相关产品推荐更多 >
万千商家帮你免费找货
0 人在求购买到急需产品
- 详细信息
- 文献和实验
- 技术资料
- 供应商:
上海康朗生物科技有限公司
- 库存:
大量
- 目录编号:
kl-20388R
- 克隆性:
多克隆
- 抗原来源:
Rabbit
- 保质期:
12个月
- 抗体英文名:
StAR antibody
- 抗体名:
促黄体激素诱导蛋白抗体
- 宿主:
Rabbit
- 适应物种:
Human, Mouse, Rat, Chicken, Dog, Pig, Cow, Horse, Rabbit, Sheep,
- 免疫原:
KLH conjugated synthetic peptide derived from human StAR:201-300/285
- 亚型:
IgG
- 形态:
冻干粉或液体
- 应用范围:
ELISA=1:500-1000 IHC-P=1:400-800 IHC-F=1:400-800 Flow-Cyt=1μg/Test ICC=1:100-500 IF=1:100-500
- 浓度:
1mg/ml
- 保存条件:
-20 °C
- 规格:
100ul 200ul
| 中文名称 | 促黄体激素诱导蛋白抗体 |
| 别 名 | StARD1; Cholesterol trafficker; Luteinizing hormone induced protein; Mitochondrial steroid acute regulatory protein; StAR related lipid transfer (START) domain containing 1; StARD1; START domain containing protein 1; Steroidogenic Acute Regulatory Protein; Steroidogenic acute regulatory protein mitochondrial; STAR_HUMAN. |
| 规格价格 | 100ul/1380元 购买 200ul/2200元 购买 大包装/询价 |
| 说 明 书 | 100ul 200ul |
| 研究领域 | 肿瘤 免疫学 转录调节因子 激酶和磷酸酶 线粒体 |
| 抗体来源 | Rabbit |
| 克隆类型 | Polyclonal |
| 交叉反应 | Human, Mouse, Rat, Chicken, Dog, Pig, Cow, Horse, Rabbit, Sheep, |
| 产品应用 | ELISA=1:500-1000 IHC-P=1:400-800 IHC-F=1:400-800 Flow-Cyt=1μg/Test ICC=1:100-500 IF=1:100-500 (石蜡切片需做抗原修复) not yet tested in other applications. optimal dilutions/concentrations should be determined by the end user. |
| 分 子 量 | 32kDa |
| 细胞定位 | 细胞浆 线粒体 |
| 性 状 | Lyophilized or Liquid |
| 浓 度 | 1mg/ml |
| 免 疫 原 | KLH conjugated synthetic peptide derived from human StAR:201-300/285 |
| 亚 型 | IgG |
| 纯化方法 | affinity purified by Protein A |
| 储 存 液 | Preservative: 15mM Sodium Azide, Constituents: 1% BSA, 0.01M PBS, pH 7.4 |
| 保存条件 | Store at -20 °C for one year. Avoid repeated freeze/thaw cycles. The lyophilized antibody is stable at room temperature for at least one month and for greater than a year when kept at -20°C. When reconstituted in sterile pH 7.4 0.01M PBS or diluent of antibody the antibody is stable for at least two weeks at 2-4 °C. |
| PubMed | PubMed |
| 产品介绍 | background: The protein encoded by this gene plays a key role in the acute regulation of steroid hormone synthesis by enhancing the conversion of cholesterol into pregnenolone. This protein permits the cleavage of cholesterol into pregnenolone by mediating the transport of cholesterol from the outer mitochondrial membrane to the inner mitochondrial membrane. Mutations in this gene are a cause of congenital lipoid adrenal hyperplasia (CLAH), also called lipoid CAH. A pseudogene of this gene is located on chromosome 13. [provided by RefSeq, Jul 2008]. Function: Plays a key role in steroid hormone synthesis by enhancing the metabolism of cholesterol into pregnenolone. Mediates the transfer of cholesterol from the outer mitochondrial membrane to the inner mitochondrial membrane where it is cleaved to pregnenolone. Subunit: May interact with TSPO. Subcellular Location: Mitochondrion. DISEASE: Defects in STAR are the cause of adrenal hyperplasia type 1 (AH1) [MIM:201710]. The most severe form of adrenal hyperplasia. It is a condition characterized by onset of profound adrenocortical insufficiency shortly after birth, hyperpigmentation reflecting increased production of pro-opiomelanocortin, elevated plasma rennin activity as a consequence of reduced aldosterone synthesis, and male pseudohermaphroditism resulting from deficient fetal testicular testosterone synthesis. Affected individuals are phenotypic females irrespective of gonadal sex, and frequently die in infancy if mineralocorticoid and glucocorticoid replacement are not instituted. Similarity: Contains 1 START domain. SWISS: P49675 Gene ID: 6770 Database links: Entrez Gene: 6770 Human Entrez Gene: 20845 Mouse Entrez Gene: 25557 Rat Omim: 600617 Human SwissProt: P49675 Human SwissProt: P51557 Mouse SwissProt: P97826 Rat Unigene: 521535 Human Unigene: 293314 Mouse Unigene: 11399 Rat Important Note: This product as supplied is intended for research use only, not for use in human, therapeutic or diagnostic applications. |
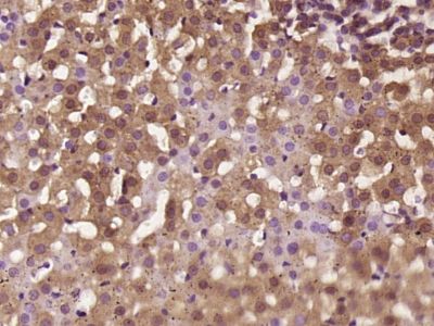
| 产品图片 | ![]() Paraformaldehyde-fixed, paraffin embedded (rat adrenal gland tissue); Antigen retrieval by boiling in sodium citrate buffer (pH6.0) for 15min; Block endogenous peroxidase by 3% hydrogen peroxide for 20 minutes; Blocking buffer (normal goat serum) at 37°C for 30min; Antibody incubation with (StAR) Polyclonal Antibody, Unconjugated (bs-20388R) at 1:400 overnight at 4°C, followed by operating according to SP Kit(Rabbit) (sp-0023) instructionsand DAB staining. ![]() Paraformaldehyde-fixed, paraffin embedded (rat brain tissue); Antigen retrieval by boiling in sodium citrate buffer (pH6.0) for 15min; Block endogenous peroxidase by 3% hydrogen peroxide for 20 minutes; Blocking buffer (normal goat serum) at 37°C for 30min; Antibody incubation with (StAR) Polyclonal Antibody, Unconjugated (bs-20388R) at 1:400 overnight at 4°C, followed by operating according to SP Kit(Rabbit) (sp-0023) instructionsand DAB staining. ![]() Blank control (blue line): mouse blood (fixed with 80% methanol (5 min at -20℃) and then permeabilized with 0.1% PBS-Tween for 20 min at room temperature). Primary Antibody (green line): Rabbit Anti- StAR antibody (bs-20388R),Dilution: 1μg /10^6 cells; Isotype Control Antibody (orange line): Rabbit IgG . Secondary Antibody (white blue line): Goat anti-rabbit IgG-FITC,Dilution: 1μg /test. |
风险提示:丁香通仅作为第三方平台,为商家信息发布提供平台空间。用户咨询产品时请注意保护个人信息及财产安全,合理判断,谨慎选购商品,商家和用户对交易行为负责。对于医疗器械类产品,请先查证核实企业经营资质和医疗器械产品注册证情况。
文献和实验Star Activity It has been demonstrated that under extreme non-standard conditions, restriction endonucleases are capable of cleaving sequences which are similar but not identical to their defined recognition sequence. This altered or relaxed
棘皮动物门的1纲,通称海星。体扁平,多呈星形。口在下边中央。从体盘伸出腕,腕数一般为 5个。腕内充有生殖腺和消化腺。腕下面有开放的步带沟与口相通,沟内具有4行或2行管足。整个身体由许多钙质骨板借结缔组织结合而成,体表有突出的棘、瘤或疣等附属物。世界现存1600种,中国已知100多种。 形态 本类典型腕数为5个,4个不正常,6个有时是正常的。轮海星(Crossaster)的正常腕数为9~11个,赫利海星(Heliaster)为15~50个。 海星类多数中等
八角科八角属的一个种,学名Illicium verum Hook.f.,别名大茴香、大料。 常绿乔木,香辛作物。果实为调味香料,也可药用。有温中、散寒、暖骨、理气、止痛等功效。枝、叶、果经蒸馏可得挥发性茴香油,是一种重要的芳香油。鲜果皮含油5-6%,鲜种子含油1.7-2.7%,鲜叶含油0.75-0.9%,80-90%成分为大茴香脑(Anothole),主产中国广西龙州一带山区,广东、台湾、云南、贵州、福建也有栽培。越南也有分布。1982年广西栽培面积3.6万公顷,年产
技术资料暂无技术资料 索取技术资料













