相关产品推荐更多 >
万千商家帮你免费找货
0 人在求购买到急需产品
- 详细信息
- 文献和实验
- 技术资料
- 供应商:
上海联迈生物工程有限公司
- 库存:
大量
- 目录编号:
LM-0837R
- 克隆性:
多克隆
- 抗原来源:
Rabbit
- 保质期:
1年
- 抗体英文名:
Glutathione Reductase
- 抗体名:
谷胱甘肽还原酶抗体
- 宿主:
Rabbit
- 适应物种:
Human, Mouse, Rat, Dog, Pig, Cow,
- 免疫原:
KLH conjugated synthetic peptide derived from human Glutathione Reductase:421-522/522
- 亚型:
IgG
- 形态:
Lyophilized or Liquid
- 应用范围:
WB=1:500-2000 ELISA=1:500-1000 IHC-P=1:400-800 IHC-F=1:400-800 IF=1:100-500 (石蜡切片需做抗原修复)
- 浓度:
1mg/ml
- 保存条件:
Store at -20 °C
- 规格:
50ul 100ul 200ul
| 英文名称 | Glutathione Reductase |
| 中文名称 | 谷胱甘肽还原酶抗体 |
| 别 名 | glutathione reductase; GLUR; Glutathione reductase mitochondrial; GR; Gr1; GRase; GRD 1; GRD1; GSR; MGC78522; GSHR_HUMAN. |
| 规格价格 | 50ul/780元 购买 100ul/1380元 购买 200ul/2200元 购买 大包装/询价 |
| 说 明 书 | 50ul 100ul 200ul |
| 研究领域 | 免疫学 激酶和磷酸酶 线粒体 |
| 抗体来源 | Rabbit |
| 克隆类型 | Polyclonal |
| 交叉反应 | Human, Mouse, Rat, Dog, Pig, Cow, |
| 产品应用 | WB=1:500-2000 ELISA=1:500-1000 IHC-P=1:400-800 IHC-F=1:400-800 IF=1:100-500 (石蜡切片需做抗原修复) not yet tested in other applications. optimal dilutions/concentrations should be determined by the end user. |
| 分 子 量 | 57kDa |
| 细胞定位 | 分泌型蛋白 线粒体 |
| 性 状 | Lyophilized or Liquid |
| 浓 度 | 1mg/ml |
| 免 疫 原 | KLH conjugated synthetic peptide derived from human Glutathione Reductase:421-522/522 |
| 亚 型 | IgG |
| 纯化方法 | affinity purified by Protein A |
| 储 存 液 | 0.01M TBS(pH7.4) with 1% BSA, 0.03% Proclin300 and 50% Glycerol. |
| 保存条件 | Store at -20 °C for one year. Avoid repeated freeze/thaw cycles. The lyophilized antibody is stable at room temperature for at least one month and for greater than a year when kept at -20°C. When reconstituted in sterile pH 7.4 0.01M PBS or diluent of antibody the antibody is stable for at least two weeks at 2-4 °C. |
| PubMed | PubMed |
| 产品介绍 | background: Glutathione reductase (GR) is a member of pyridine nucleotide- disulfideoxidoreductases, which includes the closely related enzymes thioredoxin reductase, lipoamide dehydrogenase, trypanothione reductase and mercuric ion reductase. GR is a cytoplasmic flavoenzyme widely distributed in aerobic organisms. The dimeric protein is composed of two identical subunits, each containing 1 FAD and 1 redox-active disulfide/dithiol as components of the catalytic apparatus. It plays a role in maintaining glutathione (GSH) in its reduced form by catalyzing the reduction of glutathione disulfide (GSSG): GSSG + NADPH + H+?2GSH + NADP+. In mosteukaryotic cells, GR maintains the ratio of [GSH]/[GSSG], and participates in several vital functions such as the detoxification of reactive oxygen species as well as protein and DNA biosynthesis. Function: Maintains high levels of reduced glutathione in the cytosol. Subunit: Homodimer; disulfide-linked. Subcellular Location: Isoform Mitochondrial: Mitochondrion. Isoform Cytoplasmic: Cytoplasm. Similarity: Belongs to the class-I pyridine nucleotide-disulfide oxidoreductase family. SWISS: P00390 Gene ID: 2936 Database links: Entrez Gene: 2936 Human Entrez Gene: 14782 Mouse Entrez Gene: 116686 Rat Omim: 138300 Human SwissProt: P00390 Human SwissProt: P47791 Mouse SwissProt: P70619 Rat Unigene: 271510 Human Unigene: 283573 Mouse Unigene: 19721 Rat Important Note: This product as supplied is intended for research use only, not for use in human, therapeutic or diagnostic applications. 胱甘肽还原酶为一种黄素酶,可催化氧化型谷胱甘肽转变成还原型谷胱甘肽(GSH),从而提高细胞液中GSH的含量。 GSH具有抵抗自由基氧化对机体损伤的作用,GSH的重要生理功能在于能还原体内生成的过氧化氢(H2O2)。GSH的储量与创伤、肿瘤等的预后,以及人体衰老有关。 |
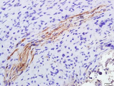
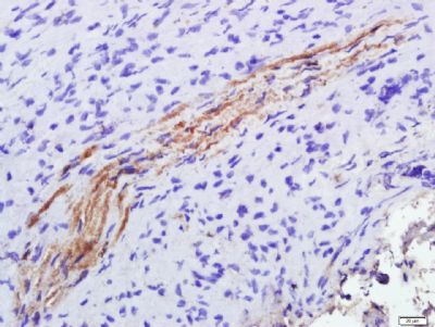
| 产品图片 | ![]() Sample: A549(Human) Cell Lysate at 30 ug SP2/0(Mouse) Cell Lysate at 30 ug Primary: Anti-Glutathione Reductase (bs-0837R) at 1/300 dilution Secondary: IRDye800CW Goat Anti-Rabbit IgG at 1/20000 dilution Predicted band size: 57 kD Observed band size: 57 kD ![]() Paraformaldehyde-fixed, paraffin embedded (Human Pulp); Antigen retrieval by boiling in sodium citrate buffer (pH6.0) for 15min; Block endogenous peroxidase by 3% hydrogen peroxide for 20 minutes; Blocking buffer (normal goat serum) at 37°C for 30min; Antibody incubation with (Glutathione Reductase) Polyclonal Antibody, Unconjugated (bs-0837R) at 1:500 overnight at 4°C, followed by a conjugated secondary (sp-0023) for 20 minutes and DAB staining. |
风险提示:丁香通仅作为第三方平台,为商家信息发布提供平台空间。用户咨询产品时请注意保护个人信息及财产安全,合理判断,谨慎选购商品,商家和用户对交易行为负责。对于医疗器械类产品,请先查证核实企业经营资质和医疗器械产品注册证情况。
文献和实验一种利用还原型 NAD( P)将氧化型谷胱甘肽( GS- SG)催化反应成还原型( GSH)的酶 EC. 1. 6. 4. 2。在动植物组织、微生物、酵母中均可以见到。反应是不可逆的。一经透析便会失活,通过添加 Mg2 或 M2 n 使之活化。鼠肝脏的酶几乎只能利用 NADP作为补酶,但是在人的红血球的酶也利用 NAD进行作用。对胱氨酸和高胱氨酸均无作用。可从酵母中制取结晶物。植物组织中似乎可对脱氢酶和氧化酶的连结起作用。将谷胱甘肽还原酶 GS- SG、 NADP
一种氧化还原酶。为分子态氧以外的以特异的底物为电子受体的酶之总称。常附以底物的名称来命名各种酶。有象硝酸还原酶、亚硫酸还原酶那种与厌氧呼吸、还原性同化和合成有关的酶,也有像延胡索酸还原酶等那种与发酵有关的酶,还有像谷胱甘肽还原酶或铁氧还蛋白——NADP 还原酶那种的构成电子传递一部分体系的而依习惯法命名的酶。作为其蛋白质含有黄素、钼、血红素或非血红素铁等具各种性质的酶。
C10 H17 N3 SO6 。为γ -L-谷氨酰 -L-半胱氨酞甘氨酸( 1)。谷胱甘肽如( 2)所示在活体内参与氧化还原反应。所以具有保护如组织蛋白酶、番木瓜酶及琥珀酸脱氢酶那样具有 SH基酶的 SH基作用。另外是催化甲基乙二醛形成乳酸的乳酰谷胱甘肽裂解酶( EC. 4. 4. 1. 5)不可缺少的辅助基质。在解毒作用中形成硫醚氨酸,被认为有毒物质先与谷胱甘肽结合使谷氨酸与甘氨酸部分切断。
技术资料暂无技术资料 索取技术资料












