susceptibility to obesity (OBESITY) [MIM:601665]. It is a condition characterized by an increase of body weight beyond the limitation of skeletal and physical requirements, as the result of excessive accumulation of body fat. Defects in PPARG are the cause of familial partial lipodystrophy type 3 (FPLD3) [MIM:604367]. Familial partial lipodystrophies (FPLD) are a heterogeneous group of genetic disorders characterized by marked loss of subcutaneous (sc) fat from the extremities. Affected individuals show an increased preponderance of insulin resistance, diabetes mellitus and dyslipidemia. Genetic variations in PPARG can be associated with susceptibility to glioma type 1 (GLM1) [MIM:137800]. Gliomas are central nervous system neoplasms derived from glial cells and comprise astrocytomas, glioblastoma multiforme, oligodendrogliomas, and ependymomas. Note=Polymorphic PPARG alleles have been found to be significantly over-represented among a cohort of American patients with sporadic glioblastoma multiforme suggesting a possible contribution to disease susceptibility. Similarity: Belongs to the nuclear hormone receptor family. NR1 subfamily. Contains 1 nuclear receptor DNA-binding domain. SWISS: P37231 Gene ID: 5468 Database links: Entrez Gene: 281993 Cow Entrez Gene: 403606 Dog Entrez Gene: 5468 Human Entrez Gene: 19016 Mouse Entrez Gene: 397671 Pig Entrez Gene: 25664 Rat Omim: 601487 Human SwissProt: O18971 Cow SwissProt: Q4U3Q4 Dog SwissProt: P37231 Human SwissProt: P37238 Mouse SwissProt: O62807 Pig SwissProt: O88275 Rat Unigene: 162646 Human Unigene: 3020 Mouse Unigene: 23443 Rat Important Note: This product as supplied is intended for research use only, not for use in human, therapeutic or diagnostic applications. 类固醇受体(Steroid Receptors) 过氧化物酶体增殖物激活受体γ(PPARγ)主要存在于白色脂肪组织,PPARγ对于脂肪生成、血糖稳定、炎症反应、动脉粥样硬化和肿瘤等的发生都起到重要的作用。主要在脂肪细胞内表达。PPARγ是噻唑烷二酮类药物(TZDs)作用的药靶,又是脂肪细胞分化的重要调节因子。经研究发现,PPARγ在肥胖及胰岛素抵抗的发病机制中具有十分重要的意义,是治疗糖尿病、肥胖等代谢性疾病的重要药靶。 过氧化物酶体增殖物激活受体γ(PPARγ)属Ⅱ型核受体超家族成员,主要在脂肪细胞内表达。PPARγ是噻唑烷二酮类药物(TZDs)作用的药靶,又是脂肪细胞分化的重要调节因子。现有研究(包括一次于美国加州大学进行的研究)发现PPARγ在肥胖及胰岛素抵抗的发病机制中具有十分重要的意义,是治疗糖尿病、肥胖等代谢性疾病的重要药靶。目前,该受体蛋白质水平的筛选模式已经建立,并正在建立该受体的报告基因的细胞水平筛选评价模式。 |
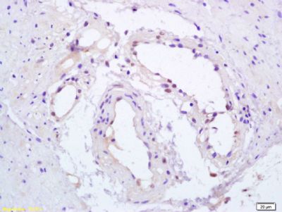
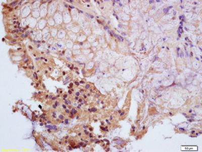
| 产品图片 | ![]() Sample: Heart (Mouse) Lysate at 30 ug Primary: Anti-Phospho-PPAR Gamma (ser112) (bs-3737R) at 1/300 dilution Secondary: IRDye800CW Goat Anti-Rabbit IgG at 1/20000 dilution Predicted band size: 57 kD Observed band size: 57 kD ![]() Tissue/cell: human gastric carcinoma; 4% Paraformaldehyde-fixed and paraffin-embedded; Antigen retrieval: citrate buffer ( 0.01M, pH 6.0 ), Boiling bathing for 15min; Block endogenous peroxidase by 3% Hydrogen peroxide for 30min; Blocking buffer (normal goat serum,C-0005) at 37鈩� for 20 min; Incubation: Anti-Phospho-PPAR Gamma(ser112) Polyclonal Antibody, Unconjugated(bs-3737R) 1:200, overnight at 4掳C, followed by conjugation to the secondary antibody(SP-0023) and DAB(C-0010) staining ![]() Tissue/cell: human colon carcinoma; 4% Paraformaldehyde-fixed and paraffin-embedded; Antigen retrieval: citrate buffer ( 0.01M, pH 6.0 ), Boiling bathing for 15min; Block endogenous peroxidase by 3% Hydrogen peroxide for 30min; Blocking buffer (normal goat serum,C-0005) at 37鈩� for 20 min; Incubation: Anti-Phospho-PPAR Gamma(ser112) Polyclonal Antibody, Unconjugated(bs-3737R) 1:200, overnight at 4掳C, followed by conjugation to the secondary antibody(SP-0023) and DAB(C-0010) staining ![]() Blank control (blue line): U251 (fixed with 70% ethanol (Overnight at 4℃) and then permeabilized with 90% ice-cold methanol for 30 min on ice). Primary Antibody (green line): Rabbit Anti-ho-PPAR Gamma (ser112) antibody (bs-3737R), Dilution: 1μg /10^6 cells; Isotype Control Antibody (orange line): Rabbit IgG . Secondary Antibody (white blue line): Goat anti-rabbit IgG-FITC,Dilution: 1μg /test. ![]() phosphopeptide non phosphopeptide |
风险提示:丁香通仅作为第三方平台,为商家信息发布提供平台空间。用户咨询产品时请注意保护个人信息及财产安全,合理判断,谨慎选购商品,商家和用户对交易行为负责。对于医疗器械类产品,请先查证核实企业经营资质和医疗器械产品注册证情况。
文献和实验Using Phospho‐Motif Antibodies to Determine Kinase Substrates
comprising both the phosphorylated residue and the surrounding residues that determine kinase specificity, with degenerate residues taking up the remaining positions. Currently, several categories of phospho?motif antibody are commercially available
Adipose Tissue-Specific PPAR Gene Targeting
The nuclear receptor peroxisome proliferator activated receptor gamma (PPARγ) is most abundantly expressed in adipose tissue and has been shown to play imperative roles in controlling adipogenesis and lipogenesis in cultured
Optimized Protocol to Make Phospho-Specific Antibodies that Work
, not simply its level of expression. In this review, we will discuss both the design of the phosphopeptide immunogen and immunization. The affinity purification of the phospho-specific antibody as well as the methods most suitable for characterizing
技术资料暂无技术资料 索取技术资料















