相关产品推荐更多 >
万千商家帮你免费找货
0 人在求购买到急需产品
- 详细信息
- 技术资料
- 供应商:
上海联迈生物工程有限公司
- 库存:
大量
- 目录编号:
LM-10806R
- 克隆性:
多克隆
- 抗原来源:
Rabbit
- 保质期:
1年
- 抗体英文名:
NGFB
- 抗体名:
神经生长因子β抗体
- 宿主:
Rabbit
- 适应物种:
Human, Rat, Dog, Pig, Cow, Sheep,
- 免疫原:
Recombinded human NGF beta full length protein:
- 亚型:
IgG
- 形态:
Lyophilized or Liquid
- 应用范围:
WB=1:500-2000 ELISA=1:500-1000 IHC-P=1:400-800 IHC-F=1:400-800 ICC=1:100-500 IF=1:100-500 (石蜡切片需做抗原修复)
- 浓度:
1mg/ml
- 保存条件:
Store at -20 °C
- 规格:
100ul 200ul
NGFB神经生长因子β抗体
| 英文名称 | NGFB |
| 中文名称 | 神经生长因子β抗体 |
| 别 名 | NGF; Beta nerve growth factor; NGF-beta; Beta nerve growth factor precursor; Beta NGF; HSAN5; MGC161426; MGC161428; Nerve growth factor beta; Nerve growth factor beta polypeptide; Nerve growth factor beta subunit; NGF B; NGFB; NID67; NGF beta; NGF-B; NGF_HUMAN. |
| 规格价格 | 100ul/1380元 购买 200ul/2200元 购买 大包装/询价 |
| 说 明 书 | 100ul 200ul |
| 研究领域 | 发育生物学 神经生物学 细胞因子 |
| 抗体来源 | Rabbit |
| 克隆类型 | Polyclonal |
| 交叉反应 | Human, Rat, Dog, Pig, Cow, Sheep, |
| 产品应用 | WB=1:500-2000 ELISA=1:500-1000 IHC-P=1:400-800 IHC-F=1:400-800 ICC=1:100-500 IF=1:100-500 (石蜡切片需做抗原修复) not yet tested in other applications. optimal dilutions/concentrations should be determined by the end user. |
| 分 子 量 | 13kDa |
| 细胞定位 | 分泌型蛋白 |
| 性 状 | Lyophilized or Liquid |
| 浓 度 | 1mg/ml |
| 免 疫 原 | Recombinded human NGF beta full length protein: |
| 亚 型 | IgG |
| 纯化方法 | affinity purified by Protein A |
| 储 存 液 | 0.01M TBS(pH7.4) with 1% BSA, 0.03% Proclin300 and 50% Glycerol. |
| 保存条件 | Store at -20 °C for one year. Avoid repeated freeze/thaw cycles. The lyophilized antibody is stable at room temperature for at least one month and for greater than a year when kept at -20°C. When reconstituted in sterile pH 7.4 0.01M PBS or diluent of antibody the antibody is stable for at least two weeks at 2-4 °C. |
| PubMed | PubMed |
| 产品介绍 | background: This gene is a member of the NGF-beta family and encodes a secreted protein which homodimerizes and is incorporated into a larger complex. This protein has nerve growth stimulating activity and the complex is involved in the regulation of growth and the differentiation of sympathetic and certain sensory neurons. Mutations in this gene have been associated with hereditary sensory and autonomic neuropathy, type 5 (HSAN5), and dysregulation of this gene's expression is associated with allergic rhinitis. [provided by RefSeq, Jul 2008] Function: Nerve growth factor is important for the development and maintenance of the sympathetic and sensory nervous systems. Extracellular ligand for the NTRK1 and NGFR receptors, activates cellular signaling cascades through those receptor tyrosine kinase to regulate neuronal proliferation, differentiation and survival. Subunit: Homodimer. Subcellular Location: Secreted. DISEASE: Defects in NGF are the cause of hereditary sensory and autonomic neuropathy type 5 (HSAN5) [MIM:608654]. The hereditary sensory and autonomic neuropathies are a genetically and clinically heterogeneous group of disorders characterized by degeneration of dorsal root and autonomic ganglion cells, and by sensory and/or autonomic abnormalities. HSAN5 patients manifest loss of pain perception and impaired temperature sensitivity, ulcers, and in some cases self-mutilation. The autonomic involvement is variable. Similarity: Belongs to the NGF-beta family. SWISS: P01138 Gene ID: 4803 Database links: Entrez Gene: 4803 Human Entrez Gene: 18049 Mouse Entrez Gene: 310738 Rat Omim: 162030 Human SwissProt: P01138 Human SwissProt: P01139 Mouse SwissProt: P25427 Rat Unigene: 2561 Human Unigene: 1259 Mouse Unigene: 22168 Rat Important Note: This product as supplied is intended for research use only, not for use in human, therapeutic or diagnostic applications. |
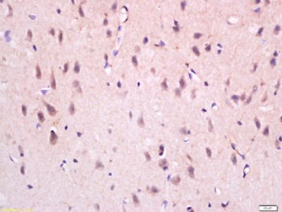
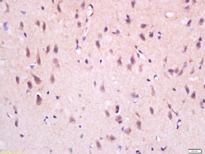
| 产品图片 | ![]() Sample: Brain (Rat) Lysate at 40 ug Primary: Anti-NGFB (bs-10806R) at 1/300 dilution Secondary: IRDye800CW Goat Anti-Rabbit IgG at 1/20000 dilution Predicted band size: 13 kD Observed band size: 15 kD ![]() Tissue/cell: Rat brain tissue; 4% Paraformaldehyde-fixed and paraffin-embedded; Antigen retrieval: citrate buffer ( 0.01M, pH 6.0 ), Boiling bathing for 15min; Block endogenous peroxidase by 3% Hydrogen peroxide for 30min; Blocking buffer (normal goat serum,C-0005) at 37℃ for 20 min; Incubation: Anti-NGFB Polyclonal Antibody, Unconjugated(bs-10806R) 1:200, overnight at 4°C, followed by conjugation to the secondary antibody(SP-0023) and DAB(C-0010) staining |
风险提示:丁香通仅作为第三方平台,为商家信息发布提供平台空间。用户咨询产品时请注意保护个人信息及财产安全,合理判断,谨慎选购商品,商家和用户对交易行为负责。对于医疗器械类产品,请先查证核实企业经营资质和医疗器械产品注册证情况。
技术资料暂无技术资料 索取技术资料
NGFB神经生长因子β抗体
¥1380 - 2200












