相关产品推荐更多 >
万千商家帮你免费找货
0 人在求购买到急需产品
- 详细信息
- 技术资料
- 供应商:
上海联迈生物工程有限公司
- 库存:
大量
- 目录编号:
LM-0701R
- 克隆性:
多克隆
- 抗原来源:
Rabbit
- 保质期:
1年
- 抗体英文名:
Ceramide glucosyltransferase
- 抗体名:
谷氨酸半胱氨酸γ合成酶抗体
- 宿主:
Rabbit
- 适应物种:
Human, Mouse, Rat, Cow,
- 免疫原:
KLH conjugated synthetic peptide derived from human GCS:21-120/394
- 亚型:
IgG
- 形态:
Lyophilized or Liquid
- 应用范围:
ELISA=1:500-1000 IHC-P=1:400-800 IHC-F=1:400-800 Flow-Cyt=1μg/Test IF=1:100-500 (石蜡切片需做抗原修复)
- 浓度:
1mg/ml
- 保存条件:
Store at -20 °C
- 规格:
50ul 100ul 200ul
Ceramide glucosyltransferase 谷氨酸半胱氨酸γ合成酶抗体
| 英文名称 | Ceramide glucosyltransferase |
| 中文名称 | 谷氨酸半胱氨酸γ合成酶抗体 |
| 别 名 | CEGT_HUMAN; UGCG; GCS; GLCT 1; GLCT-1; GLCT1; Glucosylceramide synthase; UDP glucose ceramide glucosyltransferase; UDP glucose N acylsphingosine D glucosyltransferase; UDP-glucose ceramide glucosyltransferase; UDP-glucose:N-acylsphingosine D-glucosyltransferase; Ugcg. |
![]() |
Specific References (1) | bs-0701R has been referenced in 1 publications. [IF=1.49] Chen, Baoan, et al. "Effect of D, L?\threo?\1?\phenyl?\2?\decanoylamino?\3?\morpholino?\1?\propanol and tetrandrine on the reversion of multidrug resistance in K562/A02 cells."gy 16.1 (2011): 24-30..: 1064-1 PubMed:21269564 |
| 规格价格 | 50ul/780元 购买 100ul/1380元 购买 200ul/2200元 购买 大包装/询价 |
| 说 明 书 | 50ul 100ul 200ul |
| 研究领域 | 肿瘤 细胞生物 免疫学 信号转导 激酶和磷酸酶 |
| 抗体来源 | Rabbit |
| 克隆类型 | Polyclonal |
| 交叉反应 | Human, Mouse, Rat, Cow, |
| 产品应用 | ELISA=1:500-1000 IHC-P=1:400-800 IHC-F=1:400-800 Flow-Cyt=1μg/Test IF=1:100-500 (石蜡切片需做抗原修复) not yet tested in other applications. optimal dilutions/concentrations should be determined by the end user. |
| 分 子 量 | 44kDa |
| 细胞定位 | 细胞浆 细胞膜 |
| 性 状 | Lyophilized or Liquid |
| 浓 度 | 1mg/ml |
| 免 疫 原 | KLH conjugated synthetic peptide derived from human GCS:21-120/394 |
| 亚 型 | IgG |
| 纯化方法 | affinity purified by Protein A |
| 储 存 液 | 0.01M TBS(pH7.4) with 1% BSA, 0.03% Proclin300 and 50% Glycerol. |
| 保存条件 | Store at -20 °C for one year. Avoid repeated freeze/thaw cycles. The lyophilized antibody is stable at room temperature for at least one month and for greater than a year when kept at -20°C. When reconstituted in sterile pH 7.4 0.01M PBS or diluent of antibody the antibody is stable for at least two weeks at 2-4 °C. |
| PubMed | PubMed |
| 产品介绍 | background: GCS (glucosylceramide synthase ) may serve as a 'flippase' as well as a glucosyltransferase that transfers glucose to ceramide. Able to use UDP-galactose to synthesize galactosylceramide with 10% of efficiency with which it utilizes UDP-glucose. [Catalytic activity] UDP-glucose + N-acylsphingosine = UDP + D-glucosyl-N-acylsphingosine. Lipid metabolism; sphingolipid metabolism. [Subcellular location] Endoplasmic reticulum membrane; Multi-pass membrane protein. Belongs to the glycosyltransferase 2 family. Function: Catalyzes the first glycosylation step in glycosphingolipid biosynthesis, the transfer of glucose to ceramide. Subcellular Location: Golgi apparatus membrane. Tissue Specificity: Found in all tissues examined. Similarity: Belongs to the glycosyltransferase 2 family. SWISS: Q16739 Gene ID: 7357 Database links: Entrez Gene: 7357 Human Entrez Gene: 22234 Mouse Entrez Gene: 83626 Rat Omim: 602874 Human SwissProt: Q16739 Human SwissProt: O88693 Mouse SwissProt: Q9R0E0 Rat Unigene: 304249 Human Important Note: This product as supplied is intended for research use only, not for use in human, therapeutic or diagnostic applications. 谷氨酸半胱氨酸γ合成酶又称葡萄糖神经酰胺合成酶(glucosylceramide synthase, GCS)是调控神经酰胺代谢的关键酶之一, 其活性水平与肿瘤细胞多药耐药有密切关系. 有研究报道GCS在人卵巢癌细胞、口腔表皮癌细胞 、黑色素瘤细胞、乳腺癌细胞及胆囊癌、胃癌中均有表达. |
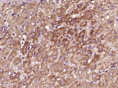
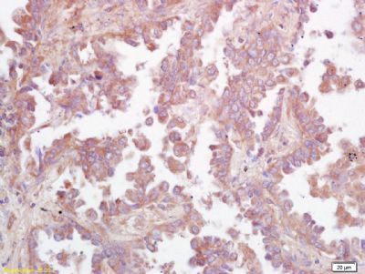
| 产品图片 | ![]() Paraformaldehyde-fixed, paraffin embedded (Human glioma); Antigen retrieval by boiling in sodium citrate buffer (pH6.0) for 15min; Block endogenous peroxidase by 3% hydrogen peroxide for 20 minutes; Blocking buffer (normal goat serum) at 37°C for 30min; Antibody incubation with (Ceramide glucosyltransferase) Polyclonal Antibody, Unconjugated (bs-0701R) at 1:400 overnight at 4°C, followed by operating according to SP Kit(Rabbit) (sp-0023) instructionsand DAB staining. ![]() Paraformaldehyde-fixed, paraffin embedded (Human liver cancer); Antigen retrieval by boiling in sodium citrate buffer (pH6.0) for 15min; Block endogenous peroxidase by 3% hydrogen peroxide for 20 minutes; Blocking buffer (normal goat serum) at 37°C for 30min; Antibody incubation with (Ceramide glucosyltransferase) Polyclonal Antibody, Unconjugated (bs-0701R) at 1:400 overnight at 4°C, followed by operating according to SP Kit(Rabbit) (sp-0023) instructionsand DAB staining. ![]() Tissue/cell: human lung carcinoma; 4% Paraformaldehyde-fixed and paraffin-embedded; Antigen retrieval: citrate buffer ( 0.01M, pH 6.0 ), Boiling bathing for 15min; Block endogenous peroxidase by 3% Hydrogen peroxide for 30min; Blocking buffer (normal goat serum,C-0005) at 37℃ for 20 min; Incubation: Anti-GCS/glucosylceramide synthase Polyclonal Antibody, Unconjugated(bs-0701R) 1:200, overnight at 4°C, followed by conjugation to the secondary antibody(SP-0023) and DAB(C-0010) staining ![]() Blank control: mouse splenocytes(blue) Isotype Control Antibody: Rabbit IgG(orange) ; Secondary Antibody: Goat anti-rabbit IgG-FITC(white blue), Dilution: 1:100 in 1 X PBS containing 0.5% BSA ; Primary Antibody Dilution: 1μl in 100 μL1X PBS containing 0.5% BSA(green). |
风险提示:丁香通仅作为第三方平台,为商家信息发布提供平台空间。用户咨询产品时请注意保护个人信息及财产安全,合理判断,谨慎选购商品,商家和用户对交易行为负责。对于医疗器械类产品,请先查证核实企业经营资质和医疗器械产品注册证情况。
技术资料暂无技术资料 索取技术资料
Ceramide glucosyltransferase 谷氨酸半胱氨酸γ合成酶抗体
¥780 - 2200














