相关产品推荐更多 >
万千商家帮你免费找货
0 人在求购买到急需产品
- 详细信息
- 文献和实验
- 技术资料
- 供应商:
上海联迈生物工程有限公司
- 库存:
大量
- 目录编号:
LM-11257R
- 克隆性:
多克隆
- 抗原来源:
Rabbit
- 保质期:
1年
- 抗体英文名:
RAB10
- 抗体名:
G蛋白结合蛋白RAB10抗体
- 宿主:
Rabbit
- 适应物种:
Human, Mouse, Rat, Chicken, Dog, Sheep,
- 免疫原:
KLH conjugated synthetic peptide derived from human RAB10:41-140/200
- 亚型:
IgG
- 形态:
Lyophilized or Liquid
- 应用范围:
WB=1:500-2000 ELISA=1:500-1000 IHC-P=1:400-800 IHC-F=1:400-800 ICC=1:100-500 IF=1:100-500 (石蜡切片需做抗原修复)
- 浓度:
1mg/ml
- 保存条件:
Store at -20 °C
- 规格:
100ul 200ul
| 英文名称 | RAB10 |
| 中文名称 | G蛋白结合蛋白RAB10抗体 |
| 别 名 | GTP binding protein RAB10; Rab 10; Rab-10; RAB10 member RAS oncogene family; RAB10_HUMAN; Ras related GTP binding protein; Ras related GTP binding protein RAB10; Ras-related protein Rab-10. |
| 规格价格 | 100ul/1380元 购买 200ul/2200元 购买 大包装/询价 |
| 说 明 书 | 100ul 200ul |
| 研究领域 | 信号转导 G蛋白偶联受体 G蛋白信号 |
| 抗体来源 | Rabbit |
| 克隆类型 | Polyclonal |
| 交叉反应 | Human, Mouse, Rat, Chicken, Dog, Sheep, |
| 产品应用 | WB=1:500-2000 ELISA=1:500-1000 IHC-P=1:400-800 IHC-F=1:400-800 ICC=1:100-500 IF=1:100-500 (石蜡切片需做抗原修复) not yet tested in other applications. optimal dilutions/concentrations should be determined by the end user. |
| 分 子 量 | 23kDa |
| 细胞定位 | 细胞浆 细胞膜 |
| 性 状 | Lyophilized or Liquid |
| 浓 度 | 1mg/ml |
| 免 疫 原 | KLH conjugated synthetic peptide derived from human RAB10:41-140/200 |
| 亚 型 | IgG |
| 纯化方法 | affinity purified by Protein A |
| 储 存 液 | 0.01M TBS(pH7.4) with 1% BSA, 0.03% Proclin300 and 50% Glycerol. |
| 保存条件 | Store at -20 °C for one year. Avoid repeated freeze/thaw cycles. The lyophilized antibody is stable at room temperature for at least one month and for greater than a year when kept at -20°C. When reconstituted in sterile pH 7.4 0.01M PBS or diluent of antibody the antibody is stable for at least two weeks at 2-4 °C. |
| PubMed | PubMed |
| 产品介绍 | background: The Ras-related superfamily of guanine nucleotide binding proteins, which includes the Ral/Rec, Rap, R-Ras, and Rho/Rab subfamilies, exhibit 30-60% homology with Ras p21 (1). Accumulating data suggests an important role for Rab proteins, either in endocytosis or in biosynthetic protein transport (1,2). The transport of newly synthesized proteins from the endoplasmic reticulum to various stacks of the Golgi complex and to secretory vesicles involves at each stage the movement of carrier vesicles, a process that appears to involve Rab protein function (1-6). The possibility that Rab proteins might also direct the exocytosis from secretory vesicles to the plasma membrane is supported by the observation that in yeast, the SEC4 protein, which is 40% homologous to Rab proteins, is associated with secretory vesicles (9). Several members of the Rab subfamily have been identified, each of which is found at a particular stage of a membrane transport pathway (3-8). Function: The small GTPases Rab are key regulators ofintracellular membrane trafficking, from the formation of transportvesicles to their fusion with membranes. Rabs cycle between aninactive GDP-bound form and an active GTP-bound form that is ableto recruit to membranes different set of downstream effectorsdirectly responsible for vesicle formation, movement, tethering andfusion (By similarity). That Rab is mainly involved in thebiosynthetic transport of proteins from the Golgi to the plasmamembrane. Regulates, for instance, SLC2A4/GLUT4 glucosetransporter-enriched vesicles delivery to the plasma membrane. Inparallel, it regulates the transport of TLR4, a toll-like receptorto the plasma membrane and therefore may be important for innateimmune response. Plays also a specific role in asymmetric proteintransport to the plasma membrane within the polarized neuron andepithelial cells. In neurons, it is involved in axonogenesisthrough regulation of vesicular membrane trafficking toward theaxonal plasma membrane while in epithelial cells, it regulatestransport from the Golgi to the basolateral membrane. Moreover, mayplay a role in the basolateral recycling pathway and in phagosomematuration. According to PubMed:23263280, may play a role inendoplasmic reticulum dynamics and morphology controllingtubulation along microtubules and tubules fusion. [ENZYME REGULATION] Rab activation is generally mediated by aguanine exchange factor (GEF), while inactivation throughhydrolysis of bound GTP is catalyzed by a GTPase activating protein(GAP) (By similarity). That Rab is activated by the DENND4C guanineexchange factor (GEF). Subunit: Interacts with MYO5A; mediates the transport to theplasma membrane of SLC2A4/GLUT4 storage vesicles. Interacts withGDI1 and maybe with GDI2; negatively regulates RAB10 associationwith membranes and activation. Interacts (GDP-bound form) withLLGL1; the interaction is direct and promotes RAB10 associationwith membranes and activation through competition with the Rabinhibitor GDI1 (By similarity). Interacts with EXOC4; probablyassociates with the exocyst (By similarity). Subcellular Location: Cytoplasmic vesicle membrane; Lipid-anchor(Probable); Cytoplasmic side (Probable). Golgi apparatus,trans-Golgi network membrane (By similarity). Endosome membrane.Recycling endosome membrane. Cytoplasmic vesicle, phagosomemembrane (By similarity). Cell projection, cilium. Endoplasmicreticulum membrane. Note=Associates with SLC2A4/GLUT4 storagevesicles. Localizes to the base of the cilium. Transientlyassociates with phagosomes (By similarity). According toPubMed:23263280 localizes to the endoplasmic reticulum at domainsof new tubule growth. DISEASE: Belongs to the small GTPase superfamily. Rab family. Similarity: Belongs to the small GTPase superfamily. Rab family. SWISS: P61026 Gene ID: 10890 Database links: Entrez Gene: 421994 Chicken Entrez Gene: 403958 Dog Entrez Gene: 19325 Mouse Entrez Gene: 50993 Rat SwissProt: P24409 Dog SwissProt: P61027 Mouse SwissProt: P35281 Rat Unigene: 378993 Mouse Unigene: 486858 Mouse Unigene: 65864 Rat Important Note: This product as supplied is intended for research use only, not for use in human, therapeutic or diagnostic applications. |
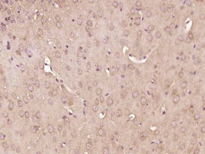
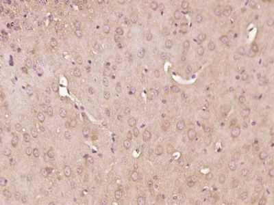
| 产品图片 | ![]() Paraformaldehyde-fixed, paraffin embedded (Mouse brain); Antigen retrieval by boiling in sodium citrate buffer (pH6.0) for 15min; Block endogenous peroxidase by 3% hydrogen peroxide for 20 minutes; Blocking buffer (normal goat serum) at 37°C for 30min; Antibody incubation with (RAB10) Polyclonal Antibody, Unconjugated (bs-11257R) at 1:400 overnight at 4°C, followed by operating according to SP Kit(Rabbit) (sp-0023) instructionsand DAB staining. |
风险提示:丁香通仅作为第三方平台,为商家信息发布提供平台空间。用户咨询产品时请注意保护个人信息及财产安全,合理判断,谨慎选购商品,商家和用户对交易行为负责。对于医疗器械类产品,请先查证核实企业经营资质和医疗器械产品注册证情况。
文献和实验GTP结合蛋白(GTP binding protein, G蛋白)
与GTP或GDP结合的蛋白质,又叫鸟苷酸结合调节蛋白(guanine nucleotide-binding regulatory protein)。从组成上看,有单体G蛋白(一条多肽链)和多亚基G蛋白(多条多肽链组成)。G蛋白参与细胞的多种生命活动,如细胞通讯、核糖体与内质网的结合、小泡运输、蛋白质合成等。 G蛋白偶联系统中的G蛋白是由三个不同亚基组成的异源三体,三个亚基分别是α、β、γ, 总相对分子质量在100kDa左右, β亚基为36 kDa左右, γ亚基
在过去的十年中,通过与正常对照组病例的比较,发现了几种阿尔茨海默病的遗传危险因素。不幸的是,这些基因变异的发现至今未能导致有效的治疗。现在,在《基因组医学》发表的一篇研究文章中,研究人员采取了相反的方法,对老年痴呆症高危人群进行检查,这些老年人在认知上保持健康。他们发现RAB10基因中的罕见变异可能提供对疾病的保护。图片1阿尔茨海默病(AD)是老年人最常见的神经退行性疾病,也是老年痴呆的主要原因;它在情感和经济上对受影响者及其照料者具有破坏性。到2050年,治疗这种致命疾病的费用预计将高达
和抗体配对最早于20世纪80年代被发现,当时科学家将Rho1D4抗体交联包被在琼脂糖凝胶上,用来纯化通过猴肾细胞表达的牛视紫红质。1,2从那时起,Rho1D4系统开始被广泛的用于小量膜蛋白提取的研究中,包括GPCR(G蛋白偶联受体),ATP结合盒转运蛋白(ATP-binding cassette transporter),溶质反向转运体和以及一种含四个跨膜域的膜蛋白。3) Rho1D4系统的优势和用途高纯度Rho1D4系统包含:标签、抗体偶联亲和基质(琼脂糖或磁珠等)以及洗脱多肽。Rho
技术资料暂无技术资料 索取技术资料











