相关产品推荐更多 >
万千商家帮你免费找货
0 人在求购买到急需产品
- 详细信息
- 文献和实验
- 技术资料
- 供应商:
上海康朗生物科技有限公司
- 库存:
大量
- 目录编号:
kl-1453R
- 克隆性:
多克隆
- 抗原来源:
Rabbit
- 保质期:
12个月
- 抗体英文名:
Caveolin-1 antibody
- 抗体名:
细胞质膜微囊蛋白-1抗体
- 宿主:
Rabbit
- 适应物种:
Human, Mouse, Rat, Dog, Pig, Cow, Horse, Rabbit, Sheep,
- 免疫原:
KLH conjugated synthetic peptide derived from human Caveolin-1:2-120/178
- 亚型:
IgG
- 形态:
冻干粉或液体
- 应用范围:
WB=1:500-2000 ELISA=1:500-1000 IHC-P=1:400-800 IHC-F=1:400-800 Flow-Cyt=1µg/Test IF=1:100-500
- 浓度:
1mg/ml
- 保存条件:
-20 °C
- 规格:
50ul 100ul 200ul
| 中文名称 | 细胞质膜微囊蛋白-1抗体 |
| 别 名 | opamine D3 receptor; Caveolin1; Caveolin 1; 3 dopamine receptor; D; Dopamine receptor D3; DRD; ETM1; FET1; Cav-1; ETM1; CAV 1; CAV1; CAV1_HUMAN. |
![]() |
Specific References (1) | bs-1453R has been referenced in 1 publications. [IF=1.79] Cheng, Mao-Feng, et al. "The role of rosiglitazone in the proliferation of vascular smooth muscle cells after experimental subarachnoid hemorrhage." Acta Neurochirurgica (2014): 1-7. IHC-P ; Rat. PubMed:25139403 |
| 规格价格 | 50ul/780元 购买 100ul/1380元 购买 200ul/2200元 购买 大包装/询价 |
| 说 明 书 | 50ul 100ul 200ul |
| 研究领域 | 信号转导 细胞凋亡 转录调节因子 |
| 抗体来源 | Rabbit |
| 克隆类型 | Polyclonal |
| 交叉反应 | Human, Mouse, Rat, Dog, Pig, Cow, Horse, Rabbit, Sheep, |
| 产品应用 | WB=1:500-2000 ELISA=1:500-1000 IHC-P=1:400-800 IHC-F=1:400-800 Flow-Cyt=1µg/Test IF=1:100-500 (石蜡切片需做抗原修复) not yet tested in other applications. optimal dilutions/concentrations should be determined by the end user. |
| 分 子 量 | 20kDa |
| 细胞定位 | 细胞浆 细胞膜 |
| 性 状 | Lyophilized or Liquid |
| 浓 度 | 1mg/ml |
| 免 疫 原 | KLH conjugated synthetic peptide derived from human Caveolin-1:2-120/178 |
| 亚 型 | IgG |
| 纯化方法 | affinity purified by Protein A |
| 储 存 液 | 0.01M TBS(pH7.4) with 1% BSA, 0.03% Proclin300 and 50% Glycerol. |
| 保存条件 | Store at -20 °C for one year. Avoid repeated freeze/thaw cycles. The lyophilized antibody is stable at room temperature for at least one month and for greater than a year when kept at -20°C. When reconstituted in sterile pH 7.4 0.01M PBS or diluent of antibody the antibody is stable for at least two weeks at 2-4 °C. |
| PubMed | PubMed |
| 产品介绍 | background: The scaffolding protein encoded by this gene is the main component of the caveolae plasma membranes found in most cell types. The protein links integrin subunits to the tyrosine kinase FYN, an initiating step in coupling integrins to the Ras-ERK pathway and promoting cell cycle progression. The gene is a tumor suppressor gene candidate and a negative regulator of the Ras-p42/44 MAP kinase cascade. CAV1 and CAV2 are located next to each other on chromosome 7 and express colocalizing proteins that form a stable hetero-oligomeric complex. By using alternative initiation codons in the same reading frame, two isoforms (alpha and beta) are encoded by a single transcript from this gene. [provided by RefSeq]. Function: May act as a scaffolding protein within caveolar membranes. Interacts directly with G-protein alpha subunits and can functionally regulate their activity. Involved in the costimulatory signal essential for T-cell receptor (TCR)-mediated T-cell activation. Its binding to DPP4 induces T-cell proliferation and NF-kappa-B activation in a T-cell receptor/CD3-dependent manner. Recruits CTNNB1 to caveolar membranes and may regulate CTNNB1-mediated signaling through the Wnt pathway. Subunit: Homooligomer. Interacts with GLIPR2, NOSTRIN, SNAP25 and syntaxin. Interacts with rotavirus A NSP4. Interacts (via the N-terminus) with DPP4; the interaction is direct. Interacts with CTNNB1, CDH1 and JUP. Interacts with BMX and BTK. Subcellular Location: Golgi apparatus membrane;Peripheral membrane protein. Cell membrane; Peripheral membrane protein. Membrane, caveola; Peripheral membrane protein. Membrane raft. Note=Colocalized with DPP4 in membrane rafts. Potential hairpin-like structure in the membrane. Membrane protein of caveolae. Tissue Specificity: Expressed in muscle and lung, less so in liver, brain and kidney. Post-translational modifications: The initiator methionine for isoform Beta is removed during or just after translation. The new N-terminal amino acid is then N-acetylated. Phosphorylated at Tyr-14 by ABL1 in response to oxidative stress. DISEASE: Defects in CAV1 are the cause of congenital generalized lipodystrophy type 3 (CGL3) [MIM:612526]; also called Berardinelli-Seip congenital lipodystrophy type 3 (BSCL3). Congenital generalized lipodystrophies are autosomal recessive disorders characterized by a near absence of adipose tissue, extreme insulin resistance, hypertriglyceridemia, hepatic steatosis and early onset of diabetes. Similarity: Belongs to the caveolin family. SWISS: Q03135 Gene ID: 857 Database links: Entrez Gene: 403980 Dog Entrez Gene: 857 Human Entrez Gene: 12389 Mouse Entrez Gene: 25404 Rat Omim: 601047 Human SwissProt: P33724 Dog SwissProt: Q03135 Human SwissProt: P49817 Mouse SwissProt: P41350 Rat Unigene: 3850 Dog Unigene: 74034 Human Unigene: 28278 Mouse Unigene: 470537 Mouse Unigene: 22518 Rat Important Note: This product as supplied is intended for research use only, not for use in human, therapeutic or diagnostic applications. 信号传导(Signaling Intermediates) Caveolin-1(小凹蛋白)是细胞生长相关信号途径及肿瘤发生发展过程中重要的抑制因子,Caveolae是细胞膜内的特殊膜结构,参与包括细胞的分子运输、细胞粘附和信号转导在内的多种细胞活动。Caveolin-1是Caveolae中重要的结构蛋白,抑制细胞生长,与多种人类肿瘤发生发展相关的信号分子相互作用。Caveolin在信号转导的整合中起支架蛋白的作用。Caveolin构成了一个蛋白家族,他们是细胞质膜中发夹样结构域的主要结构成分。Caveolin在信号转导的整合中起支架蛋白的作用。至今已经鉴定了3种Caveolin (Caveolin-1、2 和3),它们具有不同的组织分布。Caveolin-1涉及乳腺上皮细胞增生的发病机制。该抗体可识别α和β型Caveolin-1。 |
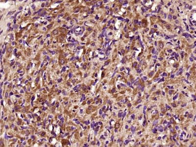
| 产品图片 | ![]() Sample: Lung (Mouse) Lysate at 40 ug Bladder (Mouse) Lysate at 40 ug Primary: Anti-Caveolin-1 (bs-1453R) at 1/300 dilution Secondary: IRDye800CW Goat Anti-Rabbit IgG at 1/20000 dilution Predicted band size: 20 kD Observed band size: 20 kD ![]() Sample: NIH/3T3 Cell Lysate at 40 ug A549 Cell Lysate at 40 ug HUVEC Cell Lysate at 40 ug Primary: Anti-Caveolin-1 (bs-1453R) at 1/300 dilution Secondary: IRDye800CW Goat Anti-Rabbit IgG at 1/20000 dilution Predicted band size: 20 kD Observed band size: 20 kD ![]() Paraformaldehyde-fixed, paraffin embedded (Rat ovary); Antigen retrieval by boiling in sodium citrate buffer (pH6.0) for 15min; Block endogenous peroxidase by 3% hydrogen peroxide for 20 minutes; Blocking buffer (normal goat serum) at 37°C for 30min; Antibody incubation with (Caveolin-1) Polyclonal Antibody, Unconjugated (bs-1453R) at 1:400 overnight at 4°C, followed by a conjugated secondary antibody (sp-0023) for 20 minutes and DAB staining. ![]() Tissue/cell: mouse retina tissue; 4% Paraformaldehyde-fixed and paraffin-embedded; Antigen retrieval: citrate buffer ( 0.01M, pH 6.0 ), Boiling bathing for 15min; Block endogenous peroxidase by 3% Hydrogen peroxide for 30min; Blocking buffer (normal goat serum,C-0005) at 37℃ for 20 min; Incubation: Anti-Caveolin-1 Polyclonal Antibody, Unconjugated(bs-1453R) 1:200, overnight at 4°C, followed by conjugation to the secondary antibody(SP-0023) and DAB(C-0010) staining ![]() Tissue/cell: human lung carcinoma; 4% Paraformaldehyde-fixed and paraffin-embedded; Antigen retrieval: citrate buffer ( 0.01M, pH 6.0 ), Boiling bathing for 15min; Block endogenous peroxidase by 3% Hydrogen peroxide for 30min; Blocking buffer (normal goat serum,C-0005) at 37℃ for 20 min; Incubation: Anti-Caveolin-1 Polyclonal Antibody, Unconjugated(bs-1453R) 1:200, overnight at 4°C, followed by conjugation to the secondary antibody(SP-0023) and DAB(C-0010) staining ![]() Blank control: RSC96(blue), the cells were fixed with 2% paraformaldehyde (10 min) and then permeabilized with ice-cold 90% methanol for 30 min on ice. Isotype Control Antibody: Rabbit IgG(orange) ; Secondary Antibody: Goat anti-rabbit IgG-PE(white blue), Dilution: 1:200 in 1 X PBS containing 0.5% BSA ; Primary Antibody Dilution: 1μg in 100 μL1X PBS containing 0.5% BSA(green). |
风险提示:丁香通仅作为第三方平台,为商家信息发布提供平台空间。用户咨询产品时请注意保护个人信息及财产安全,合理判断,谨慎选购商品,商家和用户对交易行为负责。对于医疗器械类产品,请先查证核实企业经营资质和医疗器械产品注册证情况。
文献和实验Role of Caveolin-1 in the Regulation of Pulmonary Endothelial Permeability
pulmonary vascular hyperpermeability and protein-rich edema formation. Moreover, caveolin-1, a structural and scaffolding protein required for caveolae formation and transcellular transport, also plays an important role in oxidant-induced paracellular
Mapping of Oxidative Stress Response Elements of the Caveolin-1 Promoter
to organismal aging. The molecular mechanisms that mediate the cellular response to oxidants remain to be fully identified. We have shown that oxidative stress induces cellular senescence through activation of the caveolin-1 promoter and upregulation of caveolin-1
Generation of Antibody Molecules Through Antibody Engineering
been overcome to a large extent using genetic-engineering techniques to produce chimeric mouse/human and completely human antibodies. Such an approach is particularly suitable because of the domain structure of the antibody molecule ( 2 ), where functional
技术资料暂无技术资料 索取技术资料

















