相关产品推荐更多 >
万千商家帮你免费找货
0 人在求购买到急需产品
- 详细信息
- 技术资料
- 供应商:
上海联迈生物工程有限公司
- 库存:
大量
- 目录编号:
LM-1152R
- 克隆性:
多克隆
- 抗原来源:
Rabbit
- 保质期:
1年
- 抗体英文名:
ATPase Na+/ K+ beta 2
- 抗体名:
钠钾ATP酶通道蛋白抗体
- 宿主:
Rabbit
- 适应物种:
Human, Mouse, Rat, Pig, Cow, Horse, Rabbit, Guinea Pig,
- 免疫原:
KLH conjugated synthetic peptide derived from human ATP1b2:201-290/290 <Extracellular>
- 亚型:
IgG
- 形态:
Lyophilized or Liquid
- 应用范围:
WB=1:500-2000 ELISA=1:500-1000 IHC-P=1:400-800 IHC-F=1:400-800 ICC=1:100-500 IF=1:100-500 (石蜡切片需做抗原修复)
- 浓度:
1mg/ml
- 保存条件:
Store at -20 °C
- 规格:
50ul 100ul 200ul
ATPase Na+/ K+ beta 2钠钾ATP酶通道蛋白抗体
| 英文名称 | ATPase Na+/ K+ beta 2 |
| 中文名称 | 钠钾ATP酶通道蛋白抗体 |
| 别 名 | adhesion molecule on glia; Na+K+ATPase; AMOG; AT1B2; AT1B2_HUMAN; ATP1B2; ATPase Na+/K+ transporting beta 2 polypeptide; ATPB2; ATPB2S; MGC93648; Na+/K+ -ATPase beta 2 subunit; Na, K ATPase beta 2 polypeptide; RATATPB2S; sodium potassium ATPase subunit beta 2 (non-catalytic); sodium pump subunit beta 2; sodium/potassium dependent ATPase beta 2 subunit; Sodium/potassium dependent ATPase subunit beta 2; sodium/potassium transporting ATPase beta 2 chain; sodium/potassium transporting ATPase subunit beta 2; Sodium/potassium-dependent ATPase subunit beta-2; Sodium/potassium-transporting ATPase subunit beta-2. |
| 规格价格 | 50ul/780元 购买 100ul/1380元 购买 200ul/2200元 购买 大包装/询价 |
| 说 明 书 | 50ul 100ul 200ul |
| 研究领域 | 通道蛋白 糖蛋白 |
| 抗体来源 | Rabbit |
| 克隆类型 | Polyclonal |
| 交叉反应 | Human, Mouse, Rat, Pig, Cow, Horse, Rabbit, Guinea Pig, |
| 产品应用 | WB=1:500-2000 ELISA=1:500-1000 IHC-P=1:400-800 IHC-F=1:400-800 ICC=1:100-500 IF=1:100-500 (石蜡切片需做抗原修复) not yet tested in other applications. optimal dilutions/concentrations should be determined by the end user. |
| 分 子 量 | 33kDa |
| 细胞定位 | 细胞膜 |
| 性 状 | Lyophilized or Liquid |
| 浓 度 | 1mg/ml |
| 免 疫 原 | KLH conjugated synthetic peptide derived from human ATP1b2:201-290/290 <Extracellular> |
| 亚 型 | IgG |
| 纯化方法 | affinity purified by Protein A |
| 储 存 液 | 0.01M TBS(pH7.4) with 1% BSA, 0.03% Proclin300 and 50% Glycerol. |
| 保存条件 | Store at -20 °C for one year. Avoid repeated freeze/thaw cycles. The lyophilized antibody is stable at room temperature for at least one month and for greater than a year when kept at -20°C. When reconstituted in sterile pH 7.4 0.01M PBS or diluent of antibody the antibody is stable for at least two weeks at 2-4 °C. |
| PubMed | PubMed |
| 产品介绍 | background: The protein encoded by this gene belongs to the family of Na+/K+ and H+/K+ ATPases beta chain proteins, and to the subfamily of Na+/K+ -ATPases. Na+/K+ -ATPase is an integral membrane protein responsible for establishing and maintaining the electrochemical gradients of Na and K ions across the plasma membrane. These gradients are essential for osmoregulation, for sodium-coupled transport of a variety of organic and inorganic molecules, and for electrical excitability of nerve and muscle. This enzyme is composed of two subunits, a large catalytic subunit (alpha) and a smaller glycoprotein subunit (beta). The beta subunit regulates, through assembly of alpha/beta heterodimers, the number of sodium pumps transported to the plasma membrane. The glycoprotein subunit of Na+/K+ -ATPase is encoded by multiple genes. This gene encodes a beta 2 subunit. [provided by RefSeq, Jul 2008] Function: This is the non-catalytic component of the active enzyme, which catalyzes the hydrolysis of ATP coupled with the exchange of Na(+) and K(+) ions across the plasma membrane. The exact function of the beta-2 subunit is not known. Subunit: Composed of three subunits: alpha (catalytic), beta and gamma. Subcellular Location: Membrane; Single-pass type II membrane protein. Similarity: Belongs to the X(+)/potassium ATPases subunit beta family. SWISS: P14415 Gene ID: 482 Database links: Entrez Gene: 482 Human Omim: 182331 Human SwissProt: P14415 Human Unigene: 643540 Human Important Note: This product as supplied is intended for research use only, not for use in human, therapeutic or diagnostic applications. 通道蛋白(Channel Protein) 钠钾ATP酶是位于细胞膜上的一种糖蛋白,与ATP 的分解和细胞内外钠、钾离子的转运密切相关,哺乳动物各种组织细胞的钠钾ATP 酶的免疫学特性基本相同。 |
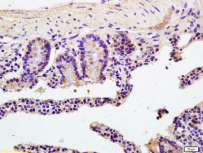
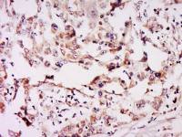
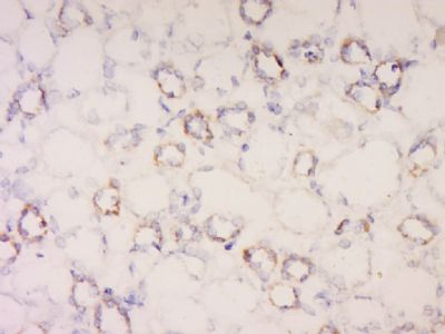
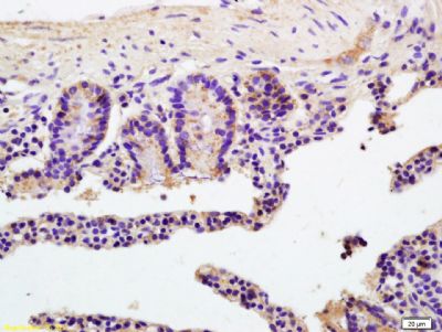
| 产品图片 | ![]() Sample: A549(Human) Cell Lysate at 30 ug Primary: Anti-ATPase Na+/ K+ beta 2 (bs-1152R) at 1/300 dilution Secondary: IRDye800CW Goat Anti-Rabbit IgG at 1/20000 dilution Predicted band size: 33 kD Observed band size: 33 kD ![]() Sample: NIH/3T3(mouse) Cell Lysate at 40 ug Primary: Anti-ATPaseNa+/K+ beta2 (bs-1152R) at 1/300 dilution Secondary: IRDye800CW Goat Anti-Rabbit IgG at 1/20000 dilution Predicted band size: 33 kD Observed band size: 33 kD ![]() Tissue/cell: human kidney tissue; 4% Paraformaldehyde-fixed and paraffin-embedded; Antigen retrieval: citrate buffer ( 0.01M, pH 6.0 ), Boiling bathing for 15min; Block endogenous peroxidase by 3% Hydrogen peroxide for 30min; Blocking buffer (normal goat serum,C-0005) at 37℃ for 20 min; Incubation: Anti-AMOG Polyclonal Antibody, Unconjugated(bs-1152R) 1:500, overnight at 4°C, followed by conjugation to the secondary antibody(SP-0023) and DAB(C-0010) staining ![]() Tissue/cell: mouse colon tissue; 4% Paraformaldehyde-fixed and paraffin-embedded; Antigen retrieval: citrate buffer ( 0.01M, pH 6.0 ), Boiling bathing for 15min; Block endogenous peroxidase by 3% Hydrogen peroxide for 30min; Blocking buffer (normal goat serum,C-0005) at 37℃ for 20 min; Incubation: Anti-ATP1b2/Na+K+ATPase Polyclonal Antibody, Unconjugated(bs-1152R) 1:200, overnight at 4°C, followed by conjugation to the secondary antibody(SP-0023) and DAB(C-0010) staining |
风险提示:丁香通仅作为第三方平台,为商家信息发布提供平台空间。用户咨询产品时请注意保护个人信息及财产安全,合理判断,谨慎选购商品,商家和用户对交易行为负责。对于医疗器械类产品,请先查证核实企业经营资质和医疗器械产品注册证情况。
技术资料暂无技术资料 索取技术资料
ATPase Na+/ K+ beta 2钠钾ATP酶通道蛋白抗体
¥780 - 2200













