相关产品推荐更多 >
万千商家帮你免费找货
0 人在求购买到急需产品
- 详细信息
- 技术资料
- 供应商:
上海联迈生物工程有限公司
- 库存:
大量
- 目录编号:
LM-0026R
- 克隆性:
多克隆
- 抗原来源:
Rabbit
- 保质期:
1年
- 抗体英文名:
osteopontin
- 抗体名:
骨桥蛋白/分泌型磷蛋白1抗体
- 宿主:
Rabbit
- 适应物种:
Mouse, Rat,
- 免疫原:
KLH conjugated synthetic peptide derived from mouse OPN:221-280/294
- 亚型:
IgG
- 形态:
Lyophilized or Liquid
- 应用范围:
WB=1:500-2000 ELISA=1:500-1000 IHC-P=1:400-800 IHC-F=1:400-800 IF=1:100-500 (石蜡切片需做抗原修复)
- 浓度:
1mg/ml
- 保存条件:
Store at -20 °C
- 规格:
50ul 100ul 200ul
osteopontin骨桥蛋白/分泌型磷蛋白1抗体
| 中文名称 | 骨桥蛋白/分泌型磷蛋白1抗体 |
| 别 名 | osteopontin; BNSP; Bone sialoprotein 1; BSP I; BSPI; Early T lymphocyte activation 1; ETA 1; ETA1; MGC110940; Nephropontin; OPN; Secreted phosphoprotein 1; SPP 1; SPP1; Urinary stone protein; Uropontin; OSTP_Mouse. |
![]() |
Specific References (2) | bs-0026R has been referenced in 2 publications. [IF=7.60] Wang, Yang, et al. "Induced apoptosis of osteoblasts proliferating on polyhydroxyalkanoates." Biomaterials (2013). Rat. PubMed:23433672 [IF=3.68] Zhang, Ping, et al. "Contribution of SATB2 to the stronger osteogenic potential of bone marrow stromal cells from craniofacial bones." Cell and Tissue Research 350.3 (2012): 425-437. WB ; Rat. PubMed:22237862 |
| 规格价格 | 50ul/780元 购买 100ul/1380元 购买 200ul/2200元 购买 大包装/询价 |
| 说 明 书 | 50ul 100ul 200ul |
| 研究领域 | 神经生物学 信号转导 |
| 抗体来源 | Rabbit |
| 克隆类型 | Polyclonal |
| 交叉反应 | Mouse, Rat, |
| 产品应用 | WB=1:500-2000 ELISA=1:500-1000 IHC-P=1:400-800 IHC-F=1:400-800 IF=1:100-500 (石蜡切片需做抗原修复) not yet tested in other applications. optimal dilutions/concentrations should be determined by the end user. |
| 分 子 量 | 34kDa |
| 细胞定位 | 分泌型蛋白 |
| 性 状 | Lyophilized or Liquid |
| 浓 度 | 1mg/ml |
| 免 疫 原 | KLH conjugated synthetic peptide derived from mouse OPN:221-280/294 |
| 亚 型 | IgG |
| 纯化方法 | affinity purified by Protein A |
| 储 存 液 | 0.01M TBS(pH7.4) with 1% BSA, 0.03% Proclin300 and 50% Glycerol. |
| 保存条件 | Store at -20 °C for one year. Avoid repeated freeze/thaw cycles. The lyophilized antibody is stable at room temperature for at least one month and for greater than a year when kept at -20°C. When reconstituted in sterile pH 7.4 0.01M PBS or diluent of antibody the antibody is stable for at least two weeks at 2-4 °C. |
| PubMed | PubMed |
| 产品介绍 | background: Osteopontin is the principal phosphorylated glycoprotein of bone and is expressed in a limited number of other tissues including dentine. Osteopontin is produced by osteoblasts under stimulation by calcitriol and binds tightly to hydroxyapatite. It is also involved in the anchoring of osteoclasts to the mineral of bone matrix via the vitronectin receptor, which has specificity for osteopontin. Osteopontin is overexpressed in a variety of cancers, including lung, breast, colorectal, stomach, ovarian, melanoma and mesothelioma. Subunit: Ligand for integrin alpha-V/beta-3. Subcellular Location: Secreted. Tissue Specificity: Bone. Found in plasma. Similarity: Belongs to the osteopontin family. SWISS: P10923 Gene ID: 20750 Database links: Entrez Gene: 6696 Human Entrez Gene: 20750 Mouse Entrez Gene: 25353 Rat Omim: 166490 Human SwissProt: P10451 Human SwissProt: P10923 Mouse SwissProt: P08721 Rat Unigene: 313 Human Important Note: This product as supplied is intended for research use only, not for use in human, therapeutic or diagnostic applications. 骨桥蛋白(osteopontin)又称为早期T淋巴细胞活化因子I或分泌型磷蛋白I,是一种重要的多功能细胞外基质蛋白,在骨组织细胞、巨噬细胞、平滑肌细胞、内皮细胞及上皮细胞等多种细胞上表达,在介导细胞的趋化、聚集、黏附、增殖和迁移,以及骨组织的矿化与重建、免疫调节、信号转导和对感染性疾病的免疫能力等方面有着重要的作用。 OPN在细胞免疫中的功能:1.OPN对炎性细胞的作用:炎症是炎性细胞(单核巨噬细胞、淋巴细胞、中性粒细胞等)在炎症部位的聚集,适度的炎症对机体有益,如抗感染及促进组织细胞功能恢复等;但过度的炎症能引起组织损伤等有害作用。OPN在炎症中具有促炎及抗炎双重作用;2.OPN对淋巴细胞的作用:早期的报道称OPN是T淋巴细胞抑制因子,它可抑制T淋巴细胞而促进B淋巴细胞及肥大细胞的分化、增殖 骨桥蛋白(osteopontin,OPN)是一种含精氨酸—甘氨酸—天冬氨酸(Arg-Gly-Asp,RGD)的分泌型糖基化磷蛋白,已归类于细胞外基质(extracellular matrix,ECM)蛋白。 OPN既是细胞因子,又是细胞黏附分子。 OPN最初是从骨组织分离的,而后在上皮细胞、胃肠道的分泌物、肾、甲状腺、睾丸以及一些肿瘤细胞里都陆续的发现了OPN的表达。在生殖方面,OPN在分泌期子宫内膜上皮细胞、侵袭的滋养细胞、蜕膜细胞中表达。 |
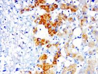
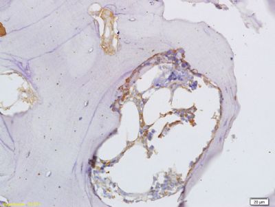
| 产品图片 | ![]() Sample: Kidney (Mouse) Lysate at 40 ug Primary: Anti-osteopontin (bs-0026R) at 1/300 dilution Secondary: IRDye800CW Goat Anti-Rabbit IgG at 1/20000 dilution Predicted band size: 34 kD Observed band size: 50 kD ![]() Tissue/cell: rat shin bone; 4% Paraformaldehyde-fixed and paraffin-embedded; Antigen retrieval: citrate buffer ( 0.01M, pH 6.0 ), Boiling bathing for 15min; Block endogenous peroxidase by 3% Hydrogen peroxide for 30min; Blocking buffer (normal goat serum,C-0005) at 37℃ for 20 min; Incubation: Anti-osteopontin Polyclonal Antibody, Unconjugated(bs-0026R) 1:300, overnight at 4°C, followed by conjugation to the secondary antibody(SP-0023) and DAB(C-0010) staining |
风险提示:丁香通仅作为第三方平台,为商家信息发布提供平台空间。用户咨询产品时请注意保护个人信息及财产安全,合理判断,谨慎选购商品,商家和用户对交易行为负责。对于医疗器械类产品,请先查证核实企业经营资质和医疗器械产品注册证情况。
技术资料暂无技术资料 索取技术资料
osteopontin骨桥蛋白/分泌型磷蛋白1抗体
¥780 - 2200












