相关产品推荐更多 >
万千商家帮你免费找货
0 人在求购买到急需产品
- 详细信息
- 文献和实验
- 技术资料
- 供应商:
上海康朗生物科技有限公司
- 库存:
大量
- 目录编号:
kl-0164R
- 克隆性:
多克隆
- 抗原来源:
Rabbit
- 保质期:
12个月
- 抗体英文名:
BACE1 antibody
- 抗体名:
β分泌酶抗体
- 宿主:
Rabbit
- 适应物种:
Human, Mouse, Rat, Chicken, Dog, Pig, Rabbit, Guinea Pig,
- 免疫原:
KLH conjugated synthetic peptide derived from human BACE1:401-501/501
- 亚型:
IgG
- 形态:
冻干粉或液体
- 应用范围:
WB=1:500-2000 ELISA=1:500-1000 IHC-P=1:400-800 IHC-F=1:400-800 ICC=1:100-500 IF=1:100-500
- 浓度:
1mg/ml
- 保存条件:
-20 °C
- 规格:
50ul 100ul 200ul
| 中文名称 | β分泌酶抗体 |
| 别 名 | APP beta secretase; Asp 2; ASP2; Aspartyl protease 2; BACE 1; BACE; Beta secretase 1; Beta secretase; Beta site amyloid beta A4 precursor protein cleaving enzyme; Beta site amyloid precursor protein cleaving enzyme 1; Beta site amyloid precursor protein cleaving enzyme; Beta site APP cleaving enzyme 1; Beta site APP cleaving enzyme; FLJ90568; HSPC104; KIAA1149; Memapsin-2; Memapsin 2; Memapsin2; Membrane associated aspartic protease 2; Transmembrane aspartic proteinase Asp2; BACE1_HUMAN; Beta-secretase 1; Beta-site amyloid precursor protein cleaving enzyme 1; Beta-site APP cleaving enzyme 1; Membrane-associated aspartic protease 2. |
![]() |
Specific References (4) | bs-0164R has been referenced in 4 publications. [IF=2.20] Tian, Yue, et al. "Minocycline Alleviates Sevoflurane-Induced Cognitive Impairment in Aged Rats." Cellular and Molecular Neurobiology (2015): 1-10. WB ; Rat. PubMed:25585814 [IF=2.59] Hong, Yan, et al. "Effects of RAGE-Specific Inhibitor FPS-ZM1 on Amyloid-β Metabolism and AGEs-Induced Inflammation and Oxidative Stress in Rat Hippocampus." Neurochemical Research: 1-8. WB ; Rat. PubMed:26738988 [IF=5.58] Yan, Wei, et al. "NO2 inhalation promotes Alzheimer’s disease-like progression: cyclooxygenase-2-derived prostaglandin E2 modulation and monoacylglycerol lipase inhibition-targeted medication." Scientific Reports 6 (2016): 22429. WB ; Mouse. PubMed:26928013 [IF=5.11] Jiao, Yanan, et al. "Osthole decreases beta amyloid levels through up-regulation of miR-107 in Alzheimer's disease." Neuropharmacology (2016). IHC-F ; Mouse. PubMed:27143098 |
| 规格价格 | 50ul/780元 购买 100ul/1380元 购买 200ul/2200元 购买 大包装/询价 |
| 说 明 书 | 50ul 100ul 200ul |
| 研究领域 | 神经生物学 信号转导 细胞凋亡 激酶和磷酸酶 合成与降解 Alzheimer's |
| 抗体来源 | Rabbit |
| 克隆类型 | Polyclonal |
| 交叉反应 | Human, Mouse, Rat, Chicken, Dog, Pig, Rabbit, Guinea Pig, |
| 产品应用 | WB=1:500-2000 ELISA=1:500-1000 IHC-P=1:400-800 IHC-F=1:400-800 ICC=1:100-500 IF=1:100-500 (石蜡切片需做抗原修复) not yet tested in other applications. optimal dilutions/concentrations should be determined by the end user. |
| 分 子 量 | 51kDa |
| 细胞定位 | 细胞浆 细胞膜 |
| 性 状 | Lyophilized or Liquid |
| 浓 度 | 1mg/ml |
| 免 疫 原 | KLH conjugated synthetic peptide derived from human BACE1:401-501/501 |
| 亚 型 | IgG |
| 纯化方法 | affinity purified by Protein A |
| 储 存 液 | 0.01M TBS(pH7.4) with 1% BSA, 0.03% Proclin300 and 50% Glycerol. |
| 保存条件 | Store at -20 °C for one year. Avoid repeated freeze/thaw cycles. The lyophilized antibody is stable at room temperature for at least one month and for greater than a year when kept at -20°C. When reconstituted in sterile pH 7.4 0.01M PBS or diluent of antibody the antibody is stable for at least two weeks at 2-4 °C. |
| PubMed | PubMed |
| 产品介绍 | background: Cerebral deposition of amyloid beta peptide is an early and critical feature of Alzheimer's disease. Amyloid beta peptide is generated by proteolytic cleavage of amyloid precursor protein(APP) by two proteases, one of which is the protein encoded by this gene. The encoded protein, a member of the peptidase A1 protein family, is a type I integral membrane glycoprotein and aspartic protease that is found mainly in the Golgi. Multiple transcript variants encoding different isoforms have been described for this gene. [provided by RefSeq]. Function: Responsible for the proteolytic processing of the amyloid precursor protein (APP). Cleaves at the N-terminus of the A-beta peptide sequence, between residues 671 and 672 of APP, leads to the generation and extracellular release of beta-cleaved soluble APP, and a corresponding cell-associated C-terminal fragment which is later released by gamma-secretase. Subunit: Responsible for the proteolytic processing of the amyloid precursor protein (APP). Cleaves at the N-terminus of the A-beta peptide sequence, between residues 671 and 672 of APP, leads to the generation and extracellular release of beta-cleaved soluble APP, and a corresponding cell-associated C-terminal fragment which is later released by gamma-secretase. Subcellular Location: Membrane. Tissue Specificity: Expressed at high levels in the brain and pancreas. In the brain, expression is highest in the substantia nigra, locus coruleus and medulla oblongata. Post-translational modifications: Glycosylated. Similarity: Belongs to the peptidase A1 family. SWISS: P56817 Gene ID: 23621 Database links: Entrez Gene: 23621 Human Entrez Gene: 23821 Mouse Entrez Gene: 29392 Rat Omim: 604252 Human SwissProt: P56817 Human SwissProt: P56818 Mouse SwissProt: P56819 Rat Unigene: 504003 Human Unigene: 24044 Mouse Unigene: 207201 Rat Important Note: This product as supplied is intended for research use only, not for use in human, therapeutic or diagnostic applications. |
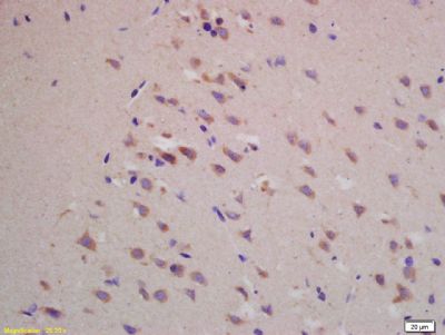
| 产品图片 | ![]() Sample: Muscle (Mouse) Lysate at 30ug Primary: Anti- BACE1 (bs-0164R) at 1/300 dilution Secondary: IRDye800CW Goat Anti-Rabbit IgG at 1/10000 dilution Predicted band size: 51 kD Observed band size: 51 kD ![]() Paraformaldehyde-fixed, paraffin embedded (rat brain tissue); Antigen retrieval by boiling in sodium citrate buffer (pH6.0) for 15min; Block endogenous peroxidase by 3% hydrogen peroxide for 20 minutes; Blocking buffer (normal goat serum) at 37°C for 30min; Antibody incubation with (BACE1) Polyclonal Antibody, Unconjugated (bs-0164R) at 1:400 overnight at 4°C, followed by a conjugated secondary (sp-0023) for 20 minutes and DAB staining. ![]() Blank control (blue line): MCF7(blue)(The cells were fixed with 2% paraformaldehyde for 10 min at room temperature) Primary Antibody (green line): Rabbit Anti-BACE1 antibody(bs-0164R) ;Dilution: 1μg /10^6 cells; Isotype Control Antibody (orange line): Rabbit IgG . Secondary Antibody (white blue line): Goat anti-rabbit IgG-PE;Dilution: 1μg /test. |
风险提示:丁香通仅作为第三方平台,为商家信息发布提供平台空间。用户咨询产品时请注意保护个人信息及财产安全,合理判断,谨慎选购商品,商家和用户对交易行为负责。对于医疗器械类产品,请先查证核实企业经营资质和医疗器械产品注册证情况。
文献和实验Generation of Antibody Molecules Through Antibody Engineering
been overcome to a large extent using genetic-engineering techniques to produce chimeric mouse/human and completely human antibodies. Such an approach is particularly suitable because of the domain structure of the antibody molecule ( 2 ), where functional
The importance of antibody molecules was first recognized in the 1890s, when it was shown that immunity to tetanus and diphtheria was caused by antibodies against the bacterial exotoxins (1 ). Around the same time, it was shown that antisera
General comments: Antibodies, like most proteins, do not like to be freeze-thawed. Avoid repetitive freezing of your solution. The best way to store your antibody is to keep a high protein concentration (>1 mg/ml), add some protease
技术资料暂无技术资料 索取技术资料














