相关产品推荐更多 >
万千商家帮你免费找货
0 人在求购买到急需产品
- 详细信息
- 文献和实验
- 技术资料
- 供应商:
上海联迈生物工程有限公司
- 库存:
大量
- 目录编号:
LM-0668R
- 克隆性:
多克隆
- 抗原来源:
Rabbit
- 保质期:
1年
- 抗体英文名:
Met (c Met)
- 抗体名:
肝细胞生长因子受体抗体
- 宿主:
Rabbit
- 适应物种:
Human, Mouse, Rat, Dog, Horse, Rabbit,
- 免疫原:
KLH conjugated synthetic peptide derived from human C-Met:25-150/1390 <Extracellular>
- 亚型:
IgG
- 形态:
Lyophilized or Liquid
- 应用范围:
ELISA=1:500-1000 IHC-P=1:400-800 IHC-F=1:400-800 Flow-Cyt=1μg/Test IF=1:100-500 (石蜡切片需做抗原修复)
- 浓度:
1mg/ml
- 保存条件:
Store at -20 °C
- 规格:
50ul 100ul 200ul
| 英文名称 | Met (c Met) |
| 中文名称 | 肝细胞生长因子受体抗体 |
| 别 名 | AUTS9; c met; cmet; c-Met; D249; Hepatocyte growth factor receptor; Hepatocyte growth factor receptor Precursor; HGF; HGF receptor; HGF SF receptor; HGF/SF receptor; HGFR; MET; Met proto oncogene tyrosine kinase; Met proto-oncogene (hepatocyte growth factor receptor); Met proto-oncogene; Met protooncogene; MET_HUMAN; Oncogene MET; Par4; Proto-oncogene c-Met; RCCP2; Renal cell carcinoma papillary 2 gene; Scatter factor receptor; SF receptor; Tyrosine-protein kinase Met. |
![]() |
Specific References (3) | bs-0668R has been referenced in 3 publications. [IF=1.71] Yu, Xiuju, et al. "Expression and tissue distribution of hepatocyte growth factor (HGF) and its receptor (c-Met) in alpacas (Vicugna pacos) skins associated with white and brown coat colors." Acta Histochemica (2015). IHC-P ; PubMed:26099836 [IF=1.48] Li, Hongyu, et al. "Overexpression of MACC1 and the association with hepatocyte growth factor/c-Met in epithelial ovarian cancer." Oncology letters9.5 (2015): 1989-1996. IHC-P ; Human. PubMed:26137000 [IF=2.15] Gao, Wei, et al. "Study of critical role of c-Met and its inhibitor SU11274 in colorectal carcinoma." Medical Oncology 30.2 (2013): 1-8. WB, IHC-P ; Human. PubMed:23536000 |
| 规格价格 | 50ul/780元 购买 100ul/1380元 购买 200ul/2200元 购买 大包装/询价 |
| 说 明 书 | 50ul 100ul 200ul |
| 研究领域 | 肿瘤 细胞生物 免疫学 染色质和核信号 信号转导 生长因子和激素 转录调节因子 激酶和磷酸酶 表观遗传学 |
| 抗体来源 | Rabbit |
| 克隆类型 | Polyclonal |
| 交叉反应 | Human, Mouse, Rat, Dog, Horse, Rabbit, |
| 产品应用 | ELISA=1:500-1000 IHC-P=1:400-800 IHC-F=1:400-800 Flow-Cyt=1μg/Test IF=1:100-500 (石蜡切片需做抗原修复) not yet tested in other applications. optimal dilutions/concentrations should be determined by the end user. |
| 分 子 量 | 153kDa |
| 细胞定位 | 细胞膜 分泌型蛋白 |
| 性 状 | Lyophilized or Liquid |
| 浓 度 | 1mg/ml |
| 免 疫 原 | KLH conjugated synthetic peptide derived from human C-Met:25-150/1390 <Extracellular> |
| 亚 型 | IgG |
| 纯化方法 | affinity purified by Protein A |
| 储 存 液 | 0.01M TBS(pH7.4) with 1% BSA, 0.03% Proclin300 and 50% Glycerol. |
| 保存条件 | Store at -20 °C for one year. Avoid repeated freeze/thaw cycles. The lyophilized antibody is stable at room temperature for at least one month and for greater than a year when kept at -20°C. When reconstituted in sterile pH 7.4 0.01M PBS or diluent of antibody the antibody is stable for at least two weeks at 2-4 °C. |
| PubMed | PubMed |
| 产品介绍 | background: c-Met, a member of the tyrosine kinase superfamily, is the receptor for hepatocyte growth factor, also known as scatter factor (HGF/SF). The mature c-Met protein is a disulfide-linked heterodimer with Mr=190 kDa composed of a heavily glycosylated alpha subunit that is completely extracellular in localization, and a beta subunit comprising an extracellular ligand binding domain, a single transmembrane domain, and a cytoplasmic tyrosine kinase domain. Cells expressing c-Met include epithelial cells, endothelial cells, blood cells of various types, and glomerular mesenchymal cells. HGF/SF binding to c-Met stimulates receptor dimerization and the phosphorylation of numerous residues within the receptor’s cytoplasmic domain. Signaling proteins that are phosphorylated and/or localized in response to c-Met phosphorylation include: Grb2, Shc, Cbl, Crk, cortactin, paxillin, GAB1, PI3K, FAK, Src, Ras, ERK1 and 2, JNK, PLC gamma, AKT, and STAT3. HGF/SF stimulation of c-Met expressing cells enhances proliferation, migration, morphogenesis, and protease synthesis, characteristics that are associated with invasive cell phenotype. Many types of cancer exhibit sustained c-Met stimulation, overexpression, or mutation, including carcinomas of the colon, breast, ovary, lung, liver, prostate, thyroid, kidney, as well as melanomas and sarcomas. In addition to cancer studies, other research areas in which c-Met is under investigation include organogenesis, organ regeneration, angiogenesis and surgical wound healing. Function: Receptor tyrosine kinase that transduces signals from the extracellular matrix into the cytoplasm by binding to hepatocyte growth factor/HGF ligand. Regulates many physiological processes including proliferation, scattering, morphogenesis and survival. Ligand binding at the cell surface induces autophosphorylation of MET on its intracellular domain that provides docking sites for downstream signaling molecules. Following activation by ligand, interacts with the PI3-kinase subunit PIK3R1, PLCG1, SRC, GRB2, STAT3 or the adapter GAB1. Recruitment of these downstream effectors by MET leads to the activation of several signaling cascades including the RAS-ERK, PI3 kinase-AKT, or PLCgamma-PKC. The RAS-ERK activation is associated with the morphogenetic effects while PI3K/AKT coordinates prosurvival effects. During embryonic development, MET signaling plays a role in gastrulation, development and migration of muscles and neuronal precursors, angiogenesis and kidney formation. In adults, participates in wound healing as well as organ regeneration and tissue remodeling. Promotes also differentiation and proliferation of hematopoietic cells. Acts as a receptor for Listeria internalin inlB, mediating entry of the pathogen into cells. Subunit: Heterodimer made of an alpha chain (50 kDa) and a beta chain (145 kDa) which are disulfide linked. Binds PLXNB1. Interacts when phosphorylated with downstream effectors including STAT3, PIK3R1, SRC, PCLG1, GRB2 and GAB1. Interacts with SPSB1, SPSB2 and SPSB4 (By similarity). Interacts with INPP5D/SHIP1. When phosphorylated at Tyr-1356, interacts with INPPL1/SHIP2. Interacts with RANBP9 and RANBP10, as well as SPSB1, SPSB2, SPSB3 and SPSB4. SPSB1 binding occurs in the presence and in the absence of HGF, however HGF treatment has a positive effect on this interaction. Interacts with MUC20; prevents interaction with GRB2 and suppresses hepatocyte growth factor-induced cell proliferation. Interacts with GRB10. Subcellular Location: Membrane; Single-pass type I membrane protein. Isoform 3: Secreted. Tissue Specificity: Expressed in normal hepatocytes as well as in epithelial cells lining the stomach, the small and the large intestine. Found also in basal keratinocytes of esophagus and skin. High levels are found in liver, gastrointestinal tract, thyroid and kidney. Also present in the brain. Post-translational modifications: Autophosphorylated in response to ligand binding on Tyr-1234 and Tyr-1235 in the kinase domain leading to further phosphorylation of Tyr-1349 and Tyr-1356 in the C-terminal multifunctional docking site. Dephosphorylated by PTPRJ at Tyr-1349 and Tyr-1365. Ubiquitinated. Ubiquitination by CBL regulates the receptor stability and activity through proteasomal degradation. DISEASE: Note=Activation of MET after rearrangement with the TPR gene produces an oncogenic protein. Note=Defects in MET may be associated with gastric cancer. Hepatocellular carcinoma (HCC) [MIM:114550]: A primary malignant neoplasm of epithelial liver cells. The major risk factors for HCC are chronic hepatitis B virus (HBV) infection, chronic hepatitis C virus (HCV) infection, prolonged dietary aflatoxin exposure, alcoholic cirrhosis, and cirrhosis due to other causes. Note=The disease is caused by mutations affecting the gene represented in this entry. Renal cell carcinoma papillary (RCCP) [MIM:605074]: A subtype of renal cell carcinoma tending to show a tubulo-papillary architecture formed by numerous, irregular, finger-like projections of connective tissue. Renal cell carcinoma is a heterogeneous group of sporadic or hereditary carcinoma derived from cells of the proximal renal tubular epithelium. Note=The disease is caused by mutations affecting the gene represented in this entry. Note=A common allele in the promoter region of the MET shows genetic association with susceptibility to autism in some families. Functional assays indicate a decrease in MET promoter activity and altered binding of specific transcription factor complexes. Note=MET activating mutations may be involved in the development of a highly malignant, metastatic syndrome known as cancer of unknown primary origin (CUP) or primary occult malignancy. Systemic neoplastic spread is generally a late event in cancer progression. However, in some instances, distant dissemination arises at a very early stage, so that metastases reach clinical relevance before primary lesions. Sometimes, the primary lesions cannot be identified in spite of the progresses in the diagnosis of malignancies. Similarity: Belongs to the protein kinase superfamily. Tyr protein kinase family. Contains 3 IPT/TIG domains. Contains 1 protein kinase domain. Contains 1 Sema domain. SWISS: P08581 Gene ID: 4233 Database links: Entrez Gene: 4233 Human Entrez Gene: 17295 Mouse Entrez Gene: 24553 Rat Omim: 164860 Human SwissProt: P08581 Human SwissProt: P16056 Mouse SwissProt: P97523 Rat Unigene: 132966 Human Unigene: 86844 Mouse Unigene: 10617 Rat Important Note: This product as supplied is intended for research use only, not for use in human, therapeutic or diagnostic applications. 细胞膜受体(Membrane Receptors) c-Met蛋白是肝细胞生长因子受体(Hepatocyte growth factor receptor, HGFR),又称受体蛋白酪氨酸激酶,肝细胞生长因子和过度表达的c-Met(HGFR)蛋白结合,在肿瘤的发生、进展和血管形成中都起着重要作用。 c-met蛋白也是HGF特异性受体,具有内源性酪氨酸激酶的活性,HGF与c-met蛋白特异性结合对肿瘤细胞生长、分化及恶性转化可能具有重要的关联。 |
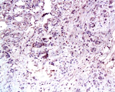
| 产品图片 | ![]() Tissue/cell:human gastric cancer tissue; 4% Paraformaldehyde-fixed and paraffin-embedded; Antigen retrieval: citrate buffer ( 0.01M, pH 6.0 ), Boiling bathing for 15min; Block endogenous peroxidase by 3% Hydrogen peroxide for 30min; Blocking buffer (normal goat serum,C-0005) at 37℃ for 20 min; Incubation: Anti-Met (c Met) Polyclonal Antibody, Unconjugated(bs-0668R) 1:200, overnight at 4°C, followed by conjugation to the secondary antibody(SP-0023) and DAB(C-0010) staining ![]() Tissue/cell: human gastric carcinoma; 4% Paraformaldehyde-fixed and paraffin-embedded; Antigen retrieval: citrate buffer ( 0.01M, pH 6.0 ), Boiling bathing for 15min; Block endogenous peroxidase by 3% Hydrogen peroxide for 30min; Blocking buffer (normal goat serum,C-0005) at 37℃ for 20 min; Incubation: Anti-C-Met Polyclonal Antibody, Unconjugated(bs-0668R) 1:100, overnight at 4°C, followed by conjugation to the secondary antibody(SP-0023) and DAB(C-0010) staining ![]() Tissue/cell: mouse intestine tissue;4% Paraformaldehyde-fixed and paraffin-embedded; Antigen retrieval: citrate buffer ( 0.01M, pH 6.0 ), Boiling bathing for 15min; Blocking buffer (normal goat serum,C-0005) at 37℃ for 20 min; Incubation: Anti-C-Met Polyclonal Antibody, Unconjugated(bs-0668R) 1:200, overnight at 4°C; The secondary antibody was Goat Anti-Rabbit IgG, Cy3 conjugated(bs-0295G-Cy3)used at 1:200 dilution for 40 minutes at 37°C. DAPI(5ug/ml,blue,C-0033) was used to stain the cell nuclei ![]() Blank control (blue line): U251(blue). Primary Antibody (green line): Rabbit Anti-Met (c Met) antibody (bs-0668R) Dilution: 1μg /10^6 cells; Isotype Control Antibody (orange line): Rabbit IgG . Secondary Antibody (white blue line): Goat anti-rabbit IgG-PE Dilution: 1μg /test. Protocol The cells were fixed with 70% ethanol overnight at 4℃. Cells stained with Primary Antibody for 30 min at room temperature. The cells were then incubated in 1 X PBS/2%BSA/10% goat serum to block non-specific protein-protein interactions followed by the antibody for 15 min at room temperature. The secondary antibody used for 40 min at room temperature. Acquisition of 20,000 events was performed. |
风险提示:丁香通仅作为第三方平台,为商家信息发布提供平台空间。用户咨询产品时请注意保护个人信息及财产安全,合理判断,谨慎选购商品,商家和用户对交易行为负责。对于医疗器械类产品,请先查证核实企业经营资质和医疗器械产品注册证情况。
文献和实验Problems in bisulfite sequencing reproducibility-DNA Met
I am having huge problems with bisulfite PCR.Southern analysis indicates that my DNA is unmethylated.My first bisulfite treatment also indicated that the DNA was unmethylated.Subsequent treatments have not been able to reproduce this result
人肝细胞生长因子受体(HGFR/ c-MET)酶联免疫分析(ELISA)
人肝细胞生长因子受体(HGFR/ c-MET ) 酶联免疫分析(ELISA ) 试剂盒使用说明书 本试剂仅供研究使用 目的:本试剂盒用于测定人血清,血浆及相关液体样本中肝细胞生长因子受体(HGFR/ c-MET )的 含量。 实验原理: 本试剂盒应用双抗体夹心法测定标本中人肝细胞生长因子受体( HGFR/ c-MET )水平。用纯化的人肝细胞生长因子受体( HGFR/ c-MET )抗体包被微孔
四川自贡市第三人民医院 宋善勤 张德文 徐晓玲 王学军 美国MET一AscA全自动生化分析仪以快速、准确、节省试剂和自动打印标准化报告单等优点受到同行欢迎。但本科在四年多的使用中也遇到了一些故障,并摸索了一些解决的办法,现总结如下,供使用该仪器的同道参考。1.计算机故障与排除1.1故障1.1.1电源电压波动范围超过±5V时分析仪最容易失控,失控后分析仪停止分析。1.1.2如果空调、大容量冰箱、除湿机的电源同仪器电源安装在同一相时
技术资料暂无技术资料 索取技术资料















