相关产品推荐更多 >
万千商家帮你免费找货
0 人在求购买到急需产品
- 详细信息
- 文献和实验
- 技术资料
- 供应商:
上海康朗生物科技有限公司
- 库存:
大量
- 目录编号:
kl-10728R
- 克隆性:
多克隆
- 抗原来源:
Rabbit
- 保质期:
12个月
- 抗体英文名:
RhD antibody
- 抗体名:
Rh polypeptide 2抗体
- 宿主:
Rabbit
- 适应物种:
Human, Mouse,
- 免疫原:
KLH conjugated synthetic peptide derived from human Rh polypeptide 2:321-417/417
- 亚型:
IgG
- 形态:
冻干粉或液体
- 应用范围:
WB=1:500-2000 ELISA=1:500-1000 IHC-P=1:400-800 IHC-F=1:400-800 ICC=1:100-500 IF=1:100-500
- 浓度:
1mg/ml
- 保存条件:
-20 °C
- 规格:
100ul 200ul
| 中文名称 | Rh polypeptide 2抗体 |
| 别 名 | Blood group Rh(D) polypeptide; Blood group--Rhesus system D polypeptide; CD240D; D antigen (DCS); DIIIc; MGC165007; RH; Rh blood group antigen Evans; Rh blood group D antigen; Rh polypeptide 2; RH30; Rh4; RHCED; Rhd; RHD_HUMAN; RhDCw; RHDel; RHDVA(TT); Rhesus blood group D antigen allele DIII type 7; Rhesus D antigen; Rhesus system D polypeptide; RhII; RhK562-II; RhPI. |
| 规格价格 | 100ul/1380元 购买 200ul/2200元 购买 大包装/询价 |
| 说 明 书 | 100ul 200ul |
| 研究领域 | 细胞生物 |
| 抗体来源 | Rabbit |
| 克隆类型 | Polyclonal |
| 交叉反应 | Human, Mouse, |
| 产品应用 | WB=1:500-2000 ELISA=1:500-1000 IHC-P=1:400-800 IHC-F=1:400-800 ICC=1:100-500 IF=1:100-500 (石蜡切片需做抗原修复) not yet tested in other applications. optimal dilutions/concentrations should be determined by the end user. |
| 分 子 量 | 45kDa |
| 细胞定位 | 细胞膜 |
| 性 状 | Lyophilized or Liquid |
| 浓 度 | 1mg/ml |
| 免 疫 原 | KLH conjugated synthetic peptide derived from human Rh polypeptide 2:321-417/417 |
| 亚 型 | IgG |
| 纯化方法 | affinity purified by Protein A |
| 储 存 液 | 0.01M TBS(pH7.4) with 1% BSA, 0.03% Proclin300 and 50% Glycerol. |
| 保存条件 | Store at -20 °C for one year. Avoid repeated freeze/thaw cycles. The lyophilized antibody is stable at room temperature for at least one month and for greater than a year when kept at -20°C. When reconstituted in sterile pH 7.4 0.01M PBS or diluent of antibody the antibody is stable for at least two weeks at 2-4 °C. |
| PubMed | PubMed |
| 产品介绍 | background: The Rh blood group system is the second most clinically significant of the blood groups, second only to ABO. It is also the most polymorphic of the blood groups, with variations due to deletions, gene conversions, and missense mutations. The Rh blood group includes this gene, which encodes the RhD protein, and a second gene that encodes both the RhC and RhE antigens on a single polypeptide. The two genes, and a third unrelated gene, are found in a cluster on chromosome 1. The classification of Rh-positive and Rh-negative individuals is determined by the presence or absence of the highly immunogenic RhD protein on the surface of erythrocytes. Multiple transcript variants encoding different isoforms have been found for this gene. [provided by RefSeq, Jul 2008] Function: May be part of an oligomeric complex which is likely to have a transport or channel function in the erythrocyte membrane. Subcellular Location: Membrane. Tissue Specificity: Restricted to tissues or cell lines expressing erythroid characters. Similarity: Belongs to the ammonium transporter (TC 2.A.49) family. Rh subfamily. Gene ID: 6007 Database links: Entrez Gene: 6007 Human Omim: 111680 Human SwissProt: Q02161 Human Unigene: 449968 Human Important Note: This product as supplied is intended for research use only, not for use in human, therapeutic or diagnostic applications. |
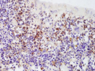
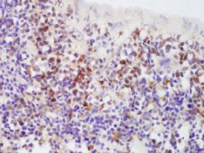
| 产品图片 | ![]() Tissue/cell: mouse spleen tissue; 4% Paraformaldehyde-fixed and paraffin-embedded; Antigen retrieval: citrate buffer ( 0.01M, pH 6.0 ), Boiling bathing for 15min; Block endogenous peroxidase by 3% Hydrogen peroxide for 30min; Blocking buffer (normal goat serum,C-0005) at 37℃ for 20 min; Incubation: Anti-Rh polypeptide 2 Polyclonal Antibody, Unconjugated(bs-10728R) 1:200, overnight at 4°C, followed by conjugation to the secondary antibody(SP-0023) and DAB(C-0010) staining |
风险提示:丁香通仅作为第三方平台,为商家信息发布提供平台空间。用户咨询产品时请注意保护个人信息及财产安全,合理判断,谨慎选购商品,商家和用户对交易行为负责。对于医疗器械类产品,请先查证核实企业经营资质和医疗器械产品注册证情况。
文献和实验The Use of Maternal Plasma for Prenatal RhD Blood Group Genotyping
Alloimmunization to the blood group antibody anti-RhD (anti-D) is the most common cause of hemolytic disease of the fetus and newborn. Knowledge of fetal D type in women with anti-D makes management of the pregnancy much easier and avoids
RHD Genotyping from Maternal Plasma: Guidelines and Technical Challenges
Rhesus D (RhD ) blood group incompatibility between mother and fetus can occasionally result in maternal alloimmunization where the resultant anti-D can cross the placenta and attack the fetal red cells, which in worse case scenarios
Hemolytic disease of the newborn (HDN) can occur when there are fetomaternal incompatibilities within any number of different erythrocyte antigen systems, including the RhD, Cc, Ee, Kidd and Duffy, and Kell antigen systems. In these disorders
技术资料暂无技术资料 索取技术资料











