相关产品推荐更多 >
万千商家帮你免费找货
0 人在求购买到急需产品
- 详细信息
- 文献和实验
- 技术资料
- 供应商:
上海康朗生物科技有限公司
- 库存:
大量
- 目录编号:
kl-6870R
- 克隆性:
多克隆
- 抗原来源:
Rabbit
- 保质期:
12个月
- 抗体英文名:
ILP2 antibody
- 抗体名:
抑制细胞凋亡样蛋白2抗体
- 宿主:
Rabbit
- 适应物种:
Human, Mouse, Rat, Chicken, Rabbit,
- 免疫原:
KLH conjugated synthetic peptide derived from human ILP2:141-236/236
- 亚型:
IgG
- 形态:
冻干粉或液体
- 应用范围:
ELISA=1:500-1000 IHC-P=1:400-800 IHC-F=1:400-800 IF=1:100-500
- 浓度:
1mg/ml
- 保存条件:
-20 °C
- 规格:
100ul 200ul
| 中文名称 | 抑制细胞凋亡样蛋白2抗体 |
| 别 名 | Baculoviral IAP repeat containing 8; Baculoviral IAP repeat containing protein 8; Baculoviral IAP repeat-containing protein 8; BIRC 8; BIRC8; BIRC8 protein; BIRC8_HUMAN; hILP 2; hILP2; IAP like protein 2; IAP-like protein 2; ILP 2; ILP-2; Inhibitor of apoptosis like protein 2; Inhibitor of apoptosis-like protein 2; Testis specific inhibitor of apoptosis; Testis-specific inhibitor of apoptosis. |
| 规格价格 | 100ul/1380元 购买 200ul/2200元 购买 大包装/询价 |
| 说 明 书 | 100ul 200ul |
| 研究领域 | 细胞生物 信号转导 细胞凋亡 |
| 抗体来源 | Rabbit |
| 克隆类型 | Polyclonal |
| 交叉反应 | Human, Mouse, Rat, Chicken, Rabbit, |
| 产品应用 | ELISA=1:500-1000 IHC-P=1:400-800 IHC-F=1:400-800 IF=1:100-500 (石蜡切片需做抗原修复) not yet tested in other applications. optimal dilutions/concentrations should be determined by the end user. |
| 分 子 量 | 26kDa |
| 细胞定位 | 细胞核 细胞浆 |
| 性 状 | Lyophilized or Liquid |
| 浓 度 | 1mg/ml |
| 免 疫 原 | KLH conjugated synthetic peptide derived from human ILP2:141-236/236 |
| 亚 型 | IgG |
| 纯化方法 | affinity purified by Protein A |
| 储 存 液 | 0.01M TBS(pH7.4) with 1% BSA, 0.03% Proclin300 and 50% Glycerol. |
| 保存条件 | Store at -20 °C for one year. Avoid repeated freeze/thaw cycles. The lyophilized antibody is stable at room temperature for at least one month and for greater than a year when kept at -20°C. When reconstituted in sterile pH 7.4 0.01M PBS or diluent of antibody the antibody is stable for at least two weeks at 2-4 °C. |
| PubMed | PubMed |
| 产品介绍 | background: Protects against apoptosis mediated by BAX.Apoptosis, or programmed cell death, is related to many diseases, such as cancer. Apoptosis is triggered by a variety of stimuli including members in the TNF family and prevented by the inhibitor of apoptosis (IAP) proteins. IAP proteins form a conserved gene family including IAP, XIAP/ILP-1/MIHA, and Livin/KIAP that bind to and inhibits specific proteases. A novel member in the IAP protein family was recently identified and designated ILP-2 for IAP-like protein-2 (1). ILP-2 has high homology to ILP-1, but is encoded by a distinct gene that is solely expressed in testis of tested normal human tissues (1). ILP-2, unlike ILP-1, has no inhibitory effect on Fas and TNF induced apoptosis, but potently inhibits apoptosis induced by overexpression of Bax or by coexpression of caspase-9 with Apaf-1. ILP-2 interacts with the processed caspase-9. These results suggest that ILP-2 is a novel IAP family member with restricted specificity for caspase-9. Function: Protects against apoptosis mediated by BAX. Subunit: Binds to caspase-9. Subcellular Location: Cytoplasm (Probable). Tissue Specificity: Testis specific in normal tissues. Similarity: Belongs to the IAP family. Contains 1 BIR repeat. Contains 1 RING-type zinc finger. SWISS: Q96P09 Gene ID: 112401 Database links: Entrez Gene: 112401 Human SwissProt: Q96P09 Human Unigene: 348263 Human Important Note: This product as supplied is intended for research use only, not for use in human, therapeutic or diagnostic applications. |
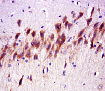
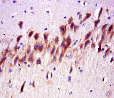
| 产品图片 | ![]() Paraformaldehyde-fixed, paraffin embedded (rat brain tissue); Antigen retrieval by boiling in sodium citrate buffer (pH6.0) for 15min; Block endogenous peroxidase by 3% hydrogen peroxide for 20 minutes; Blocking buffer (normal goat serum) at 37°C for 30min; Antibody incubation with (BIRC8) Polyclonal Antibody, Unconjugated (bs-6870R) at 1:400 overnight at 4°C, followed by a conjugated secondary (sp-0023) for 20 minutes and DAB staining. |
风险提示:丁香通仅作为第三方平台,为商家信息发布提供平台空间。用户咨询产品时请注意保护个人信息及财产安全,合理判断,谨慎选购商品,商家和用户对交易行为负责。对于医疗器械类产品,请先查证核实企业经营资质和医疗器械产品注册证情况。
文献和实验Generation of Antibody Molecules Through Antibody Engineering
been overcome to a large extent using genetic-engineering techniques to produce chimeric mouse/human and completely human antibodies. Such an approach is particularly suitable because of the domain structure of the antibody molecule ( 2 ), where functional
The importance of antibody molecules was first recognized in the 1890s, when it was shown that immunity to tetanus and diphtheria was caused by antibodies against the bacterial exotoxins (1 ). Around the same time, it was shown that antisera
General comments: Antibodies, like most proteins, do not like to be freeze-thawed. Avoid repetitive freezing of your solution. The best way to store your antibody is to keep a high protein concentration (>1 mg/ml), add some protease
技术资料暂无技术资料 索取技术资料











