相关产品推荐更多 >
万千商家帮你免费找货
0 人在求购买到急需产品
- 详细信息
- 文献和实验
- 技术资料
- 供应商:
上海康朗生物科技有限公司
- 库存:
大量
- 目录编号:
kl-6270R
- 克隆性:
多克隆
- 抗原来源:
Rabbit
- 保质期:
12个月
- 抗体英文名:
Ret antibody
- 抗体名:
RET原癌基因抗体
- 宿主:
Rabbit
- 适应物种:
Human, Mouse, Rat, Chicken, Dog, Cow, Rabbit,
- 免疫原:
KLH conjugated synthetic peptide derived from human Ret/HSCR1:711-756/1114
- 亚型:
IgG
- 形态:
冻干粉或液体
- 应用范围:
WB=1:500-2000 ELISA=1:500-1000 IHC-P=1:400-800 IHC-F=1:400-800 IF=1:100-500
- 浓度:
1mg/ml
- 保存条件:
-20 °C
- 规格:
100ul 200ul
| 中文名称 | RET原癌基因抗体 |
| 别 名 | Ret Proto-Oncogene; Cadherin-Related Family Member 16; Rearranged During Transfection; RET Receptor Tyrosine Kinase; Cadherin Family Member 12; Proto-Oncogene C-Ret; EC 2.7.10.1; CDHF12; CDHR16; RET51; PTC; Ret Proto-Oncogene (Multiple Endocrine Neoplasia And Medullary Thyroid Carcinoma 1, Hirschsprung Disease) ; Multiple Endocrine Neoplasia And Medullary Thyroid Carcinoma 1; Proto-Oncogene Tyrosine-Protein Kinase Receptor Ret; Hydroxyaryl-Protein Kinase; RET Transforming Sequence; Receptor Tyrosine Kinase; Hirschsprung Disease 1; Oncogene RET; EC 2.7.10; RET-ELE1; MEN2B; HSCR1; |
| 规格价格 | 100ul/1380元 购买 200ul/2200元 购买 大包装/询价 |
| 说 明 书 | 100ul 200ul |
| 研究领域 | 肿瘤 信号转导 生长因子和激素 激酶和磷酸酶 |
| 抗体来源 | Rabbit |
| 克隆类型 | Polyclonal |
| 交叉反应 | Human, Mouse, Rat, Chicken, Dog, Cow, Rabbit, |
| 产品应用 | WB=1:500-2000 ELISA=1:500-1000 IHC-P=1:400-800 IHC-F=1:400-800 IF=1:100-500 (石蜡切片需做抗原修复) not yet tested in other applications. optimal dilutions/concentrations should be determined by the end user. |
| 分 子 量 | 124kDa |
| 细胞定位 | 细胞浆 细胞膜 |
| 性 状 | Lyophilized or Liquid |
| 浓 度 | 1mg/ml |
| 免 疫 原 | KLH conjugated synthetic peptide derived from human Ret/HSCR1:711-756/1114 |
| 亚 型 | IgG |
| 纯化方法 | affinity purified by Protein A |
| 储 存 液 | 0.01M TBS(pH7.4) with 1% BSA, 0.03% Proclin300 and 50% Glycerol. |
| 保存条件 | Store at -20 °C for one year. Avoid repeated freeze/thaw cycles. The lyophilized antibody is stable at room temperature for at least one month and for greater than a year when kept at -20°C. When reconstituted in sterile pH 7.4 0.01M PBS or diluent of antibody the antibody is stable for at least two weeks at 2-4 °C. |
| PubMed | PubMed |
| 产品介绍 | background: This gene, a member of the cadherin superfamily, encodes one of the receptor tyrosine kinases, which are cell-surface molecules that transduce signals for cell growth and differentiation. This gene plays a crucial role in neural crest development, and it can undergo oncogenic activation in vivo and in vitro by cytogenetic rearrangement. Mutations in this gene are associated with the disorders multiple endocrine neoplasia, type IIA, multiple endocrine neoplasia, type IIB, Hirschsprung disease, and medullary thyroid carcinoma. Two transcript variants encoding different isoforms have been found for this gene. Additional transcript variants have been described but their biological validity has not been confirmed. [provided by RefSeq, Jul 2008] Function: Receptor tyrosine-protein kinase involved in numerous cellular mechanisms including cell proliferation, neuronal navigation, cell migration, and cell differentiation upon binding with glial cell derived neurotrophic factor family ligands. Phosphorylates PTK2/FAK1. Regulates both cell death/survival balance and positional information. Required for the molecular mechanisms orchestration during intestine organogenesis; involved in the development of enteric nervous system and renal organogenesis during embryonic life, and promotes the formation of Peyer's patch-like structures, a major component of the gut-associated lymphoid tissue. Modulates cell adhesion via its cleavage by caspase in sympathetic neurons and mediates cell migration in an integrin (e.g. ITGB1 and ITGB3)-dependent manner. Involved in the development of the neural crest. Active in the absence of ligand, triggering apoptosis through a mechanism that requires receptor intracellular caspase cleavage. Acts as a dependence receptor; in the presence of the ligand GDNF in somatotrophs (within pituitary), promotes survival and down regulates growth hormone (GH) production, but triggers apoptosis in absence of GDNF. Regulates nociceptor survival and size. Triggers the differentiation of rapidly adapting (RA) mechanoreceptors. Mediator of several diseases such as neuroendocrine cancers; these diseases are characterized by aberrant integrins-regulated cell migration. Subunit: Phosphorylated form interacts with the PBT domain of DOK2, DOK4 and DOK5. The phosphorylated form interacts with PLCG1 and GRB7. Interacts (not phosphorylated) with CC PTK2/FAK1 (via FERM domain). Extracellular cell-membrane anchored RET cadherin fragments form complex in neurons with reduced trophic status, preferentially at the contact sites between somas. Interacts with AIP in the pituitary gland; this interaction prevents the formation of the AIP-survivin complex. Binds to ARTN. Interacts (inactive) with CBLC and CD2AP; dissociates upon activation by GDNF which increases CBLC:CD2AP interaction. Subcellular Location: Cell membrane; Single-pass type I membrane protein; Endosome membrane; Post-translational modifications: Autophosphorylated on C-terminal tyrosine residues upon ligand stimulation. Dephosphorylated by PTPRJ on Tyr-905, Tyr-1015 and Tyr-1062.5 Publications Proteolytically cleaved by caspase-3. The soluble RET kinase fragment is able to induce cell death. The extracellular cell-membrane anchored RET cadherin fragment accelerates cell adhesion in sympathetic neurons. DISEASE: Defects in RET may be a cause of colorectal cancer (CRC) [MIM:114500]. Defects in RET are a cause of Hirschsprung disease type 1 (HSCR1) [MIM:142623]. HSCR1 is a disorder of neural crest development characterized by the absence of intramural ganglion cells in the myenteric and submucosal plexuses of the gastrointestinal tract, often resulting in intestinal obstruction. Total colonic aganglionosis and total intestinal Hirschsprung disease also occur. Occasionally, MEN2A or FMTC occur in association with HSCR1. Defects in RET are the cause of medullary thyroid carcinoma (MTC) [MIM:155240]. MTC is a rare tumor derived from the C cells of the thyroid. Three hereditary forms are known, that are transmitted in an autosomal dominant fashion: (a) multiple neoplasia type 2A (MEN2A), (b) multiple neoplasia type IIB (MEN2B) and (c) familial MTC (FMTC), which occurs in 25-30% of MTC cases and where MTC is the only clinical manifestation. Defects in RET are the cause of multiple neoplasia type 2B (MEN2B) [MIM:162300]. MEN2B is an uncommon inherited cancer syndrome characterized by predisposition to MTC and phaeochromocytoma which is associated with marfanoid habitus, mucosal neuromas, skeletal and ophtalmic abnormalities, and ganglioneuromas of the intestine tract. Then the disease progresses rapidly with the development of metastatic MTC and a pheochromocytome in 50% of cases. Defects in RET are a cause of susceptibility to pheochromocytoma (PCC) [MIM:171300]. A catecholamine-producing tumor of chromaffin tissue of the adrenal medulla or sympathetic paraganglia. The cardinal symptom, reflecting the increased secretion of epinephrine and norepinephrine, is hypertension, which may be persistent or intermittent. Defects in RET are the cause of multiple neoplasia type 2A (MEN2A) [MIM:171400]; also known as multiple neoplasia type 2 (MEN2). MEN2A is the most frequent form of medullary thyroid cancer (MTC). It is an inherited cancer syndrome characterized by MTC, phaeochromocytoma and/or hyperparathyroidism. Defects in RET are a cause of thyroid papillary carcinoma (TPC) [MIM:188550]. TPC is a common tumor of the thyroid that typically arises as an irregular, solid or cystic mass from otherwise normal thyroid tissue. Papillary carcinomas are malignant neoplasm characterized by the formation of numerous, irregular, finger-like projections of fibrous stroma that is covered with a surface layer of neoplastic epithelial cells. Note=Chromosomal aberrations involving RET are found in thyroid papillary carcinomas. Inversion inv(10)(q11.2;q21) generates the RET/CCDC6 (PTC1) oncogene; inversion inv(10)(q11.2;q11.2) generates the RET/NCOA4 (PTC3) oncogene; translocation t(10;14)(q11;q32) with GOLGA5 generates the RET/GOLGA5 (PTC5) oncogene; translocation t(8;10)(p21.3;q11.2) with PCM1 generates the PCM1/RET fusion; translocation t(6;10)(p21.3;q11.2) with RFP generates the Delta RFP/RET oncogene; translocation t(1;10)(p13;q11) with TRIM33 generates the TRIM33/RET (PTC7) oncogene; translocation t(7;10)(q32;q11) with TRIM24/TIF1 generates the TRIM24/RET (PTC6) oncogene. The PTC5 oncogene has been found in 2 cases of PACT in children exposed to radioactive fallout after Chernobyl. A chromosomal aberration involving TRIM27/RFP is found in thyroid papillary carcinomas. Translocation t(6;10)(p21.3;q11.2) with RET. The translocation generates TRIM27/RET and delta TRIM27/RET oncogenes. Defects in RET are a cause of renal adysplasia (RADYS) [MIM:191830]; also known as renal agenesis or renal aplasia. Renal agenesis refers to the absence of one (unilateral) or both (bilateral) kidneys at birth. Bilateral renal agenesis belongs to a group of perinatally lethal renal diseases, including severe bilateral renal dysplasia, unilateral renal agenesis with contralateral dysplasia and severe obstructive uropathy. Defects in RET are a cause of congenital central hypoventilation syndrome (CCHS) [MIM:209880]; also known as congenital failure of autonomic control or Ondine curse. CCHS is a rare disorder characterized by abnormal control of respiration in the absence of neuromuscular or lung disease, or an identifiable brain stem lesion. A deficiency in autonomic control of respiration results in inadequate or negligible ventilatory and arousal responses to hypercapnia and hypoxemia. Similarity: Belongs to the protein kinase superfamily. Tyr protein kinase family. Contains 1 cadherin domain. Contains 1 protein kinase domain. SWISS: P07949 Gene ID: 5979 Database links: Entrez Gene: 5979 Human Entrez Gene: 19713 Mouse Entrez Gene: 24716 Rat Omim: 164761 Human SwissProt: P07949 Human SwissProt: P35546 Mouse SwissProt: G3V9H8 Rat Unigene: 350321 Human Unigene: 57199 Mouse Important Note: This product as supplied is intended for research use only, not for use in human, therapeutic or diagnostic applications. |
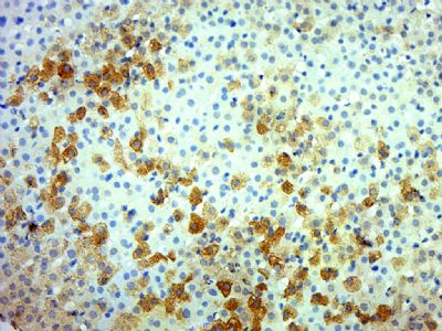
| 产品图片 | ![]() Paraformaldehyde-fixed, paraffin embedded (Rat adrenal gland); Antigen retrieval by boiling in sodium citrate buffer (pH6.0) for 15min; Block endogenous peroxidase by 3% hydrogen peroxide for 20 minutes; Blocking buffer (normal goat serum) at 37°C for 30min; Antibody incubation with (Ret) Polyclonal Antibody, Unconjugated (bs-6270R) at 1:500 overnight at 4°C, followed by a conjugated secondary (sp-0023) for 20 minutes and DAB staining. |
风险提示:丁香通仅作为第三方平台,为商家信息发布提供平台空间。用户咨询产品时请注意保护个人信息及财产安全,合理判断,谨慎选购商品,商家和用户对交易行为负责。对于医疗器械类产品,请先查证核实企业经营资质和医疗器械产品注册证情况。
文献和实验kelizi 哪位大侠知道RET原癌基因的结构域,其相应的定位、功能? 以及相应蛋白在细胞的定位及功能?如何调节? 谢谢!如果有相应的文献资料更佳 woxingwosu http://www.genecards.org/cgi-bin/carddisp.pl?gene=RET&search=ret 应该比较全了,你在从里面的链接可以找到更多~~ kelizi
Generation of Antibody Molecules Through Antibody Engineering
been overcome to a large extent using genetic-engineering techniques to produce chimeric mouse/human and completely human antibodies. Such an approach is particularly suitable because of the domain structure of the antibody molecule ( 2 ), where functional
The importance of antibody molecules was first recognized in the 1890s, when it was shown that immunity to tetanus and diphtheria was caused by antibodies against the bacterial exotoxins (1 ). Around the same time, it was shown that antisera
技术资料暂无技术资料 索取技术资料











