相关产品推荐更多 >
万千商家帮你免费找货
0 人在求购买到急需产品
- 详细信息
- 技术资料
- 供应商:
上海康朗生物科技有限公司
- 库存:
大量
- 目录编号:
kl-6309R
- 克隆性:
多克隆
- 抗原来源:
Rabbit
- 保质期:
12个月
- 抗体英文名:
IL-6 antibody
- 抗体名:
白介素6抗体
- 宿主:
Rabbit
- 适应物种:
Mouse, Rat,
- 免疫原:
KLH conjugated synthetic peptide derived from mouse IL-6:171-211/211
- 亚型:
IgG
- 形态:
冻干粉或液体
- 应用范围:
WB=1:500-2000 ELISA=1:500-1000 IHC-P=1:400-800 IHC-F=1:400-800 IF=1:100-500
- 浓度:
1mg/ml
- 保存条件:
-20 °C
- 规格:
50ul 100ul 200ul
IL-6 antibody
| 中文名称 | 白介素6抗体 |
| 别 名 | Interleukin BSF 2; B cell differentiation factor; B cell stimulatory factor 2; BSF 2; BSF2; CDF; CTL differentiation factor; Cytotoxic T cell differentiation factor; Hepatocyte stimulating factor; HGF; HPGF; HSF; Hybridoma growth factor; Hybridoma plasmacytoma growth factor; IFNB2; IL 6; IL6 protein; Interferon beta 2; Interleukin 6 (interferon beta 2); Interleukin-6; Interleukin-6; Interleukin6; IL6_MOUSE; IL6_HUMAN. |
| 规格价格 | 50ul/780元 购买 100ul/1380元 购买 200ul/2200元 购买 大包装/询价 |
| 说 明 书 | 50ul 100ul 200ul |
| 研究领域 | 肿瘤 细胞生物 生长因子和激素 转录调节因子 |
| 抗体来源 | Rabbit |
| 克隆类型 | Polyclonal |
| 交叉反应 | Mouse, Rat, |
| 产品应用 | WB=1:500-2000 ELISA=1:500-1000 IHC-P=1:400-800 IHC-F=1:400-800 IF=1:100-500 (石蜡切片需做抗原修复) not yet tested in other applications. optimal dilutions/concentrations should be determined by the end user. |
| 分 子 量 | 23kDa |
| 细胞定位 | 分泌型蛋白 |
| 性 状 | Lyophilized or Liquid |
| 浓 度 | 1mg/ml |
| 免 疫 原 | KLH conjugated synthetic peptide derived from mouse IL-6:171-211/211 |
| 亚 型 | IgG |
| 纯化方法 | affinity purified by Protein A |
| 储 存 液 | 0.01M TBS(pH7.4) with 1% BSA, 0.03% Proclin300 and 50% Glycerol. |
| 保存条件 | Store at -20 °C for one year. Avoid repeated freeze/thaw cycles. The lyophilized antibody is stable at room temperature for at least one month and for greater than a year when kept at -20°C. When reconstituted in sterile pH 7.4 0.01M PBS or diluent of antibody the antibody is stable for at least two weeks at 2-4 °C. |
| PubMed | PubMed |
| 产品介绍 | background: This gene encodes a cytokine that functions in inflammation and the maturation of B cells. In addition, the encoded protein has been shown to be an endogenous pyrogen capable of inducing fever in people with autoimmune diseases or infections. The protein is primarily produced at sites of acute and chronic inflammation, where it is secreted into the serum and induces a transcriptional inflammatory response through interleukin 6 receptor, alpha. The functioning of this gene is implicated in a wide variety of inflammation-associated disease states, including suspectibility to diabetes mellitus and systemic juvenile rheumatoid arthritis. [provided by RefSeq, Jun 2011]. Function: Cytokine with a wide variety of biological functions. It is a potent inducer of the acute phase response. Plays an essential role in the final differentiation of B-cells into Ig-secreting cells Involved in lymphocyte and monocyte differentiation. It induces myeloma and plasmacytoma growth and induces nerve cells differentiation Acts on B-cells, T-cells, hepatocytes, hematopoietic progenitor cells and cells of the CNS. Also acts as a myokine. It is discharged into the bloodstream after muscle contraction and acts to increase the breakdown of fats and to improve insulin resistance. Subcellular Location: Secreted. Post-translational modifications: N- and O-glycosylated. DISEASE: Genetic variations in IL6 are associated with susceptibility to rheumatoid arthritis systemic juvenile (RASJ) [MIM:604302]. An inflammatory articular disorder with systemic-onset beginning before the age of 16. It represents a subgroup of juvenile arthritis associated with severe extraarticular features and occasionally fatal complications. During active phases of the disorder, patients display a typical daily spiking fever, an evanescent macular rash, lymphadenopathy, hepatosplenomegaly, serositis, myalgia and arthritis. Note=A IL6 promoter polymorphism is associated with a lifetime risk of development of Kaposi sarcoma in HIV-infected men. Similarity: Belongs to the IL-6 superfamily. SWISS: P08505 Gene ID: 16193 Database links: Entrez Gene: 16193 Mouse Entrez Gene: 24498 Rat SwissProt: P08505 Mouse SwissProt: P20607 Rat Unigene: 1019 Mouse Unigene: 9873 Rat Important Note: This product as supplied is intended for research use only, not for use in human, therapeutic or diagnostic applications. 白细胞介素6是一种多功能细胞因子,既可由淋巴细胞产生,也能由非淋巴细胞合成。在体内免疫反应调节、血细胞的增生、防御机制和急性期反应中起重要作用。 白细胞介素-6是一种糖蛋白,它既可诱导急性期时相关蛋白的产生,也是β细胞终末分化并分泌抗体的必需因子,在免疫调节中发挥重要作用,人的IL-6的前体有212个氨基酸。成熟形态为185个氨基酸。白细胞介素6的分子量:21KD-28KD |
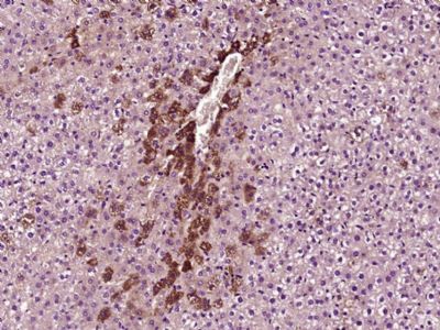
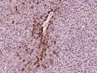
| 产品图片 | ![]() Sample: Lung (Mouse) Lysate at 40 ug Primary: Anti-IL-6 (bs-6309R) at 1/300 dilution Secondary: HRP conjugated Goat-Anti-rabbit IgG (bs-0295G-HRP) at 1/5000 dilution Predicted band size: 23 kD Observed band size: 19 kD ![]() Paraformaldehyde-fixed, paraffin embedded (Rat liver); Antigen retrieval by boiling in sodium citrate buffer (pH6.0) for 15min; Block endogenous peroxidase by 3% hydrogen peroxide for 20 minutes; Blocking buffer (normal goat serum) at 37°C for 30min; Antibody incubation with (IL-6) Polyclonal Antibody, Unconjugated (bs-6309R) at 1:400 overnight at 4°C, followed by operating according to SP Kit(Rabbit) (sp-0023) instructionsand DAB staining. |
风险提示:丁香通仅作为第三方平台,为商家信息发布提供平台空间。用户咨询产品时请注意保护个人信息及财产安全,合理判断,谨慎选购商品,商家和用户对交易行为负责。对于医疗器械类产品,请先查证核实企业经营资质和医疗器械产品注册证情况。
技术资料暂无技术资料 索取技术资料
IL-6 antibody
¥780 - 2200










