相关产品推荐更多 >
万千商家帮你免费找货
0 人在求购买到急需产品
- 详细信息
- 文献和实验
- 技术资料
- 供应商:
上海康朗生物科技有限公司
- 库存:
大量
- 目录编号:
kl-0666R
- 克隆性:
多克隆
- 抗原来源:
Rabbit
- 保质期:
12个月
- 抗体英文名:
Fibronectin/FN1 antibody
- 抗体名:
纤维连接蛋白抗体
- 宿主:
Rabbit
- 适应物种:
Human, Mouse, Rat, Dog, Cow,
- 免疫原:
KLH conjugated synthetic peptide derived from human Fibronectin/Ugl-Y3:1201-1300/2386
- 亚型:
IgG
- 形态:
冻干粉或液体
- 应用范围:
ELISA=1:500-1000 IHC-P=1:400-800 IHC-F=1:400-800 ICC=1:100-500 IF=1:200-800
- 浓度:
1mg/ml
- 保存条件:
-20 °C
- 规格:
50ul 100ul 200ul
| 中文名称 | 纤维连接蛋白抗体 |
| 别 名 | CIG; Cold insoluble globulin; DKFZp686F10164; DKFZp686H0342; DKFZp686I1370; DKFZp686O13149; ED B; ED-B; fibronectin 1; FINC; FN 1; FN; FN1; FNZ; GFND; GFND2; LETS; Migration stimulating factor; MSF; Transformation sensitive protein; FINC_HUMAN; Fibronectin; Cold-insoluble globulin; Ugl-Y3. |
![]() |
Specific References (8) | bs-0666R has been referenced in 8 publications. [IF=3.61] Xu, Zhen E., et al. "Inflammatory stress exacerbates lipid-mediated renal injury in ApoE/CD36/SRA triple knockout mice." American Journal of Physiology-Renal Physiology 301.4 (2011): F713-F722. IHC-P ; Mouse. PubMed:21795641 [IF=3.55] Guo, Hong-Feng, et al. "Piezoelectric PU/PVDF electrospun scaffolds for wound healing applications." Colloids and Surfaces B: Biointerfaces (2012). WB ; Mouse. PubMed:22503631 [IF=2.61] Jun, Hao, et al. "In vivo and in vitro effects of SREBP-1 on diabetic renal tubular lipid accumulation and RNAi-mediated gene silencing study." Histochemistry and cell biology 131.3 (2009): 327-345. WB ; Rat. PubMed:19048273 [IF=2.51] Wu, Lina, et al. "The effect of resveratrol on FoxO1 expression in kidneys of diabetic nephropathy rats." Molecular biology reports 39.9 (2012): 9085-9093. IHC-P ; Rat. PubMed:22733486 [IF=2.17] Bai, X. P., et al. "Fabrication of engineered heart tissue grafts from alginate/collagen barium composite microbeads." Biomedical Materials 6.4 (2011): 045002. IHC-P ; Rat. PubMed:21613722 [IF=0.78] Karadeniz, Tugba, et al. "Experimental comparison of protective characteristics of enalapril and trimetazidine in diabetic nephropathy." Renal failure 36.8 (2014): 1283-1290. IHC-P ; Mouse. PubMed:25010195 [IF=3.87] Ma, Yan, et al. "Intraocular expression of serum amyloid a and interleukin-6 in proliferative diabetic retinopathy." American journal of ophthalmology 152.4 (2011): 678-685. IHC-F ; Mouse. PubMed:21704966 [IF=2.33] Elmas, Onur, Oytun Erbas, and Gurkan Yigitturk. "The efficacy of Aesculus hippocastanum seeds on diabetic nephropathy in a streptozotocin-induced diabetic rat model." Biomedicine & Pharmacotherapy 83 (2016): 392-396. IHC-F ; Rat. PubMed:27424320 |
| 规格价格 | 50ul/780元 购买 100ul/1380元 购买 200ul/2200元 购买 大包装/询价 |
| 说 明 书 | 50ul 100ul 200ul |
| 研究领域 | 肿瘤 细胞生物 免疫学 信号转导 转录调节因子 细胞粘附分子 |
| 抗体来源 | Rabbit |
| 克隆类型 | Polyclonal |
| 交叉反应 | Human, Mouse, Rat, Dog, Cow, |
| 产品应用 | ELISA=1:500-1000 IHC-P=1:400-800 IHC-F=1:400-800 ICC=1:100-500 IF=1:200-800 (石蜡切片需做抗原修复) not yet tested in other applications. optimal dilutions/concentrations should be determined by the end user. |
| 分 子 量 | 259kDa |
| 细胞定位 | 细胞外基质 分泌型蛋白 |
| 性 状 | Lyophilized or Liquid |
| 浓 度 | 1mg/ml |
| 免 疫 原 | KLH conjugated synthetic peptide derived from human Fibronectin/Ugl-Y3:1201-1300/2386 |
| 亚 型 | IgG |
| 纯化方法 | affinity purified by Protein A |
| 储 存 液 | 0.01M TBS(pH7.4) with 1% BSA, 0.03% Proclin300 and 50% Glycerol. |
| 保存条件 | Store at -20 °C for one year. Avoid repeated freeze/thaw cycles. The lyophilized antibody is stable at room temperature for at least one month and for greater than a year when kept at -20°C. When reconstituted in sterile pH 7.4 0.01M PBS or diluent of antibody the antibody is stable for at least two weeks at 2-4 °C. |
| PubMed | PubMed |
| 产品介绍 | background: This gene encodes fibronectin, a glycoprotein present in a soluble dimeric form in plasma, and in a dimeric or multimeric form at the cell surface and in extracellular matrix. Fibronectin is involved in cell adhesion and migration processes including embryogenesis, wound healing, blood coagulation, host defense, and metastasis. The gene has three regions subject to alternative splicing, with the potential to produce 20 different transcript variants. However, the full-length nature of some variants has not been determined. [provided by RefSeq, Jul 2008]. Function: Fibronectins bind cell surfaces and various compounds including collagen, fibrin, heparin, DNA, and actin. Fibronectins are involved in cell adhesion, cell motility, opsonization, wound healing, and maintenance of cell shape. Anastellin binds fibronectin and induces fibril formation. This fibronectin polymer, named superfibronectin, exhibits enhanced adhesive properties. Both anastellin and superfibronectin inhibit tumor growth, angiogenesis and metastasis. Anastellin activates p38 MAPK and inhibits lysophospholipid signaling. Subunit: Mostly heterodimers or multimers of alternatively spliced variants, connected by 2 disulfide bonds near the carboxyl ends; to a lesser extent homodimers. Interacts with FBLN1, AMBP, TNR, LGALS3BP and COL13A1. Interacts with FBLN7. Interacts with COMP. Interacts with S.aureus fnbA. Interacts with TNR; the interaction inhibits cell adhesion and neurite outgrowth. Interacts with FST3. Subcellular Location: Secreted, extracellular space, extracellular matrix. Tissue Specificity: Plasma FN (soluble dimeric form) is secreted by hepatocytes. Cellular FN (dimeric or cross-linked multimeric forms), made by fibroblasts, epithelial and other cell types, is deposited as fibrils in the extracellular matrix. Ugl-Y1, Ugl-Y2 and Ugl-Y3 are found in urine. Post-translational modifications: Sulfated. It is not known whether both or only one of Thr-2064 and Thr-2065 are/is glycosylated. Forms covalent cross-links mediated by a transglutaminase, such as F13A or TGM2, between a glutamine and the epsilon-amino group of a lysine residue, forming homopolymers and heteropolymers (e.g. fibrinogen-fibronectin, collagen-fibronectin heteropolymers). Phosphorylation sites are present in the extracellular medium. Proteolytic processing produces the C-terminal NC1 peptide, anastellin. DISEASE: Defects in FN1 are the cause of glomerulopathy with fibronectin deposits type 2 (GFND2) [MIM:601894]; also known as familial glomerular nephritis with fibronectin deposits or fibronectin glomerulopathy. GFND is a genetically heterogeneous autosomal dominant disorder characterized clinically by proteinuria, microscopic hematuria, and hypertension that leads to end-stage renal failure in the second to fifth decade of life. Similarity: Contains 12 fibronectin type-I domains. Contains 2 fibronectin type-II domains. Contains 16 fibronectin type-III domains. SWISS: P11276 Gene ID: 2335 Database links: Entrez Gene: 280794 Cow Entrez Gene: 2335 Human Entrez Gene: 14268 Mouse Entrez Gene: 25661 Rat Omim: 135600 Human SwissProt: P07589 Cow SwissProt: P02751 Human SwissProt: P11276 Mouse Important Note: This product as supplied is intended for research use only, not for use in human, therapeutic or diagnostic applications. 细胞粘附蛋白(Call Adhesion Protein) FaN(Fibronectin)是一种细胞粘附蛋白,参与细胞粘附,分化,移动,伤口愈合,凝血和机体防卫。主要分布于结缔组织及大部分基底膜上,作为判断良恶性上皮源性肿瘤(如乳腺癌等)的一个主要参考指标,亦可作为恶性肿瘤转移和病人预后的判断指标 |
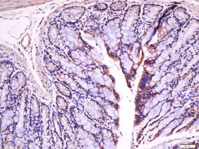
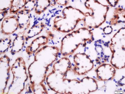
| 产品图片 | ![]() Tissue/cell: rat intestine tissue; 4% Paraformaldehyde-fixed and paraffin-embedded; Antigen retrieval: citrate buffer ( 0.01M, pH 6.0 ), Boiling bathing for 15min; Block endogenous peroxidase by 3% Hydrogen peroxide for 30min; Blocking buffer (normal goat serum,C-0005) at 37℃ for 20 min; Incubation: Anti-Fibronectin/FN1 Polyclonal Antibody, Unconjugated(bs-0666R) 1:500, overnight at 4°C, followed by conjugation to the secondary antibody(SP-0023) and DAB(C-0010) staining ![]() Tissue/cell: human kidney tissue; 4% Paraformaldehyde-fixed and paraffin-embedded; Antigen retrieval: citrate buffer ( 0.01M, pH 6.0 ), Boiling bathing for 15min; Block endogenous peroxidase by 3% Hydrogen peroxide for 30min; Blocking buffer (normal goat serum,C-0005) at 37℃ for 20 min; Incubation: Anti-Fibronectin/FN1 Polyclonal Antibody, Unconjugated(bs-0666R) 1:500, overnight at 4°C, followed by conjugation to the secondary antibody(SP-0023) and DAB(C-0010) staining ![]() Tissue/cell: HepG2 cell; 4% Paraformaldehyde-fixed; Triton X-100 at room temperature for 20 min; Block endogenous peroxidase by 3% hydrogen peroxide for 20 minutes; Blocking buffer (normal goat serum) at 37°C for 30min; Antibody incubation with (Fibronectin/FN1) Polyclonal Antibody, Unconjugated (bs-0666R) at 1:400 overnight at 4°C, followed by operating according to SP Kit(Rabbit) (sp-0023) instructionsand DAB staining. ![]() Paraformaldehyde-fixed, paraffin embedded (Rat colon); Antigen retrieval by boiling in sodium citrate buffer (pH6.0) for 15min; Block endogenous peroxidase by 3% hydrogen peroxide for 20 minutes; Blocking buffer (normal goat serum) at 37°C for 30min; Incubation: Anti-Fibronectin Antibody, conjugated (bs-0666R-AF647) 1:400, 1.5 hours at 37°C; DAPI (5ug/ml, blue, C-0033) was used to stain the cell nuclei. ![]() Paraformaldehyde-fixed, paraffin embedded (Rat colon); Antigen retrieval by boiling in sodium citrate buffer (pH6.0) for 15min; Block endogenous peroxidase by 3% hydrogen peroxide for 20 minutes; Blocking buffer (normal goat serum) at 37°C for 30min; Incubation: Anti-Fibronectin Polyclonal Antibody, conjugated (bs-0666R-AF647) 1:400, 1.5 hours at 37°C; DAPI (5ug/ml, blue, C-0033) was used to stain the cell nuclei. |
风险提示:丁香通仅作为第三方平台,为商家信息发布提供平台空间。用户咨询产品时请注意保护个人信息及财产安全,合理判断,谨慎选购商品,商家和用户对交易行为负责。对于医疗器械类产品,请先查证核实企业经营资质和医疗器械产品注册证情况。
文献和实验Generation of Antibody Molecules Through Antibody Engineering
been overcome to a large extent using genetic-engineering techniques to produce chimeric mouse/human and completely human antibodies. Such an approach is particularly suitable because of the domain structure of the antibody molecule ( 2 ), where functional
The importance of antibody molecules was first recognized in the 1890s, when it was shown that immunity to tetanus and diphtheria was caused by antibodies against the bacterial exotoxins (1 ). Around the same time, it was shown that antisera
General comments: Antibodies, like most proteins, do not like to be freeze-thawed. Avoid repetitive freezing of your solution. The best way to store your antibody is to keep a high protein concentration (>1 mg/ml), add some protease
技术资料暂无技术资料 索取技术资料
















