相关产品推荐更多 >
万千商家帮你免费找货
0 人在求购买到急需产品
- 详细信息
- 文献和实验
- 技术资料
- 供应商:
上海联迈生物工程有限公司
- 库存:
大量
- 目录编号:
LM-5005R
- 克隆性:
多克隆
- 抗原来源:
Rabbit
- 保质期:
1年
- 抗体英文名:
PFKFB2/PFK2
- 抗体名:
果糖-2,6-二磷酸酶2/磷酸果糖激酶2抗体
- 宿主:
Rabbit
- 适应物种:
Human, Mouse, Rat, Chicken, Dog,
- 免疫原:
KLH conjugated synthetic peptide derived from human PFKFB2:51-150/505
- 亚型:
IgG
- 形态:
Lyophilized or Liquid
- 应用范围:
WB=1:500-2000 ELISA=1:500-1000 IHC-P=1:400-800 IHC-F=1:400-800 IF=1:100-500 (石蜡切片需做抗原修复)
- 浓度:
1mg/ml
- 保存条件:
Store at -20 °C
- 规格:
100ul 200ul
| 英文名称 | PFKFB2/PFK2 |
| 中文名称 | 果糖-2,6-二磷酸酶2/磷酸果糖激酶2抗体 |
| 别 名 | 6 phosphofructo 2 kinase/fructose 2 6 biphosphatase 2; 6-bisphosphatase; 6-P2ase 2; 6-P2ASE heart-type isozyme; 6PF 2 K/Fru 2 6 P2ASE heart type isozyme; 6PF-2-K/Fru-2; F262_HUMAN; Fructose 2 6 bisphosphatase cardiac isozyme; Fructose-2; PFK 2/FBPase 2; PFK/FBPase 2; PFKFB cardiac; PFKFB2. |
| 规格价格 | 100ul/1380元 购买 200ul/2200元 购买 大包装/询价 |
| 说 明 书 | 100ul 200ul |
| 研究领域 | 肿瘤 心血管 细胞生物 免疫学 信号转导 新陈代谢 |
| 抗体来源 | Rabbit |
| 克隆类型 | Polyclonal |
| 交叉反应 | Human, Mouse, Rat, Chicken, Dog, |
| 产品应用 | WB=1:500-2000 ELISA=1:500-1000 IHC-P=1:400-800 IHC-F=1:400-800 IF=1:100-500 (石蜡切片需做抗原修复) not yet tested in other applications. optimal dilutions/concentrations should be determined by the end user. |
| 分 子 量 | 58kDa |
| 细胞定位 | 细胞浆 |
| 性 状 | Lyophilized or Liquid |
| 浓 度 | 1mg/ml |
| 免 疫 原 | KLH conjugated synthetic peptide derived from human PFKFB2:51-150/505 |
| 亚 型 | IgG |
| 纯化方法 | affinity purified by Protein A |
| 储 存 液 | 0.01M TBS(pH7.4) with 1% BSA, 0.03% Proclin300 and 50% Glycerol. |
| 保存条件 | Store at -20 °C for one year. Avoid repeated freeze/thaw cycles. The lyophilized antibody is stable at room temperature for at least one month and for greater than a year when kept at -20°C. When reconstituted in sterile pH 7.4 0.01M PBS or diluent of antibody the antibody is stable for at least two weeks at 2-4 °C. |
| PubMed | PubMed |
| 产品介绍 | background: PFKFB2 is involved in both the synthesis and degradation of fructose-2,6-bisphosphate, a regulatory molecule that controls glycolysis in eukaryotes. It has a 6-phosphofructo-2-kinase activity that catalyzes the synthesis of fructose-2,6-bisphosphate, and a fructose-2,6-biphosphatase activity that catalyzes the degradation of fructose-2,6-bisphosphate. PFKFB2 regulates fructose-2,6-bisphosphate levels in the heart, while a related enzyme encoded by a different gene regulates fructose-2,6-bisphosphate levels in the liver and muscle. This enzyme functions as a homodimer. There are two named isoforms. Function: Synthesis and degradation of fructose 2,6-bisphosphate. Subunit: Homodimer (By similarity). Tissue Specificity: Heart. Post-translational modifications: Phosphorylation by AMPK stimulates activity. Similarity: In the C-terminal section; belongs to the phosphoglycerate mutase family. SWISS: O60825 Gene ID: 5208 Database links: Entrez Gene: 5208 Human Omim: 171835 Human SwissProt: O60825 Human Important Note: This product as supplied is intended for research use only, not for use in human, therapeutic or diagnostic applications. |
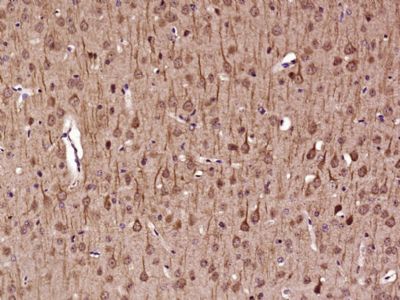
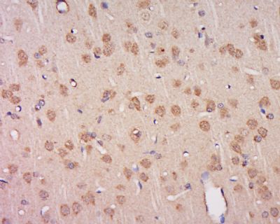
| 产品图片 | ![]() Sample: PC-3 Cell Lysate at 40 ug HepG2 Cell Lysate at 40 ug Primary: Anti- PFKFB2/PFK2 (bs-5005R) at 1/300 dilution Secondary: IRDye800CW Goat Anti-Rabbit IgG at 1/20000 dilution Predicted band size: 58 kD Observed band size: 62 kD ![]() Paraformaldehyde-fixed, paraffin embedded (Mouse brain); Antigen retrieval by boiling in sodium citrate buffer (pH6.0) for 15min; Block endogenous peroxidase by 3% hydrogen peroxide for 20 minutes; Blocking buffer (normal goat serum) at 37°C for 30min; Antibody incubation with (PFKFB2) Polyclonal Antibody, Unconjugated (bs-5005R) at 1:400 overnight at 4°C, followed by operating according to SP Kit(Rabbit) (sp-0023) instructionsand DAB staining. ![]() Tissue/cell: Rat kidney tissue; 4% Paraformaldehyde-fixed and paraffin-embedded; Antigen retrieval: citrate buffer ( 0.01M, pH 6.0 ), Boiling bathing for 15min; Block endogenous peroxidase by 3% Hydrogen peroxide for 30min; Blocking buffer (normal goat serum,C-0005) at 37℃ for 20 min; Incubation: Anti-PFKFB2 Polyclonal Antibody, Unconjugated(bs-5005R) 1:500, overnight at 4°C, followed by conjugation to the secondary antibody(SP-0023) and DAB(C-0010) staining ![]() Tissue/cell: Rat brain tissue; 4% Paraformaldehyde-fixed and paraffin-embedded; Antigen retrieval: citrate buffer ( 0.01M, pH 6.0 ), Boiling bathing for 15min; Block endogenous peroxidase by 3% Hydrogen peroxide for 30min; Blocking buffer (normal goat serum,C-0005) at 37℃ for 20 min; Incubation: Anti-PFKFB2 Polyclonal Antibody, Unconjugated(bs-5005R) 1:500, overnight at 4°C, followed by conjugation to the secondary antibody(SP-0023) and DAB(C-0010) staining |
风险提示:丁香通仅作为第三方平台,为商家信息发布提供平台空间。用户咨询产品时请注意保护个人信息及财产安全,合理判断,谨慎选购商品,商家和用户对交易行为负责。对于医疗器械类产品,请先查证核实企业经营资质和医疗器械产品注册证情况。
文献和实验剂。2,6-二磷酸果糖尽管和1,6二磷酸果糖结构相似,但F-2,6-BP不是6-磷酸果糖激酶1的产物,而是6-磷酸果糖激酶1最强烈的激活剂、最重要的调节因素。 F-2,6-BP的生成是以6-磷酸果糖为底物在6-磷酸果糖激酶2(6-phosphofructokinase2,PFK2)催化下产生。医学|教育|网搜集整理6-磷酸果糖激酶2是双功能酶,包括6-磷酸果糖激酶2与2,6-二磷酸果糖酶2活性,它们同时存在于一条55x103(55kDa)的多肽链中。6-磷酸果糖激酶2的别构激活剂是底物F-6-P,在糖
剂。2,6-二磷酸果糖尽管和1,6二磷酸果糖结构相似,但F-2,6-BP不是6-磷酸果糖激酶1的产物,而是6-磷酸果糖激酶1最强烈的激活剂、最重要的调节因素。 F-2,6-BP的生成是以6-磷酸果糖为底物在6-磷酸果糖激酶2(6-phosphofructokinase2,PFK2)催化下产生。医学|教育|网搜集整理6-磷酸果糖激酶2是双功能酶,包括6-磷酸果糖激酶2与2,6-二磷酸果糖酶2活性,它们同时存在于一条55x103(55kDa)的多肽链中。6-磷酸果糖激酶2的别构激活剂是底物F-6-P,在糖
(3)同上。两个磷酸化位点都要做,但是可能在不同的病理条件下,侧重点有所不同,这主要体现在你的论文的讨论中。因此建议实验前多做论文研究,查阅一下别人的发表文章,看看与你的病理模型更相关的是哪个位点。 真爱满行囊 非常感谢你 的回复,现在我遇到的问题是我做出来蛋白总量还有216位点是有变化的,9位因为买的是santa curz的抗体,现在死活做不出来,很头痛,我要说明的问题是他的活性降低,我也看到216位点磷酸化水平降低了,可是现在没有第九位的结果(就是没有办法得到第九
技术资料暂无技术资料 索取技术资料














