万千商家帮你免费找货
0 人在求购买到急需产品
- 详细信息
- 询价记录
- 文献和实验
- 技术资料
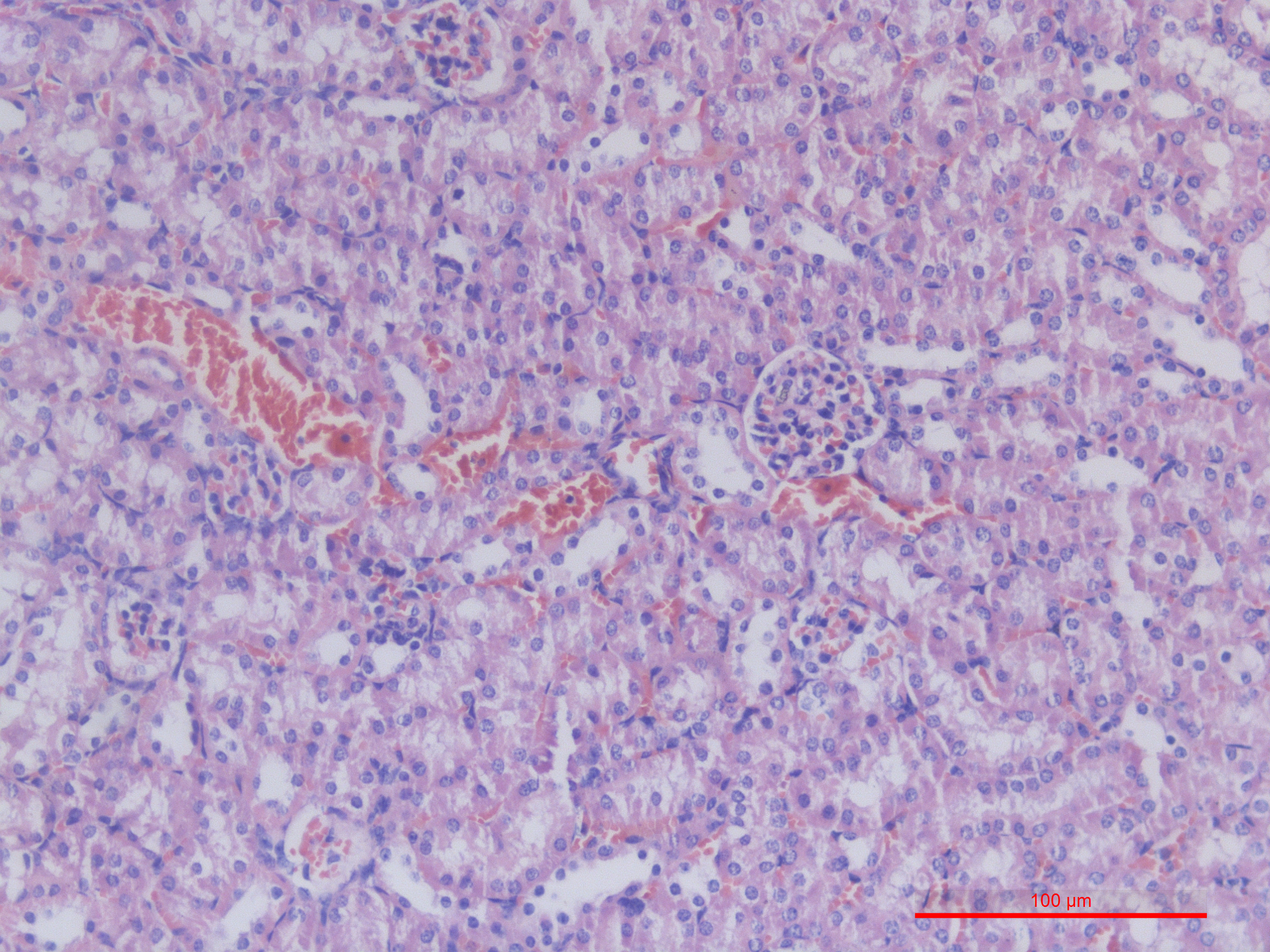
HE染色法全称苏木精-伊红染色法 ( hematoxylin-eosin staining ) ,石蜡切片技术里常用的染色法之一 。苏木精染液为碱性 ,使细胞核内的染色质与胞质内的核糖体着紫蓝色;伊红为酸性染料 ,使细胞质和细胞外基质中的成分着红色。HE染色法是组织学、胚胎学、病理学教学与科研中最基本、使用最广泛的技术方法。

肺组织染色 肾组织染色
联系方式:
1.致电400-680-8038
2.发送邮件至info@cyagen.com
3.到赛业官网www.cyagen.com联系在线客服
风险提示:丁香通仅作为第三方平台,为商家信息发布提供平台空间。用户咨询产品时请注意保护个人信息及财产安全,合理判断,谨慎选购商品,商家和用户对交易行为负责。对于医疗器械类产品,请先查证核实企业经营资质和医疗器械产品注册证情况。
- 作者
- 内容
- 询问日期
文献和实验相关专题 本篇文章主要介绍了采用苏木素(Hematoxylin)-伊红(Eosin)染色法对细胞染色的实验原理、实验用品和具体实验步骤。 HE染色法 一、原理 苏木素(Hematoxylin)-伊红(Eosin)染色法,简称HE染色法。 HE染色法采用两种染料即碱性染料苏木素和酸性染料伊红分别于细胞核 和细胞质发生作用,使细胞的微细结构通过颜色而改变它的折光率,从而在光镜下能清晰地呈现出细胞图像。该染色过程既有化学
相关专题 酵母细胞的培养专题 目的 认识酵母菌 的形态特征,了解培养酵母菌的方法。 实验前的思考 人类认识和利用酵母菌 的历史悠久,早在史前时期,先人们就学会酿酒。约在6000年前,就发明发面的方法。直到十九世纪有了显微镜,人们才窥探到醉母菌的真面目。对酵母菌做纯系培养分类研究的是与巴斯德同时代的丹麦人汉斯,他是为寻求酿造高品质啤酒的途径才去深入研究酵母菌的。 材料器具 甜酒酿汁液,新鲜酵母,豆芽;显微
: 由此步骤开始,流出的溶液包含目标细胞,请使用新的试剂管收集!首先,加入 1 ml 的 biotin 洗脱液,孵育 2 min。其次,加入 10 ml biotin 洗脱液,洗脱目标细胞。d) 再加入 10 ml biotin 洗脱液,洗下剩余的目标细胞。最后两步骤所收集的液体含分选出的目标细胞。(4) 结果分析以下流式图为从 7.5 ml 全血中,选出 CD3+ T 细胞的数据。选后细胞以 CD3-APC(OKT-3) 及 CD45-PE(HI30,白细胞标志) 抗体染色后,进行流式分析,死细胞
技术资料暂无技术资料 索取技术资料










