相关产品推荐更多 >
万千商家帮你免费找货
0 人在求购买到急需产品
- 详细信息
- 文献和实验
- 技术资料
- 供应商:
上海康朗生物科技有限公司
- 库存:
大量
- 目录编号:
kl-6544R
- 克隆性:
多克隆
- 抗原来源:
Rabbit
- 保质期:
12个月
- 抗体英文名:
LOXL2 antibody
- 抗体名:
赖氨酰氧化酶相关蛋白2抗体
- 宿主:
Rabbit
- 适应物种:
Human, Mouse, Rat, Chicken, Dog, Pig, Cow, Horse, Rabbit,
- 免疫原:
KLH conjugated synthetic peptide derived from human LOXL2:621-720/774
- 亚型:
IgG
- 形态:
冻干粉或液体
- 应用范围:
WB=1:500-2000 ELISA=1:500-1000 IHC-P=1:400-800 IHC-F=1:400-800 IF=1:100-500
- 浓度:
1mg/ml
- 保存条件:
-20 °C
- 规格:
50ul 100ul 200ul
| 中文名称 | 赖氨酰氧化酶相关蛋白2抗体 |
| 别 名 | LOR 2; LOR2; LOX L2; LOXL 2; LOXL2; LOXL2_HUMAN; Lysyl oxidase homolog 2; Lysyl oxidase like 2; Lysyl oxidase like protein 2; Lysyl oxidase related 2; Lysyl oxidase related protein 2; Lysyl oxidase related protein WS9 14; Lysyl oxidase-like protein 2; Lysyl oxidase-related protein 2; Lysyl oxidase-related protein WS9-14; WS9 14. |
| 规格价格 | 50ul/780元 购买 100ul/1380元 购买 200ul/2200元 购买 大包装/询价 |
| 说 明 书 | 50ul 100ul 200ul |
| 研究领域 | 肿瘤 细胞生物 免疫学 信号转导 细胞骨架 肿瘤细胞生物标志物 |
| 抗体来源 | Rabbit |
| 克隆类型 | Polyclonal |
| 交叉反应 | Human, Mouse, Rat, Chicken, Dog, Pig, Cow, Horse, Rabbit, |
| 产品应用 | WB=1:500-2000 ELISA=1:500-1000 IHC-P=1:400-800 IHC-F=1:400-800 IF=1:100-500 (石蜡切片需做抗原修复) not yet tested in other applications. optimal dilutions/concentrations should be determined by the end user. |
| 分 子 量 | 87kDa |
| 细胞定位 | 细胞外基质 分泌型蛋白 |
| 性 状 | Lyophilized or Liquid |
| 浓 度 | 1mg/ml |
| 免 疫 原 | KLH conjugated synthetic peptide derived from human LOXL2:621-720/774 |
| 亚 型 | IgG |
| 纯化方法 | affinity purified by Protein A |
| 储 存 液 | 0.01M TBS(pH7.4) with 1% BSA, 0.03% Proclin300 and 50% Glycerol. |
| 保存条件 | Store at -20 °C for one year. Avoid repeated freeze/thaw cycles. The lyophilized antibody is stable at room temperature for at least one month and for greater than a year when kept at -20°C. When reconstituted in sterile pH 7.4 0.01M PBS or diluent of antibody the antibody is stable for at least two weeks at 2-4 °C. |
| PubMed | PubMed |
| 产品介绍 | background: This gene encodes a member of the lysyl oxidase gene family. The prototypic member of the family is essential to the biogenesis of connective tissue, encoding an extracellular copper-dependent amine oxidase that catalyses the first step in the formation of crosslinks in collagens and elastin. A highly conserved amino acid sequence at the C-terminus end appears to be sufficient for amine oxidase activity, suggesting that each family member may retain this function. The N-terminus is poorly conserved and may impart additional roles in developmental regulation, senescence, tumor suppression, cell growth control, and chemotaxis to each member of the family. [provided by RefSeq, Jul 2008]. Function: Mediates the post-translational oxidative deamination of lysine residues on target proteins leading to the formation of deaminated lysine (allysine). When secreted in extracellular matrix, promotes cross-linking of extracellular matrix proteins by mediating oxidative deamination of peptidyl lysine residues in precursors to fibrous collagen and elastin. Acts as a regulator of sprouting angiogenesis, probably via collagen IV scaffolding. When nuclear, acts as a transcription corepressor and specifically mediates deamination of trimethylated 'Lys-4' of histone H3 (H3K4me3), a specific tag for epigenetic transcriptional activation. Involved in epithelial to mesenchymal transition (EMT) via interaction with SNAI1 and participates in repression of E-cadherin, probably by mediating deamination of histone H3. Also involved in E-cadherin repression following hypoxia, a hallmark of epithelial to mesenchymal transition believed to amplify tumor aggressiveness, suggesting that it may play a role in tumor progression. Acts as a regulator of chondrocyte differentiation, probably by regulating expression of factors that control chondrocyte differentiation. Subunit: Component of some chromatin repressor complex. Interacts with SNAI1. Subcellular Location: Secreted, extracellular space, extracellular matrix, basement membrane (By similarity). Nucleus. Chromosome. Note=Associated with chromatin. It is unclear how LOXL2 is nuclear: it contains a clear signal sequence and is predicted to localize in the extracellular medium. However, different reports confirmed the intracellular location and its key role in transcription regulation. Tissue Specificity: Expressed in many tissues. Highest expression in reproductive tissues, placenta, uterus and prostate. Post-translational modifications: The lysine tyrosylquinone cross-link (LTQ) is generated by condensation of the epsilon-amino group of a lysine with a topaquinone produced by oxidation of tyrosine. [PTM] N-glycosylated. N-glycosylation on Asn-455 and Asn-644 may be essential for proper folding and secretion; may be composed of a fucosylated carbohydrates attached to a trimannose N-linked glycan core. Similarity: Belongs to the lysyl oxidase family. Contains 4 SRCR domains. SWISS: Q9Y4K0 Gene ID: 4017 Database links: Entrez Gene: 4017 Human Entrez Gene: 94352 Mouse Entrez Gene: 290350 Rat Omim: 606663 Human SwissProt: Q9Y4K0 Human SwissProt: P58022 Mouse SwissProt: B5DF27 Rat Unigene: 626637 Human Unigene: 661130 Human Unigene: 116714 Mouse Important Note: This product as supplied is intended for research use only, not for use in human, therapeutic or diagnostic applications. Post-translational modifications: The lysine tyrosylquinone cross-link (LTQ) is generated by condensation of the epsilon-amino group of a lysine with a topaquinone produced by oxidation of tyrosine. |
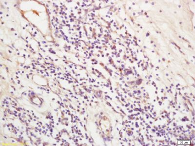
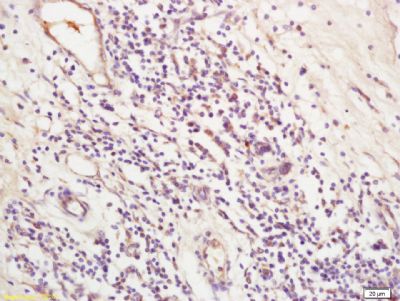
| 产品图片 | ![]() Tissue/cell: human breast carcinoma; 4% Paraformaldehyde-fixed and paraffin-embedded; Antigen retrieval: citrate buffer ( 0.01M, pH 6.0 ), Boiling bathing for 15min; Block endogenous peroxidase by 3% Hydrogen peroxide for 30min; Blocking buffer (normal goat serum,C-0005) at 37℃ for 20 min; Incubation: Anti-LOXL2 Polyclonal Antibody, Unconjugated(bs-6544R) 1:200, overnight at 4°C, followed by conjugation to the secondary antibody(SP-0023) and DAB(C-0010) staining |
风险提示:丁香通仅作为第三方平台,为商家信息发布提供平台空间。用户咨询产品时请注意保护个人信息及财产安全,合理判断,谨慎选购商品,商家和用户对交易行为负责。对于医疗器械类产品,请先查证核实企业经营资质和医疗器械产品注册证情况。
文献和实验Generation of Antibody Molecules Through Antibody Engineering
been overcome to a large extent using genetic-engineering techniques to produce chimeric mouse/human and completely human antibodies. Such an approach is particularly suitable because of the domain structure of the antibody molecule ( 2 ), where functional
The importance of antibody molecules was first recognized in the 1890s, when it was shown that immunity to tetanus and diphtheria was caused by antibodies against the bacterial exotoxins (1 ). Around the same time, it was shown that antisera
General comments: Antibodies, like most proteins, do not like to be freeze-thawed. Avoid repetitive freezing of your solution. The best way to store your antibody is to keep a high protein concentration (>1 mg/ml), add some protease
技术资料暂无技术资料 索取技术资料









