相关产品推荐更多 >
万千商家帮你免费找货
0 人在求购买到急需产品
- 详细信息
- 文献和实验
- 技术资料
- 供应商:
上海康朗生物科技有限公司
- 库存:
大量
- 目录编号:
kl-6522R
- 克隆性:
多克隆
- 抗原来源:
Rabbit
- 保质期:
12个月
- 抗体英文名:
CKMT antibody
- 抗体名:
酸性线粒体肌酸激酶抗体
- 宿主:
Rabbit
- 适应物种:
Human, Mouse, Rat, Dog, Pig, Cow, Horse, Rabbit,
- 免疫原:
KLH conjugated synthetic peptide derived from human CKMT (121-170aa):115-220/417
- 亚型:
IgG
- 形态:
冻干粉或液体
- 应用范围:
WB=1:500-2000 ELISA=1:500-1000 IHC-P=1:400-800 IHC-F=1:400-800 IF=1:100-500
- 浓度:
1mg/ml
- 保存条件:
-20 °C
- 规格:
100ul 200ul
| 中文名称 | 酸性线粒体肌酸激酶抗体 |
| 别 名 | Acidic type mitochondrial creatine kinase; CKMT; CKMT1; CKMT1A; CKMT1B; Creatine kinase mitochondrial 1 ubiquitous; Creatine kinase ubiquitous mitochondrial; Mia CK; Ubiquitous mitochondrial creatine kinase; UMTCK; KCRU_HUMAN. |
| 规格价格 | 100ul/1380元 购买 200ul/2200元 购买 大包装/询价 |
| 说 明 书 | 100ul 200ul |
| 研究领域 | 肿瘤 细胞生物 信号转导 细胞凋亡 肿瘤细胞生物标志物 |
| 抗体来源 | Rabbit |
| 克隆类型 | Polyclonal |
| 交叉反应 | Human, Mouse, Rat, Dog, Pig, Cow, Horse, Rabbit, |
| 产品应用 | WB=1:500-2000 ELISA=1:500-1000 IHC-P=1:400-800 IHC-F=1:400-800 IF=1:100-500 (石蜡切片需做抗原修复) not yet tested in other applications. optimal dilutions/concentrations should be determined by the end user. |
| 分 子 量 | 43kDa |
| 细胞定位 | 细胞浆 细胞膜 |
| 性 状 | Lyophilized or Liquid |
| 浓 度 | 1mg/ml |
| 免 疫 原 | KLH conjugated synthetic peptide derived from human CKMT (121-170aa):115-220/417 |
| 亚 型 | IgG |
| 纯化方法 | affinity purified by Protein A |
| 储 存 液 | 0.01M TBS(pH7.4) with 1% BSA, 0.03% Proclin300 and 50% Glycerol. |
| 保存条件 | Store at -20 °C for one year. Avoid repeated freeze/thaw cycles. The lyophilized antibody is stable at room temperature for at least one month and for greater than a year when kept at -20°C. When reconstituted in sterile pH 7.4 0.01M PBS or diluent of antibody the antibody is stable for at least two weeks at 2-4 °C. |
| PubMed | PubMed |
| 产品介绍 | background: Mitochondrial creatine (MtCK) kinase is responsible for the transfer of high energy phosphate from mitochondria to the cytosolic carrier, creatine. It belongs to the creatine kinase isoenzyme family. It exists as two isoenzymes, sarcomeric MtCK and ubiquitous MtCK, encoded by separate genes. Mitochondrial creatine kinase occurs in two different oligomeric forms: dimers and octamers, in contrast to the exclusively dimeric cytosolic creatine kinase isoenzymes. Many malignant cancers with poor prognosis have shown overexpression of ubiquitous mitochondrial creatine kinase; this may be related to high energy turnover and failure to eliminate cancer cells via apoptosis. Ubiquitous mitochondrial creatine kinase has 80% homology with the coding exons of sarcomeric mitochondrial creatine kinase. Two genes located near each other on chromosome 15 have been identified which encode identical mitochondrial creatine kinase proteins. Function: Reversibly catalyzes the transfer of phosphate between ATP and various phosphogens (e.g. creatine phosphate). Creatine kinase isoenzymes play a central role in energy transduction in tissues with large, fluctuating energy demands, such as skeletal muscle, heart, brain and spermatozoa. Subunit: Exists as an octamer composed of four MTCK homodimers. Subcellular Location: Mitochondrion inner membrane; Peripheral membrane protein; Intermembrane side. Similarity: Belongs to the ATP:guanido phosphotransferase family. Contains 1 phosphagen kinase C-terminal domain. Contains 1 phosphagen kinase N-terminal domain. SWISS: P12532 Gene ID: 1159 Database links: Entrez Gene: 1159 Human Entrez Gene: 29593 Rat Omim: 123290 Human SwissProt: P12532 Human Unigene: 425633 Human Unigene: 155589 Rat Important Note: This product as supplied is intended for research use only, not for use in human, therapeutic or diagnostic applications. |
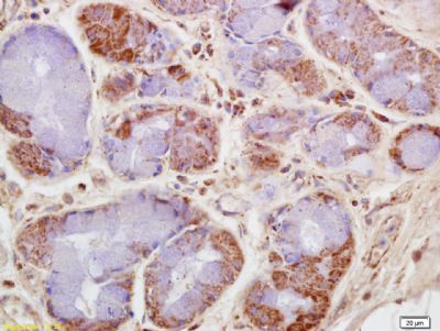
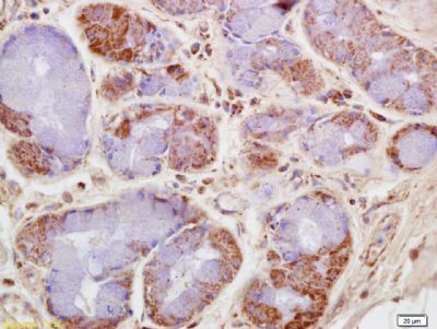
| 产品图片 | ![]() Sample: Small intestine (Mouse) Lysate at 40 ug Primary: Anti-CKMT (bs-6522R) at 1/1000 dilution Secondary: IRDye800CW Goat Anti-Rabbit IgG at 1/20000 dilution Predicted band size: 43 kD Observed band size: 43 kD ![]() Sample: Large intestine (Rat) Lysate at 40 ug Primary: Anti-CKMT (bs-6522R) at 1/1000 dilution Secondary: IRDye800CW Goat Anti-Rabbit IgG at 1/20000 dilution Predicted band size: 43 kD Observed band size: 43 kD ![]() Tissue/cell: human lung carcinoma; 4% Paraformaldehyde-fixed and paraffin-embedded; Antigen retrieval: citrate buffer ( 0.01M, pH 6.0 ), Boiling bathing for 15min; Block endogenous peroxidase by 3% Hydrogen peroxide for 30min; Blocking buffer (normal goat serum,C-0005) at 37℃ for 20 min; Incubation: Anti-CKMT/Creatine kinase MT Polyclonal Antibody, Unconjugated(bs-6522R) 1:200, overnight at 4°C, followed by conjugation to the secondary antibody(SP-0023) and DAB(C-0010) staining |
风险提示:丁香通仅作为第三方平台,为商家信息发布提供平台空间。用户咨询产品时请注意保护个人信息及财产安全,合理判断,谨慎选购商品,商家和用户对交易行为负责。对于医疗器械类产品,请先查证核实企业经营资质和医疗器械产品注册证情况。
文献和实验Generation of Antibody Molecules Through Antibody Engineering
been overcome to a large extent using genetic-engineering techniques to produce chimeric mouse/human and completely human antibodies. Such an approach is particularly suitable because of the domain structure of the antibody molecule ( 2 ), where functional
The importance of antibody molecules was first recognized in the 1890s, when it was shown that immunity to tetanus and diphtheria was caused by antibodies against the bacterial exotoxins (1 ). Around the same time, it was shown that antisera
General comments: Antibodies, like most proteins, do not like to be freeze-thawed. Avoid repetitive freezing of your solution. The best way to store your antibody is to keep a high protein concentration (>1 mg/ml), add some protease
技术资料暂无技术资料 索取技术资料












