相关产品推荐更多 >
万千商家帮你免费找货
0 人在求购买到急需产品
- 详细信息
- 询价记录
- 文献和实验
- 技术资料
- 供应商:
上海联迈生物工程有限公司
- 库存:
大量
- 目录编号:
LM-0889R
- 克隆性:
多克隆
- 抗原来源:
Rabbit
- 保质期:
1年
- 抗体英文名:
HSP90 alpha
- 抗体名:
热休克蛋白90α/HSP90 α抗体
- 宿主:
Rabbit
- 适应物种:
Human, Mouse, Rat, Dog, Pig, Cow,
- 免疫原:
KLH conjugated synthetic peptide derived from human HSP90 Alpha:2-100/732
- 亚型:
IgG
- 形态:
Lyophilized or Liquid
- 应用范围:
ELISA=1:500-1000 IHC-P=1:400-800 IHC-F=1:400-800 IF=1:100-500 (石蜡切片需做抗原修复)
- 浓度:
1mg/ml
- 保存条件:
Store at -20 °C
- 规格:
50ul 100ul 200ul
| 英文名称 | HSP90 alpha |
| 中文名称 | 热休克蛋白90α/HSP90 α抗体 |
| 别 名 | HSP90 alpha (Phospho-Thr5/7); HS90A_HUMAN; heat shock 90kDa protein 1 alpha; Heat shock protein 90kDa alpha cytosolic class A member 1; heat shock protein 90kDa alpha (cytosolic), class A member 2; Heat shock protein 90kDa alpha cytosolic class B member 1; Heat shock protein HSP 90 alpha; Heat shock protein HSP 90-alpha; Heat shock protein HSP 90 beta; HSP 84; HSP 86; Hsp 90; HSP84; HSP86; Hsp89; HSP89A; Hsp90; HSP90 Beta; HSP90A; HSP90AA1; HSP90AB1; HSP90B; HSP90N; HSPC1; HSPC2; HSPCA; HSPCAL1; HSPCAL3; HSPCAL4; HSPCB; HSPN; Heat shock 86 kDa; HSP90ALPHA; HSPN; LAP2; Lipopolysaccharide associated protein2; LPS associated protein 2; NY REN 38 antigen; Renal carcinoma antigen NY REN 38; Renal carcinoma antigen NY-REN-38; D6S182; FLJ26984; FLJ31884. HSP90 α; HSP90-α; |
| 规格价格 | 50ul/780元 购买 100ul/1380元 购买 200ul/2200元 购买 大包装/询价 |
| 说 明 书 | 50ul 100ul 200ul |
| 研究领域 | 肿瘤 细胞生物 免疫学 信号转导 细胞外基质 |
| 抗体来源 | Rabbit |
| 克隆类型 | Polyclonal |
| 交叉反应 | Human, Mouse, Rat, Dog, Pig, Cow, |
| 产品应用 | ELISA=1:500-1000 IHC-P=1:400-800 IHC-F=1:400-800 IF=1:100-500 (石蜡切片需做抗原修复) not yet tested in other applications. optimal dilutions/concentrations should be determined by the end user. |
| 分 子 量 | 84kDa |
| 细胞定位 | 细胞浆 |
| 性 状 | Lyophilized or Liquid |
| 浓 度 | 1mg/ml |
| 免 疫 原 | KLH conjugated synthetic peptide derived from human HSP90 Alpha:2-100/732 |
| 亚 型 | IgG |
| 纯化方法 | affinity purified by Protein A |
| 储 存 液 | 0.01M TBS(pH7.4) with 1% BSA, 0.03% Proclin300 and 50% Glycerol. |
| 保存条件 | Store at -20 °C for one year. Avoid repeated freeze/thaw cycles. The lyophilized antibody is stable at room temperature for at least one month and for greater than a year when kept at -20°C. When reconstituted in sterile pH 7.4 0.01M PBS or diluent of antibody the antibody is stable for at least two weeks at 2-4 °C. |
| PubMed | PubMed |
| 产品介绍 | background: In mammalian cells there are at least two Hsp90 isoforms, Hsp90a and Hsp90b which are encoded by separate genes. These ubiquitous and highly conserved proteins account for 1-2% of all cellular proteins in most cells. Hsp90 is part of the cells powerful network of chaperones to fight the deleterious consequences of protein unfolding caused by nonphysiological conditions. However, in the absence of stress, Hsp90 is a necessary component of fundamental cellular processes such as hormone signaling and cell cycle control. In this context several key regulatory proteins such as steriod receptors, cell cycle kinases involved in signal transduction and p53 have been identified as substrates of Hsp90. It has been suggested that Hsp90 acts as a capacitor for morphological evolution by buffering widespread variation, which may affect morphogenic pathways. Function: Molecular chaperone that promotes the maturation, structural maintenance and proper regulation of specific target proteins involved for instance in cell cycle control and signal transduction. Undergoes a functional cycle that is linked to its ATPase activity. This cycle probably induces conformational changes in the client proteins, thereby causing their activation. Interacts dynamically with various co-chaperones that modulate its substrate recognition, ATPase cycle and chaperone function. Subunit: Homodimer. Interacts with AHSA1, FNIP1, HSF1, SMYD3 and TOM34. Interacts with TERT; the interaction, together with PTGES3, is required for correct assembly and stabilization of the TERT holoenzyme complex. Interacts with CHORDC1 and DNAJC7. Interacts with STUB1 and UBE2N; may couple the chaperone and ubiquitination systems. Subcellular Location: Cytoplasm. Melanosome. Note=Identified by mass spectrometry in melanosome fractions from stage I to stage IV. Post-translational modifications: ISGylated. S-nitrosylated; negatively regulates the ATPase activity and the activation of eNOS by HSP90AA1. Similarity: Belongs to the heat shock protein 90 family. SWISS: P07900 Gene ID: 3320 Database links: Entrez Gene: 3320 Human Entrez Gene: 15519 Mouse Entrez Gene: 397028 Pig Entrez Gene: 299331 Rat Omim: 140571 Human SwissProt: P11501 Chicken SwissProt: Q76LV2 Cow SwissProt: P07900 Human SwissProt: P07901 Mouse SwissProt: O02705 Pig SwissProt: P30946 Rabbit SwissProt: P82995 Rat Unigene: 525600 Human Unigene: 700831 Human Unigene: 1843 Mouse Unigene: 341186 Mouse Unigene: 119867 Rat Important Note: This product as supplied is intended for research use only, not for use in human, therapeutic or diagnostic applications. 热休克蛋白-90α主要在类肌细胞、间质细胞、支持细胞核及生精细胞的胞浆表达; HSP-90 alpha与肿瘤的关系密切,在许多肿瘤细胞中HSP90α表达升高. |
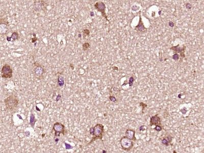
| 产品图片 | ![]() Paraformaldehyde-fixed, paraffin embedded (Human glioma); Antigen retrieval by boiling in sodium citrate buffer (pH6.0) for 15min; Block endogenous peroxidase by 3% hydrogen peroxide for 20 minutes; Blocking buffer (normal goat serum) at 37°C for 30min; Antibody incubation with (HSP90 alpha) Polyclonal Antibody, Unconjugated (bs-0889R) at 1:400 overnight at 4°C, followed by a conjugated secondary antibody (sp-0023) for 20 minutes and DAB staining. |
风险提示:丁香通仅作为第三方平台,为商家信息发布提供平台空间。用户咨询产品时请注意保护个人信息及财产安全,合理判断,谨慎选购商品,商家和用户对交易行为负责。对于医疗器械类产品,请先查证核实企业经营资质和医疗器械产品注册证情况。
- 作者
- 内容
- 询问日期
文献和实验上海西唐生物科技有限公司 021-55229872, 65333639 www.westang.com 人热休克蛋白90 ( HSP90 )ELISA 试剂盒 原理 本实验采用双抗体夹心 ABC-ELISA 法。用抗人 HSP90 单抗包被于酶标板上,标准品和样品中的 HSP90与单抗结合,加入生物素化的抗人 HSP90 ,形成免疫复合物连接在板上,辣根
MHCI 类分子荷肽 I类分子α链和β2m在糙面内质网中合成后被转运到光面内质网。α链在到达内质网后立即与伴随蛋白结合。参与I类分子加工的伴随蛋白很多,主要的有Cx、热休克蛋白(HSP)和钙网蛋白(calreticulin)。 不同的HSP分子是以亚基分子质量(kDa)来命名的,例如,HSP70是亚基分子质量为70 kDa的蛋白质。目前发现的HSP已有近30种,分为4组,即HSP70家族、HSP60家族、HSP90家族和低
(3)同上。两个磷酸化位点都要做,但是可能在不同的病理条件下,侧重点有所不同,这主要体现在你的论文的讨论中。因此建议实验前多做论文研究,查阅一下别人的发表文章,看看与你的病理模型更相关的是哪个位点。 真爱满行囊 非常感谢你 的回复,现在我遇到的问题是我做出来蛋白总量还有216位点是有变化的,9位因为买的是santa curz的抗体,现在死活做不出来,很头痛,我要说明的问题是他的活性降低,我也看到216位点磷酸化水平降低了,可是现在没有第九位的结果(就是没有办法得到第九
技术资料暂无技术资料 索取技术资料











