相关产品推荐更多 >
万千商家帮你免费找货
0 人在求购买到急需产品
- 详细信息
- 文献和实验
- 技术资料
- 供应商:
上海联迈生物工程有限公司
- 库存:
大量
- 目录编号:
LM-0672R
- 克隆性:
多克隆
- 抗原来源:
Rabbit
- 保质期:
1年
- 抗体英文名:
c-Kit
- 抗体名:
干细胞生长因子受体/细胞表面分化抗原抗体
- 宿主:
Rabbit
- 适应物种:
Human, Mouse, Rat, Dog, Cow, Rabbit,
- 免疫原:
KLH conjugated synthetic peptide derived from human CD117:901-976/976 <Cytoplasmic>
- 亚型:
IgG
- 形态:
Lyophilized or Liquid
- 应用范围:
ELISA=1:500-1000 IHC-P=1:400-800 IHC-F=1:400-800 Flow-Cyt=1μg /test ICC=1:100-500 IF=1:100-500 (石蜡切片需做抗原修复)
- 浓度:
1mg/ml
- 保存条件:
Store at -20 °C
- 规格:
50ul 100ul 200ul
| 英文名称 | c-Kit |
| 中文名称 | 干细胞生长因子受体/细胞表面分化抗原抗体 |
| 别 名 | C Kit; c-Kit; CD 117; CD117; CD117 antigen; KIT; KIT_HUMAN; Mast/stem cell growth factor receptor; Mast/stem cell growth factor receptor Kit; p145 c-kit; PBT; Piebald trait protein; Proto oncogene c Kit; Proto oncogene tyrosine protein kinase Kit; Proto-oncogene c-Kit; SCF Receptor; SCFR; soluble KIT variant 1; Stem cell factor receptor; tyrosine protein kinase Kit; Tyrosine-protein kinase Kit; v kit Hardy Zuckerman 4 feline sarcoma viral oncogene homolog; v kit Hardy Zuckerman 4 feline sarcoma viral oncogene like protein; v-kit Hardy-Zuckerman 4 feline sarcoma viral oncogene homolog. |
![]() |
Specific References (3) | bs-0672R has been referenced in 3 publications. [IF=3.23] Lin, Xue-Lian, et al. "NPs/NPRs Signaling Pathways May Be Involved in Depression-Induced Loss of Gastric ICC by Decreasing the Production of mSCF." PloS one 11.2 (2016): e0149031. WB ; Rat. PubMed:26862759 [IF=1.41] Lu, Taoli, et al. "Electroacupuncture improves behavioral recovery and increases SCF/c-kit expression in a rat model of focal cerebral ischemia/reperfusion." Neurological Sciences (2012): 1-9. IHC-P ; Rat. PubMed:22526758 [IF=1.37] Zhang, Jun, et al. "Cardiac stem cells differentiate into sinus node-like cells." The Tohoku Journal of Experimental Medicine 222.2 (2010): 113-120. Dog. PubMed:20877167 |
| 规格价格 | 50ul/780元 购买 100ul/1380元 购买 200ul/2200元 购买 大包装/询价 |
| 说 明 书 | 50ul 100ul 200ul |
| 研究领域 | 肿瘤 激酶和磷酸酶 细胞膜受体 |
| 抗体来源 | Rabbit |
| 克隆类型 | Polyclonal |
| 交叉反应 | Human, Mouse, Rat, Dog, Cow, Rabbit, |
| 产品应用 | ELISA=1:500-1000 IHC-P=1:400-800 IHC-F=1:400-800 Flow-Cyt=1μg /test ICC=1:100-500 IF=1:100-500 (石蜡切片需做抗原修复) not yet tested in other applications. optimal dilutions/concentrations should be determined by the end user. |
| 分 子 量 | 105kDa |
| 细胞定位 | 细胞浆 细胞膜 |
| 性 状 | Lyophilized or Liquid |
| 浓 度 | 1mg/ml |
| 免 疫 原 | KLH conjugated synthetic peptide derived from human CD117:901-976/976 <Cytoplasmic> |
| 亚 型 | IgG |
| 纯化方法 | affinity purified by Protein A |
| 储 存 液 | 0.01M TBS(pH7.4) with 1% BSA, 0.03% Proclin300 and 50% Glycerol. |
| 保存条件 | Store at -20 °C for one year. Avoid repeated freeze/thaw cycles. The lyophilized antibody is stable at room temperature for at least one month and for greater than a year when kept at -20°C. When reconstituted in sterile pH 7.4 0.01M PBS or diluent of antibody the antibody is stable for at least two weeks at 2-4 °C. |
| PubMed | PubMed |
| 产品介绍 | background: c-Kit is a transmembrane tyrosine kinase encoded by the cKit proto oncogene. c-Kit acts to regulate a variety of biological responses including cell proliferation, apoptosis, chemotaxis and adhesion. Ligand binding to the extracellular domain leads to autophosphorylation on several tyrosine residues within the cytoplasmic domain, and activation. Mutations in c-Kit have been found to be important for tumor growth and progression in a variety of cancers including mast cell diseases, gastrointestinal stromal tumor, acute myeloid leukemia, Ewing sarcoma and lung cancer. Phosphorylation at tyrosine 721 of c-Kit allows binding and activation of PI3 kinase. Function: Tyrosine-protein kinase that acts as cell-surface receptor for the cytokine KITLG/SCF and plays an essential role in the regulation of cell survival and proliferation, hematopoiesis, stem cell maintenance, gametogenesis, mast cell development, migration and function, and in melanogenesis. In response to KITLG/SCF binding, KIT can activate several signaling pathways. Phosphorylates PIK3R1, PLCG1, SH2B2/APS and CBL. Activates the AKT1 signaling pathway by phosphorylation of PIK3R1, the regulatory subunit of phosphatidylinositol 3-kinase. Activated KIT also transmits signals via GRB2 and activation of RAS, RAF1 and the MAP kinases MAPK1/ERK2 and/or MAPK3/ERK1. Promotes activation of STAT family members STAT1, STAT3, STAT5A and STAT5B. Activation of PLCG1 leads to the production of the cellular signaling molecules diacylglycerol and inositol 1,4,5-trisphosphate. Subunit: Monomer in the absence of bound KITLG/SCF. Homodimer in the presence of bound KITLG/SCF, forming a heterotetramer with two KITLG/SCF molecules. Interacts (via phosphorylated tyrosine residues) with the adapter proteins GRB2 and GRB7 (via SH2 domain), and SH2B2/APS. Interacts (via C-terminus) with MPDZ (via the tenth PDZ domain). Interacts (via phosphorylated tyrosine residues) with PIK3R1 and PIK3 catalytic subunit. Interacts (via phosphorylated tyrosine) with CRK (isoform Crk-II), FYN, SHC1 and MATK/CHK (via SH2 domain). Interacts with LYN and FES/FPS. Interacts (via phosphorylated tyrosine residues) with the protein phosphatases PTPN6/SHP-1 (via SH2 domain), PTPN11/SHP-2 (via SH2 domain) and PTPRU. Interacts with PLCG1. Interacts with DOK1 and TEC. Subcellular Location: Isoform 1: Cell membrane; Single-pass type I membrane protein. Isoform 2: Cell membrane; Single-pass type I membrane protein. Isoform 3: Cytoplasm. Note=Detected in the cytoplasm of spermatozoa, especially in the equatorial and subacrosomal region of the sperm head. Tissue Specificity: Isoform 1 and isoform 2 are detected in spermatogonia and Leydig cells. Isoform 3 is detected in round spermatids, elongating spermatids and spermatozoa (at protein level). Widely expressed. Detected in the hematopoietic system, the gastrointestinal system, in melanocytes and in germ cells. Post-translational modifications: Ubiquitinated by SOCS6. KIT is rapidly ubiquitinated after autophosphorylation induced by KITLG/SCF binding, leading to internalization and degradation. Autophosphorylated on tyrosine residues. KITLG/SCF binding enhances autophosphorylation. Isoform 1 shows low levels of tyrosine phosphorylation in the absence of added KITLG/SCF (in vitro). Kinase activity is down-regulated by phosphorylation on serine residues by protein kinase C family members. Phosphorylation at Tyr-568 is required for interaction with PTPN11/SHP-2, CRK (isoform Crk-II) and members of the SRC tyrosine-protein kinase family. Phosphorylation at Tyr-570 is required for interaction with PTPN6/SHP-1. Phosphorylation at Tyr-703, Tyr-823 and Tyr-936 is important for interaction with GRB2. Phosphorylation at Tyr-721 is important for interaction with PIK3R1. Phosphorylation at Tyr-823 and Tyr-936 is important for interaction with GRB7. DISEASE: Defects in KIT are a cause of piebald trait (PBT) [MIM:172800]. PBT is an autosomal dominant genetic developmental abnormality of pigmentation characterized by congenital patches of white skin and hair that lack melanocytes. Defects in KIT are a cause of gastrointestinal stromal tumor (GIST) [MIM:606764]. Defects in KIT have been associated with testicular germ cell tumor (TGCT) [MIM:273300]. A common solid malignancy in males. Germ cell tumors of the testis constitute 95% of all testicular neoplasms. Similarity: Belongs to the protein kinase superfamily. Tyr protein kinase family. CSF-1/PDGF receptor subfamily. Contains 5 Ig-like C2-type (immunoglobulin-like) domains. Contains 1 protein kinase domain. SWISS: P10721 Gene ID: 3815 Database links: Entrez Gene: 3815 Human Entrez Gene: 16590 Mouse Entrez Gene: 64030 Rat Omim: 164920 Human SwissProt: P10721 Human SwissProt: P05532 Mouse Unigene: 479754 Human Unigene: 247073 Mouse Unigene: 54004 Rat Important Note: This product as supplied is intended for research use only, not for use in human, therapeutic or diagnostic applications. 主要用于肿瘤方面的研究:C-kit是原癌基因的蛋白产物, 为III型跨膜蛋白酪氨酸激酶生长因子受体蛋白。80-100%胃间质肉瘤(GIST)CD117+,可与CD34联合应用。 CD117还可以用于鉴别淋巴瘤中肥大细胞发生的肿瘤,和作为部分睾丸生殖细胞瘤的标记物。 近年研究,CD117作为胃间质肉瘤(GIST)免疫组化检查特异性标记物, 可用于临床指导GIST个性化的靶点药物治疗。 |
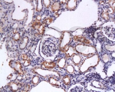
| 产品图片 | ![]() Paraformaldehyde-fixed, paraffin embedded (Mouse brain); Antigen retrieval by boiling in sodium citrate buffer (pH6.0) for 15min; Block endogenous peroxidase by 3% hydrogen peroxide for 20 minutes; Blocking buffer (normal goat serum) at 37°C for 30min; Antibody incubation with (c-Kit) Polyclonal Antibody, Unconjugated (bs-0672R) at 1:400 overnight at 4°C, followed by operating according to SP Kit(Rabbit) (sp-0023) instructionsand DAB staining. ![]() Tissue/cell: rat kidney tissue; 4% Paraformaldehyde-fixed and paraffin-embedded; Antigen retrieval: citrate buffer ( 0.01M, pH 6.0 ), Boiling bathing for 15min; Block endogenous peroxidase by 3% Hydrogen peroxide for 30min; Blocking buffer (normal goat serum,C-0005) at 37℃ for 20 min; Incubation: Anti-CD117/c-kit/SCFR Polyclonal Antibody, Unconjugated(bs-0672R) 1:200, overnight at 4°C, followed by conjugation to the secondary antibody(SP-0023) and DAB(C-0010) staining ![]() Blank control (blue line): K562 (blue). Primary Antibody (green line): Rabbit Anti-c-Kit antibody (bs-0672R) Dilution: 1μg /10^6 cells; Isotype Control Antibody (orange line): Rabbit IgG . Secondary Antibody (white blue line): Goat anti-rabbit IgG-PE Dilution: 1μg /test. Protocol The cells were fixed with 70% ethanol (overnight at 4℃) and then permeabilized with 0.1% PBS-Tween for 20 min at room temperature. Cells stained with Primary Antibody for 30 min at room temperature. The cells were then incubated in 1 X PBS/2%BSA/10% goat serum to block non-specific protein-protein interactions followed by the antibody for 15 min at room temperature. The secondary antibody used for 40 min at room temperature. Acquisition of 20,000 events was performed. ![]() Blank control (Black line): HUVEC (Black). Primary Antibody (green line): Rabbit Anti-c-kit antibody (bs-0672R-AF647) Dilution: 1μg /10^6 cells; Isotype Control Antibody (orange line): Rabbit IgG-AF647 . Protocol The cells were fixed with 4% PFA (10min at room temperature)and then permeabilized with PBST for 20 min at room temperature. The cells then were incubated in 5%BSA to block non-specific protein-protein interactions for 30 min at room temperature .Cells stained with Primary Antibody for 30 min at room temperature. Acquisition of 20,000 events was performed. |
风险提示:丁香通仅作为第三方平台,为商家信息发布提供平台空间。用户咨询产品时请注意保护个人信息及财产安全,合理判断,谨慎选购商品,商家和用户对交易行为负责。对于医疗器械类产品,请先查证核实企业经营资质和医疗器械产品注册证情况。
文献和实验子蛋白质或多肽,能够通过与细胞表面受体结合,调节细胞的增殖、分化和功能。它们在干细胞的自我更新、分化以及维持干细胞特性中发挥重要作用。 细胞因子在不同干细胞分化中的应用 a.胚胎干细胞(ESC)和诱导多能干细胞(iPSC) bFGF(碱性成纤维细胞生长因子):常用于维持胚胎干细胞和 iPSC 的未分化状态。 Activin A:用于诱导 iPSC 分化为内胚层细胞。 TGF-β超家族成员(如 BMP-4):可诱导 iPSC 分化为中胚层细胞。 VEGF(血管内皮生长因子):在诱导 iPSC 分化
相关。C-kit可编码一种穿膜酪氨酸激酶受体分子。应用单克隆抗体证明此分子可存在于造血干细胞膜上,其后证明它的配体分子是造血干细胞因子(stem cell factor,SCF)。它是信号传导分子,对造血干细胞的分化具有重要作用。目前,小鼠多能干细胞表面分子标志可视为Thy-1Io、WGA+、c-kit+、Lin-。 c-kit分子可高频率表达于多能干细胞表面,但骨髓中c-kit+细胞可分化为各种血细胞,而胸腺中c-kit细胞可分化为淋巴细胞,不能分化为髓系细胞,所以胸腺内c-kit+细胞,可能是淋巴
码一种穿膜酪氨酸激酶受体分子。应用单克隆抗体证明此分子可存在于造血干细胞膜上,其后证明它的配体分子是造血干细胞因子(stem cell factor,SCF)。它是信号传导分子,对造血干细胞的分化具有重要作用。目前,小鼠多能干细胞表面分子标志可视为Thy-1Io、WGA+、c-kit+、Lin-。 c-kit分子可高频率表达于多能干细胞表面,但骨髓中c-kit+细胞可分化为各种血细胞,而胸腺中c-kit细胞可分化为淋巴细胞,不能分化为髓系细胞,所以胸腺内c-kit+细胞,可能是淋巴样
技术资料暂无技术资料 索取技术资料















