相关产品推荐更多 >
万千商家帮你免费找货
0 人在求购买到急需产品
- 详细信息
- 文献和实验
- 技术资料
- 保存条件:
冷藏
- 保质期:
长期
- 库存:
797
- 供应商:
北京百奥莱博科技有限公司
特别声明:本产品及我公司所售其他产品均为科研类试剂产品,严禁用于药物、医疗及其他非科研用途。
北京百奥莱博专业生产销*(代"售")北京现货2×Hot Start Taq PCR MasterMix库存,我公司供应的分子生物学试剂品类齐全,且具有优势价格,欢迎新老客户垂询订购。
名称:北京现货2×Hot Start Taq PCR MasterMix库存
规格:1ml×5
产地:国产|进口
品牌:百奥莱博
本制品是将PCR反应所需的HotStart Taq酶、dNTP混合物、MgCl2 以及反应缓冲液预先配制成2倍浓度的混合物。使用时只需加入模板和引物并稀释到1倍浓度即可进行PCR反应,大大地简化了操作过程,减少了PCR操作过程中的污染。本制品所使用的HotStart Taq是经特殊工艺处理后的Taq酶,在加热至高温前,其聚合酶活性被抑制,从而抑制低温条件下由引物的非特异性退火或引物二聚体引起的非特异性扩增。使用本制品扩增得到的PCR产物具有3´端"A"突出,因此可直接克隆于T载体中。
产品特点:
1、简便:与常规热启动Taq酶反应条件一致,无需改变扩增程序。
2、高效:有效减少了杂带及拖带产生,从而实现高特异性的PCR。
3、灵敏:可从0.05ng人基因组DNA模板中扩增出特定基因片段(图例二)。
4、稳定:经测试,反复冻融40次后,扩增性能仍不受影响。
5、快捷:PCR反应所必需试剂全集于一管之中,数分钟即可完成反应体系配制。
产品用途:
1、高特异性PCR反应;
2、复杂模板扩增;
3、Multiplex PCR;
4、基因组扩增检测。
应用实例:

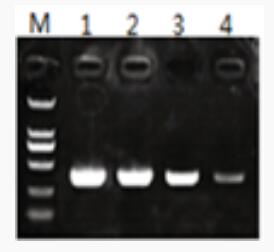
图例一)50μl扩增体系中,以50ng人基因组DNA为模板,2×Hot Start Taq可对特定基因片段(170bp)进行高特异性扩增。
泳道M:DNA 2000 Ladder; 泳道1,2:普通Taq酶 1.25U; 泳道3,4: HotStart Taq酶,1.25U

图例二) 50μ l 扩增体系中,分别以50ng~0.05ng人基因组DNA为模板, 可对特定基因片段(380bp)进行很好 的扩增。
泳道1:50ng; 泳道2:5ng; 泳道3:0.5ng; 泳道4:0.05ng;泳道M:DNA 2000 Ladder
常用反应体系(50μl):
| 组分 | 体积 |
| 2×PCR MasterMix* | 25μl |
| 上游引物 | 0.2-1.0μM(终浓度) |
| 下游引物 | 0.2-1.0μM(终浓度) |
| 模板 | 1-50ng(质粒) |
| 10ng-1μg(基因组) | |
| ddH2O | 至50μl |
| *Mg2+终浓度为2mM | |
常用PCR循环:
| 当扩增片段<3K: | |
| 94℃ | 10分钟 |
| 30次循环 | 94℃,30秒 57℃,30秒 72℃根据产物长度调整,60秒/kb |
| 72℃ | 5分钟 |
| 4℃ | 保温 |
| 当扩增片段≥3K(推荐引物长度≥30bp): | |
| 94℃ | 10分钟 |
| 30次循环 | 94℃,5秒 68℃根据产物长度调整,60秒/kb |
| 72℃ | 5分钟 |
| 4℃ | 保温 |
PCR MasterMix选购指南:
| 编号 | 产品名称 | 特点 |
| 适用于菌落鉴定、菌液鉴定及常规PCR鉴定实验的Mix系列 | ||
| JN0030 | 2×Taq PCR MasterMix | 高性价比PCR Mix,使用简便,扩增灵敏度高 |
| JN0034 | 2×Complex Taq PCR MasterMix | JN0030改进版,性能更均衡,适用面更广 |
| JN0040 | 2×Fast Taq PCR MasterMix | 最快速的PCR试剂,常规PCR鉴定45分钟内知道结果 |
| JN0035 | 2×RoomTop Taq PCR MasterMix | 可放在手边的PCR试剂,室温稳定存放60天 |
| JN0036 | 2×RoomTop Fast Taq PCR MasterMix | 室温稳定存放60天,高速PCR试剂,常规PCR鉴定45分钟内知道结果 |
| 适用于一些较难扩增的PCR条带的鉴定及短片段克隆 | ||
| JN0032 | 2×Taq Plus PCR MasterMix | 扩增效率更高及较好的保真度 |
| JN0038 | 2×Hot Start Taq PCR MasterMix | 采用热启动Taq,可获得很好的特异性 |
| JN0041 | 2×Ultra Taq PCR MasterMix | 高速扩增酶,优化配方,解决PCR扩增难题的,灵敏度高 |
| 高保真酶试剂,适用于长片段基因克隆 | ||
| JN0031 | 2×Pfu PCR MasterMix | 采用高保真酶,适用于基因克隆 |
| JN0043 | 2×Fast Pfu PCR MasterMix | 采用改良型高保真酶,更好的扩增效果,4倍扩增速度;扩增迅速 |
| 防止PCR产物二次污染、极高检测灵敏度的PCR试剂 | ||
| JN0047 | 2×PCR MasterMix(防污染) | 采用dUTP/UDG酶系统,从根本上杜绝PCR产物二次污染 |
| JN0033 | 2×Genotyping PCR Kit(nomal) | 极高检测灵敏度,可达到普通PCR试剂102至104倍扩增灵敏度 |
PCR MasterMix性能对比表:
| 名称 | 编号 | 扩增时间 | 扩增长度 | 是否有3"-A | 基因组扩增 |
| 2×Taq PCR MasterMix | JN0030 | 1min/kb | ≤8kb | √ | + |
| 2×RoomTop Taq PCR MasterMix | JN0035 | 1min/kb | ≤8kb | √ | ++ |
| 2×Complex Taq PCR MasterMix | JN0034 | 1min/kb | ≤8kb | √ | + |
| 2×Fast Taq PCR MasterMix | JN0040 | 15s/kb | ≤8kb | √ | + |
| 2×RoomTop Fast Taq PCR MasterMix | JN0036 | 15s/kb | ≤8kb | √ | ++ |
| 2×Ultra Taq PCR MasterMix | JN0041 | 15s/kb | ≤8kb | √ | +++ |
| 2×Taq Plus PCR MasterMix | JN0032 | 1min/kb | ≤20kb | √ | ++++ |
| 2×Ultra Taq Plus PCR MasterMix | JN0042 | 15s/kb | ≤30kb | √ | ++++ |
| 2×Hot Start Taq PCR MasterMix | JN0038 | 1min/kb | ≤8kb | √ | ++++ |
| 2×Hot Start Taq Plus PCR MasterMix | JN0039 | 1min/kb | ≤20kb | √ | ++++ |
| 2×Pfu PCR MasterMix | JN0031 | 1min/kb | ≤6kb | × | + |
| 2×Fast Pfu PCR MasterMix | JN0043 | 30min/kb | ≤12kb | × | + |
| 2×SYBR Green Realtime PCR MasterMix | JN0049 | 1min/kb | ≤8kb | √ | ++ |
| 2×Genotyping PCR Kit(Normal) | JN0033 | 1min/kb | ≤8kb | √ | +++++ |
| 2×Genotyping PCR Kit(Fast) | JN0044 | 15s/kb | ≤8kb | √ | +++++ |
| 2×PCR MasterMix(防污染) | JN0047 | 1min/kb | ≤8kb | √ | + |
关于北京现货2×Hot Start Taq PCR MasterMix库存的更详细说明,请致电我公司咨询,我们将以最饱满的热情为您提供解答,此外,我公司专业供应下列产品:
放线菌*(代"素")D Furaltadone 50-76-*(代"0")
2,4-二羟基*甲*(代"酸") Salicylhydroxamic acid 89-86-1
DP316 微量样品基因组DNA提取试剂盒
D-丙*酸 DNA Na 338-69-2
ARB14135 甘薯轻斑驳花叶病毒(SPMMV)ELISA代测服务
F030207 HRP标记山羊抗小鼠IgG2b抗体 Goat Anti-Mouse IgG2b*HRP
ARB13213 小鼠凋亡诱导因子(AIF)酶免分析 Mouse apoptosis inducing factor,aif ELISA KIT
ARB10263 人丁型肝炎IgM(HDV IgM)酶标法分析 Human hepatitis d virus igm,hdv igM ELISA KIT
ARB10096 人EB病毒IgA(EBv IgA)含量测试 Human epstein-barr virus iga,ebv iga ELISA KIT
9001-12-1 胶原酶Ⅳ CollagenaseⅣ
9014-25-9 酵母tRNA 转移核糖核酸
ARB12774 小鼠S100蛋白(S-100)血清中含量检测 Mouse soluble protein-100,s-100 ELISA KIT
北京现货2×Hot Start Taq PCR MasterMix库存关键词:2×Hot Start Taq PCR MasterMix,JN0038,百奥莱博
羟基*酚蓝 Methyl Icosanoate 63451-35-4
SJ0326 Glyphosphate 草甘膦 标准品
BL1176 研磨杵(研磨棒)
BTN130590 小鼠抗HPC4标签蛋白单抗 Anti HPC4-Tag Mouse Mab
N-乙酰-D-*基葡萄糖 Pfu DNA Polymerase 7512-17-6
二硫代苏糖醇 1,1,3,3-Tetramethylbutylamine 3483-12-3
BL0932 RBITC标记兔抗山羊IgG抗体
BTN130541 E-64蛋白酶抑制剂溶液 E-64 Proteinase Inhibitor Solution
ARB11309 人促卵泡素(FSH)代做ELISA实验 Human follicle-stimulating hormone,fsh ELISA KIT
BL0975 兔外周血淋巴细胞分离液
F030630 FITC标记兔抗人IgG抗体 Rabbit Anti-Human IgG*FITC
25988-63-0 Poly-L-Lysine 多聚-L-赖*酸(7-15万)
北京现货2×Hot Start Taq PCR MasterMix库存关键词:2×Hot Start Taq PCR MasterMix,JN0038,百奥莱博
SJ0220 D-(+)-Gmelezitose monohydrate 松三糖
ARB10954 人肝素结合性表皮生长因子(HB-EGF)酶免分析 Human heparin-binding epidermal growth factor-like growth factor,hb-egf ELISA KIT
1,4-二甲氧基* Bluo-Gal 150-78-7
BL1287 4%多聚甲醛
酒石酸** Glyphosine 526-94-3
BL0333 聚蔗糖400 Ficoll 400
8-羟基喹*(代"啉")铜盐 Alizarin yellow R sodiu*(代"m") salt 13014-03-4
ARB11414 人结肠癌抗原(CCA)elisa检测说明书 Human colon cancer antigen,cca ELISA KIT
PY02-102 胰酪胨大豆肉汤培养基 250克
ARB11177 人法尼基二磷酸法尼基转移酶1(FDFT1)Elisa定量检测 Human farnesyl-diphosphate farnesyltransferase 1,fdft1 ELISA KIT
ARB12713 大鼠磷酸化核因子κB抑制蛋白α(pIKBα)含量检测 Rat phospho-inhibitory subunit of nf-κbα,pikbα ELISA KIT
漆酶 Potassium hydrogen phthalate 80498-15-3
N-乙酰-L-异亮*酸 DL-5-HTP 3077-46-1
ARB14006 鹿红细胞膜蛋白(EMP)检测服务 Deer erythrocyte membrane protein,emp ELISA KIT
ARB10871 人抗核糖核蛋白抗体(RNP-Ab)ELISA检测服务 Human anti-ribonucleo protein antibody,rnp-ab ELISA KIT
9012-54-8 纤维素酶 Cellulase
ARB13633 兔子胰岛素样生长因子1(IGF-1)酶免分析 Rabbit insulin-like growth factor 1,igf-1 ELISA KIT
CYB162045 兔抗小鼠IgG-FC(抗血清) 0.5ml
聚醚醇 DL- Asparaning H2O 3055-99-0
HC0057 盒装无菌滤芯吸头
7761-88-*(代"8") 硝酸*(代"银")
BL1274 4×蛋白上样缓冲液(含DTT)
我公司生产供应销*(代"售")的核酸扩增(PCR)正全品类优惠促销,十分期待您的咨询选购北京现货2×Hot Start Taq PCR MasterMix库存。
风险提示:丁香通仅作为第三方平台,为商家信息发布提供平台空间。用户咨询产品时请注意保护个人信息及财产安全,合理判断,谨慎选购商品,商家和用户对交易行为负责。对于医疗器械类产品,请先查证核实企业经营资质和医疗器械产品注册证情况。
文献和实验for both DNA sample and reaction mixture preparation, is strongly recommended.The reagents for PCR should be prepared separately and used solely for this purpose. Autoclaving of all solutions, except dNTPs, primers and Taq DNA Polymerase is recommended
bp 片段,以 pBS 菌液为模板扩增 1500 bp 片段。 模板:菌液 OD600=0.8 时 2 μL /50 μL PCR 扩增程序:同上 a 扩增程序同。 结果:Bioteke 2×power Taq PCR MasterMix 试剂对于质粒或菌液均可高效率的扩增。取扩增产物 10 μL 用 1% 琼脂糖凝胶电泳进行分析可见明亮条带。 二、genomic DNA扩增 1.大肠杆菌DNA扩增 模板:大肠杆菌DNA 50 ng/50 μL PCR扩增程序: 循环数 Step 温度
is repeated over and over。 The DNA polymerase, known as 'Taq polymerase', is named after the hot-spring bacterium Thermus aquaticus from which it was originally isolated. The enzyme can withstand the high temperatures needed for DNA-strand separation
技术资料暂无技术资料 索取技术资料










