相关产品推荐更多 >
万千商家帮你免费找货
0 人在求购买到急需产品
- 详细信息
- 技术资料
- 供应商:
上海康朗生物科技有限公司
- 库存:
大量
- 目录编号:
kl-0036R
- 克隆性:
多克隆
- 抗原来源:
Rabbit
- 保质期:
12个月
- 抗体英文名:
phospho-CREB-1(Ser133) antibody
- 抗体名:
phospho-CREB-1(Ser133) antibody
- 宿主:
Rabbit
- 适应物种:
Human
- 免疫原:
KLH conjugated synthetic peptide derived from human Nestin:801-900/1621
- 亚型:
IgG
- 形态:
冻干粉或液体
- 应用范围:
ELISA=1:500-1000 IHC-P=1:400-800 IHC-F=1:400-800 IF=1:100-500
- 浓度:
1mg/ml
- 保存条件:
-20 °C
- 规格:
100ul
phospho-CREB-1(Ser133) antibody
| 中文名称 | 磷酸化CREB-1抗体 |
| 别 名 | CREB(Phospho-Ser133); p-CREB-1(Ser133); CREB (phospho S133); pCREB-1(Ser133); p-CREB (phospho S133); Active transcription factor CREB; cAMP response element binding protein; cAMP responsive element binding protein 1; CREB1; CREB 1; CREB1; MGC9284; Transactivator protein; CREB; CREB1_HUMAN. |
| 规格价格 | 100ul/1580元 购买 大包装/询价 |
| 说 明 书 | 100ul |
| 产品类型 | 磷酸化抗体 |
| 研究领域 | 免疫学 染色质和核信号 信号转导 转录调节因子 |
| 抗体来源 | Rabbit |
| 克隆类型 | Polyclonal |
| 交叉反应 | Human, Mouse, Rat, Chicken, Dog, Pig, Cow, Sheep, |
| 产品应用 | WB=1:500-2000 ELISA=1:500-1000 IHC-P=1:400-800 IHC-F=1:400-800 Flow-Cyt=1μg/Test IF=1:100-500 (石蜡切片需做抗原修复) not yet tested in other applications. optimal dilutions/concentrations should be determined by the end user. |
| 分 子 量 | 37kDa |
| 细胞定位 | 细胞核 |
| 性 状 | Lyophilized or Liquid |
| 浓 度 | 1mg/ml |
| 免 疫 原 | KLH conjugated Synthesised phosphopeptide derived from human CREB-1 around the phosphorylation site of Ser133 [RP(p-S)YR]:RP(p-S)YR |
| 亚 型 | IgG |
| 纯化方法 | affinity purified by Protein A |
| 储 存 液 | 0.01M TBS(pH7.4) with 1% BSA, 0.03% Proclin300 and 50% Glycerol. |
| 保存条件 | Store at -20 °C for one year. Avoid repeated freeze/thaw cycles. The lyophilized antibody is stable at room temperature for at least one month and for greater than a year when kept at -20°C. When reconstituted in sterile pH 7.4 0.01M PBS or diluent of antibody the antibody is stable for at least two weeks at 2-4 °C. |
| PubMed | PubMed |
| 产品介绍 | background: The ATF/CREB family consists of transcription factors that function through binding to the cAMP responsive element (CRE) palindromic octanucleotide, TGACCTCA. The best characterized members of this gene family include CREB-1, CREB-2, ATF-1,ATF-2,ATF-3and ATF-4. these transcription factors share highly-related COOH terminal leucine zipper demerization and basic DNA bindings but are highly divergent in their amino terminal domains. Although each of the ATF/CREB proteins bind CREs in their homodimeric form, in cerain instances they also bind as heterodimers, both within the ATF/CREB family and with members of the AP-1 transcription factor family. It has recentlybeen shown that protein kinase A-mediated CREB phosphorylation results in its binding to a 265kDa nuclear protein designated CBP (CREB-binding protein), which may reprecent a CREB co-activator. Function: Phosphorylation-dependent transcription factor that stimulates transcription upon binding to the DNA cAMP response element (CRE), a sequence present in many viral and cellular promoters. Transcription activation is enhanced by the TORC coactivators which act independently of Ser-133 phosphorylation. Involved in different cellular processes including the synchronization of circadian rhythmicity and the differentiation of adipose cells.independently of Ser-133 phosphorylation. Involved in different cellular processes including the synchronization of circadian rhythmicity and the differentiation of adipose cells. [SUBUNIT] Interacts with PPRC1. Binds DNA as a dimer. This dimer is stabilized by magnesium ions. Interacts, through the bZIP domain, with the coactivators TORC1/CRTC1, TORC2/CRTC2 and TORC3/CRTC3. When phosphorylated on Ser-133, binds CREBBP (By similarity). Interacts with CREBL2; regulates CREB1 phosphorylation, stability and transcriptional activity (By similarity). Interacts (phosphorylated form) with TOX3. Interacts with ARRB1. Binds to HIPK2. Interacts with SGK1. Subunit: Interacts with PPRC1. Binds DNA as a dimer. This dimer is stabilized by magnesium ions. Interacts, through the bZIP domain, with the coactivators TORC1/CRTC1, TORC2/CRTC2 and TORC3/CRTC3. When phosphorylated on Ser-133, binds CREBBP (By similarity). Interacts with CREBL2; regulates CREB1 phosphorylation, stability and transcriptional activity (By similarity). Interacts (phosphorylated form) with TOX3. Interacts with ARRB1. Binds to HIPK2. Interacts with SGK1. Subcellular Location: Nucleus. Post-translational modifications: Stimulated by phosphorylation. Phosphorylation of both Ser-133 and Ser-142 in the SCN regulates the activity of CREB and participates in circadian rhythm generation. Phosphorylation of Ser-133 allows CREBBP binding (By similarity). CREBL2 positively regulates phosphorylation at Ser-133 thereby stimulating CREB1 transcriptional activity (By similarity). Phosphorylated upon DNA damage, probably by ATM or ATR. Phosphorylated upon calcium influx by CaMK4 and CaMK2 on Ser-133. CaMK4 is much more potent than CaMK2 in activating CREB. Phosphorylated by CaMK2 on Ser-142. Phosphorylation of Ser-142 blocks CREB-mediated transcription even when Ser-133 is phosphorylated. Phosphorylated by CaMK1 (By similarity). Phosphorylation of Ser-271 by HIPK2 in response to genotoxic stress promotes CREB1 activity, facilitating the recruitment of the coactivator CBP. Phosphorylated at Ser-133 by RPS6KA3, RPS6KA4 and RPS6KA5 in response to mitogenic or stress stimuli. Sumoylated with SUMO1. Sumoylation on Lys-304, but not on Lys-285, is required for nuclear localization of this protein. Sumoylation is enhanced under hypoxia, promoting nuclear localization and stabilization. DISEASE: Defects in CREB1 may be a cause of angiomatoid fibrous histiocytoma (AFH) [MIM:612160]. A distinct variant of malignant fibrous histiocytoma that typically occurs in children and adolescents and is manifest by nodular subcutaneous growth. Characteristic microscopic features include lobulated sheets of histiocyte-like cells intimately associated with areas of hemorrhage and cystic pseudovascular spaces, as well as a striking cuffing of inflammatory cells, mimicking a lymph node metastasis. Note=A chromosomal aberration involving CREB1 is found in a patient with angiomatoid fibrous histiocytoma. Translocation t(2;22)(q33;q12) with CREB1 generates a EWSR1/CREB1 fusion gene that is most common genetic abnormality in this tumor type. Note=A CREB1 mutation has been found in a patient with multiple congenital anomalies consisting of agenesis of the corpus callosum, cerebellar hypoplasia, severe neonatal respiratory distress refractory to surfactant, thymus hypoplasia, and thyroid follicular hypoplasia (PubMed:22267179). Similarity: Belongs to the bZIP family. Contains 1 bZIP domain. Contains 1 KID (kinase-inducible) domain. SWISS: P16220 Gene ID: 1385 Database links: Entrez Gene: 281713 Cow Entrez Gene: 1385 Human Entrez Gene: 12912 Mouse Entrez Gene: 81646 Rat Omim: 123810 Human SwissProt: P27925 Cow SwissProt: P16220 Human SwissProt: Q01147 Mouse SwissProt: P15337 Rat Unigene: 516646 Human Unigene: 453295 Mouse Unigene: 90061 Rat Important Note: This product as supplied is intended for research use only, not for use in human, therapeutic or diagnostic applications. 磷酸化环腺苷酸应答元件结合蛋白(p-cAMP responsive element binding protein-1, p-CREB-1)是真核细胞转录因子,属于ATF/CREB家族。参与由cAMP或某些病毒蛋白质所诱导基因转录的调节。 |
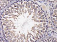
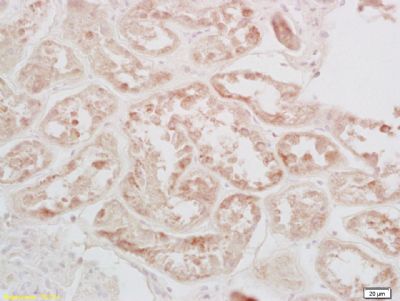
| 产品图片 | ![]() Sample: Hela(Human) Cell Lysate at 30 ug Hela-UV(Human) Cell Lysate at 30 ug 293T(Human) Cell Lysate at 30 ug 293T-UV(Human) Cell Lysate at 30 ug Primary: Anti-phospho-CREB-1(Ser133) (bs-0036R) at 1/1000 dilution Secondary: IRDye800CW Goat Anti-Rabbit IgG at 1/20000 dilution Predicted band size: 337 kD Observed band size: 35 kD ![]() Sample: U251 Cell lysate at 30 ug; Primary: Anti- phospho-CREB-1(Ser133) (bs-0036R) at 1:300 dilution; Secondary: IRDye800CW Goat Anti-Rabbit IgG at 1/20000 dilution Predicted band size:35kD Observed band size:37kD ![]() Tissue/cell:bs-0036R human kidney tissue; 4% Paraformaldehyde-fixed and paraffin-embedded; Antigen retrieval: citrate buffer ( 0.01M, pH 6.0 ), Boiling bathing for 15min; Block endogenous peroxidase by 3% Hydrogen peroxide for 30min; Blocking buffer (normal goat serum,C-0005) at 37℃ for 20 min; Incubation: Anti-phospho-CREB-1(Ser133) Polyclonal Antibody, Unconjugated(bs-0036R) 1:200, overnight at 4°C, followed by conjugation to the secondary antibody(SP-0023) and DAB(C-0010) staining ![]() Tissue/cell: rat brain tissue;4% Paraformaldehyde-fixed and paraffin-embedded; Antigen retrieval: citrate buffer ( 0.01M, pH 6.0 ), Boiling bathing for 15min; Blocking buffer (normal goat serum,C-0005) at 37℃ for 20 min; Incubation: Anti-phospho-CREB-1(Ser133) Polyclonal Antibody, Unconjugated(bs-0036R) 1:200, overnight at 4°C; The secondary antibody was Goat Anti-Rabbit IgG, Cy3 conjugated (bs-0295G-Cy3)used at 1:200 dilution for 40 minutes at 37°C. DAPI(5ug/ml,blue,C-0033) was used to stain the cell nuclei ![]() Blank control: RSC96(blue), the cells were fixed with 2% paraformaldehyde (10 min) and then permeabilized with ice-cold 90% methanol for 30 min on ice. Isotype Control Antibody: Rabbit IgG(orange) ; Secondary Antibody: Goat anti-rabbit IgG-PE(white blue), Dilution: 1:200 in 1 X PBS containing 0.5% BSA ; Primary Antibody Dilution: 1μg in 100 μL1X PBS containing 0.5% BSA(green). |
风险提示:丁香通仅作为第三方平台,为商家信息发布提供平台空间。用户咨询产品时请注意保护个人信息及财产安全,合理判断,谨慎选购商品,商家和用户对交易行为负责。对于医疗器械类产品,请先查证核实企业经营资质和医疗器械产品注册证情况。
技术资料暂无技术资料 索取技术资料
phospho-CREB-1(Ser133) antibody
¥1580














