相关产品推荐更多 >
万千商家帮你免费找货
0 人在求购买到急需产品
- 详细信息
- 文献和实验
- 技术资料
- 供应商:
上海联迈生物工程有限公司
- 库存:
大量
- 目录编号:
LM-10648R
- 克隆性:
多克隆
- 抗原来源:
Rabbit
- 保质期:
1年
- 抗体英文名:
Cardiac Troponin T
- 抗体名:
心肌特异性肌钙蛋白T抗体
- 宿主:
Rabbit
- 适应物种:
Human, Mouse, Rat, Dog, Pig, Cow,
- 免疫原:
KLH conjugated synthetic peptide derived from human Cardiac Troponin T:201-298/298
- 亚型:
IgG
- 形态:
Lyophilized or Liquid
- 应用范围:
WB=1:500-2000 ELISA=1:500-1000 IHC-P=1:400-800 IHC-F=1:400-800 Flow-Cyt=1μg/Test ICC=1:100-500 IF=1:100-500 (石蜡切片需做抗原修复)
- 浓度:
1mg/ml
- 保存条件:
Store at -20 °C
- 规格:
100ul 200ul
| 英文名称 | Cardiac Troponin T |
| 中文名称 | 心肌特异性肌钙蛋白T抗体 |
| 别 名 | Cardiac muscle troponin T; Cardiomyopathy dilated 1D (autosomal dominant); Cardiomyopathy hypertrophic 2; CMD1D; CMH2; CMPD2; cTnT; LVNC6; MGC3889; OTTHUMP00000033864; OTTHUMP00000033865; OTTHUMP00000033866; OTTHUMP00000033867; OTTHUMP00000033870; OTTHUMP00000218095; RCM3; TNNT 2; TNNT2; TNNT2_HUMAN; TnTC; Troponin T cardiac muscle; Troponin T type 2 (cardiac); Troponin T type 2 cardiac; Troponin T, cardiac muscle; Troponin T2; Troponin T2 cardiac. |
| 规格价格 | 100ul/1380元 购买 200ul/2200元 购买 大包装/询价 |
| 说 明 书 | 100ul 200ul |
| 研究领域 | 心血管 免疫学 |
| 抗体来源 | Rabbit |
| 克隆类型 | Polyclonal |
| 交叉反应 | Human, Mouse, Rat, Dog, Pig, Cow, |
| 产品应用 | WB=1:500-2000 ELISA=1:500-1000 IHC-P=1:400-800 IHC-F=1:400-800 Flow-Cyt=1μg/Test ICC=1:100-500 IF=1:100-500 (石蜡切片需做抗原修复) not yet tested in other applications. optimal dilutions/concentrations should be determined by the end user. |
| 分 子 量 | 36kDa |
| 细胞定位 | 细胞浆 |
| 性 状 | Lyophilized or Liquid |
| 浓 度 | 1mg/ml |
| 免 疫 原 | KLH conjugated synthetic peptide derived from human Cardiac Troponin T:201-298/298 |
| 亚 型 | IgG |
| 纯化方法 | affinity purified by Protein A |
| 储 存 液 | 0.01M TBS(pH7.4) with 1% BSA, 0.03% Proclin300 and 50% Glycerol. |
| 保存条件 | Store at -20 °C for one year. Avoid repeated freeze/thaw cycles. The lyophilized antibody is stable at room temperature for at least one month and for greater than a year when kept at -20°C. When reconstituted in sterile pH 7.4 0.01M PBS or diluent of antibody the antibody is stable for at least two weeks at 2-4 °C. |
| PubMed | PubMed |
| 产品介绍 | background: The protein encoded by this gene is the tropomyosin-binding subunit of the troponin complex, which is located on the thin filament of striated muscles and regulates muscle contraction in response to alterations in intracellular calcium ion concentration. Mutations in this gene have been associated with familial hypertrophic cardiomyopathy as well as with dilated cardiomyopathy. Transcripts for this gene undergo alternative splicing that results in many tissue-specific isoforms, however, the full-length nature of some of these variants has not yet been determined. [provided by RefSeq]. Function: Troponin T is the tropomyosin-binding subunit of troponin, the thin filament regulatory complex which confers calcium-sensitivity to striated muscle actomyosin ATPase activity. Subcellular Location: Cytoplasm. Tissue Specificity: Heart. The fetal heart shows a greater expression in the atrium than in the ventricle, while the adult heart shows a greater expression in the ventricle than in the atrium. Isoform 6 predominates in normal adult heart. Isoforms 1, 7 and 8 are expressed in fetal heart. Isoform 7 is also expressed in failing adult heart. DISEASE: Cardiomyopathy, familial hypertrophic 2 (CMH2) [MIM:115195]: A hereditary heart disorder characterized by ventricular hypertrophy, which is usually asymmetric and often involves the interventricular septum. The symptoms include dyspnea, syncope, collapse, palpitations, and chest pain. They can be readily provoked by exercise. The disorder has inter- and intrafamilial variability ranging from benign to malignant forms with high risk of cardiac failure and sudden cardiac death. Note=The disease is caused by mutations affecting the gene represented in this entry. Cardiomyopathy, dilated 1D (CMD1D) [MIM:601494]: A disorder characterized by ventricular dilation and impaired systolic function, resulting in congestive heart failure and arrhythmia. Patients are at risk of premature death. Note=The disease is caused by mutations affecting the gene represented in this entry. Cardiomyopathy, familial restrictive 3 (RCM3) [MIM:612422]: A heart disorder characterized by impaired filling of the ventricles with reduced diastolic volume, in the presence of normal or near normal wall thickness and systolic function. Note=The disease is caused by mutations affecting the gene represented in this entry. Similarity: Belongs to the troponin T family. SWISS: P45379 Gene ID: 7139 Database links: Entrez Gene: 493940 Cat Entrez Gene: 286816 Cow Entrez Gene: 403532 Dog Entrez Gene: 7139 Human Entrez Gene: 21956 Mouse Entrez Gene: 100622450 Pig Entrez Gene: 100009428 Rabbit Entrez Gene: 24837 Rat Omim: 191045 Human SwissProt: P13789 Cow SwissProt: P45379 Human SwissProt: P50752 Mouse SwissProt: P09741 Rabbit SwissProt: P50753 Rat Unigene: 533613 Human Unigene: 247470 Mouse Unigene: 9965 Rat Important Note: This product as supplied is intended for research use only, not for use in human, therapeutic or diagnostic applications. |
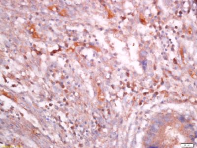
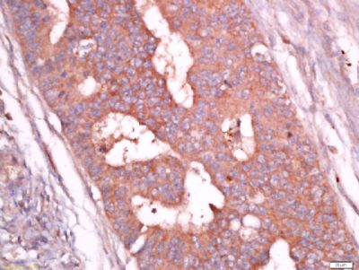
| 产品图片 | ![]() Sample: H9C2(Rat) Cell Lysate at 30 ug Primary: Anti-alpha smooth muscle Actin (bs-10648R) at 1/500 dilution Secondary: IRDye800CW Goat Anti-Rabbit IgG at 1/20000 dilution Predicted band size: 36 kD Observed band size: 36 kD ![]() Tissue/cell: human colon cancer; 4% Paraformaldehyde-fixed and paraffin-embedded; Antigen retrieval: citrate buffer ( 0.01M, pH 6.0 ), Boiling bathing for 15min; Block endogenous peroxidase by 3% Hydrogen peroxide for 30min; Blocking buffer (normal goat serum,C-0005) at 37℃ for 20 min; Incubation: Anti-TNNT2 Polyclonal Antibody, Unconjugated(bs-10648R) 1:400, overnight at 4°C, followed by conjugation to the secondary antibody(SP-0023) and DAB(C-0010) staining ![]() Tissue/cell: human colon cancer; 4% Paraformaldehyde-fixed and paraffin-embedded; Antigen retrieval: citrate buffer ( 0.01M, pH 6.0 ), Boiling bathing for 15min; Block endogenous peroxidase by 3% Hydrogen peroxide for 30min; Blocking buffer (normal goat serum,C-0005) at 37℃ for 20 min; Incubation: Anti-TNNT2 Polyclonal Antibody, Unconjugated(bs-10648R) 1:400, overnight at 4°C, followed by conjugation to the secondary antibody(SP-0023) and DAB(C-0010) staining ![]() Tissue/cell: rat heart tissue; 4% Paraformaldehyde-fixed and paraffin-embedded; Antigen retrieval: citrate buffer ( 0.01M, pH 6.0 ), Boiling bathing for 15min; Block endogenous peroxidase by 3% Hydrogen peroxide for 30min; Blocking buffer (normal goat serum,C-0005) at 37℃ for 20 min; Incubation: Anti-TNNT2 Polyclonal Antibody, Unconjugated(bs-10648R) 1:500, overnight at 4°C, followed by conjugation to the secondary antibody(SP-0023) and DAB(C-0010) staining ![]() Tissue/cell: rat heart tissue;4% Paraformaldehyde-fixed and paraffin-embedded; Antigen retrieval: citrate buffer ( 0.01M, pH 6.0 ), Boiling bathing for 15min; Blocking buffer (normal goat serum,C-0005) at 37℃ for 20 min; Incubation: Anti-TNNT2 Polyclonal Antibody, Unconjugated(bs-R) 1:500, overnight at 4°C; The secondary antibody was Goat Anti-Rabbit IgG, Cy3 conjugated(bs-0295G-Cy3)used at 1:200 dilution for 40 minutes at 37°C. DAPI(5ug/ml,blue,C-0033) was used to stain the cell nuclei ![]() Blank control:U-2OS. Primary Antibody (green line): Rabbit Anti-TNNT2 antibody (bs-10648R) Dilution: 1μg /10^6 cells; Isotype Control Antibody (orange line): Rabbit IgG . Secondary Antibody : Goat anti-rabbit IgG-AF647 Dilution: 1μg /test. Protocol The cells were fixed with 4% PFA (10min at room temperature)and then permeabilized with 20% PBST for 20 min at-20℃. The cells were then incubated in 5%BSA to block non-specific protein-protein interactions for 30 min at at room temperature .Cells stained with Primary Antibody for 30 min at room temperature. The secondary antibody used for 40 min at room temperature. Acquisition of 20,000 events was performed. ![]() Blank control:U-2OS. Primary Antibody (green line): Rabbit Anti-TNNT2 antibody (bs-10648R) Dilution: 1μg /10^6 cells; Isotype Control Antibody (orange line): Rabbit IgG . Secondary Antibody : Goat anti-rabbit IgG-AF647 Dilution: 1μg /test. Protocol The cells were fixed with 4% PFA (10min at room temperature)and then permeabilized with 20% PBST for 20 min at-20℃. The cells were then incubated in 5%BSA to block non-specific protein-protein interactions for 30 min at at room temperature .Cells stained with Primary Antibody for 30 min at room temperature. The secondary antibody used for 40 min at room temperature. Acquisition of 20,000 events was performed. ![]() Positive control: H9C2 cells Concebtration: 2μg/10^6 cells Incubation conditions: Avoid light , 30 minutes on the ice. |
风险提示:丁香通仅作为第三方平台,为商家信息发布提供平台空间。用户咨询产品时请注意保护个人信息及财产安全,合理判断,谨慎选购商品,商家和用户对交易行为负责。对于医疗器械类产品,请先查证核实企业经营资质和医疗器械产品注册证情况。
文献和实验Assessment of patients with acute coronary syndromes (ACS), including chest pain, is often a diagnostic challenge to physicians. Biochemical markers of myocardial injury have become routine in assisting clinicians in confirming the diagnosis
Optimization of Cardiac Troponin I Pull-Down by Idm Affinity Beads and SELDI-TOF
Cardiac troponin I (cTnI) is a key regulator of cardiac muscle contraction. Upon myocardial cell injury, cTnI is lost from the cardiac myocyte and can be detected in serum, in some cases with specific disease-induced modifications, making
Myofilament Protein Phosphorylation by PKC in Genetically Engineered Adult Cardiac Myocytes
in myocytes now makes it possible to investigate the relative phosphorylation of a given contractile protein as it resides within the intact myofilament. Contractile proteins, including troponin I (TnI), troponin T (TnT), myosin light chain 2 (MLC
技术资料暂无技术资料 索取技术资料


















