相关产品推荐更多 >
万千商家帮你免费找货
0 人在求购买到急需产品
- 详细信息
- 技术资料
- 供应商:
上海康朗生物科技有限公司
- 库存:
大量
- 目录编号:
kl-2706R
- 克隆性:
多克隆
- 抗原来源:
Rabbit
- 保质期:
12个月
- 抗体英文名:
SIGLEC10 antibody
- 抗体名:
唾液酸结合性免疫球蛋白样凝集素抗体
- 宿主:
Rabbit
- 适应物种:
Human, Mouse, Rat, Dog, Pig,
- 免疫原:
KLH conjugated synthetic peptide derived from human SIGLEC10:321-420/697 <Extracellular>
- 亚型:
IgG
- 形态:
冻干粉或液体
- 应用范围:
WB=1:500-2000 ELISA=1:500-1000 IHC-P=1:400-800 IHC-F=1:400-800 ICC=1:100-500 IF=1:100-500
- 浓度:
1mg/ml
- 保存条件:
-20 °C
- 规格:
100ul 200ul
SIGLEC10 antibody
| 中文名称 | 唾液酸结合性免疫球蛋白样凝集素抗体 |
| 别 名 | PRO940; mSiglec G; Sialic acid binding Ig like lectin 10; Sialic acid binding Ig like lectin 10; sialic acid binding Ig like lectin 10 Ig like lectin 7; sialic acid binding Ig like lectin G; Sialic acid binding Immunoglobulin like lectin 10; SIGLEC 10; Siglec G; siglec like gene 2; Siglec like protein 2; Siglec like protein 2; Siglecg; SLG2. |
| 规格价格 | 100ul/1380元 购买 200ul/2200元 购买 大包装/询价 |
| 说 明 书 | 100ul 200ul |
| 研究领域 | 细胞生物 免疫学 自然杀伤细胞 |
| 抗体来源 | Rabbit |
| 克隆类型 | Polyclonal |
| 交叉反应 | Human, Mouse, Rat, Dog, Pig, |
| 产品应用 | WB=1:500-2000 ELISA=1:500-1000 IHC-P=1:400-800 IHC-F=1:400-800 ICC=1:100-500 IF=1:100-500 (石蜡切片需做抗原修复) not yet tested in other applications. optimal dilutions/concentrations should be determined by the end user. |
| 分 子 量 | 60kDa |
| 细胞定位 | 细胞膜 分泌型蛋白 |
| 性 状 | Lyophilized or Liquid |
| 浓 度 | 1mg/ml |
| 免 疫 原 | KLH conjugated synthetic peptide derived from human SIGLEC10:321-420/697 <Extracellular> |
| 亚 型 | IgG |
| 纯化方法 | affinity purified by Protein A |
| 储 存 液 | 0.01M TBS(pH7.4) with 1% BSA, 0.03% Proclin300 and 50% Glycerol. |
| 保存条件 | Store at -20 °C for one year. Avoid repeated freeze/thaw cycles. The lyophilized antibody is stable at room temperature for at least one month and for greater than a year when kept at -20°C. When reconstituted in sterile pH 7.4 0.01M PBS or diluent of antibody the antibody is stable for at least two weeks at 2-4 °C. |
| PubMed | PubMed |
| 产品介绍 | background: SIGLECs are members of the immunoglobulin superfamily that are expressed on the cell surface. Most SIGLECs have 1 or more cytoplasmic immune receptor tyrosine-based inhibitory motifs, or ITIMs. SIGLECs are typically expressed on cells of the innate immune system, with the exception of the B-cell expressed SIGLEC6 (MIM 604405).[supplied by OMIM, Jul 2002] Function: Putative adhesion molecule that mediates sialic-acid dependent binding to cells. Preferentially binds to alpha-2,3- or alpha-2,6-linked sialic acid. The sialic acid recognition site may be masked by cis interactions with sialic acids on the same cell surface. In the immune response, may act as an inhibitory receptor upon ligand induced tyrosine phosphorylation by recruiting cytoplasmic phosphatase(s) via their SH2 domain(s) that block signal transduction through dephosphorylation of signaling molecules. Subunit: Interacts with PTPN6/SHP-1 upon phosphorylation. Subcellular Location: Isoform 1, 2, 3, 4: Cell membrane; Single-pass type I membrane protein. Isoform 5: Secreted. Tissue Specificity: Expressed by peripheral blood leukocytes (eosinophils, monocytes and a natural killer cell subpopulation). Isoform 5 is found to be the most abundant isoform. Found in lymph node, lung, ovary and appendix. Isoform 1 is found at high levels and isoform 2 at lower levels in bone marrow, spleen and spinal chord. Isoform 2 is also found in brain. Isoform 4 is specifically found in natural killer cells. Post-translational modifications: Phosphorylation of Tyr-667 is involved in binding to PTPN6. Similarity: Belongs to the immunoglobulin superfamily. SIGLEC (sialic acid binding Ig-like lectin) family. Contains 3 Ig-like C2-type (immunoglobulin-like) domains. Contains 1 Ig-like V-type (immunoglobulin-like) domain. SWISS: Q96LC7 Gene ID: 89790 Database links: Entrez Gene: 89790 Human Omim: 606091 Human SwissProt: Q96LC7 Human Unigene: 284813 Human Important Note: This product as supplied is intended for research use only, not for use in human, therapeutic or diagnostic applications. |
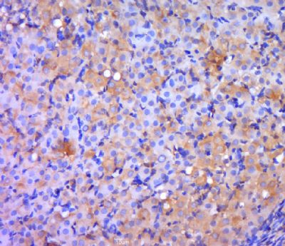
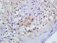
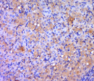
| 产品图片 | ![]() Paraformaldehyde-fixed, paraffin embedded (rat ovary tissue); Antigen retrieval by boiling in sodium citrate buffer (pH6.0) for 15min; Block endogenous peroxidase by 3% hydrogen peroxide for 20 minutes; Blocking buffer (normal goat serum) at 37°C for 30min; Antibody incubation with (SIGLEC10) Polyclonal Antibody, Unconjugated (bs-2706R) at 1:400 overnight at 4°C, followed by a conjugated secondary (sp-0023) for 20 minutes and DAB staining. |
风险提示:丁香通仅作为第三方平台,为商家信息发布提供平台空间。用户咨询产品时请注意保护个人信息及财产安全,合理判断,谨慎选购商品,商家和用户对交易行为负责。对于医疗器械类产品,请先查证核实企业经营资质和医疗器械产品注册证情况。
技术资料暂无技术资料 索取技术资料
SIGLEC10 antibody
¥1380 - 2200










