相关产品推荐更多 >
万千商家帮你免费找货
0 人在求购买到急需产品
- 详细信息
- 文献和实验
- 技术资料
- 供应商:
上海康朗生物科技有限公司
- 库存:
大量
- 目录编号:
kl-19936R
- 克隆性:
多克隆
- 抗原来源:
Rabbit
- 保质期:
12个月
- 抗体英文名:
TIP49A antibody
- 抗体名:
TIP60相关蛋白54α抗体
- 宿主:
Rabbit
- 适应物种:
Human, Mouse, Rat, Chicken, Dog, Pig, Cow, Horse, Rabbit, Zebrafish, Sheep,
- 免疫原:
KLH conjugated synthetic peptide derived from human TIP49A:101-200/456
- 亚型:
IgG
- 形态:
冻干粉或液体
- 应用范围:
WB=1:500-2000 ELISA=1:500-1000 IHC-P=1:400-800 IHC-F=1:400-800 ICC=1:100-500 IF=1:100-500
- 浓度:
1mg/ml
- 保存条件:
-20 °C
- 规格:
100ul 200ul
| 中文名称 | TIP60相关蛋白54α抗体 |
| 别 名 | 49 kDa TATA box binding protein interacting protein; 49 kDa TATA box-binding protein-interacting protein; 49 kDa TBP interacting protein; 49 kDa TBP-interacting protein; 54 kDa erythrocyte cytosolic protein; ECP-54; ECP54; ERYTHROCYTE CYTOSOLIC PROTEIN, 54-KD; INO80 complex subunit H; NMP 238; Nuclear matrix protein 238; Pontin 52; PONTIN; RuvB like 1; RuvB-like 1; RUVB1_HUMAN; RUVBL1; RVB1; TAP54 alpha; TAP54-alpha; TIP49; TIP49a; TIP60 associated protein 54 alpha; TIP60-associated protein 54-alpha. |
| 规格价格 | 100ul/1380元 购买 200ul/2200元 购买 大包装/询价 |
| 说 明 书 | 100ul 200ul |
| 研究领域 | 肿瘤 细胞生物 信号转导 细胞凋亡 转录调节因子 |
| 抗体来源 | Rabbit |
| 克隆类型 | Polyclonal |
| 交叉反应 | Human, Mouse, Rat, Chicken, Dog, Pig, Cow, Horse, Rabbit, Zebrafish, Sheep, |
| 产品应用 | WB=1:500-2000 ELISA=1:500-1000 IHC-P=1:400-800 IHC-F=1:400-800 ICC=1:100-500 IF=1:100-500 (石蜡切片需做抗原修复) not yet tested in other applications. optimal dilutions/concentrations should be determined by the end user. |
| 分 子 量 | 50kDa |
| 细胞定位 | 细胞核 细胞浆 细胞膜 |
| 性 状 | Lyophilized or Liquid |
| 浓 度 | 1mg/ml |
| 免 疫 原 | KLH conjugated synthetic peptide derived from human TIP49A:101-200/456 |
| 亚 型 | IgG |
| 纯化方法 | affinity purified by Protein A |
| 储 存 液 | 0.01M TBS(pH7.4) with 1% BSA, 0.03% Proclin300 and 50% Glycerol. |
| 保存条件 | Store at -20 °C for one year. Avoid repeated freeze/thaw cycles. The lyophilized antibody is stable at room temperature for at least one month and for greater than a year when kept at -20°C. When reconstituted in sterile pH 7.4 0.01M PBS or diluent of antibody the antibody is stable for at least two weeks at 2-4 °C. |
| PubMed | PubMed |
| 产品介绍 | Function: Possesses single-stranded DNA-stimulated ATPase and ATP-dependent DNA helicase (3' to 5') activity. Component of the NuA4 histone acetyltransferase complex which is involved in transcriptional activation of select genes principally by acetylation of nucleosomal histones H4 and H2A. This modification may both alter nucleosome - DNA interactions and promote interaction of the modified histones with other proteins which positively regulate transcription. This complex may be required for the activation of transcriptional programs associated with oncogene and proto-oncogene mediated growth induction, tumor suppressor mediated growth arrest and replicative senescence, apoptosis, and DNA repair. The NuA4 complex ATPase and helicase activities seem to be, at least in part, contributed by the association of RUVBL1 and RUVBL2 with EP400. NuA4 may also play a direct role in DNA repair when recruited to sites of DNA damage. RUVBL1 plays an essential role in oncogenic transformation by MYC and also modulates transcriptional activation by the LEF1/TCF1-CTNNB1 complex. May be able to bind plasminogen at cell surface and enhance plasminogen activation. Essential for cell proliferation. Subcellular Location: Nucleus matrix. Nucleus > nucleoplasm. Cytoplasm. Membrane. Cytoplasm > cytoskeleton > centrosome. Mainly localized in the nucleus, associated with nuclear matrix or in the nuclear cytosol, although it is also present in the cytoplasm and associated with the cell membranes. In prophase and prometaphase it is located at the centrosome and the branching microtubule spindles. After mitotic nuclear membrane disintigration it accumulates at the centrosome and sites of tubulin polymerization. As cells pass through metaphase and into telophase it is located close to the centrosome at the early phase of tubulin polymerization. In anaphase it accumulates at the zone of tubule interdigitation. In telophase it is found at polar tubule overlap, and it reappears at the site of chromosomal decondensation in the daughter cells. Tissue Specificity: Ubiquitously expressed with high expression in heart, skeletal muscle and testis. Similarity: Belongs to the ruvB family. SWISS: Q9Y265 Gene ID: 8607 Database links: Entrez Gene: 8607 Human Entrez Gene: 56505 Mouse Entrez Gene: 65137 Rat Omim: 603449 Human SwissProt: Q9Y265 Human SwissProt: P60122 Mouse SwissProt: P60123 Rat Unigene: 272822 Human Unigene: 42195 Mouse Unigene: 86410 Rat Important Note: This product as supplied is intended for research use only, not for use in human, therapeutic or diagnostic applications. |
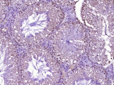
| 产品图片 | ![]() Sample: Heart (Mouse) Lysate at 40 ug Muscle (Mouse) Lysate at 40 ug Heart (Mouse) Lysate at 40 ug Muscle (Mouse) Lysate at 40 ug Primary: Anti-TIP49A (bs-19936R) at 1/500 dilution Anti-TIP49A (bs-19936R) at 1/1000 dilution Secondary: IRDye800CW Goat Anti-Rabbit IgG at 1/20000 dilution Predicted band size: 50 kD Observed band size: 50 kD ![]() Paraformaldehyde-fixed, paraffin embedded (Mouse testis); Antigen retrieval by boiling in sodium citrate buffer (pH6.0) for 15min; Block endogenous peroxidase by 3% hydrogen peroxide for 20 minutes; Blocking buffer (normal goat serum) at 37°C for 30min; Antibody incubation with (TIP49A) Polyclonal Antibody, Unconjugated (bs-19936R) at 1:400 overnight at 4°C, followed by operating according to SP Kit(Rabbit) (sp-0023) instructionsand DAB staining. |
风险提示:丁香通仅作为第三方平台,为商家信息发布提供平台空间。用户咨询产品时请注意保护个人信息及财产安全,合理判断,谨慎选购商品,商家和用户对交易行为负责。对于医疗器械类产品,请先查证核实企业经营资质和医疗器械产品注册证情况。
文献和实验Generation of Antibody Molecules Through Antibody Engineering
been overcome to a large extent using genetic-engineering techniques to produce chimeric mouse/human and completely human antibodies. Such an approach is particularly suitable because of the domain structure of the antibody molecule ( 2 ), where functional
The importance of antibody molecules was first recognized in the 1890s, when it was shown that immunity to tetanus and diphtheria was caused by antibodies against the bacterial exotoxins (1 ). Around the same time, it was shown that antisera
General comments: Antibodies, like most proteins, do not like to be freeze-thawed. Avoid repetitive freezing of your solution. The best way to store your antibody is to keep a high protein concentration (>1 mg/ml), add some protease
技术资料暂无技术资料 索取技术资料












