相关产品推荐更多 >
万千商家帮你免费找货
0 人在求购买到急需产品
- 详细信息
- 文献和实验
- 技术资料
- 供应商:
上海康朗生物科技有限公司
- 库存:
大量
- 目录编号:
kl-13384R
- 克隆性:
多克隆
- 抗原来源:
Rabbit
- 保质期:
12个月
- 抗体英文名:
Phospho-Glucocorticoid Receptor (Ser226) antibody
- 抗体名:
磷酸化糖皮质激素受体抗体
- 宿主:
Rabbit
- 适应物种:
Human, Mouse, Rat,
- 免疫原:
KLH conjugated Synthesised phosphopeptide derived from human Glucocorticoid Receptor around the phosphorylation site of Ser226:LL(p-S)PL
- 亚型:
IgG
- 形态:
冻干粉或液体
- 应用范围:
WB=1:500-2000 ELISA=1:500-1000 IHC-P=1:400-800 IHC-F=1:400-800 ICC=1:100-500 IF=1:100-500
- 浓度:
1mg/ml
- 保存条件:
-20 °C
- 规格:
100ul
| 中文名称 | 磷酸化糖皮质激素受体抗体 |
| 别 名 | Glucocorticoid Receptor (phospho S226); p-Glucocorticoid Receptor (phospho S226); Glucocorticoid Receptor; GCCR; GCR; GR; Nuclear receptor subfamily 3 group C member 1; Glucocorticoid receptor lymphocyte; GRL; Grl1; Nr3c1; NR3C1; GCR_HUMAN. |
![]() |
Specific References (1) | bs-13384R has been referenced in 1 publications. [IF=2.70] Ding, Ying-xue, et al. "Regulation of glucocorticoid-related genes and receptors/regulatory enzyme expression in intrauterine growth restriction filial rats." Life Sciences (2016). WB ; Rat. PubMed:26920630 |
| 规格价格 | 100ul/1580元 购买 大包装/询价 |
| 说 明 书 | 100ul |
| 产品类型 | 磷酸化抗体 |
| 研究领域 | 肿瘤 细胞生物 信号转导 生长因子和激素 细胞膜受体 |
| 抗体来源 | Rabbit |
| 克隆类型 | Polyclonal |
| 交叉反应 | Human, Mouse, Rat, |
| 产品应用 | WB=1:500-2000 ELISA=1:500-1000 IHC-P=1:400-800 IHC-F=1:400-800 ICC=1:100-500 IF=1:100-500 (石蜡切片需做抗原修复) not yet tested in other applications. optimal dilutions/concentrations should be determined by the end user. |
| 分 子 量 | 85kDa |
| 细胞定位 | 细胞核 细胞浆 |
| 性 状 | Lyophilized or Liquid |
| 浓 度 | 1mg/ml |
| 免 疫 原 | KLH conjugated Synthesised phosphopeptide derived from human Glucocorticoid Receptor around the phosphorylation site of Ser226:LL(p-S)PL |
| 亚 型 | IgG |
| 纯化方法 | affinity purified by Protein A |
| 储 存 液 | 0.01M TBS(pH7.4) with 1% BSA, 0.03% Proclin300 and 50% Glycerol. |
| 保存条件 | Store at -20 °C for one year. Avoid repeated freeze/thaw cycles. The lyophilized antibody is stable at room temperature for at least one month and for greater than a year when kept at -20°C. When reconstituted in sterile pH 7.4 0.01M PBS or diluent of antibody the antibody is stable for at least two weeks at 2-4 °C. |
| PubMed | PubMed |
| 产品介绍 | background: Steroid receptors are ligand-dependent, intracellular proteins that stimulate transcription of specific genes by binding to specific DNA sequences following activation by the appropriate hormone. Glucocorticoids are a family of steroids necessary for the regulation of energy metabolism and the immune and inflammatory responses. These compounds exert their effect through their interaction with the glucocoticoid receptor (GR) and that complex's subsequent association with DNA. All normal mammalian tissues examined to date have been shown to contain glucocorticoid receptor. Function: Receptor for glucocorticoids (GC). Has a dual mode of action: as a transcription factor that binds to glucocorticoid response elements (GRE) and as a modulator of other transcription factors. Affects inflammatory responses, cellular proliferation and differentiation in target tissues. Could act as a coactivator for STAT5-dependent transcription upon growth hormone (GH) stimulation and could reveal an essential role of hepatic GR in the control of body growth. Involved in chromatin remodeling. Plays a significant role in transactivation. Involved in nuclear translocation. Subunit: Heteromultimeric cytoplasmic complex with HSP90, HSP70, and FKBP5 or another immunophilin, or the immunophilin homolog PPP5C. Directly interacts with UNC45A. Upon ligand binding FKBP5 dissociates from the complex and FKBP4 takes its place, thereby linking the complex to dynein and mediating transport to the nucleus, where the complex dissociates (By similarity). Binds to DNA as a homodimer, and as a heterodimer with NR3C2 or the retinoid X receptor. Binds STAT5A and STAT5B homodimers and heterodimers. Interacts with NRIP1, POU2F1, POU2F2 and TRIM28. Interacts with NCOA1, NCOA3, SMARCA4, SMARCC1, SMARCD1, and SMARCE1 (By similarity). Interacts with several coactivator complexes, including the SMARCA4 complex, CREBBP/EP300, TADA2L and p160 coactivators such as NCOA2 and NCOA6. Interaction with BAG1 inhibits transactivation. Interacts with HEXIM1, PELP1 and TGFB1I1. Subcellular Location: Cytoplasm. Nucleus. Note=Cytoplasmic in the absence of ligand, nuclear after ligand-binding. Isoform Beta: Nucleus. Note=Localized largely in the nucleus. Tissue Specificity: Widely expressed. In the heart, detected in left and right atria, left and right ventricles, aorta, apex, intraventricular septum, and atrioventricular node as well as whole adult and fetal heart. Post-translational modifications: Increased proteasome-mediated degradation in response to glucocorticoids. Phosphorylated in the absence of hormone; becomes hyperphosphorylated in the presence of glucocorticoid. The Ser-203-phosphorylated form is mainly cytoplasmic, and the Ser-211-phosphorylated form is nuclear. Transcriptional activity correlates with the amount of phosphorylation at Ser-226. DISEASE: Defects in NR3C1 are a cause of glucocorticoid resistance (GCRES) [MIM:138040]; also known as cortisol resistance. It is a hypertensive, hyperandrogenic disorder characterized by increased serum cortisol concentrations. Inheritance is autosomal dominant. Similarity: Belongs to the nuclear hormone receptor family. NR3 subfamily. Contains 1 nuclear receptor DNA-binding domain. SWISS: P04150 Gene ID: 2908 Database links: Entrez Gene: 2908 Human Entrez Gene: 14815 Mouse Entrez Gene: 24413 Rat Omim: 138040 Human SwissProt: P04150 Human SwissProt: P06537 Mouse SwissProt: P06536 Rat Unigene: 122926 Human Unigene: 129481 Mouse Unigene: 90070 Rat Important Note: This product as supplied is intended for research use only, not for use in human, therapeutic or diagnostic applications. GR广泛分布于多种淋巴组织及器官,存在于免疫细胞的胞浆及核内。 |
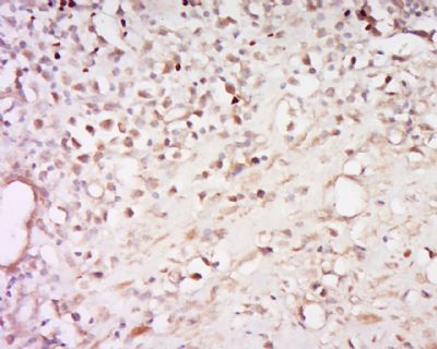
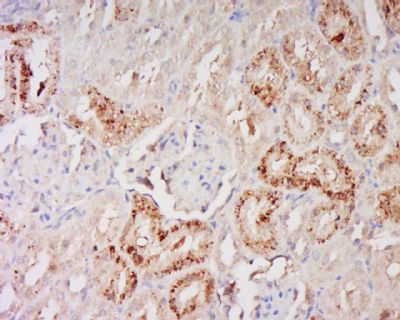
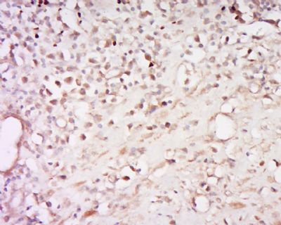
| 产品图片 | ![]() Sample: Liver (Mouse) Lysate at 40 ug Primary: Anti-Phospho-Glucocorticoid Receptor (Ser226) (bs-13384R) at 1/300 dilution Secondary: IRDye800CW Goat Anti-Rabbit IgG at 1/20000 dilution Predicted band size: 85 kD Observed band size: 85 kD ![]() Tissue/cell: rat kidney tissue; 4% Paraformaldehyde-fixed and paraffin-embedded; Antigen retrieval: citrate buffer ( 0.01M, pH 6.0 ), Boiling bathing for 15min; Block endogenous peroxidase by 3% Hydrogen peroxide for 30min; Blocking buffer (normal goat serum,C-0005) at 37℃ for 20 min; Incubation: Anti-Phospho-Glucocorticoid Receptor (Ser226) Polyclonal Antibody, Unconjugated(bs-13384R) 1:500, overnight at 4°C, followed by conjugation to the secondary antibody(SP-0023) and DAB(C-0010) staining ![]() Tissue/cell: human cervical carcinoma; 4% Paraformaldehyde-fixed and paraffin-embedded; Antigen retrieval: citrate buffer ( 0.01M, pH 6.0 ), Boiling bathing for 15min; Block endogenous peroxidase by 3% Hydrogen peroxide for 30min; Blocking buffer (normal goat serum,C-0005) at 37℃ for 20 min; Incubation:Anti-Phospho-Glucocorticoid Receptor (Ser226) Polyclonal Antibody, Unconjugated(bs-13384R) 1:500, overnight at 4°C, followed by conjugation to the secondary antibody(SP-0023) and DAB(C-0010) staining |
风险提示:丁香通仅作为第三方平台,为商家信息发布提供平台空间。用户咨询产品时请注意保护个人信息及财产安全,合理判断,谨慎选购商品,商家和用户对交易行为负责。对于医疗器械类产品,请先查证核实企业经营资质和医疗器械产品注册证情况。
文献和实验Chemical Mutational Analysis of Glucocorticoid Receptor
This chapter describes a chemical method for mutational analysis of the human glucocorticoid receptor (hGR) cDNA. Corticosteroid-resistant (CR) asthma is associated with in vitro and in vivo defects in mononuclear cell function
High-Yield Purification of Functionally Active Glucocorticoid Receptor
The glucocorticoid receptor (GR) resides in the cytoplasm as a complex with chaperones. Upon ligand association, GR shuttles into the nucleus, and binds to its hormone response elements to control expression of particular genes
by the human glucocorticoid receptor α (hGRα), a ligand-dependent transcription factor ubiquitously expressed in almost all tissues and cells. The molecular mechanisms of hGRα action involve (a) binding to glucocorticoids, (b) cytoplasmic to nuclear
技术资料暂无技术资料 索取技术资料














