相关产品推荐更多 >
万千商家帮你免费找货
0 人在求购买到急需产品
- 详细信息
- 文献和实验
- 技术资料
- 供应商:
上海康朗生物科技有限公司
- 库存:
大量
- 目录编号:
kl-10409R
- 克隆性:
多克隆
- 抗原来源:
Rabbit
- 保质期:
12个月
- 抗体英文名:
CCL26 Signal peptide antibody
- 抗体名:
嗜酸粒细胞趋化蛋白3抗体
- 宿主:
Rabbit
- 适应物种:
Mouse, Rat,
- 免疫原:
KLH conjugated synthetic peptide derived from human Nestin:801-900/1621
- 亚型:
IgG
- 形态:
冻干粉或液体
- 应用范围:
ELISA=1:500-1000 IHC-P=1:400-800 IHC-F=1:400-800 ICC=1:100-500 IF=1:100-500
- 浓度:
1mg/ml
- 保存条件:
-20 °C
- 规格:
100ul 200ul
| 中文名称 | 嗜酸粒细胞趋化蛋白3抗体 |
| 别 名 | C-C motif chemokine 26; CC chemokine IMAC; CCL 26; CCL26; Chemokine (C C motif) ligand 26; Eotaxin-3; IMAC; Macrophage inflammatory protein 4-alpha; MIP 4a; MIP 4alpha; MIP-4-alpha; MIP4a; MIP4alpha; SCYA 26; SCYA26; Small inducible cytokine A26; Small inducible cytokine subfamily A (Cys Cys) member 26; Small inducible cytokine subfamily A member 26; Small-inducible cytokine A26; Thymic stroma chemokine 1; Thymic stroma chemokine-1; TSC 1; TSC-1; TSC1; CCL26 Signal peptide; . |
| 规格价格 | 100ul/1380元 购买 200ul/2200元 购买 大包装/询价 |
| 说 明 书 | 100ul 200ul |
| 研究领域 | 细胞生物 免疫学 细胞凋亡 趋化因子 泛素 |
| 抗体来源 | Rabbit |
| 克隆类型 | Polyclonal |
| 交叉反应 | Mouse, Rat, |
| 产品应用 | ELISA=1:500-1000 IHC-P=1:400-800 IHC-F=1:400-800 ICC=1:100-500 IF=1:100-500 (石蜡切片需做抗原修复) not yet tested in other applications. optimal dilutions/concentrations should be determined by the end user. |
| 分 子 量 | 11kDa |
| 性 状 | Lyophilized or Liquid |
| 浓 度 | 1mg/ml |
| 免 疫 原 | KLH conjugated synthetic peptide derived from rat CCL26 Signal peptide:1-70/94 |
| 亚 型 | IgG |
| 纯化方法 | affinity purified by Protein A |
| 储 存 液 | 0.01M TBS(pH7.4) with 1% BSA, 0.03% Proclin300 and 50% Glycerol. |
| 保存条件 | Store at -20 °C for one year. Avoid repeated freeze/thaw cycles. The lyophilized antibody is stable at room temperature for at least one month and for greater than a year when kept at -20°C. When reconstituted in sterile pH 7.4 0.01M PBS or diluent of antibody the antibody is stable for at least two weeks at 2-4 °C. |
| PubMed | PubMed |
| 产品介绍 | background: The product of this gene functions in the nucleotide excision repair pathway, and is required for the repair of DNA lesions such as those induced by UV light or formed by electrophilic compounds including cisplatin. The encoded protein forms a heterodimer with the XPF endonuclease (also known as ERCC4), and the heterodimeric endonuclease catalyzes the 5' incision in the process of excising the DNA lesion. The heterodimeric endonuclease is also involved in recombinational DNA repair and in the repair of inter-strand crosslinks. Mutations in this gene result in cerebrooculofacioskeletal syndrome, and polymorphisms that alter expression of this gene may play a role in carcinogenesis. Multiple transcript variants encoding different isoforms have been found for this gene. The last exon of this gene overlaps with the CD3e molecule, epsilon associated protein gene on the opposite strand. [provided by RefSeq, Oct 2009] Function: Chemotactic for eosinophils and basophils. Binds to CCR3. Subunit: Monomer. Subcellular Location: Secreted. Tissue Specificity: Ubiquitously expressed at low levels in various tissues including heart and ovary. Similarity: Belongs to the intercrine beta (chemokine CC) family. SWISS: N/A Gene ID: 292673 Database links: Entrez Gene: 10344 Human Entrez Gene: 541307 Mouse Omim: 604697 Human SwissProt: Q9Y258 Human Unigene: 131342 Human Unigene: 376459 Mouse Important Note: This product as supplied is intended for research use only, not for use in human, therapeutic or diagnostic applications. |
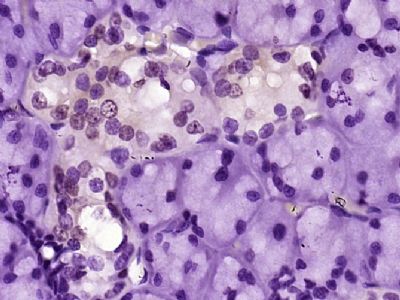
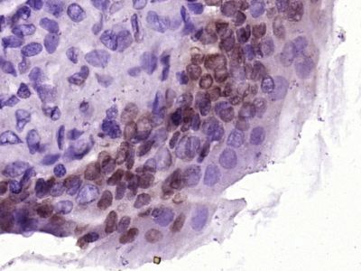
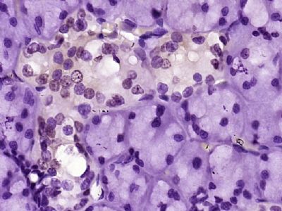
| 产品图片 | ![]() Paraformaldehyde-fixed, paraffin embedded (Rat urinary bladder); Antigen retrieval by boiling in sodium citrate buffer (pH6.0) for 15min; Block endogenous peroxidase by 3% hydrogen peroxide for 20 minutes; Blocking buffer (normal goat serum) at 37°C for 30min; Antibody incubation with (CCL26 Signal peptide) Polyclonal Antibody, Unconjugated (bs-10409R) at 1:400 overnight at 4°C, followed by operating according to SP Kit(Rabbit) (sp-0023) instructionsand DAB staining. ![]() Paraformaldehyde-fixed, paraffin embedded (Rat thyroid gland); Antigen retrieval by boiling in sodium citrate buffer (pH6.0) for 15min; Block endogenous peroxidase by 3% hydrogen peroxide for 20 minutes; Blocking buffer (normal goat serum) at 37°C for 30min; Antibody incubation with (CCL26 Signal peptide) Polyclonal Antibody, Unconjugated (bs-10409R) at 1:400 overnight at 4°C, followed by operating according to SP Kit(Rabbit) (sp-0023) instructionsand DAB staining. |
风险提示:丁香通仅作为第三方平台,为商家信息发布提供平台空间。用户咨询产品时请注意保护个人信息及财产安全,合理判断,谨慎选购商品,商家和用户对交易行为负责。对于医疗器械类产品,请先查证核实企业经营资质和医疗器械产品注册证情况。
文献和实验信号肽 signal peptide 某种分泌蛋白质及细胞膜蛋白质等,以前体物质多肽的形式合成,其 N末端含有作为通过膜时之信号的氨基酸序列,这种氨基酸序列称信号肽或信号序列( signal sequence)。由约 15— 25个氨基酸所组成,在 N末端附近除有碱性氨基酸外,还主要含疏水性氨基酸,特别是在其中部没有带电荷的氨基酸。在合成过程中前体物质多肽靠此序列与膜结合,接着形成膜结合型多核糖体,多肽链与其合成相平行地通过膜,并在通过膜时,由在存在膜上的肽酶将信号肽切断而除掉
Purification Of Anti Peptide Antibody
antibody that could contribute to staining background. The proportion in each pool varies with the peptide immunogen. The quality of the anti-peptide serum seems to increase with multiple boosts - the first bleed may be feeble.
Peptide Microarrays for Serum Antibody Diagnostics
antibody. A proposal for the diagnostic evaluation of fluorescence data obtained with the peptide microarray is also made.
技术资料暂无技术资料 索取技术资料












