相关产品推荐更多 >
万千商家帮你免费找货
0 人在求购买到急需产品
- 详细信息
- 技术资料
- 供应商:
上海康朗生物科技有限公司
- 库存:
大量
- 目录编号:
kl-6853R
- 克隆性:
多克隆
- 抗原来源:
Rabbit
- 保质期:
12个月
- 抗体英文名:
PIWIL4 antibody
- 抗体名:
piwi样4蛋白抗体
- 宿主:
Rabbit
- 适应物种:
Human, Mouse, Rat, Dog, Cow, Horse, Rabbit, Sheep, Monkey,
- 免疫原:
KLH conjugated synthetic peptide derived from human PIWIL4:751-852/852
- 亚型:
IgG
- 形态:
冻干粉或液体
- 应用范围:
WB=1:500-2000 ELISA=1:500-1000 IHC-P=1:400-800 IHC-F=1:400-800 IF=1:100-500
- 浓度:
1mg/ml
- 保存条件:
-20 °C
- 规格:
100ul 200ul
PIWIL4 antibody
| 中文名称 | piwi样4蛋白抗体 |
| 别 名 | HILI 2; HILI2; HIWI 2; HIWI2; Miwi 2 protein; Miwi2; PIWI; Piwi like 2; Piwi like 4 (Drosophila); Piwi like 4; Piwi like protein 4; PIWI like protein; Piwi-like protein 4; PIWIL 4; Piwil4; PIWL4_HUMAN. |
| 规格价格 | 100ul/1380元 购买 200ul/2200元 购买 大包装/询价 |
| 说 明 书 | 100ul 200ul |
| 研究领域 | 细胞生物 发育生物学 染色质和核信号 转录调节因子 表观遗传学 |
| 抗体来源 | Rabbit |
| 克隆类型 | Polyclonal |
| 交叉反应 | Human, Mouse, Rat, Dog, Cow, Horse, Rabbit, Sheep, Monkey, |
| 产品应用 | WB=1:500-2000 ELISA=1:500-1000 IHC-P=1:400-800 IHC-F=1:400-800 IF=1:100-500 (石蜡切片需做抗原修复) not yet tested in other applications. optimal dilutions/concentrations should be determined by the end user. |
| 分 子 量 | 94kDa |
| 细胞定位 | 细胞核 细胞浆 |
| 性 状 | Lyophilized or Liquid |
| 浓 度 | 1mg/ml |
| 免 疫 原 | KLH conjugated synthetic peptide derived from human PIWIL4:751-852/852 |
| 亚 型 | IgG |
| 纯化方法 | affinity purified by Protein A |
| 储 存 液 | 0.01M TBS(pH7.4) with 1% BSA, 0.03% Proclin300 and 50% Glycerol. |
| 保存条件 | Store at -20 °C for one year. Avoid repeated freeze/thaw cycles. The lyophilized antibody is stable at room temperature for at least one month and for greater than a year when kept at -20°C. When reconstituted in sterile pH 7.4 0.01M PBS or diluent of antibody the antibody is stable for at least two weeks at 2-4 °C. |
| PubMed | PubMed |
| 产品介绍 | background: PIWIL4 belongs to the Argonaute family of proteins, which function in development and maintenance of germline stem cells. Plays a central role during spermatogenesis by repressing transposable elements and prevent their mobilization, which is essential for the germline integrity. Acts via the piRNA metabolic process, which mediates the repression of transposable elements during meiosis by forming complexes composed of piRNAs and Piwi proteins and govern the methylation and subsequent repression of transposons. Directly binds piRNAs, a class of 24 to 30 nucleotide RNAs that are generated by a Dicer-independent mechanism and are primarily derived from transposons and other repeated sequence elements. Associates with secondary piRNAs antisense and PIWIL2/MILI is required for such association. The piRNA process acts upstream of known mediators of DNA methylation. Participates to a piRNA amplification loop. Besides their function in transposable elements repression, piRNAs are probably involved in other processes during meiosis such as translation regulation. May be involved in the chromatin-modifying pathway by inducing 'Lys-9' methylation of histone H3 at some loci. Function: Plays a central role during spermatogenesis by repressing transposable elements and prevent their mobilization, which is essential for the germline integrity. Acts via the piRNA metabolic process, which mediates the repression of transposable elements during meiosis by forming complexes composed of piRNAs and Piwi proteins and govern the methylation and subsequent repression of transposons. Directly binds piRNAs, a class of 24 to 30 nucleotide RNAs that are generated by a Dicer-independent mechanism and are primarily derived from transposons and other repeated sequence elements. Associates with secondary piRNAs antisense and PIWIL2/MILI is required for such association. The piRNA process acts upstream of known mediators of DNA methylation. Participates in a piRNA amplification loop. Besides their function in transposable elements repression, piRNAs are probably involved in other processes during meiosis such as translation regulation. May be involved in the chromatin-modifying pathway by inducing 'Lys-9' methylation of histone H3 at some loci. Subunit: Interacts with PRMT5 and WDR77. Interacts (when methylated on arginine residues) with TDRD1, TDRKH/TDRD2 and TDRD9. Subcellular Location: Nucleus. Cytoplasm. Note=Probable component of the meiotic nuage, also named P granule, a germ-cell-specific organelle required to repress transposon during meiosis. PIWIL2/MILI is required for nuclear localization. Tissue Specificity: Expressed in testis. According to PubMed:17544373, it is ubiquitously expressed. Post-translational modifications: Arginine methylation by PRMT5 is required for the interaction with Tudor domain-containing protein (TDRD1, TDRKH/TDRD2 and TDRD9) and subsequent localization to the meiotic nuage, also named P granule. Similarity: Belongs to the argonaute family. Piwi subfamily. Contains 1 PAZ domain. Contains 1 Piwi domain. SWISS: Q7Z3Z4 Gene ID: 143689 Database links: UniProtKB/Swiss-Prot: Q7Z3Z4.2 Important Note: This product as supplied is intended for research use only, not for use in human, therapeutic or diagnostic applications. |
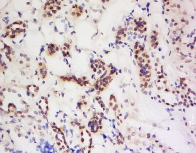
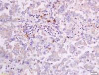
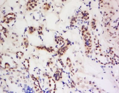
| 产品图片 | ![]() Tissue/cell: human kidney tissue; 4% Paraformaldehyde-fixed and paraffin-embedded; Antigen retrieval: citrate buffer ( 0.01M, pH 6.0 ), Boiling bathing for 15min; Block endogenous peroxidase by 3% Hydrogen peroxide for 30min; Blocking buffer (normal goat serum,C-0005) at 37℃ for 20 min; Incubation: Anti-PIWIL4 Polyclonal Antibody, Unconjugated(bs-6853R) 1:200, overnight at 4°C, followed by conjugation to the secondary antibody(SP-0023) and DAB(C-0010) staining |
风险提示:丁香通仅作为第三方平台,为商家信息发布提供平台空间。用户咨询产品时请注意保护个人信息及财产安全,合理判断,谨慎选购商品,商家和用户对交易行为负责。对于医疗器械类产品,请先查证核实企业经营资质和医疗器械产品注册证情况。
技术资料暂无技术资料 索取技术资料
PIWIL4 antibody
¥1380 - 2200










