相关产品推荐更多 >
万千商家帮你免费找货
0 人在求购买到急需产品
- 详细信息
- 文献和实验
- 技术资料
- 供应商:
上海康朗生物科技有限公司
- 库存:
大量
- 目录编号:
kl-3084R
- 克隆性:
多克隆
- 抗原来源:
Rabbit
- 保质期:
12个月
- 抗体英文名:
Phospho-Beta-Catenin (Ser33 + Ser37) antibody
- 抗体名:
磷酸化β 连环素蛋白抗体
- 宿主:
Rabbit
- 适应物种:
Human, Mouse, Rat, Chicken, Pig, Rabbit,
- 免疫原:
KLH conjugated Synthesised phosphopeptide derived from human Beta-Catenin around the phosphorylation site of Ser33/37:LD(p-S)GIH(p-S)GA
- 亚型:
IgG
- 形态:
冻干粉或液体
- 应用范围:
WB=1:500-2000 ELISA=1:500-1000 IHC-P=1:400-800 IHC-F=1:400-800 Flow-Cyt=0.2μg /test ICC=1:100-500 IF=1:100-500
- 浓度:
1mg/ml
- 保存条件:
-20 °C
- 规格:
100ul
| 中文名称 | 磷酸化β 连环素蛋白抗体 |
| 别 名 | beta Catenin (phospho S33/37); beta Catenin (phospho Ser33/37); p-beta Catenin (S33/37); p-beta Catenin (Ser33/37); p-beta Catenin (phospho S33/37); beta-catenin; beta catenin; CTNNB1; CHBCAT; CTNNB1; CTNNB; PRO2286; Cadherin associated protein; Catenin (cadherin associated protein), beta 1, 88kDa; Catenin beta 1; Catenin beta-1; CATNB; CTNB1_HUMAN; CTNNB; CTNNB1; DKFZp686D02253; FLJ25606; FLJ37923; b-catenin; OTTHUMP00000162082; OTTHUMP00000165222; OTTHUMP00000165223; OTTHUMP00000209288; OTTHUMP00000209289; Catenin-β; Catenin β. |
| 规格价格 | 100ul/1580元 购买 大包装/询价 |
| 说 明 书 | 100ul |
| 产品类型 | 磷酸化抗体 |
| 研究领域 | 肿瘤 信号转导 细胞凋亡 细胞粘附分子 细胞分化 |
| 抗体来源 | Rabbit |
| 克隆类型 | Polyclonal |
| 交叉反应 | Human, Mouse, Rat, Chicken, Pig, Rabbit, |
| 产品应用 | WB=1:500-2000 ELISA=1:500-1000 IHC-P=1:400-800 IHC-F=1:400-800 Flow-Cyt=0.2μg /test ICC=1:100-500 IF=1:100-500 (石蜡切片需做抗原修复) not yet tested in other applications. optimal dilutions/concentrations should be determined by the end user. |
| 分 子 量 | 86kDa |
| 细胞定位 | 细胞核 细胞浆 细胞膜 |
| 性 状 | Lyophilized or Liquid |
| 浓 度 | 1mg/ml |
| 免 疫 原 | KLH conjugated Synthesised phosphopeptide derived from human Beta-Catenin around the phosphorylation site of Ser33/37:LD(p-S)GIH(p-S)GA |
| 亚 型 | IgG |
| 纯化方法 | affinity purified by Protein A |
| 储 存 液 | 0.01M TBS(pH7.4) with 1% BSA, 0.03% Proclin300 and 50% Glycerol. |
| 保存条件 | Store at -20 °C for one year. Avoid repeated freeze/thaw cycles. The lyophilized antibody is stable at room temperature for at least one month and for greater than a year when kept at -20°C. When reconstituted in sterile pH 7.4 0.01M PBS or diluent of antibody the antibody is stable for at least two weeks at 2-4 °C. |
| PubMed | PubMed |
| 产品介绍 | background: The protein encoded by this gene is part of a complex of proteins that constitute adherens junctions (AJs). AJs are necessary for the creation and maintenance of epithelial cell layers by regulating cell growth and adhesion between cells. The encoded protein also anchors the actin cytoskeleton and may be responsible for transmitting the contact inhibition signal that causes cells to stop dividing once the epithelial sheet is complete. Finally, this protein binds to the product of the APC gene, which is mutated in adenomatous polyposis of the colon. Mutations in this gene are a cause of colorectal cancer (CRC), pilomatrixoma (PTR), medulloblastoma (MDB), and ovarian cancer. Three transcript variants encoding the same protein have been found for this gene.[provided by RefSeq, Oct 2009]. Function: Key downstream component of the canonical Wnt signaling pathway. In the absence of Wnt, forms a complex with AXIN1, AXIN2, APC, CSNK1A1 and GSK3B that promotes phosphorylation on N-terminal Ser and Thr residues and ubiquitination of CTNNB1 via BTRC and its subsequent degradation by the proteasome. In the presence of Wnt ligand, CTNNB1 is not ubiquitinated and accumulates in the nucleus, where it acts as a coactivator for transcription factors of the TCF/LEF family, leading to activate Wnt responsive genes. Involved in the regulation of cell adhesion. Acts as a negative regulator of centrosome cohesion. Involved in the CDK2/PTPN6/CTNNB1/CEACAM1 pathway of insulin internalization. Blocks anoikis of malignant kidney and intestinal epithelial cells and promotes their anchorage-independent growth by down-regulating DAPK2. Disrupts PML function and PML-NB formation by inhibiting RANBP2-mediated sumoylation of PML. Subunit: Two separate complex-associated pools are found in the cytoplasm. The majority is present as component of an E-cadherin/ catenin adhesion complex composed of at least E-cadherin/CDH1 and beta-catenin/CTNNB1, and possibly alpha-catenin/CTNNA1; the complex is located to adherens junctions. The stable association of CTNNA1 is controversial as CTNNA1 was shown not to bind to F-actin when assembled in the complex. Alternatively, the CTNNA1-containing complex may be linked to F-actin by other proteins such as LIMA1. Another cytoplasmic pool is part of a large complex containing AXIN1, AXIN2, APC, CSNK1A1 and GSK3B that promotes phosphorylation on N-terminal Ser and Thr residues and ubiquitination of CTNNB1 via BTRC and its subsequent degradation by the proteasome. Wnt-dependent activation of DVL antagonizes the action of GSK3B. When GSK3B activity is inhibited the complex dissociates, CTNNB1 is dephosphorylated and is no longer targeted for destruction. The stabilized protein translocates to the nucleus, where it binds TCF/LEF-1 family members, TBP, BCL9 and possibly also RUVBL1 and CHD8. Binds CTNNBIP and EP300. CTNNB1 forms a ternary complex with LEF1 and EP300 that is disrupted by CTNNBIP1 binding (By similarity). Interacts with TAX1BP3 (via the PDZ domain); this interaction inhibits the transcriptional activity of CTNNB1 (By similarity). Interacts with AJAP1, BAIAP1, CARM1, CTNNA3, CXADR and PCDH11Y. Binds SLC9A3R1. Interacts with GLIS2 and MUC1. Interacts with SLC30A9. Interacts with XIRP1 (By similarity). Interacts directly with AXIN1; the interaction is regulated by CDK2 phosphorylation of AXIN1 (By similarity). Interacts with SCRIB (By similarity). Interacts with PTPRU (via the cytoplasmic juxtamembrane domain). Interacts with EMD. Interacts with TNIK and TCF7L2. Interacts with SESTD1 and TRPC4. Interacts with CAV1. Interacts with TRPV4. The TRPV4 and CTNNB1 complex can interact with CDH1. Interacts with VCL (By similarity). Interacts with PTPRJ. Interacts with PKT7 and CDK2. Interacts with FAT1 (via the cytoplasmic domain) (By similarity). Interacts with NANOS1 and NDRG2. Interacts with isoform 1 of NEK2. Interacts with both isoform 1 and isoform 2 of CDK5. Interacts with PTK6. Interacts with SOX7; this interaction may lead to proteasomal degradation of active CTNNB1 and thus inhibition of Wnt/beta-catenin-stimulated transcription. Identified in a complex with HINT1 and MITF. Interacts with FHIT. The CTNNB1 and TCF4 complex interacts with PML (isoform PML-4). Interacts with FERMT2. Identified in a complex with TCF4 and FERMT2. Subcellular Location: Cytoplasm. Nucleus. Cytoplasm, cytoskeleton. Cell junction, adherens junction. Cell junction. Cell membrane. Cytoplasm, cytoskeleton, centrosome. Cytoplasm, cytoskeleton, spindle pole. Note=Cytoplasmic when it is unstabilized (high level of phosphorylation) or bound to CDH1. Translocates to the nucleus when it is stabilized (low level of phosphorylation). Interaction with GLIS2 and MUC1 promotes nuclear translocation. Interaction with EMD inhibits nuclear localization. The majority of beta-catenin is localized to the cell membrane. In interphase, colocalizes with CROCC between CEP250 puncta at the proximal end of centrioles, and this localization is dependent on CROCC and CEP250. In mitosis, when NEK2 activity increases, it localizes to centrosomes at spindle poles independent of CROCC. Co-localizes with CDK5 in the cell-cell contacts and plasma membrane of undifferentiated and differentiated neuroblastoma cells. Tissue Specificity: Expressed in several hair follicle cell types: basal and peripheral matrix cells, and cells of the outer and inner root sheaths. Expressed in colon. Present in cortical neurons (at protein level). Post-translational modifications: Phosphorylation at Ser-552 by AMPK promotes stabilizion of the protein, enhancing TCF/LEF-mediated transcription. Phosphorylation by GSK3B requires prior phosphorylation of Ser-45 by another kinase. Phosphorylation proceeds then from Thr-41 to Ser-37 and Ser-33. Phosphorylated by NEK2. EGF stimulates tyrosine phosphorylation. Phosphorylation on Tyr-654 decreases CDH1 binding and enhances TBP binding. Phosphorylated on Ser-33 and Ser-37 by HIPK2. This phosphorylation triggers proteasomal degradation. Phosphorylation on Ser-191 and Ser-246 by CDK5. Phosphorylation by CDK2 regulates insulin internalization. Phosphorylation by PTK6 at Tyr-64, Tyr-142, Tyr-331 and/or Tyr-333 with the predominant site at Tyr-64 is not essential for inhibition of transcriptional activity. Ubiquitinated by the SCF(BTRC) E3 ligase complex when phosphorylated by GSK3B, leading to its degradation. Ubiquitinated by a E3 ubiquitin ligase complex containing UBE2D1, SIAH1, CACYBP/SIP, SKP1, APC and TBL1X, leading to its subsequent proteasomal degradation (By similarity). S-nitrosylation at Cys-619 within adherens junctions promotes VEGF-induced, NO-dependent endothelial cell permeability by disrupting interaction with E-cadherin, thus mediating disassembly adherens junctions. DISEASE: Colorectal cancer (CRC) [MIM:114500]: A complex disease characterized by malignant lesions arising from the inner wall of the large intestine (the colon) and the rectum. Genetic alterations are often associated with progression from premalignant lesion (adenoma) to invasive adenocarcinoma. Risk factors for cancer of the colon and rectum include colon polyps, long-standing ulcerative colitis, and genetic family history. Note=The gene represented in this entry may be involved in disease pathogenesis. Note=Activating mutations in CTNNB1 have oncogenic activity resulting in tumor development. Somatic mutations are found in various tumor types, including colon cancers, ovarian and prostate carcinomas, hepatoblastoma (HB), hepatocellular carcinoma (HCC). HBs are malignant embryonal tumors mainly affecting young children in the first three years of life. Pilomatrixoma (PTR) [MIM:132600]: Common benign skin tumor. Note=The disease is caused by mutations affecting the gene represented in this entry. Medulloblastoma (MDB) [MIM:155255]: Malignant, invasive embryonal tumor of the cerebellum with a preferential manifestation in children. Note=The gene represented in this entry may be involved in disease pathogenesis. Ovarian cancer (OC) [MIM:167000]: The term ovarian cancer defines malignancies originating from ovarian tissue. Although many histologic types of ovarian tumors have been described, epithelial ovarian carcinoma is the most common form. Ovarian cancers are often asymptomatic and the recognized signs and symptoms, even of late-stage disease, are vague. Consequently, most patients are diagnosed with advanced disease. Note=Disease susceptibility is associated with variations affecting the gene represented in this entry. Note=A chromosomal aberration involving CTNNB1 is found in salivary gland pleiomorphic adenomas, the most common benign epithelial tumors of the salivary gland. Translocation t(3;8)(p21;q12) with PLAG1. Mesothelioma, malignant (MESOM) [MIM:156240]: An aggressive neoplasm of the serosal lining of the chest. It appears as broad sheets of cells, with some regions containing spindle-shaped, sarcoma-like cells and other regions showing adenomatous patterns. Pleural mesotheliomas have been linked to exposure to asbestos. Note=The gene represented in this entry may be involved in disease pathogenesis. Similarity: Belongs to the beta-catenin family. Contains 12 ARM repeats. SWISS: P35222 Gene ID: 1499 Database links: Entrez Gene: 1499 Human Entrez Gene: 12387 Mouse Entrez Gene: 84353 Rat Omim: 116806 Human SwissProt: P35222 Human SwissProt: Q02248 Mouse SwissProt: Q9WU82 Rat Unigene: 476018 Human Unigene: 291928 Mouse Unigene: 112601 Rat Important Note: This product as supplied is intended for research use only, not for use in human, therapeutic or diagnostic applications. 细胞粘附蛋白(Call Adhesion Protein) β连环素蛋白β-catenin是一种多功能的蛋白质,能链接E-\N-,钙粘附分子具有参与细胞粘附和介导信号转导的双重功能,并与肿瘤的发生发展及浸润密切相关。 在正常个体中,β-catenin和钙黏蛋白形成复合体,介导同型细胞的粘附,维持细胞的稳定;同时,β-catenin作为Wnt/β-catenin信号通路的关键成员在介导信号转导过程中调控细胞的增殖和凋亡。 在恶性肿瘤中,β-catenin的表达呈现明显的异质性,促使细胞异常增殖,还可使细胞之间的黏附性减弱,侵袭性增强。 |
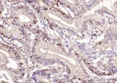
| 产品图片 | ![]() Sample: A431(Human) Cell Lysate at 30 ug Primary: Anti-Phospho-Beta-Catenin (Ser33 + Ser37) (bs-3084R) at 1/1000 dilution Secondary: IRDye800CW Goat Anti-Rabbit IgG at 1/20000 dilution Predicted band size: 86 kD Observed band size: 86 kD ![]() Sample: Hela(Human) Cell Lysate at 30 ug Primary: Anti-Phospho-Beta-Catenin (Ser33 + Ser37) (bs-3084R) at 1/1000 dilution Secondary: IRDye800CW Goat Anti-Rabbit IgG at 1/20000 dilution Predicted band size: 86 kD Observed band size: 86 kD ![]() Sample: 293T(Human) Cell Lysate at 30 ug Primary: Anti-Phospho-Beta-Catenin (Ser33 + Ser37) (bs-3084R) at 1/1000 dilution Secondary: IRDye800CW Goat Anti-Rabbit IgG at 1/20000 dilution Predicted band size: 86 kD Observed band size: 86 kD ![]() Tissue/cell: rat brain tissue; 4% Paraformaldehyde-fixed and paraffin-embedded; Antigen retrieval: citrate buffer ( 0.01M, pH 6.0 ), Boiling bathing for 15min; Block endogenous peroxidase by 3% Hydrogen peroxide for 30min; Blocking buffer (normal goat serum,C-0005) at 37℃ for 20 min; Incubation: Anti-Phospho-Beta-Catenin (Ser33+37) Polyclonal Antibody, Unconjugated(bs-3084R) 1:200, overnight at 4°C, followed by conjugation to the secondary antibody(SP-0023) and DAB(C-0010) staining ![]() Tissue/cell: rat brain tissue; 4% Paraformaldehyde-fixed and paraffin-embedded; Antigen retrieval: citrate buffer ( 0.01M, pH 6.0 ), Boiling bathing for 15min; Block endogenous peroxidase by 3% Hydrogen peroxide for 30min; Blocking buffer (normal goat serum,C-0005) at 37℃ for 20 min; Incubation: Anti-Phospho-Beta-Catenin (Ser33+37) Polyclonal Antibody, Unconjugated(bs-3084R) 1:200, overnight at 4°C, followed by conjugation to the secondary antibody(SP-0023) and DAB(C-0010) staining ![]() Blank control (blue line): Hela (fixed with 70% ethanol (Overnight at 4℃) and then permeabilized with 90% ice-cold methanol for 30 min on ice). Primary Antibody (green line): Rabbit Anti-Phospho-Beta-Catenin (Ser33+37) antibody (bs-3084R),Dilution:0.2μg /10^6 cells. Isotype Control Antibody (orange line): Rabbit IgG . Secondary Antibody (white blue line): Goat anti-rabbit IgG-FITC,Dilution: 1μg /test. |
风险提示:丁香通仅作为第三方平台,为商家信息发布提供平台空间。用户咨询产品时请注意保护个人信息及财产安全,合理判断,谨慎选购商品,商家和用户对交易行为负责。对于医疗器械类产品,请先查证核实企业经营资质和医疗器械产品注册证情况。
文献和实验dongreyuan 有的抗体名称上面写着Ab-33,比如,β-catenin(Ab-33)antibody,请问,Ab-33是什么意思? bettyzyj 这个抗体是非磷酸化的抗体non-phospho-antibody ,33 代表的是基因位点 dongreyuan 谢谢了 yhwangcams bettyzyj wrote
。 如果beta-catenin抗体不好使,或者EGFP太大影响定位的话,还可以构建Flag标签类载体,转染细胞,加入药物,用抗Flag抗体免疫荧光检测,荧光显微镜下观察就好了。 wangjh28 但按照事先的推测,处理了以后会下调该基因的表达 我觉得科学不能有事先的推测的结果,这样容易受思维定势的影响,而忽略了新发现 dongreyuan 我打算用SAB的β-catenin(Ab-37)Antibody,说明
Using Phospho‐Motif Antibodies to Determine Kinase Substrates
comprising both the phosphorylated residue and the surrounding residues that determine kinase specificity, with degenerate residues taking up the remaining positions. Currently, several categories of phospho?motif antibody are commercially available
技术资料暂无技术资料 索取技术资料
















