相关产品推荐更多 >
万千商家帮你免费找货
0 人在求购买到急需产品
- 详细信息
- 文献和实验
- 技术资料
- 供应商:
上海康朗生物科技有限公司
- 库存:
大量
- 目录编号:
kl-0006R
- 克隆性:
多克隆
- 抗原来源:
Rabbit
- 保质期:
12个月
- 抗体英文名:
Nestin
- 抗体名:
巢蛋白/神经上皮干细胞蛋白抗体
- 宿主:
Rabbit
- 适应物种:
Human,
- 免疫原:
KLH conjugated synthetic peptide derived from human Nestin:801-900/1621
- 亚型:
IgG
- 形态:
冻干粉或液体
- 应用范围:
ELISA=1:500-1000 IHC-P=1:400-800 IHC-F=1:400-800 IF=1:100-500
- 浓度:
1mg/ml
- 保存条件:
-20 °C
- 规格:
50ul 100ul 200ul
| 中文名称 | 巢蛋白/神经上皮干细胞蛋白抗体 |
| 别 名 | ESTM 46; FLJ 21841; FLJ21841; Intermediate filament protein; Nbla00170; Nes; NEST_HUMAN; Nestin. |
![]() |
Specific References (1) | bs-0006R has been referenced in 1 publications.
[IF=1.29] Fan, Lixing, et al. "Directed differentiation of aged human bone marrow multipotent stem cells effectively generates dopamine neurons." In Vitro Cellular & Developmental Biology-Animal (2013): 1-9. Human.
|
| 规格价格 | 50ul/780元 购买 100ul/1380元 购买 200ul/2200元 购买 大包装/询价 |
| 说 明 书 | 50ul 100ul 200ul |
| 研究领域 | 肿瘤 细胞生物 发育生物学 神经生物学 干细胞 肿瘤细胞生物标志物 |
| 抗体来源 | Rabbit |
| 克隆类型 | Polyclonal |
| 交叉反应 | Human, |
| 产品应用 | ELISA=1:500-1000 IHC-P=1:400-800 IHC-F=1:400-800 IF=1:100-500 (石蜡切片需做抗原修复) not yet tested in other applications. optimal dilutions/concentrations should be determined by the end user. |
| 分 子 量 | 178kDa |
| 性 状 | Lyophilized or Liquid |
| 浓 度 | 1mg/ml |
| 免 疫 原 | KLH conjugated synthetic peptide derived from human Nestin:801-900/1621 |
| 亚 型 | IgG |
| 纯化方法 | affinity purified by Protein A |
| 储 存 液 | 0.01M TBS(pH7.4) with 1% BSA, 0.03% Proclin300 and 50% Glycerol. |
| 保存条件 | Store at -20 °C for one year. Avoid repeated freeze/thaw cycles. The lyophilized antibody is stable at room temperature for at least one month and for greater than a year when kept at -20°C. When reconstituted in sterile pH 7.4 0.01M PBS or diluent of antibody the antibody is stable for at least two weeks at 2-4 °C. |
| PubMed | PubMed |
| 产品介绍 | background: There are a certain number of neural stem cells, which can be potentially differentiated into the neurons or neuroglia, in the adult mammalian brain. These neural precursors are located in the subependymal cell layer of the ventricle. Those precursors isolated from embryonic brain can be divided and differentiated into the neurons and glia in vitro and this is regulated by a series of growth-factor actions. Function: Required for brain and eye development. Promotes the disassembly of phosphorylated vimentin intermediate filaments (IF) during mitosis and may play a role in the trafficking and distribution of IF proteins and other cellular factors to daughter cells during progenitor cell division. Required for survival, renewal and mitogen-stimulated proliferation of neural progenitor cells (By similarity). Subunit: Forms homodimers and homotetramers in vitro. In mixtures with other intermediate filament proteins such as vimentin and alpha-internexin, tis protein preferentially forms heterodimers which can assemble to form intermediate filaments if nestin does not exceed 25%. Interacts with FHOD3 (By similarity). Tissue Specificity: CNS stem cells. Post-translational modifications: Constitutively phosphorylated. This increases during mitosis when the cytoplasmic intermediate filament network is reorganized. Similarity: Belongs to the intermediate filament family. SWISS: P48681 Gene ID: 10763 Database links: Entrez Gene: 10763 Human Entrez Gene: 18008 Mouse Entrez Gene: 25491 Rat Omim: 600915 Human SwissProt: P48681 Human SwissProt: Q6P5H2 Mouse SwissProt: P21263 Rat Unigene: 527971 Human Unigene: 331129 Mouse Unigene: 9701 Rat Important Note: This product as supplied is intended for research use only, not for use in human, therapeutic or diagnostic applications. 结构蛋白(Structural Proteins) Neural Stem Cell Marker (神经干细胞标志物) 在动物体早期发育过程中,中枢神经系统发育尤为重要 。Nestin是一种中等纤维蛋白,它在哺乳动物神经前体细胞中表达较高,目前已被广泛用于神经前体细胞的重要标志分子。研究Nestin的表达调控规律,将有助于人们认识神经前体细胞的生物特性。此抗体还表达中枢神经系统干细胞及神经上皮细胞。 |
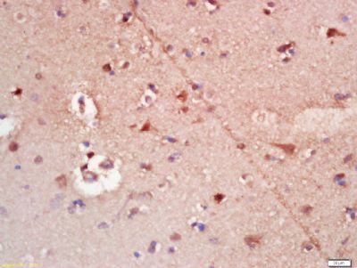
| 产品图片 |
Tissue/cell: The human brain tissue; 4% Paraformaldehyde-fixed and paraffin-embedded;
Antigen retrieval: citrate buffer ( 0.01M, pH 6.0 ), Boiling bathing for 15min; Block endogenous peroxidase by 3% Hydrogen peroxide for 30min; Blocking buffer (normal goat serum,C-0005) at 37℃ for 20 min; Incubation: Anti-Nestin Polyclonal Antibody, Unconjugated(bs-0006R) 1:200, overnight at 4°C, followed by conjugation to the secondary antibody(SP-0023) and DAB(C-0010) staining |
风险提示:丁香通仅作为第三方平台,为商家信息发布提供平台空间。用户咨询产品时请注意保护个人信息及财产安全,合理判断,谨慎选购商品,商家和用户对交易行为负责。对于医疗器械类产品,请先查证核实企业经营资质和医疗器械产品注册证情况。
文献和实验Derivation and Characterization of Neural Cells From Embryonic Stem Cells Using Nestin Enhancer
the early neurogenic proceedings. We have taken advantage of nestin enhancer-mediated cell trapping using the live reporter-based system. We monitored live the ES cell differentiation into neural lineage by following the enhanced green fluorescent protein
Generation of Antibody Molecules Through Antibody Engineering
been overcome to a large extent using genetic-engineering techniques to produce chimeric mouse/human and completely human antibodies. Such an approach is particularly suitable because of the domain structure of the antibody molecule ( 2 ), where functional
A transgenic mouse, in which the regulatory elements of the stem cell marker, nestin drive green fluorescent protein (ND-GFP), expresses GFP in nascent blood vessels. Red fluorescent protein (RFP)-expressing tumors transplanted to nestin-GFP
技术资料暂无技术资料 索取技术资料











