相关产品推荐更多 >
万千商家帮你免费找货
0 人在求购买到急需产品
- 详细信息
- 文献和实验
- 技术资料
- 供应商:
上海康朗生物科技有限公司
- 库存:
大量
- 目录编号:
kl-1523R
- 克隆性:
多克隆
- 抗原来源:
Rabbit
- 保质期:
12个月
- 抗体英文名:
CD63 antibody
- 抗体名:
黑色素瘤相关抗原抗体
- 宿主:
Rabbit
- 适应物种:
Human
- 免疫原:
KLH conjugated synthetic peptide derived from human CD63:101-200/238 <Extracellular>
- 亚型:
IgG
- 形态:
冻干粉或液体
- 应用范围:
WB=1:500-2000 ELISA=1:500-1000 IHC-P=1:400-800 IHC-F=1:400-800 Flow-Cyt=1μg/Test ICC=1:100-500 IF=1:100-500
- 浓度:
1mg/ml
- 保存条件:
-20 °C
- 规格:
50ul 100ul 200ul
| 中文名称 | 黑色素瘤相关抗原抗体 |
| 别 名 | Lysosomal associated membrane protein 3; CD63 antigen; CD63 antigen melanoma 1 antigen; CD63 molecule; granulophysin; LAMP 3; LAMP3; lysosome associated membrane glycoprotein 3; CD 63; CD63; CD63 antigen (melanoma 1 antigen); CD63_HUMAN; gp55; granulophysin; LAMP-3; LIMP; Lysosomal-associated membrane protein 3; Melanoma-associated antigen ME491; NGA; Ocular melanoma-associated antigen; PTLGP40; Tetraspanin-30; Tspan-30; Mast cell antigen AD1; ME491; melanoma 1 antigen; Melanoma associated antigen ME491; Melanoma associated antigen MLA1; MGC72893; MLA 1; MLA1; ocular melanoma associated antigen; OMA81H; Tetraspanin 30; Tspan 30; TSPAN30; Tumor biomarkers; Platelets markers. |
| 规格价格 | 50ul/780元 购买 100ul/1380元 购买 200ul/2200元 购买 大包装/询价 |
| 说 明 书 | 50ul 100ul 200ul |
| 研究领域 | 肿瘤 心血管 免疫学 细胞类型标志物 |
| 抗体来源 | Rabbit |
| 克隆类型 | Polyclonal |
| 交叉反应 | Human, |
| 产品应用 | WB=1:500-2000 ELISA=1:500-1000 IHC-P=1:400-800 IHC-F=1:400-800 Flow-Cyt=1μg/Test ICC=1:100-500 IF=1:100-500 (石蜡切片需做抗原修复) not yet tested in other applications. optimal dilutions/concentrations should be determined by the end user. |
| 分 子 量 | 26kDa |
| 细胞定位 | 细胞浆 细胞膜 |
| 性 状 | Lyophilized or Liquid |
| 浓 度 | 1mg/ml |
| 免 疫 原 | KLH conjugated synthetic peptide derived from human CD63:101-200/238 <Extracellular> |
| 亚 型 | IgG |
| 纯化方法 | affinity purified by Protein A |
| 储 存 液 | 0.01M TBS(pH7.4) with 1% BSA, 0.03% Proclin300 and 50% Glycerol. |
| 保存条件 | Store at -20 °C for one year. Avoid repeated freeze/thaw cycles. The lyophilized antibody is stable at room temperature for at least one month and for greater than a year when kept at -20°C. When reconstituted in sterile pH 7.4 0.01M PBS or diluent of antibody the antibody is stable for at least two weeks at 2-4 °C. |
| PubMed | PubMed |
| 产品介绍 | background: The protein encoded by this gene is a member of the transmembrane 4 superfamily, also known as the tetraspanin family. Most of these members are cell-surface proteins that are characterized by the presence of four hydrophobic domains. The proteins mediate signal transduction events that play a role in the regulation of cell development, activation, growth and motility. This encoded protein is a cell surface glycoprotein that is known to complex with integrins. It may function as a blood platelet activation marker. Deficiency of this protein is associated with Hermansky-Pudlak syndrome. Also this gene has been associated with tumor progression. The use of alternate polyadenylation sites has been found for this gene. Alternative splicing results in multiple transcript variants encoding different proteins. Function: This antigen is associated with early stages of melanoma tumor progression. May play a role in growth regulation. Subcellular Location: Cell membrane; Multi-pass membrane protein. Lysosome membrane; Multi-pass membrane protein. Late endosome membrane; Multi-pass membrane protein. Note=Also found in Weibel-Palade bodies of endothelial cells. Located in platelet dense granules. Tissue Specificity: Dysplastic nevi, radial growth phase primary melanomas, hematopoietic cells, tissue macrophages. Similarity: Belongs to the tetraspanin (TM4SF) family. SWISS: P08962 Gene ID: 967 Database links: Entrez Gene: 967 Human Omim: 155740 Human SwissProt: P08962 Human Unigene: 445570 Human Important Note: This product as supplied is intended for research use only, not for use in human, therapeutic or diagnostic applications. CD63为溶酶体膜糖蛋白也是一种细胞表面糖蛋白,可表达在多种细胞的表面和胞浆内,血小板活化后即转移至膜表面。 CD63—又称黑色素瘤相关抗原MLA1和整合素形成复合物。是血液血小板活化的标志。与一些肿瘤的进展也有关联。 |
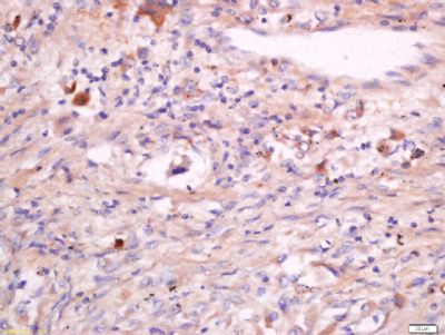
| 产品图片 | ![]() Sample: A431 cell(human) Lysate at 40 ug HL-60 cell(human) Lysate at 40 ug MCF-7 cell(human) Lysate at 40 ug U87mg cell(human)Lysate at 40 ug Primary: Anti- CD63 (bs-1523R)at 1/300 dilution Secondary: IRDye800CW Goat Anti-Rabbit IgG at 1/20000 dilution Predicted band size: 26kD Observed band size: 53 kD ![]() Tissue/cell: human lung carcinoma; 4% Paraformaldehyde-fixed and paraffin-embedded; Antigen retrieval: citrate buffer ( 0.01M, pH 6.0 ), Boiling bathing for 15min; Block endogenous peroxidase by 3% Hydrogen peroxide for 30min; Blocking buffer (normal goat serum,C-0005) at 37℃ for 20 min; Incubation: Anti-CD63 Polyclonal Antibody, Unconjugated(bs-1523R) 1:200, overnight at 4°C, followed by conjugation to the secondary antibody(SP-0023) and DAB(C-0010) staining ![]() Blank control: Hep G2 cells(blue). Primary Antibody:Rabbit Anti- CD23 antibody(bs-1523R), Dilution: 1μg in 100 μL 1X PBS containing 0.5% BSA; Isotype Control Antibody: Rabbit IgG(orange) ,used under the same conditions ); Secondary Antibody: Goat anti-rabbit IgG-PE(white blue), Dilution: 1:200 in 1 X PBS containing 0.5% BSA. Protocol The cells were fixed with 2% paraformaldehyde (10 min) , then permeabilized with 90% ice-cold methanol for 30 min on ice. Primary antibody (bs-1523R,1μg /1x10^6 cells) were incubated for 30 min on the ice, followed by 1 X PBS containing 0.5% BSA + 1 0% goat serum (15 min) to block non-specific protein-protein interactions. Then the Goat Anti-rabbit IgG/PE antibody was added into the blocking buffer mentioned above to react with the primary antibody at 1/200 dilution for 30 min on ice. Acquisition of 20,000 events was performed. |
风险提示:丁香通仅作为第三方平台,为商家信息发布提供平台空间。用户咨询产品时请注意保护个人信息及财产安全,合理判断,谨慎选购商品,商家和用户对交易行为负责。对于医疗器械类产品,请先查证核实企业经营资质和医疗器械产品注册证情况。
文献和实验CD63 分子 CD63 常用单克隆抗体或代号: RUU- SP2.28,CLB 主要表达细胞: Pt,M,Mac,(G,T,B) [Pt] 分子质量(kDa)和结构: gp53,血小板颗粒蛋白(TM4- SF) 功 能: 血小板活化,中性粒细胞- 活化内皮细胞粘附 CD63 Aka lysosomal-membrane-associated glycoprotein 3, LAMP
Generation of Antibody Molecules Through Antibody Engineering
been overcome to a large extent using genetic-engineering techniques to produce chimeric mouse/human and completely human antibodies. Such an approach is particularly suitable because of the domain structure of the antibody molecule ( 2 ), where functional
The importance of antibody molecules was first recognized in the 1890s, when it was shown that immunity to tetanus and diphtheria was caused by antibodies against the bacterial exotoxins (1 ). Around the same time, it was shown that antisera
技术资料暂无技术资料 索取技术资料












