相关产品推荐更多 >
万千商家帮你免费找货
0 人在求购买到急需产品
- 详细信息
- 文献和实验
- 技术资料
- 供应商:
上海康朗生物科技有限公司
- 库存:
大量
- 目录编号:
kl-0812R
- 克隆性:
多克隆
- 抗原来源:
Rabbit
- 保质期:
12个月
- 抗体英文名:
IL-1 Beta antibody
- 抗体名:
白介素1β/IL-1β抗体
- 宿主:
Rabbit
- 适应物种:
Human, Mouse, Rat, Dog, Pig, Rabbit, Bee, Guinea Pig,
- 免疫原:
KLH conjugated synthetic peptide derived from human IL-1beta:101-200/269
- 亚型:
IgG
- 形态:
冻干粉或液体
- 应用范围:
WB=1:500-2000 ELISA=1:500-1000 IHC-P=1:400-800 IHC-F=1:400-800 Flow-Cyt=1μg/Test IF=1:100-500
- 浓度:
1mg/ml
- 保存条件:
-20 °C
- 规格:
50ul 100ul 200ul
| 中文名称 | 白介素1β/IL-1β抗体 |
| 别 名 | Catabolin; H1; IL-1β; Hematopoietin 1; IFN beta inducing factor; IL 1; IL 1 beta; IL 1B; IL1B; IL1F2; Interleukin 1 beta; Interleukin 1 beta precursor; LAF; OAF; Osteoclast activating factor; Preinterleukin beta; Pro interleukin 1 beta; IL1B_HUMAN; Interleukin-1 beta; IL-1 beta. IL-1B |
![]() |
Specific References (12) | bs-0812R has been referenced in 12 publications. [IF=2.03] Zhong, Shigen, et al. "Enhanced homing of mesenchymal stem cells to the ischemic myocardium by ultrasound-targeted microbubble destruction." Ultrasonics 52.2 (2012): 281-286. WB ; PubMed:21937069 [IF=2.15] Bagriyanik, H. A., et al. "The effects of resveratrol on chronic constriction injury of sciatic nerve in rats." Neuroscience Letters (2014). IHC-P ; Rat. PubMed:24394911 [IF=2.68] Wang, Hui, et al. "Anti-inflammatory cytokine TSG-6 inhibits hypertrophic scar formation in a rabbit ear model." European Journal of Pharmacology (2015). IHC-P ; Rabbit. PubMed:25661977 [IF=1.48] Li, Kang, et al. "CD14 knockdown reduces lipopolysaccharide-induced cell viability and expression of inflammation-associated genes in gastric cancer cells in vitro and in nude mouse xenografts." Molecular Medicine Reports. other ; PubMed:26081375 [IF=6.03] Johann, Sonja, et al. "NLRP3 inflammasome is expressed by astrocytes in the SOD1 mouse model of ALS and in human sporadic ALS patients." Glia (2015). WB ; Human. PubMed:26200799 [IF=2.46] de Jesus, Julio Fernandes, et al. "Low-level laser therapy in IL-1β, COX-2, and PGE2 modulation in partially injured Achilles tendon." Lasers in Medical Science 30.1 (2015): 153-158. IHC-P ; Rat. PubMed:25070591 [IF=1.35] Hu, Ruiqi, et al. "Immunoreactivities of IL-1β and IL-1R in oviduct of Chinese brown frog (Rana dybowskii) during pre-hibernation and the breeding period."Acta histochemica 118.2 (2016): 164-169. Other Species. PubMed:26746863 [IF=1.35] Hu, Ruiqi, et al. "Immunoreactivities of IL-1β and IL-1R in oviduct of Chinese brown frog (Rana dybowskii) during pre-hibernation and the breeding period."Acta histochemica 118.2 (2016): 164-169. IHC-P ; Other Species. PubMed:26746863 [IF=1.35] Xi, Liqin, et al. "Immunoreactivities of NF-κB, IL-1β and IL-1R in the skin of Chinese brown frog (Rana dybowskii)." Acta Histochemica (2016). IHC-P ; Other Species. PubMed:27919431 [IF=5.40] Heitzer, Marius, et al. "Administration of 17β-Estradiol Improves Motoneuron Survival and Down-regulates Inflammasome Activation in Male SOD1 (G93A) ALS Mice." Molecular Neurobiology: 1-15. WB ; Mouse. PubMed:27957680 [IF=1.06] Liu, Dong-qing, Xiao-jing Li, and Xiao-juan Weng. "Effect of BTXA on Inhibiting Hypertrophic Scar Formation in a Rabbit Ear Model." Aesthetic Plastic Surgery (2017): 1-8. IHC-P ; Rabbit. PubMed:28180922 [IF=1.56] Du, Jinghua, et al. "TLR4‑dependent signaling pathway modulation: A novel mechanism by which pioglitazone protects against nutritional fibrotic steatohepatitis in mice." Molecular medicine reports 13.3 (2016): 2159-2166. WB ; Mouse. PubMed:26781175 |
| 规格价格 | 50ul/780元 购买 100ul/1380元 购买 200ul/2200元 购买 大包装/询价 |
| 说 明 书 | 50ul 100ul 200ul |
| 研究领域 | 细胞生物 免疫学 糖蛋白 |
| 抗体来源 | Rabbit |
| 克隆类型 | Polyclonal |
| 交叉反应 | Human, Mouse, Rat, Dog, Pig, Rabbit, Bee, Guinea Pig, |
| 产品应用 | WB=1:500-2000 ELISA=1:500-1000 IHC-P=1:400-800 IHC-F=1:400-800 Flow-Cyt=1μg/Test IF=1:100-500 (石蜡切片需做抗原修复) not yet tested in other applications. optimal dilutions/concentrations should be determined by the end user. |
| 分 子 量 | 17kDa |
| 细胞定位 | 分泌型蛋白 |
| 性 状 | Lyophilized or Liquid |
| 浓 度 | 1mg/ml |
| 免 疫 原 | KLH conjugated synthetic peptide derived from human IL-1beta:101-200/269 |
| 亚 型 | IgG |
| 纯化方法 | affinity purified by Protein A |
| 储 存 液 | 0.01M TBS(pH7.4) with 1% BSA, 0.03% Proclin300 and 50% Glycerol. |
| 保存条件 | Store at -20 °C for one year. Avoid repeated freeze/thaw cycles. The lyophilized antibody is stable at room temperature for at least one month and for greater than a year when kept at -20°C. When reconstituted in sterile pH 7.4 0.01M PBS or diluent of antibody the antibody is stable for at least two weeks at 2-4 °C. |
| PubMed | PubMed |
| 产品介绍 | background: The protein encoded by this gene is a member of the interleukin 1 cytokine family. This cytokine is produced by activated macrophages as a proprotein, which is proteolytically processed to its active form by caspase 1 (CASP1/ICE). This cytokine is an important mediator of the inflammatory response, and is involved in a variety of cellular activities, including cell proliferation, differentiation, and apoptosis. The induction of cyclooxygenase-2 (PTGS2/COX2) by this cytokine in the central nervous system (CNS) is found to contribute to inflammatory pain hypersensitivity. This gene and eight other interleukin 1 family genes form a cytokine gene cluster on chromosome 2. [provided by RefSeq, Jul 2008]. Function: Produced by activated macrophages, IL-1 stimulates thymocyte proliferation by inducing IL-2 release, B-cell maturation and proliferation, and fibroblast growth factor activity. IL-1 proteins are involved in the inflammatory response, being identified as endogenous pyrogens, and are reported to stimulate the release of prostaglandin and collagenase from synovial cells. Subunit: Monomer. Subcellular Location: Secreted. Note=The lack of a specific hydrophobic segment in the precursor sequence suggests that IL-1 is released by damaged cells or is secreted by a mechanism differing from that used for other secretory proteins. Similarity: Belongs to the IL-1 family. SWISS: P01584 Gene ID: 3553 Database links: Entrez Gene: 3553 Human Entrez Gene: 16176 Mouse Entrez Gene: 24494 Rat Omim: 147720 Human SwissProt: P01584 Human SwissProt: P10749 Mouse SwissProt: Q63264 Rat Unigene: 126256 Human Unigene: 222830 Mouse Unigene: 9869 Rat Important Note: This product as supplied is intended for research use only, not for use in human, therapeutic or diagnostic applications. 生长因子和激素( Growth Factor and Hormones) IL-1β是一种糖蛋白,它既可诱导急性期时相关蛋白的产生,也是β细胞终末分化并分泌抗体的必需因子,在免疫调节中发挥重要做 用。 IL-1β前体在细胞内合成后被酶剪切为成熟形态后排出到细胞外,IL-1β的前体有153个氨基酸。成熟形态有116个氨基酸。 |
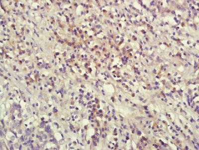
| 产品图片 | ![]() Sample: Raw246.7 (Mouse)Cell Lysate at 40 ug Primary: Anti- IL-1 beta (bs-0812R) at 1/300 dilution Secondary: IRDye800CW Goat Anti-Rabbit IgG at 1/20000 dilution Predicted band size: 17 kD Observed band size: 30 kD ![]() Tissue/cell: Human cervical carcinoma tissue; 4% Paraformaldehyde-fixed and paraffin-embedded; Antigen retrieval: citrate buffer ( 0.01M, pH 6.0 ), Boiling bathing for 15min; Block endogenous peroxidase by 3% Hydrogen peroxide for 30min; Blocking buffer (normal goat serum,C-0005) at 37℃ for 20 min; Incubation: Anti-IL-1 Beta/IL-1B Polyclonal Antibody, Unconjugated(bs-0812R) 1:200, overnight at 4°C, followed by conjugation to the secondary antibody(SP-0023) and DAB(C-0010) staining ![]() Tissue/cell: rat brain tissue; 4% Paraformaldehyde-fixed and paraffin-embedded; Antigen retrieval: citrate buffer ( 0.01M, pH 6.0 ), Boiling bathing for 15min; Block endogenous peroxidase by 3% Hydrogen peroxide for 30min; Blocking buffer (normal goat serum,C-0005) at 37℃ for 20 min; Incubation: Anti-IL-1 Beta/IL-1B Polyclonal Antibody, Unconjugated(bs-0812R) 1:200, overnight at 4°C, followed by conjugation to the secondary antibody(SP-0023) and DAB(C-0010) staining |
风险提示:丁香通仅作为第三方平台,为商家信息发布提供平台空间。用户咨询产品时请注意保护个人信息及财产安全,合理判断,谨慎选购商品,商家和用户对交易行为负责。对于医疗器械类产品,请先查证核实企业经营资质和医疗器械产品注册证情况。
文献和实验Anticardiolipin Antibody and Anti-beta 2 Glycoprotein I Antibody Assays
) antibodies and anti-beta 2 glycoprotein I (β2-GPI) antibodies. Other autoantibodies, such as those directed against anionic phospholipids, can also be assayed; however they are not of clinical significance. Participation in a quality assurance
。 如果beta-catenin抗体不好使,或者EGFP太大影响定位的话,还可以构建Flag标签类载体,转染细胞,加入药物,用抗Flag抗体免疫荧光检测,荧光显微镜下观察就好了。 wangjh28 但按照事先的推测,处理了以后会下调该基因的表达 我觉得科学不能有事先的推测的结果,这样容易受思维定势的影响,而忽略了新发现 dongreyuan 我打算用SAB的β-catenin(Ab-37)Antibody,说明
in 200 mls Solution A. Repeat wash. Pellet cells as above and resuspend in 4 mls Solution A. Reserve 2 mls of the cell suspension. Spheroplast the remaining 2 ml of the cell suspension by addition of beta-mercaptoethanol to 0.1, glusulase
技术资料暂无技术资料 索取技术资料














