相关产品推荐更多 >
万千商家帮你免费找货
0 人在求购买到急需产品
- 详细信息
- 文献和实验
- 技术资料
- 供应商:
上海康朗生物科技有限公司
- 库存:
大量
- 目录编号:
kl-23252R
- 克隆性:
多克隆
- 抗原来源:
Rabbit
- 保质期:
12个月
- 抗体英文名:
DTSF/HB-EGF antibody
- 抗体名:
肝素结合性表皮生长因子抗体
- 宿主:
Rabbit
- 适应物种:
Human, Mouse, Rat, Pig, Cow, Sheep,
- 免疫原:
KLH conjugated synthetic peptide derived from human DTSF/HB-EGF:20-62/208 <Extracellular>
- 亚型:
IgG
- 形态:
冻干粉或液体
- 应用范围:
ELISA=1:500-1000 IHC-P=1:400-800 IHC-F=1:400-800 ICC=1:100-500 IF=1:100-500
- 浓度:
1mg/ml
- 保存条件:
-20 °C
- 规格:
100ul 200ul
| 中文名称 | 肝素结合性表皮生长因子抗体 |
| 别 名 | HB EGF; Diphtheria toxin receptor; DT R; DT-R; DTR; DTS; DTSF; HB-EGF; HBEGF; HBEGF_HUMAN; HEGFL; heparin binding EGF like growth factor; Heparin binding epidermal growth factor; Heparin binding epidermal growth factor like growth factor; Heparin-binding EGF-like growth factor; Proheparin binding EGF like growth factor. |
| 规格价格 | 100ul/1380元 购买 200ul/2200元 购买 大包装/询价 |
| 说 明 书 | 100ul 200ul |
| 研究领域 | 肿瘤 心血管 免疫学 信号转导 生长因子和激素 血管内皮细胞 |
| 抗体来源 | Rabbit |
| 克隆类型 | Polyclonal |
| 交叉反应 | Human, Mouse, Rat, Pig, Cow, Sheep, |
| 产品应用 | ELISA=1:500-1000 IHC-P=1:400-800 IHC-F=1:400-800 ICC=1:100-500 IF=1:100-500 (石蜡切片需做抗原修复) not yet tested in other applications. optimal dilutions/concentrations should be determined by the end user. |
| 分 子 量 | 21kDa |
| 细胞定位 | 细胞膜 分泌型蛋白 |
| 性 状 | Lyophilized or Liquid |
| 浓 度 | 1mg/ml |
| 免 疫 原 | KLH conjugated synthetic peptide derived from human DTSF/HB-EGF:20-62/208 <Extracellular> |
| 亚 型 | IgG |
| 纯化方法 | affinity purified by Protein A |
| 储 存 液 | 0.01M TBS(pH7.4) with 1% BSA, 0.03% Proclin300 and 50% Glycerol. |
| 保存条件 | Store at -20 °C for one year. Avoid repeated freeze/thaw cycles. The lyophilized antibody is stable at room temperature for at least one month and for greater than a year when kept at -20°C. When reconstituted in sterile pH 7.4 0.01M PBS or diluent of antibody the antibody is stable for at least two weeks at 2-4 °C. |
| PubMed | PubMed |
| 产品介绍 | background: Heparin-binding epidermal growth factor-like growth factor (HB-EGF) is a 22kDa O-glycosylated protein that is a potent mitogen and chemoattractant for vascular smooth muscle cells, fibroblasts and epithelial cells but not endothelial cells. The natural protein has an apparent molecular mass of 19-23 kDa and exists in multiple forms as a result of heterogeneous O-glycosylation and/or Nterminal truncation. HB-EGF is synthesized as a membrane-anchored precursor(proHB-EGF) that is proteolytically cleaved to release the soluble mature growth factor. The two forms are active as juxtacrine and paracrine/autocrine growth factors respectively.HB-EGF activates two EGF receptor subtypes, HER1/ErbB1 and HER4 and binds to heparan sulfate proteoglycan. Function: Growth factor that mediates its effects via EGFR, ERBB2 and ERBB4. Required for normal cardiac valve formation and normal heart function. Promotes smooth muscle cell proliferation. May be involved in macrophage-mediated cellular proliferation. It is mitogenic for fibroblasts, but not endothelial cells. It is able to bind EGF receptor/EGFR with higher affinity than EGF itself and is a far more potent mitogen for smooth muscle cells than EGF. Also acts as a diphtheria toxin receptor. Subunit: Interacts with FBLN1. Interacts with EGFR and ERBB4. Subcellular Location: Heparin-binding EGF-like growth factor: Secreted, extracellular space. Note=Mature HB-EGF is released into the extracellular space and probably binds to a receptor. Proheparin-binding EGF-like growth factor: Cell membrane; Single-pass type I membrane protein. Post-translational modifications: Several N-termini have been identified by direct sequencing. The forms with N-termini 63, 73 and 74 have been tested and found to be biologically active. O-glycosylated with core 1 or possibly core 8 glycans. Thr-47 is a minor glycosylation site compared to Thr-44. Similarity: Contains 1 EGF-like domain. SWISS: Q99075 Gene ID: 1839 Database links: Entrez Gene: 1839 Human Omim: 126150 Human SwissProt: Q99075 Human Unigene: 799 Human Important Note: This product as supplied is intended for research use only, not for use in human, therapeutic or diagnostic applications. |
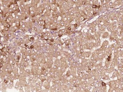
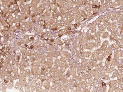
| 产品图片 | ![]() Paraformaldehyde-fixed, paraffin embedded (Human liver carcinoma); Antigen retrieval by boiling in sodium citrate buffer (pH6.0) for 15min; Block endogenous peroxidase by 3% hydrogen peroxide for 20 minutes; Blocking buffer (normal goat serum) at 37°C for 30min; Antibody incubation with (DTSF) Polyclonal Antibody, Unconjugated (bs-23252R) at 1:400 overnight at 4°C, followed by operating according to SP Kit(Rabbit) (sp-0023) instructionsand DAB staining. |
风险提示:丁香通仅作为第三方平台,为商家信息发布提供平台空间。用户咨询产品时请注意保护个人信息及财产安全,合理判断,谨慎选购商品,商家和用户对交易行为负责。对于医疗器械类产品,请先查证核实企业经营资质和医疗器械产品注册证情况。
文献和实验Generation of Antibody Molecules Through Antibody Engineering
been overcome to a large extent using genetic-engineering techniques to produce chimeric mouse/human and completely human antibodies. Such an approach is particularly suitable because of the domain structure of the antibody molecule ( 2 ), where functional
The importance of antibody molecules was first recognized in the 1890s, when it was shown that immunity to tetanus and diphtheria was caused by antibodies against the bacterial exotoxins (1 ). Around the same time, it was shown that antisera
General comments: Antibodies, like most proteins, do not like to be freeze-thawed. Avoid repetitive freezing of your solution. The best way to store your antibody is to keep a high protein concentration (>1 mg/ml), add some protease
技术资料暂无技术资料 索取技术资料











