相关产品推荐更多 >
万千商家帮你免费找货
0 人在求购买到急需产品
- 详细信息
- 技术资料
- 供应商:
上海康朗生物科技有限公司
- 库存:
大量
- 目录编号:
kl-23118R
- 克隆性:
多克隆
- 抗原来源:
Rabbit
- 保质期:
12个月
- 抗体英文名:
GATA3 antibody
- 抗体名:
GATA结合蛋白3抗体
- 宿主:
Rabbit
- 适应物种:
Human, Mouse, Rat, Dog, Horse, Rabbit,
- 免疫原:
KLH conjugated synthetic peptide derived from human GATA3:151-250/443
- 亚型:
IgG
- 形态:
冻干粉或液体
- 应用范围:
WB=1:500-2000 ELISA=1:500-1000 IHC-P=1:400-800 IHC-F=1:400-800 ICC=1:100-500 IF=1:100-500
- 浓度:
1mg/ml
- 保存条件:
-20 °C
- 规格:
100ul 200ul
GATA3 antibody
| 中文名称 | GATA结合蛋白3抗体 |
| 别 名 | GATA 3; GATA3; GATA-3; GATA binding factor 3; GATA binding protein 3; HDR; MGC2346; MGC5199; MGC5445; Trans acting T cell specific transcription factor GATA 3; GATA3_HUMAN; Trans-acting T-cell-specific transcription factor GATA-3; GATA-binding factor 3. |
| 规格价格 | 100ul/1380元 购买 200ul/2200元 购买 大包装/询价 |
| 说 明 书 | 100ul 200ul |
| 研究领域 | 肿瘤 细胞生物 神经生物学 干细胞 转录调节因子 淋巴细胞 |
| 抗体来源 | Rabbit |
| 克隆类型 | Polyclonal |
| 交叉反应 | Human, Mouse, Rat, Dog, Horse, Rabbit, |
| 产品应用 | WB=1:500-2000 ELISA=1:500-1000 IHC-P=1:400-800 IHC-F=1:400-800 ICC=1:100-500 IF=1:100-500 (石蜡切片需做抗原修复) not yet tested in other applications. optimal dilutions/concentrations should be determined by the end user. |
| 分 子 量 | 49kDa |
| 细胞定位 | 细胞核 |
| 性 状 | Lyophilized or Liquid |
| 浓 度 | 1mg/ml |
| 免 疫 原 | KLH conjugated synthetic peptide derived from human GATA3:151-250/443 |
| 亚 型 | IgG |
| 纯化方法 | affinity purified by Protein A |
| 储 存 液 | 0.01M TBS(pH7.4) with 1% BSA, 0.03% Proclin300 and 50% Glycerol. |
| 保存条件 | Store at -20 °C for one year. Avoid repeated freeze/thaw cycles. The lyophilized antibody is stable at room temperature for at least one month and for greater than a year when kept at -20°C. When reconstituted in sterile pH 7.4 0.01M PBS or diluent of antibody the antibody is stable for at least two weeks at 2-4 °C. |
| PubMed | PubMed |
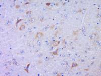
| 产品介绍 | background: Members of the GATA family share a conserved zinc finger DNA-binding domain and are capable of binding the WGATAR consensus sequence. GATA-1 is erythroid-specific and is responsible for the regulated transcription of erythroid genes. It is an essential component in the generation of the erythroid lineage. GATA-2 is expressed in embryonic brain and liver, HeLa and endothelial cells, as well as in erythroid cells. Studies with a modified GATA consensus sequence, AGATCTTA, have shown that GATA-2 and GATA-3 recognize this mutated consensus while GATA-1 has poor recognition of this sequence. This indicates broader regulatory capabilities of GATA-2 and GATA-3 than GATA-1. GATA-3 is highly expressed in T lymphocytes. GATA-4, GATA-5 and GATA-6 comprise a subfamily of transcription factors. Both GATA-4 and GATA-6 are found in heart, pancreas and ovary; lung and liver tissues exhibit GATA-6, but not GATA-4 expression. GATA-5 expression has been observed in differentiated heart and gut tissues and is present throughout the course of development in the heart. Although expression patterns of the various GATA transcription factors may overlap, it is not yet apparent how the GATA factors are able to discriminate in binding their appropriate target sites. Function: Transcriptional activator which binds to the enhancer of the T-cell receptor alpha and delta genes. Binds to the consensus sequence 5'-AGATAG-3'. Subcellular Location: Nucleus. Tissue Specificity: T-cells and endothelial cells. DISEASE: Defects in GATA3 are the cause of hypoparathyroidism with sensorineural deafness and renal dysplasia (HDR) [MIM:146255]; also known as Barakat syndrome. Similarity: Contains 2 GATA-type zinc fingers. SWISS: P23771 Gene ID: 2625 Database links: Entrez Gene: 2625 Human Entrez Gene: 14462 Mouse Entrez Gene: 85471 Rat Omim: 131320 Human SwissProt: P23771 Human SwissProt: P23772 Mouse Unigene: 524134 Human Unigene: 313866 Mouse Important Note: This product as supplied is intended for research use only, not for use in human, therapeutic or diagnostic applications. GATA-3属于转录调节性因子,表达在脑组织、胸腺中及其他很多组织中,并调节该类T细胞的发育和功能. |
| 产品图片 | ![]() Sample: Bladder (Mouse) Lysate at 40 ug Primary: Anti-GATA3 (bs-23118R) at 1/300 dilution Secondary: IRDye800CW Goat Anti-Rabbit IgG at 1/20000 dilution Predicted band size: 49 kD Observed band size: 49 kD ![]() Sample: Epithelium (Mouse) Lysate at 40 ug Primary: Anti-GATA3 (bs-23118R) at 1/300 dilution Secondary: IRDye800CW Goat Anti-Rabbit IgG at 1/20000 dilution Predicted band size: 49 kD Observed band size: 49 kD |
风险提示:丁香通仅作为第三方平台,为商家信息发布提供平台空间。用户咨询产品时请注意保护个人信息及财产安全,合理判断,谨慎选购商品,商家和用户对交易行为负责。对于医疗器械类产品,请先查证核实企业经营资质和医疗器械产品注册证情况。
技术资料暂无技术资料 索取技术资料
GATA3 antibody
¥1380 - 2200











