相关产品推荐更多 >
万千商家帮你免费找货
0 人在求购买到急需产品
- 详细信息
- 文献和实验
- 技术资料
- 供应商:
上海联迈生物工程有限公司
- 库存:
大量
- 目录编号:
LM-11057R
- 克隆性:
多克隆
- 抗原来源:
Rabbit
- 保质期:
1年
- 抗体英文名:
Elastin
- 抗体名:
项韧带弹性蛋白抗体
- 宿主:
Rabbit
- 适应物种:
Human, Mouse, Rat, Dog, Pig, Cow,
- 免疫原:
KLH conjugated synthetic peptide derived from bovine Elastin:101-200/747
- 亚型:
IgG
- 形态:
Lyophilized or Liquid
- 应用范围:
WB=1:500-2000 ELISA=1:500-1000 IHC-P=1:400-800 IHC-F=1:400-800 ICC=1:100-500 IF=1:100-500 (石蜡切片需做抗原修复)
- 浓度:
1mg/ml
- 保存条件:
Store at -20 °C
- 规格:
100ul 200ul
| 英文名称 | Elastin |
| 中文名称 | 项韧带弹性蛋白抗体 |
| 别 名 | Elastin; ELN; SVAS; Tropoelastin; WBS; WS.ELN_BOVIN. |
| 规格价格 | 100ul/1380元 购买 200ul/2200元 购买 大包装/询价 |
| 说 明 书 | 100ul 200ul |
| 研究领域 | 神经生物学 信号转导 细胞粘附分子 细胞外基质 |
| 抗体来源 | Rabbit |
| 克隆类型 | Polyclonal |
| 交叉反应 | Human, Mouse, Rat, Dog, Pig, Cow, |
| 产品应用 | WB=1:500-2000 ELISA=1:500-1000 IHC-P=1:400-800 IHC-F=1:400-800 ICC=1:100-500 IF=1:100-500 (石蜡切片需做抗原修复) not yet tested in other applications. optimal dilutions/concentrations should be determined by the end user. |
| 分 子 量 | 80kDa |
| 细胞定位 | 细胞外基质 分泌型蛋白 |
| 性 状 | Lyophilized or Liquid |
| 浓 度 | 1mg/ml |
| 免 疫 原 | KLH conjugated synthetic peptide derived from bovine Elastin:101-200/747 |
| 亚 型 | IgG |
| 纯化方法 | affinity purified by Protein A |
| 储 存 液 | 0.01M TBS(pH7.4) with 1% BSA, 0.03% Proclin300 and 50% Glycerol. |
| 保存条件 | Store at -20 °C for one year. Avoid repeated freeze/thaw cycles. The lyophilized antibody is stable at room temperature for at least one month and for greater than a year when kept at -20°C. When reconstituted in sterile pH 7.4 0.01M PBS or diluent of antibody the antibody is stable for at least two weeks at 2-4 °C. |
| PubMed | PubMed |
| 产品介绍 | background: Elastic fibers, which are comprised primarily of elastin, endow loose connective tissue with a resilience that compliments the tensile strength of collagenous fibers. Elastin is the main component of the extracellular matrix of arteries, and it performs a regulatory function during arterial development by controlling proliferation of smooth muscle and stabilizing arterial structure. Elastin is composed largely of glycine, proline, and other hydrophobic residues, and it contains multiple lysine-derived crosslinks, such as desmosines, which link individual polypeptide chains into a rubber-like network. During aging, the elasticity of connective tissue becomes reduced because of the cross-linking of collagenous fibers with elastin. Deficiencies of elastin are associated with multiple disorders, such as supravalvular aortic stenosis and Williams-Beuren syndrome. The human elastin gene maps to chromosome 7q11.23. Function: Major structural protein of tissues such as aorta and nuchal ligament, which must expand rapidly and recover completely. Molecular determinant of the late arterial morphogenesis, stabilizing arterial structure by regulating proliferation and organization of vascular smooth muscle. Subunit: The polymeric elastin chains are cross-linked together into an extensible 3D network. Forms a ternary complex with BGN and MFAP2. Interacts with MFAP2 via divalent cations (calcium > magnesium > manganese) in a dose-dependent and saturating manner. Subcellular Location: Secreted, extracellular space, extracellular matrix. Note=Extracellular matrix of elastic fibers. Post-translational modifications: Elastin is formed through the cross-linking of its soluble precursor tropoelastin. Cross-linking is initiated through the action of lysyl oxidase on exposed lysines to form allysine. Subsequent spontaneous condensation reactions with other allysine or unmodified lysine residues result in various bi-, tri-, and tetrafunctional cross-links. The most abundant cross-links in mature elastin fibers are lysinonorleucine, allysine aldol, desmosine, and isodesmosine. Hydroxylation on proline residues within the sequence motif, GXPG, is most likely to be 4-hydroxy as this fits the requirement for 4-hydroxylation in vertebrates. Similarity: Belongs to the elastin family. SWISS: P04985 Gene ID: 2006 Database links: Entrez Gene: 2006 Human Entrez Gene: 25043 Rat Omim: 130160 Human SwissProt: P15502 Human SwissProt: P54320 Mouse SwissProt: Q99372 Rat Unigene: 647061 Human Unigene: 275320 Mouse Unigene: 404771 Mouse Unigene: 54384 Rat Important Note: This product as supplied is intended for research use only, not for use in human, therapeutic or diagnostic applications. |
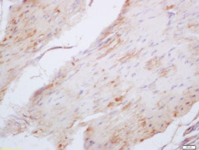
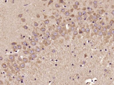
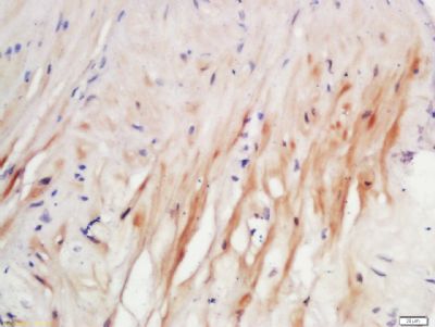
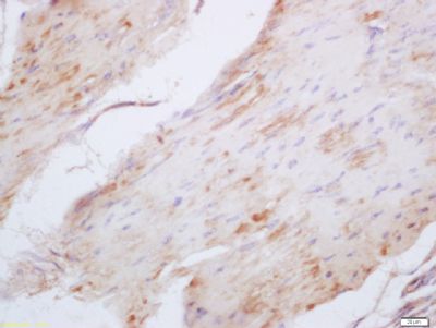
| 产品图片 | ![]() Sample: Uterus (Mouse) Lysate at 40 ug Primary: Anti-Elastin (bs-11057R) at 1/1000 dilution Secondary: IRDye800CW Goat Anti-Rabbit IgG at 1/20000 dilution Predicted band size: 80 kD Observed band size: 80 kD ![]() Sample: Lung (Mouse) Lysate at 40 ug Primary: Anti-Elastin (bs-11057R) at 1/1000 dilution Secondary: IRDye800CW Goat Anti-Rabbit IgG at 1/20000 dilution Predicted band size: 80 kD Observed band size: 80 kD ![]() Paraformaldehyde-fixed, paraffin embedded (Rat brain); Antigen retrieval by boiling in sodium citrate buffer (pH6.0) for 15min; Block endogenous peroxidase by 3% hydrogen peroxide for 20 minutes; Blocking buffer (normal goat serum) at 37°C for 30min; Antibody incubation with (Elastin) Polyclonal Antibody, Unconjugated (bs-11057R) at 1:500 overnight at 4°C, followed by a conjugated secondary (sp-0023) for 20 minutes and DAB staining. ![]() Tissue/cell: human cervical cancer; 4% Paraformaldehyde-fixed and paraffin-embedded; Antigen retrieval: citrate buffer ( 0.01M, pH 6.0 ), Boiling bathing for 15min; Block endogenous peroxidase by 3% Hydrogen peroxide for 30min; Blocking buffer (normal goat serum,C-0005) at 37℃ for 20 min; Incubation: Anti-Elastin Polyclonal Antibody, Unconjugated(bs-11057R) 1:200, overnight at 4°C, followed by conjugation to the secondary antibody(SP-0023) and DAB(C-0010) staining ![]() Tissue/cell: mouse stomach wall; 4% Paraformaldehyde-fixed and paraffin-embedded; Antigen retrieval: citrate buffer ( 0.01M, pH 6.0 ), Boiling bathing for 15min; Block endogenous peroxidase by 3% Hydrogen peroxide for 30min; Blocking buffer (normal goat serum,C-0005) at 37℃ for 20 min; Incubation: Anti-Elastin Polyclonal Antibody, Unconjugated(bs-11057R) 1:200, overnight at 4°C, followed by conjugation to the secondary antibody(SP-0023) and DAB(C-0010) staining |
风险提示:丁香通仅作为第三方平台,为商家信息发布提供平台空间。用户咨询产品时请注意保护个人信息及财产安全,合理判断,谨慎选购商品,商家和用户对交易行为负责。对于医疗器械类产品,请先查证核实企业经营资质和医疗器械产品注册证情况。
文献和实验为一种硬蛋白。构成高等动物的结缔组织、肌腱、大动脉外皮、颈索( ligamentum nuchae),爬行类的卵壳等。富于弹力,在热水、稀酸或稀碱中不溶,可被胃蛋白酶、胰蛋白酶缓慢分解。构成此蛋白的氨基酸约 90%是由亮氨酸、异亮氨酸、甘氨酸、脯氨酸、缬氨酸等 5种成分。
弹性蛋白是弹性纤维(elastic fibers)的主要成分。弹性纤维主要存在于韧带和脉管壁。弹性纤维与胶原纤维共同存在, 赋予组织以弹性和抗张能力。 象胶原一样,弹性蛋白也富含甘氨酸和脯氨酸,但是与胶原不同的是,弹性蛋白的羟基化程度不高,没有羟赖氨酸的存在。弹性蛋白分子间通过赖氨酸残基形成共价键进行相互交联,它们形成的交联网络可通过构型的变化产生弹性。 虽然胶原能够给细胞外基质以强度和韧性,但是对于某些组织来说还需要富有弹性。特别是肺、心脏等组织尤其
与胶原纤维都是结缔组织中的一种纤维。具有显著的伸展性,可伸长 1.5倍左右。可被雷索辛 -复红,染成蓝紫色。此纤维粗细很不一致,但电镜检查见不到更微细的构造。由弹性硬朊( elastin)构成,弹性硬朊中,稍含特异的氨基酸的 desmocine。煮沸不溶解,对酸、碱的抵抗很强,但可被胰蛋白酶和胃蛋白酶所分解。弹性纤维与合成胶原的胶原纤维系来源于同种细胞,在细胞外纤维化。广泛存在于硬骨鱼类以上的动物中,由于含有较多弹性纤维的组织具有弹性,所以也称为弹性组织。从发生
技术资料暂无技术资料 索取技术资料















