相关产品推荐更多 >
万千商家帮你免费找货
0 人在求购买到急需产品
- 详细信息
- 文献和实验
- 技术资料
- 供应商:
上海康朗生物科技有限公司
- 库存:
大量
- 目录编号:
kl-6722R
- 克隆性:
多克隆
- 抗原来源:
Rabbit
- 保质期:
12个月
- 抗体英文名:
MAPK organizer 1 antibody
- 抗体名:
丝裂原活化蛋白激酶组织蛋白1抗体
- 宿主:
Rabbit
- 适应物种:
Human, Mouse, Rat, Dog, Pig, Cow, Horse, Rabbit,
- 免疫原:
KLH conjugated synthetic peptide derived from human MAPK organizer 1:201-315/315
- 亚型:
IgG
- 形态:
冻干粉或液体
- 应用范围:
ELISA=1:500-1000 IHC-P=1:400-800 IHC-F=1:400-800 IF=1:100-500
- 浓度:
1mg/ml
- 保存条件:
-20 °C
- 规格:
100ul 200ul
| 中文名称 | 丝裂原活化蛋白激酶组织蛋白1抗体 |
| 别 名 | MAPK organizer 1; MGC4238; Mitogen activated protein kinase organizer 1; Mitogen-activated protein kinase organizer 1; MORG 1; WD repeat domain-containing protein 83; wdr83; WDR83_HUMAN. |
| 规格价格 | 100ul/1380元 购买 200ul/2200元 购买 大包装/询价 |
| 说 明 书 | 100ul 200ul |
| 研究领域 | 心血管 细胞生物 信号转导 激酶和磷酸酶 |
| 抗体来源 | Rabbit |
| 克隆类型 | Polyclonal |
| 交叉反应 | Human, Mouse, Rat, Dog, Pig, Cow, Horse, Rabbit, |
| 产品应用 | ELISA=1:500-1000 IHC-P=1:400-800 IHC-F=1:400-800 IF=1:100-500 (石蜡切片需做抗原修复) not yet tested in other applications. optimal dilutions/concentrations should be determined by the end user. |
| 分 子 量 | 35kDa |
| 细胞定位 | 细胞核 细胞浆 |
| 性 状 | Lyophilized or Liquid |
| 浓 度 | 1mg/ml |
| 免 疫 原 | KLH conjugated synthetic peptide derived from human MAPK organizer 1:201-315/315 |
| 亚 型 | IgG |
| 纯化方法 | affinity purified by Protein A |
| 储 存 液 | 0.01M TBS(pH7.4) with 1% BSA, 0.03% Proclin300 and 50% Glycerol. |
| 保存条件 | Store at -20 °C for one year. Avoid repeated freeze/thaw cycles. The lyophilized antibody is stable at room temperature for at least one month and for greater than a year when kept at -20°C. When reconstituted in sterile pH 7.4 0.01M PBS or diluent of antibody the antibody is stable for at least two weeks at 2-4 °C. |
| PubMed | PubMed |
| 产品介绍 | background: This gene encodes a member of the WD-40 protein family. The protein is proposed to function as a molecular scaffold for various multimeric protein complexes. The protein associates with several components of the extracellular signal-regulated kinase (ERK) pathway, and promotes ERK activity in response to serum or other signals. The protein also interacts with egl nine homolog 3 (EGLN3, also known as PHD3) and regulates expression of hypoxia-inducible factor 1, and has been purified as part of the spliceosome. Alternative splicing results in multiple transcript variants. [provided by RefSeq, Oct 2009] Function: Molecular scaffold protein for various multimeric protein complexes. Acts as a module in the assembly of a multicomponent scaffold for the ERK pathway, linking ERK responses to specific agonists. At low concentrations it enhances ERK activation, whereas high concentrations lead to the inhibition of ERK activation. Also involved in response to hypoxia by acting as a negative regulator of HIF1A/HIF-1-alpha via its interaction with EGLN3/PHD3. May promote degradation of HIF1A. May act by recruiting signaling complexes to a specific upstream activator (By similarity). May also be involved in pre-mRNA splicing. Subunit: Interacts with EGLN3/PHD3. Interacts with ERK signaling proteins MAP2K1/MEK1, MAP2K2/MEK2, LAMTOR3, ARAF/Raf-1, MAPK1/ERK2 and MAPK3/ERK1. Identified in the spliceosome C complex. Subcellular Location: Cytoplasm. Nucleus. Note=Predominantly cytoplasmic. Partially nuclear. Similarity: Belongs to the WD repeat MORG1 family. Contains 7 WD repeats. SWISS: Q9BRX9 Gene ID: 84292 Database links: Entrez Gene: 84292 Human Entrez Gene: 67836 Mouse Entrez Gene: 288924 Rat SwissProt: Q9BRX9 Human SwissProt: Q9DAJ4 Mouse SwissProt: Q5BLX8 Rat Unigene: 657204 Human Unigene: 334680 Mouse Unigene: 3570 Rat Important Note: This product as supplied is intended for research use only, not for use in human, therapeutic or diagnostic applications. |
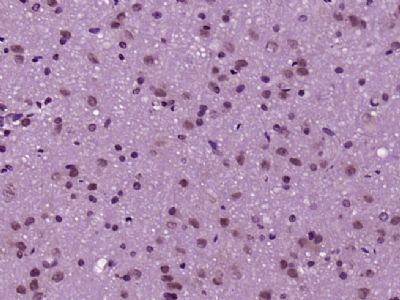
| 产品图片 | ![]() Paraformaldehyde-fixed, paraffin embedded (Rat brain); Antigen retrieval by boiling in sodium citrate buffer (pH6.0) for 15min; Block endogenous peroxidase by 3% hydrogen peroxide for 20 minutes; Blocking buffer (normal goat serum) at 37°C for 30min; Antibody incubation with (MAPK organizer 1) Polyclonal Antibody, Unconjugated (bs-6722R) at 1:400 overnight at 4°C, followed by operating according to SP Kit(Rabbit) (sp-0023) instructionsand DAB staining. |
风险提示:丁香通仅作为第三方平台,为商家信息发布提供平台空间。用户咨询产品时请注意保护个人信息及财产安全,合理判断,谨慎选购商品,商家和用户对交易行为负责。对于医疗器械类产品,请先查证核实企业经营资质和医疗器械产品注册证情况。
文献和实验Modulating and Monitoring MAPK Activity During Programmed Cell Death in Pollen
, noncompetitive, and specific inhibitor of MAPK signaling pathways that result in the inhibition of MAPK activation. Here, we describe the use of this drug in combination with a TEY (threonine–glutamic acid–tyrosine) antibody to alter and monitor MAPK activation
【求助】SAB(signalway Antibody)公司的抗体怎么样
allforcell 一些AKT, MAPK通路常用的抗体。 主要是考虑到SAB公司的抗体国内有现货,有小包装。 与CST公司的相比如何。 谢谢各位 allforcell 顶顶顶顶顶 fghostyun 没听说过这个公司 fyk0317 我也是出于同楼主同样的考虑买了sab的抗体,现在还没用,听说他以前是给cst供货的,希望会好用
secondary antibody review -- data from 99 publications
cytometry used as a control to detect cell responses targeted antigen 7 Alexa Fluor 488 7 Cy3 8 goat IgG Alexa Fluor 488 1:2000 detect antibody binding in human embryonic kidney 293T cells Invitrogen 9 donkey
技术资料暂无技术资料 索取技术资料











