相关产品推荐更多 >
万千商家帮你免费找货
0 人在求购买到急需产品
- 详细信息
- 技术资料
- 供应商:
上海康朗生物科技有限公司
- 库存:
大量
- 目录编号:
kl-9576R
- 克隆性:
多克隆
- 抗原来源:
Rabbit
- 保质期:
12个月
- 抗体英文名:
Copine-6 antibody
- 抗体名:
神经网蛋白CopineVI抗体
- 宿主:
Rabbit
- 适应物种:
Human, Mouse, Rat, Pig, Horse, Rabbit, Sheep,
- 免疫原:
KLH conjugated synthetic peptide derived from human Copine-6 (201-300aa):221-320/557
- 亚型:
IgG
- 形态:
冻干粉或液体
- 应用范围:
ELISA=1:500-1000 IHC-P=1:400-800 IHC-F=1:400-800 ICC=1:100-500 IF=1:100-500
- 浓度:
1mg/ml
- 保存条件:
-20 °C
- 规格:
100ul 200ul
Copine-6 antibody
| 中文名称 | 神经网蛋白CopineVI抗体 |
| 别 名 | Copine 6; Copine VI (neuronal); Copine VI; Copine-6; Copine6; CopineVI; CPNE 6; Cpne6; CPNE6_HUMAN; N copine; N-copine; Neuronal copine; Neuronal-copine. |
| 规格价格 | 100ul/1380元 购买 200ul/2200元 购买 大包装/询价 |
| 说 明 书 | 100ul 200ul |
| 研究领域 | 细胞生物 神经生物学 |
| 抗体来源 | Rabbit |
| 克隆类型 | Polyclonal |
| 交叉反应 | Human, Mouse, Rat, Pig, Horse, Rabbit, Sheep, |
| 产品应用 | ELISA=1:500-1000 IHC-P=1:400-800 IHC-F=1:400-800 ICC=1:100-500 IF=1:100-500 (石蜡切片需做抗原修复) not yet tested in other applications. optimal dilutions/concentrations should be determined by the end user. |
| 分 子 量 | 62kDa |
| 细胞定位 | 细胞浆 细胞膜 |
| 性 状 | Lyophilized or Liquid |
| 浓 度 | 1mg/ml |
| 免 疫 原 | KLH conjugated synthetic peptide derived from human Copine-6 (201-300aa):221-320/557 |
| 亚 型 | IgG |
| 纯化方法 | affinity purified by Protein A |
| 储 存 液 | 0.01M TBS(pH7.4) with 1% BSA, 0.03% Proclin300 and 50% Glycerol. |
| 保存条件 | Store at -20 °C for one year. Avoid repeated freeze/thaw cycles. The lyophilized antibody is stable at room temperature for at least one month and for greater than a year when kept at -20°C. When reconstituted in sterile pH 7.4 0.01M PBS or diluent of antibody the antibody is stable for at least two weeks at 2-4 °C. |
| PubMed | PubMed |
| 产品介绍 | background: Copine 6 is a 557 amino acid member of the copine family of evolutionarily conserved, soluble, calcium-dependent, membrane-binding proteins. Members of the copine family are involved in signal transduction and membrane trafficking. Arabidopsis thaliana mutants lacking copine proteins exhibit reduced cell number and smaller cell size, effects which may be due to a defect in vesicle fusion or transport. Copine 6 contains two N-terminal C2 domains and one C-terminal VWFA (von Willebrand factor A) domain, which is also referred to as the A domain or the core domain. As is characteristic of the copine family, copine 6 functions in membrane trafficking and is capable of binding phospholipids in a calcium-dependent manner. Copine 6 may also play a role in synaptic plasticity. Function: May function in membrane trafficking. Exhibits calcium-dependent phospholipid binding properties. May have a role in synaptic plasticity. Similarity: Belongs to the copine family. Contains 2 C2 domains. Contains 1 VWFA domain. SWISS: O95741 Gene ID: 9362 Database links: Entrez Gene: 9362 Human Omim: 605688 Human SwissProt: O95741 Human Unigene: 6132 Human Important Note: This product as supplied is intended for research use only, not for use in human, therapeutic or diagnostic applications. |
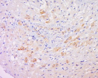
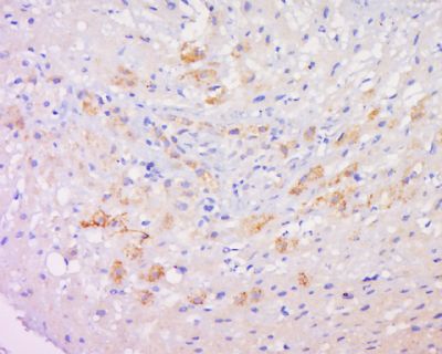
| 产品图片 | ![]() Tissue/cell: human liver carcinoma; 4% Paraformaldehyde-fixed and paraffin-embedded; Antigen retrieval: citrate buffer ( 0.01M, pH 6.0 ), Boiling bathing for 15min; Block endogenous peroxidase by 3% Hydrogen peroxide for 30min; Blocking buffer (normal goat serum,C-0005) at 37℃ for 20 min; Incubation: Anti-Copine-6 Polyclonal Antibody, Unconjugated(bs-9576R) 1:500, overnight at 4°C, followed by conjugation to the secondary antibody(SP-0023) and DAB(C-0010) staining |
风险提示:丁香通仅作为第三方平台,为商家信息发布提供平台空间。用户咨询产品时请注意保护个人信息及财产安全,合理判断,谨慎选购商品,商家和用户对交易行为负责。对于医疗器械类产品,请先查证核实企业经营资质和医疗器械产品注册证情况。
技术资料暂无技术资料 索取技术资料
Copine-6 antibody
¥1380 - 2200










