相关产品推荐更多 >
万千商家帮你免费找货
0 人在求购买到急需产品
- 详细信息
- 文献和实验
- 技术资料
- 供应商:
上海康朗生物科技有限公司
- 库存:
大量
- 目录编号:
kl-1367R
- 克隆性:
多克隆
- 抗原来源:
Rabbit
- 保质期:
12个月
- 抗体英文名:
VHL antibody
- 抗体名:
脑视网膜血管瘤G7蛋白抗体(逢希伯-林道氏病)
- 宿主:
Rabbit
- 适应物种:
Human, Mouse, Rat, Dog, Cow,
- 免疫原:
KLH conjugated synthetic peptide derived from human VHL:101-213/213
- 亚型:
IgG
- 形态:
冻干粉或液体
- 应用范围:
ELISA=1:500-1000 IHC-P=1:400-800 IHC-F=1:400-800 Flow-Cyt=1ug/test IF=1:100-500
- 浓度:
1mg/ml
- 保存条件:
-20 °C
- 规格:
50ul 100ul 200ul
| 中文名称 | 脑视网膜血管瘤G7蛋白抗体(逢希伯-林道氏病) |
| 别 名 | Von Hippel Lindau; von Hippel-Lindau syndrome protein homolog; Hippel-Lindau disease tumor suppressor VHL; von Hippel-Lindau tumor suppressor isoform 1; VHL; HRCA1; RCA1; VHL1; von Hippel-Lindau disease tumor suppressor isoform 2; pVHL; pVHL; G7 protein; Elongin binding protein; Protein G7; VHL 1; VHL_HUMAN; VHL1; VHLH; Von Hippel Lindau disease tumor suppressor; von Hippel Lindau syndrome; von Hippel Lindau tumor suppressor; Von Hippel-Lindau disease tumor suppressor. |
| 规格价格 | 50ul/780元 购买 100ul/1380元 购买 200ul/2200元 购买 大包装/询价 |
| 说 明 书 | 50ul 100ul 200ul |
| 研究领域 | 肿瘤 细胞生物 免疫学 染色质和核信号 转录调节因子 细胞分化 新陈代谢 表观遗传学 泛素 |
| 抗体来源 | Rabbit |
| 克隆类型 | Polyclonal |
| 交叉反应 | Human, Mouse, Rat, Dog, Cow, |
| 产品应用 | ELISA=1:500-1000 IHC-P=1:400-800 IHC-F=1:400-800 Flow-Cyt=1ug/test IF=1:100-500 (石蜡切片需做抗原修复) not yet tested in other applications. optimal dilutions/concentrations should be determined by the end user. |
| 分 子 量 | 24kDa |
| 细胞定位 | 细胞核 细胞浆 细胞膜 |
| 性 状 | Lyophilized or Liquid |
| 浓 度 | 1mg/ml |
| 免 疫 原 | KLH conjugated synthetic peptide derived from human VHL:101-213/213 |
| 亚 型 | IgG |
| 纯化方法 | affinity purified by Protein A |
| 储 存 液 | 0.01M TBS(pH7.4) with 1% BSA, 0.03% Proclin300 and 50% Glycerol. |
| 保存条件 | Store at -20 °C for one year. Avoid repeated freeze/thaw cycles. The lyophilized antibody is stable at room temperature for at least one month and for greater than a year when kept at -20°C. When reconstituted in sterile pH 7.4 0.01M PBS or diluent of antibody the antibody is stable for at least two weeks at 2-4 °C. |
| PubMed | PubMed |
| 产品介绍 | background: Von Hippel-Lindau syndrome (VHL) is a dominantly inherited familial cancer syndrome predisposing to a variety of malignant and benign tumors. A germline mutation of this gene is the basis of familial inheritance of VHL syndrome. The protein encoded by this gene is a component of the protein complex that includes elongin B, elongin C, and cullin-2, and possesses ubiquitin ligase E3 activity. This protein is involved in the ubiquitination and degradation of hypoxia-inducible-factor (HIF), which is a transcription factor that plays a central role in the regulation of gene expression by oxygen. RNA polymerase II subunit POLR2G/RPB7 is also reported to be a target of this protein. Alternatively spliced transcript variants encoding distinct isoforms have been observed. [provided by RefSeq, Jul 2008]. Function: Involved in the ubiquitination and subsequent proteasomal degradation via the von Hippel-Lindau ubiquitination complex. Seems to act as target recruitment subunit in the E3 ubiquitin ligase complex and recruits hydroxylated hypoxia-inducible factor (HIF) under normoxic conditions. Involved in transcriptional repression through interaction with HIF1A, HIF1AN and histone deacetylases. Ubiquitinates, in an oxygen-responsive manner, ADRB2. Subunit: Component of the VCB (VHL-Elongin BC-CUL2) complex; this complex acts as a ubiquitin-ligase E3 and directs proteasome-dependent degradation of targeted proteins. Interacts with CUL2; this interaction is dependent on the integrity of the trimeric VBC complex. Interacts (via the beta domain) with HIF1A (via the NTAD domain); this interaction mediates degradation of HIF1A in normoxia and, in hypoxia, prevents ubiqitination and degradation of HIF1A by mediating hypoxia-induced translocation to the nucleus, a process which requires a hypoxia-dependent regulatory signal. Interacts with ADRB2; the interaction, in normoxia, is dependent on hydroxylation of ADRB2 and the subsequent VCB-mediated ubiquitination and degradation of ADRB2. Under hypoxia, hydroxylation, interaction with VHL, ubiquitination and subsequent degradation of ADRB2 are dramatically decreased. Interacts with RNF139, USP33 and PHF17. Subcellular Location: Isoform 1: Cytoplasm. Membrane; Peripheral membrane protein. Nucleus. Note=Found predominantly in the cytoplasm and with less amounts nuclear or membrane-associated. Colocalizes with ADRB2 at the cell membrane. Isoform 3: Cytoplasm. Nucleus. Note=Equally distributed between the nucleus and the cytoplasm but not membrane-associated. Tissue Specificity: Expressed in the adult and fetal brain and kidney. DISEASE: Defects in VHL are a cause of susceptibility to pheochromocytoma (PCC) [MIM:171300]. A catecholamine-producing tumor of chromaffin tissue of the adrenal medulla or sympathetic paraganglia. The cardinal symptom, reflecting the increased secretion of epinephrine and norepinephrine, is hypertension, which may be persistent or intermittent. Defects in VHL are the cause of von Hippel-Lindau disease (VHLD) [MIM:193300]. VHLD is a dominantly inherited familial cancer syndrome characterized by the development of retinal angiomatosis, cerebellar and spinal hemangioblastoma, renal cell carcinoma (RCC), phaeochromocytoma and pancreatic tumors. VHL type 1 is without pheochromocytoma, type 2 is with pheochromocytoma. VHL type 2 is further subdivided into types 2A (pheochromocytoma, retinal angioma, and hemangioblastomas without renal cell carcinoma and pancreatic cyst) and 2B (pheochromocytoma, retinal angioma, and hemangioblastomas with renal cell carcinoma and pancreatic cyst). VHL type 2C refers to patients with isolated pheochromocytoma without hemangioblastoma or renal cell carcinoma. The estimated incidence is 3/100000 births per year and penetrance is 97% by age 60 years. Defects in VHL are the cause of familial erythrocytosis type 2 (ECYT2) [MIM:263400]; also called VHL-dependent polycythemia or Chuvash type polycythemia. ECYT2 is an autosomal recessive disorder characterized by an increase in serum red blood cell mass, hypersensitivity of erythroid progenitors to erythropoietin, increased erythropoietin serum levels, and normal oxygen affinity. Patients with ECYT2 carry a high risk for peripheral thrombosis and cerebrovascular events. Defects in VHL are a cause of renal cell carcinoma (RCC) [MIM:144700]. Renal cell carcinoma is a heterogeneous group of sporadic or hereditary carcinoma derived from cells of the proximal renal tubular epithelium. It is subclassified into clear cell renal carcinoma (non-papillary carcinoma), papillary renal cell carcinoma, chromophobe renal cell carcinoma, collecting duct carcinoma with medullary carcinoma of the kidney, and unclassified renal cell carcinoma. Gene ID: 7428 Database links: Entrez Gene: 7428 Human Entrez Gene: 22346 Mouse Omim: 608537 Human SwissProt: P40337 Human SwissProt: P40338 Mouse Unigene: 517792 Human Unigene: 607789 Human Unigene: 29407 Mouse Important Note: This product as supplied is intended for research use only, not for use in human, therapeutic or diagnostic applications. von Hippel-Lindau是一种肿瘤抑制因子,在细胞对氧的感受过程中发挥关键作用,VHL蛋白除了调节血管生成外还在调节细胞的生长和生存、对调节细胞周期、细胞凋亡和细胞外基质方面起重要作用。 |
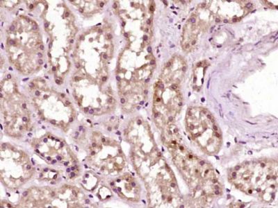
| 产品图片 | ![]() Paraformaldehyde-fixed, paraffin embedded (Human kidney); Antigen retrieval by boiling in sodium citrate buffer (pH6.0) for 15min; Block endogenous peroxidase by 3% hydrogen peroxide for 20 minutes; Blocking buffer (normal goat serum) at 37°C for 30min; Antibody incubation with (VHL) Polyclonal Antibody, Unconjugated (bs-1367R) at 1:400 overnight at 4°C, followed by operating according to SP Kit(Rabbit) (sp-0023) instructionsand DAB staining. ![]() Blank control:Molt-4. Primary Antibody (green line): Rabbit Anti-VHL antibody (bs-1367R) Dilution: 1μg /10^6 cells; Isotype Control Antibody (orange line): Rabbit IgG . Secondary Antibody : Goat anti-rabbit IgG-AF647 Dilution: 1μg /test. Protocol The cells were fixed with 4% PFA (10min at room temperature)and then permeabilized with 90% ice-cold methanol for 20 min at-20℃. The cells were then incubated in 5%BSA to block non-specific protein-protein interactions for 30 min at at room temperature .Cells stained with Primary Antibody for 30 min at room temperature. The secondary antibody used for 40 min at room temperature. Acquisition of 20,000 events was performed. |
风险提示:丁香通仅作为第三方平台,为商家信息发布提供平台空间。用户咨询产品时请注意保护个人信息及财产安全,合理判断,谨慎选购商品,商家和用户对交易行为负责。对于医疗器械类产品,请先查证核实企业经营资质和医疗器械产品注册证情况。
文献和实验kidney cancer that have been categorized: renal carcinoma associated with Birt-Hogg-Dube syndrome, hereditary papillary renal carcinoma, hereditary clear cell renal carcinoma, and renal carcinoma associated with the von Hippel-Lindau (VHL) disease
Generation of Antibody Molecules Through Antibody Engineering
been overcome to a large extent using genetic-engineering techniques to produce chimeric mouse/human and completely human antibodies. Such an approach is particularly suitable because of the domain structure of the antibody molecule ( 2 ), where functional
The importance of antibody molecules was first recognized in the 1890s, when it was shown that immunity to tetanus and diphtheria was caused by antibodies against the bacterial exotoxins (1 ). Around the same time, it was shown that antisera
技术资料暂无技术资料 索取技术资料












