相关产品推荐更多 >
万千商家帮你免费找货
0 人在求购买到急需产品
- 详细信息
- 文献和实验
- 技术资料
- 免疫原:
KLH conjugated
- 亚型:
IgG
- 形态:
冻干粉
- 保存条件:
负20°保存
- 克隆性:
多克隆
- 标记物:
详情请来电索取说明书
- 适应物种:
详情请来电索取说明书
- 宿主:
Rabbit
- 应用范围:
WB=1:500-2000 ELISA=1:500-1000 IHC-P=1:400-800 IHC-F=1:400-800 IF=1:100-500
- 浓度:
1mg/ml
- 靶点:
详情请来电索取说明书
- 抗体英文名:
Cyclin D1
- 抗体名:
周期素D1抗体
- 规格:
100ul
中文名称周期素D1抗体
别名:细胞周期素D1;CyclinD1;CyclinD1;B细胞CCl/淋巴瘤1;B细胞白血病1;B细胞白血病/淋巴瘤1;B细胞白血病1;B细胞淋巴瘤1蛋白;BCL-1;BCL1;BCL1癌基因;CCND 1;CCND1;CCND1蛋白;CCND1/FSTL3融合基因;CCND1/IGG1融合基因;CCND1/IGG1融合基因;DC1/IGLC1融合基因包括:CCND1/PTH融合基因;甲状旁腺腺瘤病1;PRAD1;FSTL3;CCND1人;AI317039;B细胞淋巴瘤1蛋白;Bcl 1;BCL -1;BCL癌基因;BC1癌基因;CCND1/FSTL3融合基因;包括CD1;Cyl 1;D11S28 7E;G1/S特异性细胞周期蛋白D1;G1/S-特异性CYLIM-D1。
Sample:
U937细胞(人)裂解物在30μg
原发性:抗细胞周期素B1(BS-057 2R)1/300稀释
次级:IrDyE800 CW山羊抗兔IgG 1/20000稀释
预测波段大小:48 kD
观察波段大小:50 kD
Sample:
U251细胞(人)裂解物在30μg
原发性:抗细胞周期素B1(BS-057 2R)1/300稀释
次级:IrDyE800 CW山羊抗兔IgG 1/20000稀释
预测波段大小:48 kD
观察波段大小:50 kD
Sample:
HeLa细胞(人)裂解物在30μg
原发性:抗细胞周期素B1(BS-057 2R)1/300稀释
次级:IrDyE800 CW山羊抗兔IgG 1/20000稀释
预测波段大小:48 kD
观察波段大小:50 kD
Sample:
K562细胞(人)裂解物30μg
原发性:抗细胞周期素B1(BS-057 2R)1/300稀释
次级:IrDyE800 CW山羊抗兔IgG 1/20000稀释
预测波段大小:48 kD
观察波段大小:50 kD
多聚甲醛固定,石蜡包埋(小鼠小肠);用柠檬酸钠缓冲液(pH6.0)煮沸15min后提取抗原;用3%过氧化氢阻断内源性过氧化物酶20分钟;阻断缓冲液(正常山羊血清)37℃30min;用细胞周期蛋白B1进行抗体孵育多克隆抗体,未结合(BS-057 2R)1:400在4℃过夜,然后按照SP试剂盒(兔)(SP-023)指导和DAB染色进行操作。多聚甲醛固定,石蜡包埋(大鼠食管);用柠檬酸钠缓冲液(pH6.0)煮沸15min后获得抗原;用3%过氧化氢阻断内源过氧化物酶20分钟;阻断缓冲液(正常山羊血清)37℃30min;用(cyclin B1)聚体抗体孵育。Lon抗体,未结合(BS-057 2R)1:400在4℃过夜,然后按照SP试剂盒(兔)(SP-023)指导和DAB染色进行操作。组织/细胞:小鼠胚胎组织;4%多聚甲醛固定和石蜡包埋;
抗原提取:柠檬酸缓冲液(0.01M,pH 6),15min煮沸,用3%过氧化氢阻断内源性过氧化物酶30min;37℃下阻断缓冲液(正常山羊血清,C-00 05)20 min;
孵育:抗Cyclin B1多克隆抗体,未结合(BS-057 2R)1:500,在4°C过夜,随后与二级抗体(SP-023)和DAB(C-00)染色结合。
组织/细胞:人结肠癌;4%多聚甲醛固定和石蜡包埋;
抗原提取:柠檬酸缓冲液(0.01M,pH 6),15min煮沸,用3%过氧化氢阻断内源性过氧化物酶30min;37℃下阻断缓冲液(正常山羊血清,C-00 05)20 min;
孵育:抗Cyclin B1多克隆抗体,未结合(BS-057 2R)1:200,在4°C过夜,随后与二级抗体(SP-023)和DAB(C-00)染色结合。
空白对照(蓝线):A549(蓝色)。
原发性抗体(绿线):兔抗细胞周期素B1抗体(BS-057 2R)。
稀释度:1μg/10 ^ 6细胞;
同种型对照抗体(橙色线):兔IgG。
第二抗体(白蓝线):F(ab′)2片段山羊抗兔IgG FITC。
稀释度:1μg/次。
协议
用2%聚甲醛(10分钟)固定细胞,室温下用0.1% pB-TWEN通透20分钟,室温下用一次抗体染色30分钟。然后在1×PBS/2% BSA/10%山羊血清中孵育细胞以阻断非特异性蛋白质-蛋白质相互作用,然后在室温下用抗体15分钟。第二抗体在室温下使用40分钟。进行20000个事件的采集。细胞:海拉
浓度:1:100
宿主/同种型:兔/IgG
流式细胞术分析HeLa(Green)上一级抗体(CATα:BS-057 2R)与同种型对照(在没有原代抗体(蓝色)的情况下),其次是Alexa For 488共轭山羊抗兔IgG(H+L)二级抗体。
细胞周期素D1蛋白(Cyclin D1)是细胞周期中的重要调控因子,它作用于细胞周期的G1→S期调控点,为G1期的限速步骤。
细胞周期蛋白D1-Cyclin D1的过度表达使细胞周期G1期缩短,细胞生长对有丝分裂原和粘附信号的需求降低,最终引发肿瘤的发生。该抗原的氨基酸序列抗原决定簇-结合位点,我们选在了细胞质的粗面内质网。越来越多的研究表明。CyclinD1在正常细胞周期及肿瘤的调节中起着重要作用。周期素D1/Bcl-1属于细胞周期调控蛋白家族成员之一,在细胞周期从G1进入S期中起到重要作用。周期素D1的过度表达与癌症的早发、肿瘤的进展和转移相关。该抗体可用于细胞周期方面的研究,
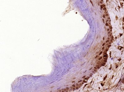
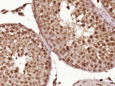
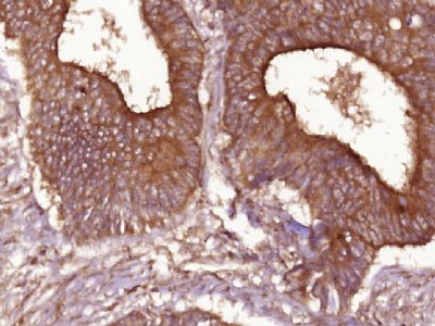
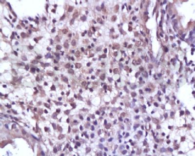
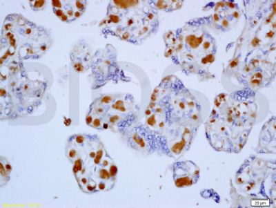
| 产品图片 | ![]() Sample: Mcf-7(Human) Cell Lysate at 30 ug Primary: Anti-Cyclin D1 (bs-0623R) at 1/300 dilution Secondary: IRDye800CW Goat Anti-Rabbit IgG at 1/20000 dilution Predicted band size: 32 kD Observed band size: 32 kD ![]() Sample: A549 Lysate at 40 ug Primary: Anti-CyclinD1 (bs-0623R) at 1/300 dilution Secondary: IRDye800CW Goat Anti-Rabbit IgG at 1/10000 dilution Predicted band size: 32 kD Observed band size: 35 kD ![]() Sample: A549 Cell (Human) Lysate at 30 ug Primary: Anti-Cyclin D1 (bs-0623R) at 1/300 dilution Secondary: IRDye800CW Goat Anti-Rabbit IgG at 1/20000 dilution Predicted band size: 32 kD Observed band size: 35 kD ![]() Paraformaldehyde-fixed, paraffin embedded (Rat liver); Antigen retrieval by boiling in sodium citrate buffer (pH6.0) for 15min; Block endogenous peroxidase by 3% hydrogen peroxide for 20 minutes; Blocking buffer (normal goat serum) at 37°C for 30min; Antibody incubation with (Cyclin D1) Polyclonal Antibody, Unconjugated (bs-0623R) at 1:400 overnight at 4°C, followed by operating according to SP Kit(Rabbit) (sp-0023) instructionsand DAB staining. ![]() Paraformaldehyde-fixed, paraffin embedded (Rat esophageal); Antigen retrieval by boiling in sodium citrate buffer (pH6.0) for 15min; Block endogenous peroxidase by 3% hydrogen peroxide for 20 minutes; Blocking buffer (normal goat serum) at 37°C for 30min; Antibody incubation with (Cyclin D1) Polyclonal Antibody, Unconjugated (bs-0623R) at 1:400 overnight at 4°C, followed by operating according to SP Kit(Rabbit) (sp-0023) instructionsand DAB staining. ![]() Paraformaldehyde-fixed, paraffin embedded (Rat testis); Antigen retrieval by boiling in sodium citrate buffer (pH6.0) for 15min; Block endogenous peroxidase by 3% hydrogen peroxide for 20 minutes; Blocking buffer (normal goat serum) at 37°C for 30min; Antibody incubation with (Cyclin D1) Polyclonal Antibody, Unconjugated (bs-0623R) at 1:400 overnight at 4°C, followed by operating according to SP Kit(Rabbit) (sp-0023) instructionsand DAB staining. ![]() Paraformaldehyde-fixed, paraffin embedded (Human cervical cancer); Antigen retrieval by boiling in sodium citrate buffer (pH6.0) for 15min; Block endogenous peroxidase by 3% hydrogen peroxide for 20 minutes; Blocking buffer (normal goat serum) at 37°C for 30min; Antibody incubation with (Cyclin D1) Polyclonal Antibody, Unconjugated (bs-0623R) at 1:400 overnight at 4°C, followed by operating according to SP Kit(Rabbit) (sp-0023) instructionsand DAB staining. ![]() Tissue/cell: human endometrium carcinoma; 4% Paraformaldehyde-fixed and paraffin-embedded; Antigen retrieval: citrate buffer ( 0.01M, pH 6.0 ), Boiling bathing for 15min; Block endogenous peroxidase by 3% Hydrogen peroxide for 30min; Blocking buffer (normal goat serum,C-0005) at 37℃ for 20 min; Incubation: Anti-Cyclin D1 Polyclonal Antibody, Unconjugated(bs-0623R) 1:200, overnight at 4°C, followed by conjugation to the secondary antibody(SP-0023) and DAB(C-0010) staining ![]() Tissue/cell: human placenta tissue; 4% Paraformaldehyde-fixed and paraffin-embedded; Antigen retrieval: citrate buffer ( 0.01M, pH 6.0 ), Boiling bathing for 15min; Block endogenous peroxidase by 3% Hydrogen peroxide for 30min; Blocking buffer (normal goat serum,C-0005) at 37℃ for 20 min; Incubation: Anti-Cyclin D1 Polyclonal Antibody, Unconjugated(bs-0623R) 1:200, overnight at 4°C, followed by conjugation to the secondary antibody(SP-0023) and DAB(C-0010) staining ![]() Blank control: RSC96(blue), the cells were fixed with 2% paraformaldehyde (10 min) and then permeabilized with ice-cold 90% methanol for 30 min on ice. Isotype Control Antibody: Rabbit IgG(orange) ; Secondary Antibody: Goat anti-rabbit IgG-PE(white blue), Dilution: 1:200 in 1 X PBS containing 0.5% BSA ; Primary Antibody Dilution: 1μg in 100 μL1X PBS containing 0.5% BSA(green). |
风险提示:丁香通仅作为第三方平台,为商家信息发布提供平台空间。用户咨询产品时请注意保护个人信息及财产安全,合理判断,谨慎选购商品,商家和用户对交易行为负责。对于医疗器械类产品,请先查证核实企业经营资质和医疗器械产品注册证情况。
文献和实验CDK Pathway: Cyclin-Dependent Kinases (cdks) and Cyclin-Dependent Kinase Inhibitors
In elucidating a novel cell-cycle pathway or mode of regulation, it will first be necessary to establish that the cell is arrested in a particular stage of the cell cycle following arrest-inducing conditions. This is achieved by staining
The cyclin/cyclin-dependent kinase (Cdk) complexes and the Cdk inhibitors (CDKI) are crucial regulators of cell cycle progression in all eukaryotic cells. Using rat cardiac myocytes as a model system, this chapter provides a detailed account
Analysis of Cyclin-Dependent Kinase Activity
of certain kinases. The cell cycle kinases in particular fluctuate in maximal phosphotransfer ability with respect to the cell cycle. The five cyclin-dependent kinases (CDKs) that possess the major cell cycle phase-transition activities have specific areas
技术资料暂无技术资料 索取技术资料




















