相关产品推荐更多 >
万千商家帮你免费找货
0 人在求购买到急需产品
- 详细信息
- 文献和实验
- 技术资料
- 供应商:
上海康朗生物科技有限公司
- 库存:
大量
- 目录编号:
kl-8997R
- 克隆性:
多克隆
- 抗原来源:
Rabbit
- 保质期:
12个月
- 抗体英文名:
Annexin VI antibody
- 抗体名:
膜粘连蛋白6抗体
- 宿主:
Rabbit
- 适应物种:
Human, Mouse, Rat, Chicken, Dog, Pig,
- 免疫原:
KLH conjugated synthetic peptide derived from human Annexin VI:601-673/673
- 亚型:
IgG
- 形态:
冻干粉或液体
- 应用范围:
WB=1:500-2000 ELISA=1:500-1000 IHC-P=1:400-800 IHC-F=1:400-800 ICC=1:100-500 IF=1:100-500
- 浓度:
1mg/ml
- 保存条件:
-20 °C
- 规格:
100ul 200ul
| 中文名称 | 膜粘连蛋白6抗体 |
| 别 名 | Annexin VI; 67 kDa calelectrin; Annexin A6; Annexin VI p68; AnnexinA6; AnnexinVI; ANX 6; ANX A6; ANX6; ANXA 6; ANXA6; Calcium binding protein p68; Calelectrin; Calphobindin II; CalphobindinII; CBP 68; CBP68; Chromobindin 20; Chromobindin20; CPB II; CPBII; Lipocortin VI; LipocortinVI; p68; P70; Protein III; ProteinIII. |
| 规格价格 | 100ul/1380元 购买 200ul/2200元 购买 大包装/询价 |
| 说 明 书 | 100ul 200ul |
| 研究领域 | 肿瘤 细胞生物 结合蛋白 细胞膜蛋白 |
| 抗体来源 | Rabbit |
| 克隆类型 | Polyclonal |
| 交叉反应 | Human, Mouse, Rat, Chicken, Dog, Pig, |
| 产品应用 | WB=1:500-2000 ELISA=1:500-1000 IHC-P=1:400-800 IHC-F=1:400-800 ICC=1:100-500 IF=1:100-500 (石蜡切片需做抗原修复) not yet tested in other applications. optimal dilutions/concentrations should be determined by the end user. |
| 分 子 量 | 67-74kDa |
| 细胞定位 | 细胞膜 |
| 性 状 | Lyophilized or Liquid |
| 浓 度 | 1mg/ml |
| 免 疫 原 | KLH conjugated synthetic peptide derived from human Annexin VI:601-673/673 |
| 亚 型 | IgG |
| 纯化方法 | affinity purified by Protein A |
| 储 存 液 | 0.01M TBS(pH7.4) with 1% BSA, 0.03% Proclin300 and 50% Glycerol. |
| 保存条件 | Store at -20 °C for one year. Avoid repeated freeze/thaw cycles. The lyophilized antibody is stable at room temperature for at least one month and for greater than a year when kept at -20°C. When reconstituted in sterile pH 7.4 0.01M PBS or diluent of antibody the antibody is stable for at least two weeks at 2-4 °C. |
| PubMed | PubMed |
| 产品介绍 | background: The Annexin family of calcium binding proteins is composed of at least ten mammalian genes. It is characterised by a conserved core domain which binds to phospholipids in a Ca2+ dependent manner and a unique amino terminal region which may confer binding specificity. The Annexin family has been implicated as regulators of such diverse processes as ion flux, endocytosis and exocytosis, and cellular adhesion. When overexpressed in A431 cells, Annexin VI causes a partial reversal of the transformed phenotype. Function: May associate with CD21. May regulate the release of Ca(2+) from intracellular stores. Tissue Specificity: Cytoplasm. Melanosome. Identified by mass spectrometry in melanosome fractions from stage I to stage IV. Post-translational modifications: Phosphorylated in response to growth factor stimulation. Similarity: Belongs to the annexin family. Contains 8 annexin repeats. SWISS: P08133 Gene ID: 309 Database links: Entrez Gene: 309 Human Entrez Gene: 11749 Mouse Entrez Gene: 79125 Rat Omim: 114070 Human SwissProt: P08133 Human SwissProt: P14824 Mouse SwissProt: P48037 Rat Unigene: 412117 Human Unigene: 265347 Mouse Unigene: 204053 Rat Important Note: This product as supplied is intended for research use only, not for use in human, therapeutic or diagnostic applications. |
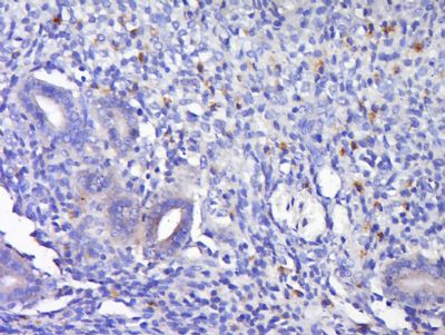
| 产品图片 | ![]() Sample: Heart (Mouse) Lysate at 40 ug Primary: Anti-Annexin VI (bs-8997R )at 1/300 dilution Secondary: IRDye800CW Goat Anti-Rabbit IgG at 1/20000 dilution Predicted band size: 67/74 kD Observed band size: 70 kD ![]() Protein: uterus(mouse) lyates at 40ug; Primary: Rabbit Anti- Annexin VI (bs-8997R) at 1:300; Secondary: 800CW Conjugated Goat (polyclonal) Anti-Rabbit IgG(H+L) at 1: 10000; Predicted band size:67/74 kD Observed band size:67 kD ![]() Paraformaldehyde-fixed, paraffin embedded (rat uterus); Antigen retrieval by boiling in sodium citrate buffer (pH6.0) for 15min; Block endogenous peroxidase by 3% hydrogen peroxide for 20 minutes; Blocking buffer (normal goat serum) at 37°C for 30min; Antibody incubation with (Annexin VI) Polyclonal Antibody, Unconjugated (bs-8997R) at 1:500 overnight at 4°C, followed by a conjugated secondary (sp-0023) for 20 minutes and DAB staining. |
风险提示:丁香通仅作为第三方平台,为商家信息发布提供平台空间。用户咨询产品时请注意保护个人信息及财产安全,合理判断,谨慎选购商品,商家和用户对交易行为负责。对于医疗器械类产品,请先查证核实企业经营资质和医疗器械产品注册证情况。
文献和实验人VI型胶原蛋白(Collagen VI)ELISA试剂盒 说明书
上海西唐生物科技有限公司 021-55229872, 65333639 www.westang.com 人VI 型胶原蛋白 ( Collagen VI )ELISA 试剂盒 ( 用于血清、血浆、细胞培养上清液和其它生物体液内 ) 原理 本实验采用双抗体夹心 ABC-ELISA 法。用抗人 Collagen VI 单抗包被于酶标板上,标准品和样品中的 Collagen VI
祝贺〖雅裕睿安〗成为Signalway Antibody(SAB)独家
货号T509,产品描述:GST-Tag mouse mAb;规格 50 ul / 100 ul; 货号T510,产品描述:DYKDDDDK-Tag mouse mAb;规格 50 ul / 100 ul; 货号21338,产品描述:β-Actin Antibody;规格 50 ul / 100 ul; 货号21339,产品描述:Annexin A1 Antibody;规格 50 ul / 100
而数目相应的增加. (3)Annexin VI是一种在老鼠肝脏细胞中对肝生理活动起重要作用的蛋白质,经过双重胶体金标记老鼠肝脏超薄切片上的抗annexin VI抗体可定量检测annexin VI,标记效率是80%.这样annexin VI成为第一个已知的参与肝细胞受体循环和转运的结构蛋白质. (4)通过胶体金免疫电镜分析兔子十二指肠上皮细胞不同位置处的胃动素和血液中的复合胺表明,与复合胺反应的胶体金集中在分泌腺的颗粒上,而与胃动素反应的胶体金在颗粒外部,表明这两种物质
技术资料暂无技术资料 索取技术资料













