相关产品推荐更多 >
万千商家帮你免费找货
0 人在求购买到急需产品
- 详细信息
- 文献和实验
- 技术资料
- 供应商:
上海康朗生物科技有限公司
- 库存:
大量
- 目录编号:
kl-1198R
- 克隆性:
多克隆
- 抗原来源:
Rabbit
- 保质期:
12个月
- 抗体英文名:
HLA-DR/HLA DRB1 antibody
- 抗体名:
HLA-DR抗体
- 宿主:
Rabbit
- 适应物种:
Human, Mouse, Rat, Dog, Pig, Cow, Horse, Sheep,
- 免疫原:
KLH conjugated synthetic peptide derived from human HLA-DRA:1-100/254 <Extracellular>
- 亚型:
IgG
- 形态:
冻干粉或液体
- 应用范围:
ELISA=1:500-1000 IHC-P=1:400-800 IHC-F=1:400-800 Flow-Cyt=1μg/Test ICC=1:100-500 IF=1:100-500
- 浓度:
1mg/ml
- 保存条件:
-20 °C
- 规格:
100ul 200ul
| 中文名称 | HLA-DR抗体 |
| 别 名 | DR alpha chain precursor; DRB1; DRB4; HLA class II histocompatibility antigen; HLA class II histocompatibility antigen DR alpha chain; HLA DR1B; HLA DR3B; HLA DRA; HLA DRA1; HLA DRB1; HLA DRB3; HLA DRB4; HLA DRB5; HLADR4B; HLADRA1; HLADRB; Major histocompatibility complex class II DR alpha; Major histocompatibility complex class II DR beta 1; Major histocompatibility complex class II DR beta 3; Major histocompatibility complex class II DR beta 4; Major histocompatibility complex class II DR beta 5; MGC117330; MHC cell surface glycoprotein; MHC class II antigen DRA; MHC II; DRA_HUMAN. |
| 规格价格 | 100ul/1380元 购买 200ul/2200元 购买 大包装/询价 |
| 说 明 书 | 100ul 200ul |
| 研究领域 | 细胞生物 免疫学 |
| 抗体来源 | Rabbit |
| 克隆类型 | Polyclonal |
| 交叉反应 | Human, Mouse, Rat, Dog, Pig, Cow, Horse, Sheep, |
| 产品应用 | ELISA=1:500-1000 IHC-P=1:400-800 IHC-F=1:400-800 Flow-Cyt=1μg/Test ICC=1:100-500 IF=1:100-500 (石蜡切片需做抗原修复) not yet tested in other applications. optimal dilutions/concentrations should be determined by the end user. |
| 分 子 量 | 26kDa |
| 细胞定位 | 细胞浆 细胞膜 |
| 性 状 | Lyophilized or Liquid |
| 浓 度 | 1mg/ml |
| 免 疫 原 | KLH conjugated synthetic peptide derived from human HLA-DRA:1-100/254 <Extracellular> |
| 亚 型 | IgG |
| 纯化方法 | affinity purified by Protein A |
| 储 存 液 | 0.01M TBS(pH7.4) with 1% BSA, 0.03% Proclin300 and 50% Glycerol. |
| 保存条件 | Store at -20 °C for one year. Avoid repeated freeze/thaw cycles. The lyophilized antibody is stable at room temperature for at least one month and for greater than a year when kept at -20°C. When reconstituted in sterile pH 7.4 0.01M PBS or diluent of antibody the antibody is stable for at least two weeks at 2-4 °C. |
| PubMed | PubMed |
| 产品介绍 | background: HLA-DRA is one of the HLA class II alpha chain paralogues. This class II molecule is a heterodimer consisting of an alpha and a beta chain, both anchored in the membrane. It plays a central role in the immune system by presenting peptides derived from extracellular proteins. Class II molecules are expressed in antigen presenting cells (APC: B lymphocytes, dendritic cells, macrophages). The alpha chain is approximately 33-35 kDa and its gene contains 5 exons. Exon 1 encodes the leader peptide, exons 2 and 3 encode the two extracellular domains, and exon 4 encodes the transmembrane domain and the cytoplasmic tail. DRA does not have polymorphisms in the peptide binding part and acts as the sole alpha chain for DRB1, DRB3, DRB4 and DRB5. [provided by RefSeq] Function: Binds peptides derived from antigens that access the endocytic route of antigen presenting cells (APC) and presents them on the cell surface for recognition by the CD4 T-cells. The peptide binding cleft accommodates peptides of 10-30 residues. The peptides presented by MHC class II molecules are generated mostly by degradation of proteins that access the endocytic route, where they are processed by lysosomal proteases and other hydrolases. Exogenous antigens that have been endocytosed by the APC are thus readily available for presentation via MHC II molecules, and for this reason this antigen presentation pathway is usually referred to as exogenous. As membrane proteins on their way to degradation in lysosomes as part of their normal turn-over are also contained in the endosomal/lysosomal compartments, exogenous antigens must compete with those derived from endogenous components. Autophagy is also a source of endogenous peptides, autophagosomes constitutively fuse with MHC class II loading compartments. Subunit: Heterodimer of an alpha and a beta subunit; also referred as MHC class II molecule. In the endoplasmic reticulum (ER) it forms an heterononamer; 3 MHC class II molecules bind to a CD74 homotrimer (also known as invariant chain or HLA class II histocompatibility antigen gamma chain). Subcellular Location: Cell membrane; Single-pass type I membrane protein. Endoplasmic reticulum membrane; Single-pass type I membrane protein. Golgi apparatus, trans-Golgi network membrane; Single-pass type I membrane protein. Endosome membrane; Single-pass type I membrane protein. Lysosome membrane; Single-pass type I membrane protein. Late endosome membrane; Single-pass type I membrane protein. Note=The MHC class II complex transits through a number of intracellular compartments in the endocytic pathway until it reaches the cell membrane for antigen presentation. Post-translational modifications: Ubiquitinated by MARCH1 or MARCH8 at Lys-244 leading to down-regulation of MHC class II. When associated with ubiquitination of the beta subunit of HLA-DR: HLA-DRB4 'Lys-254', the down-regulation of MHC class II may be highly effective. Similarity: Belongs to the MHC class II family. Contains 1 Ig-like C1-type (immunoglobulin-like) domain. SWISS: P01903 Gene ID: 3122 Database links: Entrez Gene: 3122 Human Omim: 142860 Human SwissProt: P01903 Human Unigene: 520048 Human Important Note: This product as supplied is intended for research use only, not for use in human, therapeutic or diagnostic applications. HLA-DR抗原主要存在于内皮细胞、B淋巴细胞、单核细胞。HLA-DR分子为二聚体结构,由非多态性的DRα链和多态性的DRβ链组成. |
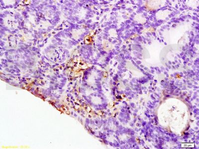
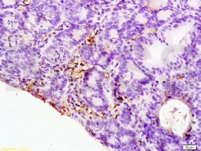
| 产品图片 | ![]() Tissue/cell: rat colitis tissue; 4% Paraformaldehyde-fixed and paraffin-embedded; Antigen retrieval: citrate buffer ( 0.01M, pH 6.0 ), Boiling bathing for 15min; Block endogenous peroxidase by 3% Hydrogen peroxide for 30min; Blocking buffer (normal goat serum,C-0005) at 37℃ for 20 min; Incubation: Anti-HLA-DR Polyclonal Antibody, Unconjugated(bs-1198R) 1:200, overnight at 4°C, followed by conjugation to the secondary antibody(SP-0023) and DAB(C-0010) staining ![]() Blank control Black line): A549 Primary Antibody (orange line): Rabbit Anti-HLA-DR/AF488 Conjugated antibody (bs-1198R-AF488) Dilution: 1μg /10^6 cells; Isotype Control Antibody (orange line): Rabbit IgG-AF488(CST). Protocol The cells were fixed with 4% paraformaldehyde (10 min) , then permeabilized with PBST for 20 min at room temperature. The cells were then incubated in 5%BSA to block non-specific protein-protein interactions followed by the antibody for 30 min at room temperature. Cells stained with Primary Antibody for 30 min at room temperature.Acquisition of 20,000 events was performed. ![]() Blank control: A549(blue), the cells were fixed with 2% paraformaldehyde (10 min) and then permeabilized with ice-cold 90% methanol for 30 min on ice.. Isotype Control Antibody: Rabbit IgG(orange) ; Secondary Antibody: Goat anti-rabbit IgG-FITC(white blue), Dilution: 1:100 in 1 X PBS containing 0.5% BSA ; Primary Antibody Dilution: 1μg in 100 μL1X PBS containing 0.5% BSA(green). |
风险提示:丁香通仅作为第三方平台,为商家信息发布提供平台空间。用户咨询产品时请注意保护个人信息及财产安全,合理判断,谨慎选购商品,商家和用户对交易行为负责。对于医疗器械类产品,请先查证核实企业经营资质和医疗器械产品注册证情况。
文献和实验PCR 扩增标本的HLA-DR基因 (一)扩增引物 HLA-DRB1基因扩增引物为:5’-CCGGATCCTTCGTGTCCCCACAGCACG-3’ 5’-TCGCCGCTGCACTGTGAAG-3’ (二)PCR扩增体系 (1) 1.0uM 扩增引物 (2) 300ng待测样本基因组DNA (3) 2.0U Taq多聚酶 (1)
HLA-DR 基因中等分辨率分型序列特异性引物 5’-引物 序列(5’ � 3’) 3’-引物 序列(5’ � 3’) PCR产物长度 DRB1基因扩增特异
/thread/3186220 HLA-DRB1内含子、外显子与全长序列: http://www.dxy.cn/bbs/actions/archive/post/2352546_1.html HLA-DR基因型与抗原 http://www.dxy.cn/bbs/actions/archive/post/4906537_1.html HLA分型 http://www.dxy.cn/bbs/actions/archive/post/288599_1.html http://www.dxy.cn
技术资料暂无技术资料 索取技术资料













