相关产品推荐更多 >
万千商家帮你免费找货
0 人在求购买到急需产品
- 详细信息
- 文献和实验
- 技术资料
- 供应商:
上海联迈生物工程有限公司
- 库存:
大量
- 目录编号:
LM-7665R
- 克隆性:
多克隆
- 抗原来源:
Rabbit
- 保质期:
1年
- 抗体英文名:
NUP50
- 抗体名:
核孔蛋白50抗体
- 宿主:
Rabbit
- 适应物种:
Human, Mouse, Rat, Dog, Pig, Horse, Rabbit,
- 免疫原:
KLH conjugated synthetic peptide derived from human NUP50:351-450/468
- 亚型:
IgG
- 形态:
Lyophilized or Liquid
- 应用范围:
ELISA=1:500-1000 IHC-P=1:400-800 IHC-F=1:400-800 IF=1:100-500 (石蜡切片需做抗原修复)
- 浓度:
1mg/ml
- 保存条件:
Store at -20 °C
- 规格:
100ul 200ul
| 英文名称 | NUP50 |
| 中文名称 | 核孔蛋白50抗体 |
| 别 名 | NPAP60; NPAP60L; Nuclear pore-associated protein 60 kDa-like; nucleoporin 50; NUP50_HUMAN. |
| 规格价格 | 100ul/1380元 购买 200ul/2200元 购买 大包装/询价 |
| 说 明 书 | 100ul 200ul |
| 研究领域 | 细胞生物 信号转导 细胞凋亡 转录调节因子 表观遗传学 |
| 抗体来源 | Rabbit |
| 克隆类型 | Polyclonal |
| 交叉反应 | Human, Mouse, Rat, Dog, Pig, Horse, Rabbit, |
| 产品应用 | ELISA=1:500-1000 IHC-P=1:400-800 IHC-F=1:400-800 IF=1:100-500 (石蜡切片需做抗原修复) not yet tested in other applications. optimal dilutions/concentrations should be determined by the end user. |
| 分 子 量 | 50kDa |
| 细胞定位 | 细胞核 细胞膜 |
| 性 状 | Lyophilized or Liquid |
| 浓 度 | 1mg/ml |
| 免 疫 原 | KLH conjugated synthetic peptide derived from human NUP50:351-450/468 |
| 亚 型 | IgG |
| 纯化方法 | affinity purified by Protein A |
| 储 存 液 | 0.01M TBS(pH7.4) with 1% BSA, 0.03% Proclin300 and 50% Glycerol. |
| 保存条件 | Store at -20 °C for one year. Avoid repeated freeze/thaw cycles. The lyophilized antibody is stable at room temperature for at least one month and for greater than a year when kept at -20°C. When reconstituted in sterile pH 7.4 0.01M PBS or diluent of antibody the antibody is stable for at least two weeks at 2-4 °C. |
| PubMed | PubMed |
| 产品介绍 | background: NUP50 is a component of the nuclear pore complex that has a direct role in nuclear protein export. NUP50 may serve as a binding site on the nuclear side of the pore complex for export receptor-cargo complexes. NUP50 interacts with multiple transport receptor proteins including p27Kip1. This interaction is required for correct intracellular transport and degradation of p27Kip1. Function: Component of the nuclear pore complex that has a direct role in nuclear protein import. Actively displaces NLSs from importin-alpha, and facilitates disassembly of the importin-alpha:beta-cargo complex and importin recycling. Interacts with multiple transport receptor proteins including CDKN1B. This interaction is required for correct intracellular transport and degradation of CDKN1B. Subunit: Interacts with Importin alpha-2, Importin beta, Importin beta-2, NUP153, Ran binding protein 7, CDKN1B and itself (By similarity). Subcellular Location: Nucleus, nuclear pore complex. Nucleus membrane; Peripheral membrane protein; Nucleoplasmic side (By similarity). Note=Localizes to the nucleoplasmic fibrils of the nuclear pore complex (By similarity). Tissue Specificity: Ubiquitous. Highest levels in testis, peripheral blood leukocytes and fetal liver. Similarity: Contains 1 RanBD1 domain. SWISS: Q9UKX7 Gene ID: 10762 Database links: Entrez Gene: 10762 Human Entrez Gene: 18141 Mouse Entrez Gene: 25497 Rat Omim: 604646 Human SwissProt: Q9UKX7 Human SwissProt: Q9JIH2 Mouse SwissProt: O08587 Rat Unigene: 727643 Human Unigene: 28379 Mouse Unigene: 391486 Mouse Unigene: 123156 Rat Unigene: 3242 Rat Important Note: This product as supplied is intended for research use only, not for use in human, therapeutic or diagnostic applications. |
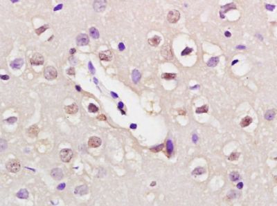
| 产品图片 | ![]() Tissue/cell: rat brain tissue; 4% Paraformaldehyde-fixed and paraffin-embedded; Antigen retrieval: citrate buffer ( 0.01M, pH 6.0 ), Boiling bathing for 15min; Block endogenous peroxidase by 3% Hydrogen peroxide for 30min; Blocking buffer (normal goat serum,C-0005) at 37℃ for 20 min; Incubation: Anti-NUP50 Polyclonal Antibody, Unconjugated(bs-7665R) 1:200, overnight at 4°C, followed by conjugation to the secondary antibody(SP-0023) and DAB(C-0010) staining |
风险提示:丁香通仅作为第三方平台,为商家信息发布提供平台空间。用户咨询产品时请注意保护个人信息及财产安全,合理判断,谨慎选购商品,商家和用户对交易行为负责。对于医疗器械类产品,请先查证核实企业经营资质和医疗器械产品注册证情况。
文献和实验一、原理deae-sephadex a-50(二乙氨基—乙基-葡萄糖凝胶a-50)为弱碱性阳离子交换剂。用NaOH将Cl-型转变为OH-型后,可吸附酸性蛋白。血清中的γ球蛋白属于中性蛋白(等电点为pH6.85~7.5),其余均属酸性蛋白。pH7.2~7.4的环境中,酸性蛋白均被deae- sephadex a-50吸附,只有γ球蛋白不被吸附。因此,通过柱层析,γ球蛋白便可在洗脱中先流出,而其他蛋白则被吸附在柱上,从而便可分离获得纯化的IgG。1、试剂(1)盐析提取的人γ球蛋白(2)0.5N
DEAE-Sephadex A-50 提取法纯化多克隆抗体 DEAE-Sephadex A-50(简称A-50)为弱碱性阴离子交换剂,经过NaOH处理将Cl- 型转为OH- 型后,可吸附酸性蛋白。γ1球蛋白属中性蛋白,等电点为pH6.85~7.5,其余均属酸性蛋白。在溶液为pH8.0时,酸性蛋白均被A-50 吸附。从而可分离纯化IgG。 1. 批量吸附法 此法可在1天内完成提取过程,纯化前后样品体积变化不大,
XBB.1.5 毒株的传播力为何这么强?北大曹云龙团队最新研究揭示相关机制
1 月 3 日,北京大学曹云龙团队及其合作者在预印本平台 bioRxiv,发表了题为 Enhanced transmissibility of XBB.1.5 is contributed by both strong ACE2 binding and antibody evasion 的文章,报道了关于 XBB.1.5 的最新研究成果。该研究表明,XBB.1.5 的传播性增强是由与 ACE2 的强结合和抗体逃逸共同促成的,该团队此前开发的中和抗体 SA55 对 XBB.1.5 仍有很强的活性
技术资料暂无技术资料 索取技术资料











