相关产品推荐更多 >
万千商家帮你免费找货
0 人在求购买到急需产品
- 详细信息
- 文献和实验
- 技术资料
- 保存条件:
冷藏
- 保质期:
长期
- 库存:
244
- 供应商:
北京百奥莱博科技有限公司
特别声明:本产品及我公司所售其他产品均为科研类试剂产品,严禁用于药物、医疗及其他非科研用途。
北京百奥莱博主要从事生物试剂的生产和销*(代"售"),产品线涵盖JN0038型2×Hot Start Taq PCR MasterMix北京现货促销在内的分子生物学试剂产品,还包括PCR及荧光定量PCR、核酸提取试剂盒类、样本核酸保护试剂、核酸提取、克隆与转化、蛋白纯化、蛋白检测、免疫组化、细胞凋亡与抗体等。
北京百奥莱博科技有限公司专业生产供应JN0038型2×Hot Start Taq PCR MasterMix北京现货促销,产品信息:
类别:核酸扩增(PCR)
| 产品名 | 产品编号 | 包装规格 |
| 2×Hot Start Taq PCR MasterMix | JN0038 | 1ml×5 |
编号:JN0038
品牌:百奥莱博
产地:国产|进口
规格:1ml×5
本制品是将PCR反应所需的HotStart Taq酶、dNTP混合物、MgCl2 以及反应缓冲液预先配制成2倍浓度的混合物。使用时只需加入模板和引物并稀释到1倍浓度即可进行PCR反应,大大地简化了操作过程,减少了PCR操作过程中的污染。本制品所使用的HotStart Taq是经特殊工艺处理后的Taq酶,在加热至高温前,其聚合酶活性被抑制,从而抑制低温条件下由引物的非特异性退火或引物二聚体引起的非特异性扩增。使用本制品扩增得到的PCR产物具有3´端"A"突出,因此可直接克隆于T载体中。
产品特点:
1、简便:与常规热启动Taq酶反应条件一致,无需改变扩增程序。
2、高效:有效减少了杂带及拖带产生,从而实现高特异性的PCR。
3、灵敏:可从0.05ng人基因组DNA模板中扩增出特定基因片段(图例二)。
4、稳定:经测试,反复冻融40次后,扩增性能仍不受影响。
5、快捷:PCR反应所必需试剂全集于一管之中,数分钟即可完成反应体系配制。
产品用途:
1、高特异性PCR反应;
2、复杂模板扩增;
3、Multiplex PCR;
4、基因组扩增检测。
应用实例:

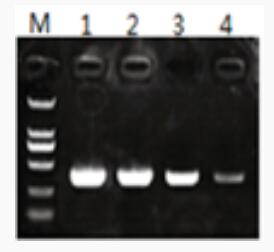
图例一)50μl扩增体系中,以50ng人基因组DNA为模板,2×Hot Start Taq可对特定基因片段(170bp)进行高特异性扩增。
泳道M:DNA 2000 Ladder; 泳道1,2:普通Taq酶 1.25U; 泳道3,4: HotStart Taq酶,1.25U

图例二) 50μ l 扩增体系中,分别以50ng~0.05ng人基因组DNA为模板, 可对特定基因片段(380bp)进行很好 的扩增。
泳道1:50ng; 泳道2:5ng; 泳道3:0.5ng; 泳道4:0.05ng;泳道M:DNA 2000 Ladder
常用反应体系(50μl):
| 组分 | 体积 |
| 2×PCR MasterMix* | 25μl |
| 上游引物 | 0.2-1.0μM(终浓度) |
| 下游引物 | 0.2-1.0μM(终浓度) |
| 模板 | 1-50ng(质粒) |
| 10ng-1μg(基因组) | |
| ddH2O | 至50μl |
| *Mg2+终浓度为2mM | |
常用PCR循环:
| 当扩增片段<3K: | |
| 94℃ | 10分钟 |
| 30次循环 | 94℃,30秒 57℃,30秒 72℃根据产物长度调整,60秒/kb |
| 72℃ | 5分钟 |
| 4℃ | 保温 |
| 当扩增片段≥3K(推荐引物长度≥30bp): | |
| 94℃ | 10分钟 |
| 30次循环 | 94℃,5秒 68℃根据产物长度调整,60秒/kb |
| 72℃ | 5分钟 |
| 4℃ | 保温 |
PCR MasterMix选购指南:
| 编号 | 产品名称 | 特点 |
| 适用于菌落鉴定、菌液鉴定及常规PCR鉴定实验的Mix系列 | ||
| JN0030 | 2×Taq PCR MasterMix | 高性价比PCR Mix,使用简便,扩增灵敏度高 |
| JN0034 | 2×Complex Taq PCR MasterMix | JN0030改进版,性能更均衡,适用面更广 |
| JN0040 | 2×Fast Taq PCR MasterMix | 最快速的PCR试剂,常规PCR鉴定45分钟内知道结果 |
| JN0035 | 2×RoomTop Taq PCR MasterMix | 可放在手边的PCR试剂,室温稳定存放60天 |
| JN0036 | 2×RoomTop Fast Taq PCR MasterMix | 室温稳定存放60天,高速PCR试剂,常规PCR鉴定45分钟内知道结果 |
| 适用于一些较难扩增的PCR条带的鉴定及短片段克隆 | ||
| JN0032 | 2×Taq Plus PCR MasterMix | 扩增效率更高及较好的保真度 |
| JN0038 | 2×Hot Start Taq PCR MasterMix | 采用热启动Taq,可获得很好的特异性 |
| JN0041 | 2×Ultra Taq PCR MasterMix | 高速扩增酶,优化配方,解决PCR扩增难题的,灵敏度高 |
| 高保真酶试剂,适用于长片段基因克隆 | ||
| JN0031 | 2×Pfu PCR MasterMix | 采用高保真酶,适用于基因克隆 |
| JN0043 | 2×Fast Pfu PCR MasterMix | 采用改良型高保真酶,更好的扩增效果,4倍扩增速度;扩增迅速 |
| 防止PCR产物二次污染、极高检测灵敏度的PCR试剂 | ||
| JN0047 | 2×PCR MasterMix(防污染) | 采用dUTP/UDG酶系统,从根本上杜绝PCR产物二次污染 |
| JN0033 | 2×Genotyping PCR Kit(nomal) | 极高检测灵敏度,可达到普通PCR试剂102至104倍扩增灵敏度 |
PCR MasterMix性能对比表:
| 名称 | 编号 | 扩增时间 | 扩增长度 | 是否有3"-A | 基因组扩增 |
| 2×Taq PCR MasterMix | JN0030 | 1min/kb | ≤8kb | √ | + |
| 2×RoomTop Taq PCR MasterMix | JN0035 | 1min/kb | ≤8kb | √ | ++ |
| 2×Complex Taq PCR MasterMix | JN0034 | 1min/kb | ≤8kb | √ | + |
| 2×Fast Taq PCR MasterMix | JN0040 | 15s/kb | ≤8kb | √ | + |
| 2×RoomTop Fast Taq PCR MasterMix | JN0036 | 15s/kb | ≤8kb | √ | ++ |
| 2×Ultra Taq PCR MasterMix | JN0041 | 15s/kb | ≤8kb | √ | +++ |
| 2×Taq Plus PCR MasterMix | JN0032 | 1min/kb | ≤20kb | √ | ++++ |
| 2×Ultra Taq Plus PCR MasterMix | JN0042 | 15s/kb | ≤30kb | √ | ++++ |
| 2×Hot Start Taq PCR MasterMix | JN0038 | 1min/kb | ≤8kb | √ | ++++ |
| 2×Hot Start Taq Plus PCR MasterMix | JN0039 | 1min/kb | ≤20kb | √ | ++++ |
| 2×Pfu PCR MasterMix | JN0031 | 1min/kb | ≤6kb | × | + |
| 2×Fast Pfu PCR MasterMix | JN0043 | 30min/kb | ≤12kb | × | + |
| 2×SYBR Green Realtime PCR MasterMix | JN0049 | 1min/kb | ≤8kb | √ | ++ |
| 2×Genotyping PCR Kit(Normal) | JN0033 | 1min/kb | ≤8kb | √ | +++++ |
| 2×Genotyping PCR Kit(Fast) | JN0044 | 15s/kb | ≤8kb | √ | +++++ |
| 2×PCR MasterMix(防污染) | JN0047 | 1min/kb | ≤8kb | √ | + |
JN0038型2×Hot Start Taq PCR MasterMix北京现货促销专业优质供应商:北京百奥莱博科技有限公司
关键词:JN0038,2×Hot Start Taq PCR MasterMix,百奥莱博
生物化工学科起始于第二次世界大战时期,以抗生素的深层发酵和大规模生产技术的研究为标志。20世纪60年代末至80年代中期,转基因技术、生物催化与转比技术、动植物细胞培养技术、新型生物反应器和新型生物分离技术等开发和研究的成功,使本学科进入了新的发展时期,学科体系逐步完善。20世纪后期,随着以基因工程为代表的高新技术的迅速崛起,为本学科的进一步发展开辟了新领域,无数前人的工作和我公司的不懈奋斗。造就了高品质的2×Hot Start Taq PCR MasterMix。
想要了解更多关于JN0038型2×Hot Start Taq PCR MasterMix北京现货促销的价格、品牌、厂家、说明书、促销信息,请和我们联系。此外我公司还销*(代"售")下面的产品:
| 编号 | 类别 | 名称 |
| JN0316 | 其他分子生物学试剂 | 重组人趋化因子CCL8(MCP-2) |
| JN1598 | 其他分子生物学试剂 | 重组人精*酸酶1(Arginase-1)(ARG1) |
| JN0527 | 其他分子生物学试剂 | 重组人FLRT1 |
| JN0793 | 其他分子生物学试剂 | 重组人INSL4(早期胎盘类胰岛素肽) |
| JN0349 | 其他分子生物学试剂 | 重组人白介素IL-7(白细胞介素7) |
| JN1104 | 其他分子生物学试剂 | 重组人己酮糖激酶(KHK) |
| JN1884 | 其他分子生物学试剂 | 重组人CD300a(LMIR1) |
| JN1660 | 其他分子生物学试剂 | 重组人PP1MG |
| JN1481 | 其他分子生物学试剂 | 重组人NT-proBNP |
| JN0143 | 酶和辅酶 | 黄嘌呤氧化酶 |
| JN0980 | 其他分子生物学试剂 | 重组人透明质酸结合蛋白(C1qBP)(HABP1) |
| JN1686 | 其他分子生物学试剂 | 重组人Cathepsin B(组织蛋白酶B) |
| JN0535 | 其他分子生物学试剂 | 重组人连接粘附分子B(JAM-B) |
| JN0227 | 其他分子生物学试剂 | 重组人LR3-IGF1 |
| JN0614 | 其他分子生物学试剂 | 重组人肺表面活性物质相关蛋白D(SP-D) |
| JN1700 | 其他分子生物学试剂 | 重组人激肽原1(Kininogen 1) |
| JN1472 | 其他分子生物学试剂 | 重组小鼠Lipocalin-2(NGAL)(C端带Fc标签) |
| JN0974 | 其他分子生物学试剂 | 重组小鼠转谷*酰胺酶2(TG2) |
| JN1015 | 其他分子生物学试剂 | 重组人MICA |
| JN0083 | 工具酶 | 精*酸甲基转移酶7 |
| JN0125 | 克隆与表达 | BL21(DE3)感受态细胞(pG-KJE8分子伴侣) |
| JN0420 | 其他分子生物学试剂 | 重组人Albumin-IFN-α2b(HSA-IFN-α2b) |
| JN1992 | 其他分子生物学试剂 | 重组人细胞质动力蛋白轻链1(DYNLL1) |
| JN1459 | 其他分子生物学试剂 | 重组小鼠TIM-3 |
| JN1948 | 其他分子生物学试剂 | 重组人小白蛋白α(PVALB) |
| JN0222 | 其他分子生物学试剂 | 重组人NT3(神经营养素3) |
| JN1687 | 其他分子生物学试剂 | 重组人Cathepsin L(组织蛋白酶L) |
| JN0691 | 其他分子生物学试剂 | 重组人热休克因子2(HSF2) |
| JN1183 | 其他分子生物学试剂 | 重组小鼠脂肪细胞补体相关蛋白30(Acrp30) |
我公司正在火爆促销核酸扩增(PCR)系列产品,欢迎您的垂询选购JN0038型2×Hot Start Taq PCR MasterMix北京现货促销。
风险提示:丁香通仅作为第三方平台,为商家信息发布提供平台空间。用户咨询产品时请注意保护个人信息及财产安全,合理判断,谨慎选购商品,商家和用户对交易行为负责。对于医疗器械类产品,请先查证核实企业经营资质和医疗器械产品注册证情况。
文献和实验for both DNA sample and reaction mixture preparation, is strongly recommended.The reagents for PCR should be prepared separately and used solely for this purpose. Autoclaving of all solutions, except dNTPs, primers and Taq DNA Polymerase is recommended
is repeated over and over。 The DNA polymerase, known as 'Taq polymerase', is named after the hot-spring bacterium Thermus aquaticus from which it was originally isolated. The enzyme can withstand the high temperatures needed for DNA-strand separation
SuperScript III One-Step RT-PCR System with Platinum® Taq High Fidelity
an automatic “hot start” in PCR and increasing sensitivity, specificity, and yield. Pyrococcus species GB-D polymerase is a proofreading enzyme that possesses a 3’ to 5’ exonuclease activity. Mixture of this enzyme with Taq DNA polymerase results in a six-fold
技术资料暂无技术资料 索取技术资料










